Introducción
En la sociedad actual los estándares de belleza incluyen una sonrisa blanca y armónica, lo cual indica que la persona que la posee goza de buena salud y de seguridad bucal; es por esto que los pacientes suelen acudir a la consulta dental para obtener esa anhelada sonrisa. Existen distintos tratamientos que de manera individual o en conjunto, nos pueden llevar a cumplir las expectativas de los pacientes de tener una sonrisa tanto funcional como estética. Como odontólogos debemos conocer las indicaciones y limitaciones de cada tratamiento. Al diagnosticar discromías dentales podemos pensar en el uso de agentes blanqueadores para tratarlas, pero no siempre se logra el objetivo, como es el caso de las discromías de origen intrínseco, las cuales se producen desde el desarrollo del diente1. Un ejemplo de ellas son los dientes con fluorosis, que suelen caracterizarse por tener líneas blancas o en casos más severos, áreas nubladas que pueden ser discretas o confluentes2,3. Otro de los problemas que suelen reportar los pacientes son los espacios interdentales, como los diastemas. En este tipo de problemas la primera opción de tratamiento es el ortodóntico, pero en algunas ocasiones no es posible cerrar por completo estos espacios y es ahí donde se puede pensar en la combinación con algún tratamiento protésico4,5. Cuando un paciente presenta la combinación de dichos problemas estéticos, es un reto poder otorgarle una solución para ambos. Un tratamiento que puede resolver de manera exitosa y conservadora este tipo de discromías son las carillas dentales de porcelana5,6.
El propósito de este artículo es presentar el caso clínico de una paciente de 22 años en la cual se mejoró la estética del sector anterior por medio de carillas dentales, las cuales llevaron un protocolo de trabajo para que el tratamiento realizado fuera mínimamente invasivo.
Presentación del caso clínico
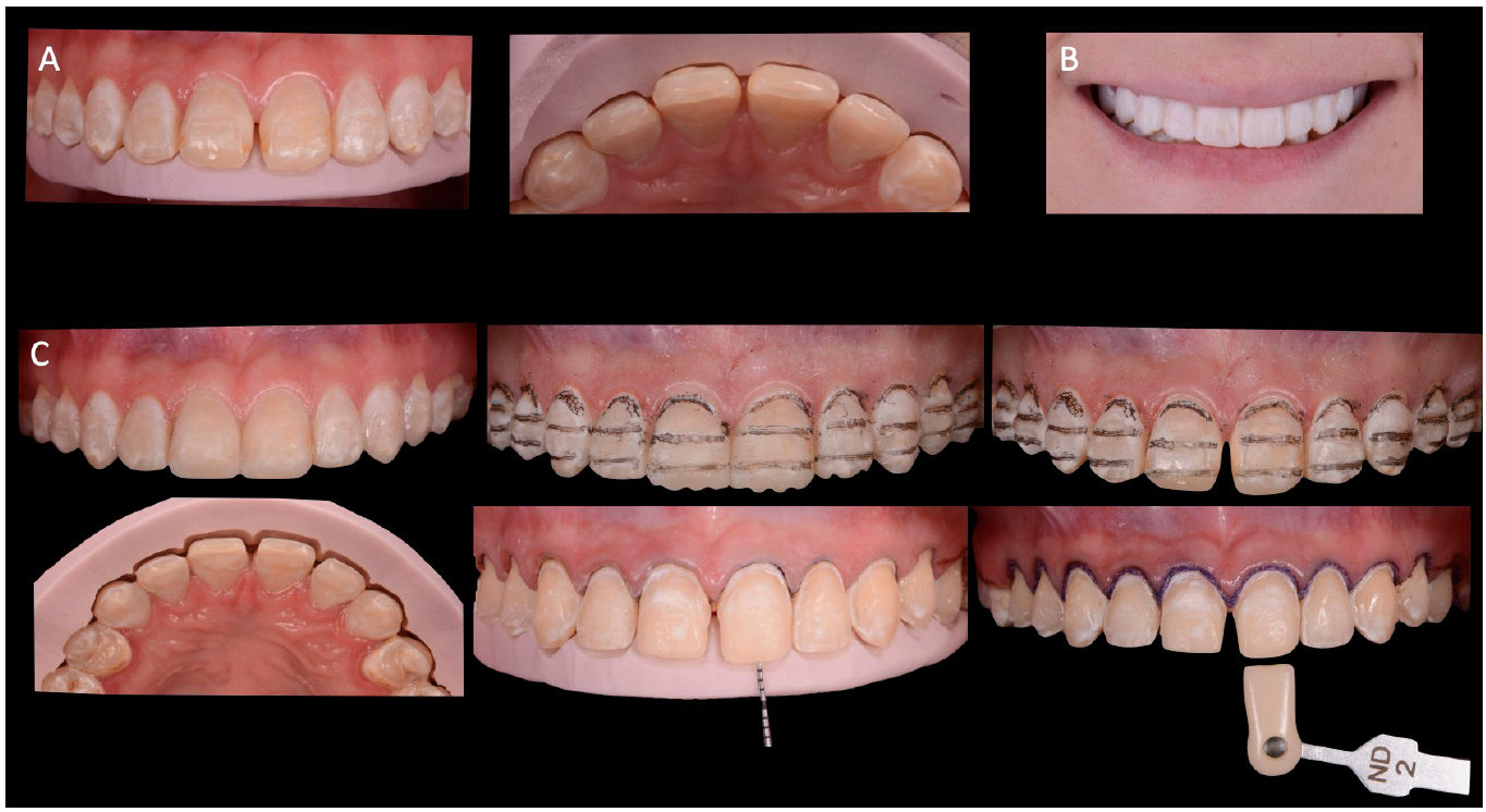
Paciente femenino de 22 años, que acudió a consulta con el siguiente motivo: “quiero resinas en mis dientes”. Refirió haber concluido hace 3 años un tratamiento de ortodoncia y cirugía ortognática. Como secuela del tratamiento quirúrgico, la paciente presentaba parestesia en el maxilar inferior bilateralmente. Acudió sin utilizar algún retenedor bucal post tratamiento ortodóntico. Presentaba un biotipo facial mesocefálico con perfil recto, línea interpupilar no paralela con su línea comisural ni con su línea incisal. La línea media facial no coincidía con la línea media dental ya que esta última se encontraba desviada hacia el lado derecho 2 mm. Sus labios estaban detrás de la línea E, y presentaba dinámica labial media. Se diagnosticó erupción