ANTECEDENTES
La arteritis de Takayasu es una vasculopatía idiopática, inflamatoria, granulomatosa de la aorta y sus grandes ramas, que puede cursar de igual forma con afectación a la arteria pulmonar. Es parte del grupo de las arteritis de grandes vasos, según la Clasificación de Chapel Hill.1 Es una enfermedad poco frecuente: afecta a 2.6 pesonas por cada millón de habitantes al año y es más frecuente en países asiáticos.1
La inflamación arterial es la característica sobresaliente de la enfermedad. La aorta ascendente-descendente, las arterias subclavias y las carótidas son los vasos más afectados (60 al 90%); en Japón se tiene mayor incidencia de daño al arco aórtico.1
Numano y su grupo2 describen que la afectación de la aorta descendente y abdominal es más común en Sudamérica y Asia, respecto de países como Japón. Esto crea una clasificación angiográfica con cinco tipos de la enfermedad: tipo I: localizada en las ramas supraaórticas del arco aórtico. Tipo IIa: afecta la aorta ascendente y al arco aórtico con sus ramas. Tipo IIb: afecta la aorta ascendente, el arco aórtico con sus ramas y la aorta torácica descendente. Tipo III: comprende la aorta torácica descendente, la abdominal o las arterias renales, o ambas. Tipo IV: afecta la aorta abdominal o las arterias renales, o ambas. Tipo V: combina los hallazgos del tipo IIb y IV.1,2,3
La mortalidad puede alcanzar incluso al 5% a los 10 años en pacientes con complicaciones agudas y al 27% de quienes padecen la enfermedad crónica; su relación es estrecha con el grado de lesión arterial.1
En el ámbito internacional, México es el país no asiático con mayor incidencia de la enfermedad. Solo existe un registro de la enfermedad en la población mexicana, en el que Dabague J y colaboradores hicieron una revisión bibliográfica que abarcó 38 años, hasta 1991. En ese periodo encontraron 237 casos en adultos y 55 en niños con diagnóstico definitivo de arteritis de Takayasu en el Instituto Nacional de Cardiología Ignacio Chávez, con una relación mujeres-hombres de 6:1.4
Esta enfermedad es más prevalente en mujeres asiáticas en edad fértil.2 Los reportes mexicanos de casos de pacientes embarazadas y con arteritis de Takayasu son limitados. El embarazo con una vasculitis implica varios riesgos para la madre y el feto. Con respecto a la evolución del embarazo, Comarmond y coautores5 describen que los embarazos concomitantes con o después del diagnóstico de arteritis de Takayasu tuvieron 13 veces más complicaciones obstétricas (OR 13; IC95%: 5-33; p < 0.0001), incluidas: preeclampsia-eclampsia, parto prematuro y restricción del crecimiento fetal intrauterino o muerte. Entre las complicaciones maternas los estados hipertensivos del embarazo fueron relevantes.5,6,7
Las pacientes con arteritis de Takayasu y estados hipertensivos del embarazo tienden a mayor complicación y aumento de morbilidad asociada con preeclampsia con datos de severidad, así como parto pretérmino.8,9
Más del 5% de las pacientes que cursan con arteritis de Takayasu y embarazo resultan con una complicación cardiovascular materna potencialmente mortal. El adecuado control de la actividad de la enfermedad y de la hipertensión arterial antes de la concepción y durante el embarazo es fundamental para mejorar los desenlaces maternos y fetales.5,10 El embarazo, en el contexto de pacientes con arteritis de Takayasu, es de alto riesgo, por lo que requieren una estrecha participación multidisciplinaria.
Por lo anterior, el objetivo del estudio fue: describir la evolución de pacientes embarazadas con diagnóstico de arteritis de Takayasu y sus respectivos desenlaces perinatales.
MATERIALES Y MÉTODOS
Estudio observacional, transversal y descriptivo efectuado del 1 de enero del 2021 al 1 de enero del 2025 en pacientes atendidas en el Hospital General Doctor Agustín O´Horán, Mérida, Yucatán. Criterios de inclusión: pacientes embarazadas con diagnóstico de enfermedad de arteritis de Takayasu establecido conforme a los criterios del American College of Rehumatology (Cuadro 1). Este Colegio estableció criterios de clasificación para la arteritis de Takayasu entre los que se menciona que la coexistencia de tres o más criterios tiene una sensibilidad del 90.5% y especificidad del 97.8%. 11 Criterios de exclusión: pacientes no embarazadas y quienes aun teniendo el diagnóstico finalizaron la gestación en otra institución.
