SciELO - Scientific Electronic Library Online

 
vol.67 issue2Imaging and Histological Approach for the Diagnosis of Pulmonary Lesions by SARS-CoV-2. Report of a CaseHistory of Research in Sleep Disorders and its First Clinic in Mexico author indexsubject indexsearch form
Home Pagealphabetic serial listing  

Services on Demand

Journal

Article

Indicators

Related links

  • Have no similar articlesSimilars in SciELO

Share


Revista de la Facultad de Medicina (México)

On-line version ISSN 2448-4865Print version ISSN 0026-1742

Rev. Fac. Med. (Méx.) vol.67 n.2 Ciudad de México Mar./Apr. 2024  Epub July 26, 2024

https://doi.org/10.22201/fm.24484865e.2024.67.2.05 

Caso clínico radiológico

Haga su diagnóstico

Ana Paola Cerda Sáncheza  * 
http://orcid.org/0000-0002-0375-9974

Mariedel Trujeque Matos1 

a Departamento de Imagenología, Hospital Ángeles Pedregal. Ciudad de México, México.


Sección a cargo del Dr. José Luis Ramírez-Arias

  1. ¿Cómo se le llama al cuerpo extraño dejado accidentalmente en el abdomen durante una intervención quirúrgica?

    1. Textiloma

    2. Adenoma

    3. Sarcoma

  2. ¿Cuál es el principal síntoma que presenta un paciente con este diagnóstico?

    1. Infección

    2. Náusea y vómito

    3. Dolor abdominal

    4. Fiebre

  3. ¿Cuál sería el primer diagnóstico diferencial?

    1. Sangrado

    2. Tumor

    3. Absceso

    4. Linfangioma

    5. Quiste

  4. ¿Cuál es el método de imagen de elección para el diagnóstico?

    1. Radiografía

    2. Ultrasonido

    3. Tomografía

    4. Resonancia magnética

  5. ¿Cuáles son los sitios más comunes de retención de compresas?

    1. Abdomen y pelvis

    2. Intratorácico

    3. Columna lumbar

    4. Topografía musculoesquelética

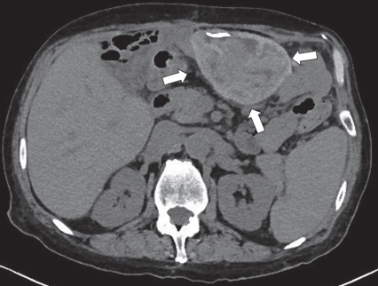
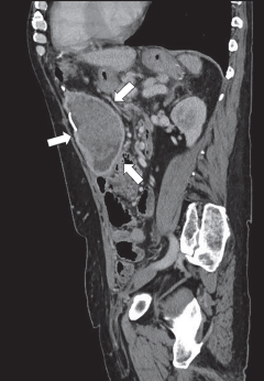
Paciente del sexo masculino, de 60 años, con antecedente de trasplante hepático 6 meses previos; acudió a urgencias por picos febriles de hasta 39° C, que iniciaron tres días antes de su ingreso, acompañado de evacuaciones diarreicas, cuadro que se trató por médico hepatólogo con antibiótico debido al estado de inmunodepresión del paciente postrasplante. A pesar del tratamiento, persistió con los síntomas descritos, acudió con panel gastrointestinal y coprológico negativos.

Figura 1 Tomografía de abdomen simple en plano axial 

Figura 2 Tomografía de abdomen simple en plano sagital 

Respuestas: 1: a; 2: c; 3: c; 4: c; 5: a.

Bibliografía

Manzella A, Filho PB, Albuquerque E et al. Imaging of gossypibomas: pictorial review. AJR Am J Roentgenol. 2009;193 (6_supplement):S94-101. doi:10.2214/AJR.07.7132 [ Links ]

Motta Ramírez GA, et al. Textiloma intraluminal: complicación tardía de una cirugía intraabdominal. Anales de Radiología México. 2019;17(4). https://doi.org/10.24875/arm.18000015 [ Links ]

Motta Ramírez GA, Rodríguez Treviño C, Ramírez Arias JL, et al. Material quirúrgico retenido y acciones para evitar el error. ¿Debe operarse?. Acta Médica Grupo Ángeles. 2009 julio;7(3):158-164. https://tinyurl.com/2bgqyaw8Links ]

*Autor para correspondencia: Ana Paola Cerda Sánchez. Correo electrónico: dra.paolacerda@gmail.com

Creative Commons License Este es un artículo publicado en acceso abierto bajo una licencia Creative Commons