pasiva alterada a nivel de premolares maxilares. Su ángulo nasolabial fue de 100°, se observó una asimetría facial en el borde inferior derecho de la mandíbula (Figura 1. A). En el análisis dental del sector anterior presentó pigmentaciones marrones y blancas atribuidas a fluorosis dental grado TF52, desarmonía gingival, diastema a nivel de los dientes 11 y 21 y desfavorable morfología dental (Figura 1. B). Los modelos del análisis oclusal mostraron, por un lado, que del lado derecho no era posible establecer una clase molar por la ausencia del diente 46, y clase I canina; y por el otro, del lado izquierdo se presentó clase I molar y clase I canina, sobremordida horizontal y vertical de 4 mm (Figura 1. C). Por esta razón como objetivos de tratamiento se planeó lograr una arquitectura gingival simétrica, cambiar la forma y color de los dientes del sector anterior del maxilar y cerrar el diastema entre los dientes 11 y 21.

Figura 1 Fotografías extraorales e intraorales, modelos de estudio y encerado diagnóstico. A) Fotografías iniciales de frente y lateral en reposo, y frente sonriendo. B) Fotografía intraoral inicial de frente. C) Modelos de estudio, lateral derecha en oclusión, frontal en oclusión, lateral izquierda en oclusión, sobremordida horizontal y sobremordida vertical. D) Fotografías del encerado diagnóstico, lateral derecha, frontal en oclusión, lateral izquierdo.
El tratamiento se dividió en dos fases: 1. Fase preprotésica, donde se realizó alargamiento de corona a nivel de primeros y segundos premolares maxilares. 2. Fase protésica, que consistió en la reducción dental para la realización de la restauración, elaboración y cementación de 10 restauraciones adheridas de disilicato de litio color BL1 opacidad LT, en el sector anterior.
Se dio inicio al tratamiento interdisciplinario con Periodoncia donde se realizó alargamiento de corona de los dientes 15,14, 24 y 25 ya que presentaban erupción pasiva alterada y dinámica labial alta o gingival, de acuerdo con Fradeani7. Diez días después de la cirugía se retiraron suturas y se realizó revisión post quirúrgica. Se dejaron pasar 12 semanas para que el tejido periodontal cicatrizara8. Se tomaron impresiones preliminares a dos pasos con silicón por adición (Virtual Refill Putty Regular, Ivoclar Vivadent AG, Liechtenstein) de consistencia pesada en masilla y ligera. Con los modelos obtenidos se realizó un encerado de diagnóstico del diente 15 al 25 (Figura 1. D), sobre el cual se fabricaron guías de preparación (Figura 2. A) y una llave de silicón (Zetalabor, Zhermack SpA, Italia) para elaborar un mock up con resina bisacrílica color A1 (3MTM ProtempTM 4, 3M espe Deutschland GmbH, Alemania) (Figura 2. B).