Cuadro 1 Criterios diagnósticos para la arteritis de Takayasu del American College of Rheumaology11
| Criterio | Definición |
|---|---|
| Edad en años al inicio de la enfermedad | Inicio de los síntomas o hallazgos relacionados con la arteritis de Takayasu antes de los 40 años. |
| Claudicación de extremidades | Inicio y empeoramiento de fatiga e incomodidad en los músculos de una o más extremidades durante el uso, sobre todo en las extremidades superiores. |
| Disminución del pulso arterial braquial | Disminución de la pulsación de una o ambas arterias braquiales. |
| Diferencia de presión mayor de 10 mmHg | Diferencia mayor de 10 mmHg en la presión arterial sistólica entre brazos. |
| Soplo en las arterias subclavia y aorta | Soplo audible a la auscultación en una o ambas arterias subclavias o aorta abdominal. |
| Arteriografía anormal | >Estrechamiento u oclusión arteriográfica de toda la aorta, sus ramas primarias o grandes arterias en las extremidades superiores o inferiores proximales, no causado por arterioesclerosis, displasia fibromuscular o causas similares; cambios generalmente focales o segmentarios. |
Variables de estudio: edad de la paciente, semanas de gestación, antecedentes obstétricos, tiempo de diagnóstico de la enfermedad, tratamiento prescrito previo al embarazo e intervenciones practicadas. (Cuadro 2) Se incluyeron, además, variables vinculadas con la interrupción del embarazo: vía de nacimiento, sangrado estimado, tipo de anestesia, Apgar al nacimiento, medidas antropométricas del recién nacido y evolución durante el puerperio. Requerimiento de días de estancia en la unidad de cuidados intensivos y requerimiento de medidas de soporte avanzado.
RESULTADOS
Caso clínico 1
Paciente de 18 años, primigesta, con diagnóstico previo de arteritis de Takayasu tipo IIa a los 17 años. Antes de la concepción recibía tratamiento con corticosteroides, inmunosupresores, nifedipino 20 mg cada 24 horas y se le colocó un stent al mes del diagnóstico de la enfermedad. Ingresó al hospital a las 33 semanas de embarazo, sin previo control prenatal. Los exámenes de laboratorio al ingreso se reportaron sin alteraciones. A las 34 semanas las cifras tensionales se encontraron en 160-110 mmHg, con las que se estableció el diagnóstico de preeclampsia con datos de severidad. Se le administró una dosis única de 5 mg de hidralazina y 100 mg de hidrocortisona, ambas por via intravenosa y la segunda pautada cada 12 horas. Los estudios de laboratorio posteriores reportaron: leucocitos de 12,000/mm3, hemoglobina 10 g/dL, hematocrito 32%, examen general de orina con proteinuria de 300 mg, creatinina sérica 1.2 mg/dL, urea: 27 mg/dL, ácido úrico: 4.7 mg/dL, plaquetas: 120 mL/mm3, aspartato amino transferasa: 27 U/L, alanino amino transferasa: 33 U/L, bilirrubinas totales: 0.61 mg/dL, bilirrubina indirecta: 0.48 mg/dL, lactato deshidrogenasa: 157 U/L. Ante tales circunstancias se decidió la finalización del embarazo, por vía abdominal, con bloqueo epidural. Se obtuvo un recién nacido, de sexo masculino, de 1740 g, talla de 36 cm, Apgar 7/9, Capurro 34 semanas, Silverman Anderson 2. Placenta completa y sangrado de 400 cc. Durante el puerperio permaneció en vigilancia en la unidad de cuidados intensivos en donde tuvo un descontrol hipertensivo por lo que a la medicación se agregó 1 mg de prazosin por vía oral cada 12 horas. Como también cursó con oliguria se le administró una dosis única de 20 mg de furosemida intravenosa, con adecuada respuesta. Enseguida, la evolución fue favorable y al cuarto día se trasladó al piso de ginecoobstetricia, y un día después se dio de alta del hospital.