Sobre el mock up se prepararon surcos de reducción a una profundidad de 0.3 mm con una fresa BR-45 (Mani® dia-burs®, Mani Inc., Japón) se retiró el mock up y sobre los dientes quedaron registrados los surcos guía, los cuales fueron señalados con un grafito. Continuando con la preparación se utilizó una fresa TR-13 (Mani® dia-burs®, Mani Inc., Japón) para realizar el desgaste a la profundidad indicada (0.3 a 0.6 mm), lo cual se corroboró con las guías de reducción. El acabado superficial de la preparación se realizó mediante el uso de fresas TR-13F, TR-13EF (Mani® dia-burs®, Mani Inc., Japón), discos Sof-Lex y hules para pulir (3MTM Sof-LexTM Finishing Strips Basic Kit, 3M espe Deutschland GmbH, Alemania), la terminación marginal quedó a nivel equigingival. Una vez concluida la preparación, se utilizó la técnica de retracción gingival de doble hilo9, el primer hilo del ♯000 negro y un segundo hilo del ♯0 morado (UltrapakTM y UltrapakTM E, Ultradent Products Inc., South Jordan, Utah, Estados Unidos), para la selección de la opacidad de la vidriocerámica se utilizó la aplicación Shade Navigation App (IPS e.max Shade Navigation App, Ivoclar Vivadent AG, Liechtenstein) (Figura 2. C).

Figura 2 Guía de reducción, mock up, proceso de reducción dental y toma de color. A) Vista vestibular de la guía de reducción en boca y vista incisal de la guía de reducción a nivel de tercio medio. B) Frontal sonriendo con mock up. C) Fotografías intraorales del proceso de la reducción dental y de la toma de color mock up realizado de segundo premolar a segundo premolar, tallado de surcos guías de preparación sobre el mock up y marcados con grafito, surcos guías marcados sobre los dientes una vez retirado el mock up, corroboración de la reducción dental con la guía de reducción desde una vista incisal a nivel de tercio incisal, reducción dental de 1 mm desde una vista vestibular corroborado con sonda y con la guía de reducción y toma de color de muñón con colorímetro. Para la selección de la opacidad de la vidriocerámica se utilizó la aplicación Shade Navigation App.
La toma de impresión se realizó a un paso con Vinil Polisiloxano de consistencia pesada (3MTM ImprintMT II GarantMT Quick Step Heavy Body, 3M espe Deutschland GmbH, Alemania) y silicón de consistencia ligera (3MTM ImprintMT II GarantMT Light Body, 3M ESPE Deutschland GmbH, Alemania). Adicionalmente con el encerado se realizaron guías para provisionalizar los dientes con resina bisacrílica color A1. Las restauraciones finales se realizaron con disilicato de litio prensado, utilizando pastillas de color BL1 de opacidad LT (IPS e.max Press LT, Ivoclar Vivadent AG, Liechtenstein). En la texturización de las carillas se utilizó la técnica ink GLUE creada y descrita por el Técnico Protesista Dental Iván Ronald Huasca. Para la cementación de las restauraciones se realizó aislamiento absoluto del diente 16 al diente 26 con dique de goma grueso (Dique Nictone, MDC® Dental, México) (Figura 3. A); el acondicionamiento de las carillas se realizó colocando ácido fluorhídrico al 5% durante 20 s (IPS Ceramic Etching Gel, Ivoclar Vivadent AG, Liechtenstein) (Figura 3. B), se lavó el ácido de la superficie con chorro de agua y aire para posteriormente colocar ácido fosfórico al 35% (Ultra-EtchTM, Ultradent Products Inc., South Jordan, Utah, Estados Unidos) para remover los residuos de hexafluorosilicato (Figura 3. C). Se realizó un lavado con agua y aire para retirar el ácido fosfórico, enseguida durante 60 s se colocó el silano (Porcelain Primer/Bis-SilaneTM, Bisco, Inc., Schaumburg, Illinois, Estados Unidos) (Figura 3. D). La superficie dental fue acondicionada con el mismo protocolo en todos los dientes, iniciando con arenado superficial con óxido de aluminio (Figura 3. E), seguido del grabado del esmalte durante 15 s con ácido fosfórico al 35% (Figura 3. F).

Figura 3 Fotografías intraorales del proceso de acondicionamiento de las carillas, la superficie dental y el cementado de las restauraciones. A) Aislamiento absoluto desde una vista oclusal y prueba de las carillas desde una vista vestibular. B) Acondicionamiento de las carillas con ácido fluorhídrico al 5%. C) Remoción de residuos de hexafluorosilicato con ácido fosfórico al 35%. D) Colocación de silano. E) Arenado superficial con óxido de aluminio. F) Grabado del esmalte con ácido fosfórico al 35% durante 15 segundos. G) Cementado de las carillas de los dientes 11 y 21 y cementación de la parte posterior hacia la línea media.