Caso clínico 2
Paciente de 23 años, primigesta, con diagnóstico de arteritis de Takayasu tipo V establecido a los 18 años. El tratamiento previo al embarazo fue con prednisona (sin especificar la dosis) y con colocación de dos stent. Ingresó al hospital a las 33.1 semanas de embarazo, sin control prenatal previo. Los exámenes de laboratorio al ingreso se reportaron sin alteraciones. Si bien la paciente permanecía estable, los cardiólogos propusieron la finalización del embarazo, como medida de máximo beneficio. Durante la vigilancia, las cifras tensionales se reportaron en 130-90 mmHg, proteinuria de 500 mg y creatinina de 1.1 mg/dL. Se integró el diagnóstico de preeclampsia con datos de severidad y restricción del crecimiento intrauterino, conforme al peso fetal estimado. Debido al difícil acceso vascular se decidió finalizar el embarazo por vía abdominal, con anestesia general. Se obtuvo un recién nacido de 1760 g, talla de 42 cm, Apgar 7/9, Capurro 33, Silverman Anderson 2 puntos. Placenta completa y sangrado de 300 cc. Se trasladó a la unidad de cuidados intensivos para observación y recibir tratamiento antihipertensivo con 30 mg de nifedipino por vía oral cada 24 horas. Posterior a la estancia de dos días se trasladó al piso de obstetricia, sin complicaciones, y con posterior alta al domicilio.
Caso clínico 3
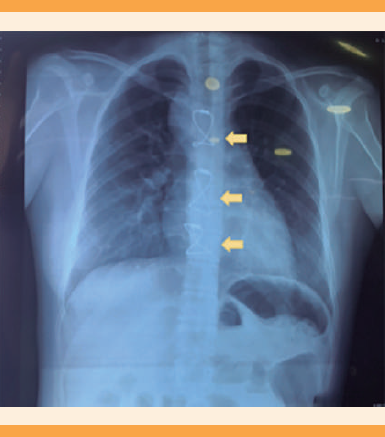
Paciente de 22 años, con diagnóstico a los 15 años de arteritis de Takayasu tipo V y tratamiento previo con prednisona (dosis no especificada). La paciente refirió haber recibido el diagnóstico de coartación de aorta, con aneurisma de la arteria mesentérica y una lesión en el plexo braquial por retención de un introductor en la arteria humeral; antecedente de colocación de un puente en la arteria mesentérica superior (2017), resección intestinal de 90 cm del íleo a 60 cm de la válvula ileocecal (2017), posoperada de un puente axilar humeral (2017) y derivación de la arteria aorta ascendente-aorta descendente (2018) (Figura 1). Tenía siete intervenciones quirúrgicas previas, sin acudir a seguimiento al servicio de Cardiología desde 2019. Ingresó al hospital a las 32.4 semanas de embarazo (con seis consultas de control prenatal en un centro de salud, pero sin referencia a un centro de tercer nivel de atención, ni valoración por un cardiólogo). En la revisión inicial se detectó la presión arterial en las extremidades superiores de 90-60 mmHg, segunda toma 100-70 mmHg, con leve disminución de los pulsos pedios. En la exploración física se encontró con modificaciones cervicales con las que se integró el diagnóstico de amenaza de parto pretérmino. Se le indió tratamiento tocolítico con 10 mg de nifedipino por vía oral cada 6 horas. Los exámenes de laboratorio al ingreso se reportaron normales. Durante la vigilancia, en la valoración por el reumatólogo se indicó enoxaparina en el puerperio. El cardiólogo propuso la finalización del embarazo. El ecocardiograma portátil reportó función preservada, sin datos de hipertensión pulmonar. La paciente fue valorada e ingresada a la unidad de cuidados intensivos. Durante la estancia permaneció sin remisión de la actividad uterina; se decidió finalizar el embarazo por vía abdominal, previa valoración por parte del intensivista, cirujano general y anestesiólogo para la colocación de un catéter venoso central, que se insertó por vía periférica guiado por ultrasonido (Figura 2). Se procedió a la cesárea, con anestesia general. Se obtuvo una recién nacida de 1970 g, talla de 41 cm, Apgar 7/8, Capurro de 34 semanas, Silverman Anderson 1. Placenta completa con sangrado de 250 cc. Durante la intervención se encontraron múltiples adherencias al intestino, íntima relación con la cavidad debido a las reintervenciones previas (Figura 3) pero sin complicaciones. La paciente se trasladó a la unidad de terapia intensiva, para observación, sin requerimiento de medidas de soporte avanzadas. La evolución fue favorable durante cuatro días, más otro en el piso de ginecología y obstetricia, con posterior alta del hospital.