Se lavó con abundante agua y aire por 20 s, se colocó adhesivo dental polimerizado (All Bond Universal®, Bisco, Inc., Schaumburg, Illinois, Estados Unidos) y se frotó por 15 s, aplicando aire con la jeringa triple y se volatilizó para posteriormente cementar las coronas con cemento resinoso fotopolimerizable translúcido (eCement L/C®, Bisco, Inc., Schaumburg, Illinois, Estados Unidos) y finalmente se fotopolimerizó con una lámpara de fotocurado por 20 s (1200 mW, 3MTM EliparTM DeepCure, 3M espe Deutschland GmbH, Alemania). El orden de cementación que se llevó incluyó primero las dos restauraciones de los dientes 11 y 21 y posteriormente se procedió a cementar de la parte posterior hacia la línea media (Figura 3. G).
Al cumplirse los objetivos planteados se mejoró la estética dental del sector anterior; la arquitectura gingival al sonreír fue más armónica; se cubrieron las discromías causadas por la fluorosis; se le dio una mejor forma y proporción en tamaño a los dientes; el diastema que existía se cerró; la línea de la sonrisa fue alineada siguiendo la curvatura del labio inferior; se logró hacer coincidir la línea media facial con la línea media dental y se obtuvo el establecimiento de características de oclusión orgánica (Figura 4. A-B).
Discusión
En el presente caso, la paciente acude a consulta ya que no estaba conforme con su sonrisa. Entre los criterios tomados para la elección del tratamiento de forma indirecta para el manejo estético del sector anterior se tomaron en cuenta las indicaciones citadas por Belser et al. Entre ellos están enmascarar discromías dentales y el cambio en la morfología de los dientes anteriores5.
La sonrisa alta en el área posterior y la erupción pasiva alterada que presentaba la paciente se trataron en la primera fase del tratamiento. Esta condición la describen Silva et al., como la situación donde los márgenes gingivales se encuentran incisalmente a la convexidad cervical del diente, dándonos como resultado coronas clínicas cortas y cuadradas que no se consideran estéticas10. El tiempo de cicatrización que se dejó pasar posterior a la intervención quirúrgica fue el recomendado por Lack, quien menciona que a los 3 meses se pueden realizar las preparaciones y las impresiones finales, ya que pasado este tiempo el tejido periodontal se puede encontrar estable8.
Los diastemas son problemas estéticos con una alta prevalencia en adultos entre 1.6% y 25.4%, y se definen como un espacio mayor a 0.5 mm entre las superficies proximales entre los dos incisivos centrales11,12. Como menciona Gupta, muchas veces el tratamiento de ortodoncia no es suficiente para corregir espacios y es necesario el trabajo restaurativo para optimizar estos resultados11; por las ventajas que presentan las restauraciones indirectas en comparación a las directas, como son mayor longevidad, apariencia más natural por la forma, color y brillo de estas restauraciones. Se suelen emplear carillas dentales para resolver esta maloclusión5,11-13. La fluorosis, al igual que los diastemas, suele causar en los pacientes una sensación de disconformidad con su sonrisa a causa de líneas blancas o en casos más severos, áreas nubladas presentes en los dientes3 requiriendo así de un tratamiento estético para corregir. Dentro de las opciones de tratamiento encontramos los blanqueamientos dentales y las microabrasiones. Estos tratamientos no suelen ser eficientes cuando encontramos presencia de fluorosis de mediana severidad, por lo cual en muchos casos se opta por el tratamiento con restauraciones cerámicas adheridas5,14,15. Como podemos observar con estas restauraciones, podemos resolver varios de los problemas que afectan la armonía de la sonrisa del paciente. Siguiendo este camino logramos ser menos invasivos en lo posible, y sin embargo obtuvimos resultados estéticos y funcionales5,9.
Para obtener los resultados deseados y evitar ser invasivos se sugiere un protocolo de reducción dental en base al volumen final de la restauración, auxiliado por guías de reducción, así como surcos de preparación que se tallan sobre el mock up del paciente. Estos nos indican la reducción necesaria para la elaboración de las restauraciones, conservando la mayor parte de estructura dental intacta. Este protocolo de reducción lo describen Magne y Belser en 200416. Buzetto et al.,13 reportan un protocolo de trabajo similar al empleado por nosotros, obteniendo resultados tanto estéticos como funcionales para el paciente.
Conclusión
Con un correcto diagnóstico y el desarrollo con los protocolos adecuados del plan de tratamiento planteado, se puede garantizar la obtención de resultados favorables y satisfactorios para el paciente. El uso de restauraciones cerámicas adheridas permite resolver casos donde la estética y la función están comprometidas, siendo un tratamiento conservador en el desgaste de la estructura dental con pronóstico favorable a largo plazo.










text in 