DISCUSIÓN
De los casos previos, con una enfermedad en común, se desprende que el embarazo en pacientes con arteritis de Takayasu se relaciona con diversas complicaciones. Ramírez Cueto y Fernández del Castillo publicaron, en 1968, el primer caso de arteritis de Takayasu y embarazo en México. Posteriormente, el segundo estudio se llevó a cabo en el 2010 en el Instituto Nacional de Perinatología Isidro Espinosa de los Reyes.12
En el ensayo que aquí se publica, los casos se evaluaron retrospectivamente conforme a la evolución clínica y los estudios complementarios. Se identificaron pacientes categorizadas con embarazos de alto riesgo obstétrico, sin control prenatal ni seguimiento por cardiología o referencia a un segundo o tercer nivel de atención hospitalaria. La paciente del caso 3, con aparente control prenatal en un centro de salud (aparente porque ante el alto riesgo no se envió para su atención y seguimiento temprano a un centro de mayor complejidad) salió avante gracias a la atención multidisciplinaria. Entre las complicaciones principales sobresale la preeclampsia con datos de severidad y restricción del crecimiento intrauterino, circunstancias que requieren atención multidisciplinaria.
Por lo que se refiere al tratamiento durante el embarazo, la arteritis de Takayasu es una enfermedad con mayor prevalencia en mujeres, más allá de sus años reproductivos, lo que representa que el tratamiento durante el embarazo sea un desafío. Está descrito que muchos medicamentos indicados a pacientes con la enfermedad se consideran de bajo riesgo durante el embarazo, incluida la prednisona.13,14
Con respecto a la vigilancia hemódinamica durante la intervención quirúgica, puesto que la arteritis de Takayasu afecta a los vasos de mayor calibre, debe prestarse atención a la hemodinamia en el momento de la finalización del embarazo. La monitorización de la presión arterial y del pulso puede ser diferente en ambos miembros superiores; por ello debe colocarse el sensor infrarrojo de oximetría de pulso en la extremidad menos afectada.15 En pacientes con díficil acceso arterial, según la enfermedad, se requiere una guía por ultrasonido.
Durante la estancia hospitalaria todas las pacientes fueron valoradas por cardiólogos e intensivistas, con una estancia media durante el puerperio de 2.6 días. No se requirieron medidas de soporte avanzadas.
En este estudio, las principales complicaciones obstéricas y perinatales fueron la preeclampsia y la restricción del crecimiento intrauterino, lo que concuerda con lo reportado por Gönenli y coautores, quienes en un ensayo de cohorte llevado a cabo en Turquía, en el que evaluaron a 296 pacientes embarazadas con arteritis de Takayasu encontraron que las gestaciones después del inicio de la enfermedad se asociaban con hipertensión arterial crónica y preeclampsia-eclampsia.16,17
De acuerdo con la morbilidad del embarazo en pacientes con arteritis de Takayasu, en un estudio retrospectivo efectuado en Corea con 12 pacientes, se evaluaron las clasificaciones angiográficas en el momento del diagnóstico y la actividad de la enfermedad a la hora del parto. La vía de nacimiento fue, en casi todas las pacientes, por cesárea, lo que concuerda con lo aquí comunicado.18,19,20
Entre las complicaciones neonatales del estudio aquí comunicado, comparadas con las de la bibliografía, están el peso bajo al nacer y la restricción del crecimiento intruaterino.21,22,23
No se reportaron muertes maternas ni perinatales. En todas las pacientes con alta a su domicilio el descenlace fue favorable.
Como limitaciones del estudio están las variables no incluidas: antecedentes heredofamiliares, historial médico previo al embarazo, condición socioeconómica, entre otras que permitan individualizar a las pacientes.
Entre las fortalezas del estudio destaca la incidencia de tres casos en cuatro años de una enfermedad poco frecuente, pero que a pesar de ello permite extrapolar los desenlaces a México, para futuras investigaciones. En el caso del estado de Yucatán, no se encontraron reportes previos de casos atendidos en este estado de la República Mexicana, hecho que habrá de servir de referencia valiosa para favorecer un mejor acceso a servicios de salud de alta especialidad en atención de pacientes de alto riesgo.
CONCLUSIÓN
Si la enfermedad de Takayasu prevalece en mujeres en edad fértil es importante conocer cuáles pueden ser las afectaciones cuando concurre con el embarazo y cuáles los desenlaces perinatales. El conocimiento del curso clínico, diagnóstico, tratamiento y vigilancia multidisciplinaria representa un reto para la supervivencia de estas pacientes.










text new page (beta)





