Services on Demand
Journal
Article
Indicators
-
Cited by SciELO -
Access statistics
Related links
-
Similars in
SciELO
Share
Boletín médico del Hospital Infantil de México
Print version ISSN 1665-1146
Bol. Med. Hosp. Infant. Mex. vol.66 n.1 México Jan./Feb. 2009
Caso clínicopatológico
Astrocitoma pilocítico de cerebelo (K-07-1028) con tumor residual
Pilocytic astrocytroma of the cerebelum (K-07-1028) with residual tumor
Rubén Espinosa-Montero1, Blanca Santana1, Eduardo Miguel Flores-Armas2, Stanislaw Sadowinski-Pine3
1 Departamentos de Neurocirugía,Hospital Infantil de México Federico Gómez, México, D.F., México.
2 Radiología e Imagen,Hospital Infantil de México Federico Gómez, México, D.F., México.
3 Patología, Hospital Infantil de México Federico Gómez, México, D.F., México.
Solicitud de sobretiros:
Dr. Rubén Espinosa Montero
Departamento de Neurocirugía,
Hospital Infantil de México Federico Gómez,
Calle Dr. Márquez Núm. 162, Col. Doctores,
Deleg. Cuauhtémoc, C.P. 06720,
México, D.F., México.
Fecha de recepción: 15-07-2008.
Fecha de aprobación: 25-11-2008.
Resumen de la historia clínica
Se trata de masculino de siete años de edad que estuvo hospitalizado del 6 de junio al 13 de agosto de 2007, y debutó con un cuadro clínico de cefalea, vómito y alteración de la marcha. Es hijo de madre de 27 años de edad, escolaridad preparatoria incompleta, ama de casa. Padre que no convive con el núcleo familiar, dos hermanos sanos. Habita en casa prestada, cuenta con todos los servicios intra y extradomiciliarios, hábitos higiénico-dietéticos regulares. Desarrollo psicomotor: sonrisa social a los dos meses, sostén cefálico a los cuatro meses, bipedestación a los nueve meses, deambulación al año cuatro meses; escolaridad primero de primaria con adecuado aprovechamiento escolar. Esquema de vacunación completo para la edad, sin mostrar cartilla de vacunación.
Es producto de la GIII, con adecuado control prenatal, de término, obtenido por parto eutócico en hospital del Instituto Mexicano del Seguro Social, sin datos de asfixia perinatal, desconociéndose peso, talla y calificación de Apgar. Enfermedades exantemáticas: varicela a los siete años (seis semanas previas a su ingreso). Fue referido a nuestro hospital con una derivación ventrículo-peritoneal.
El padecimiento actual de un año de evolución con cefalea, de inicio súbito, en región frontal, y posteriormente generalizada, tipo opresivo, inicialmente de intensidad leve, progresando a intenso, con rechazo a la vía oral. Vómito de inicio súbito de cantidad moderada, postprandial mediato, acompañado de náusea y arqueo. Alteración de la marcha de seis semanas de evolución, posterior a cuadro de varicela, con incapacidad para la deambulación.
A su ingreso se le encontró con un peso de 20 kg, talla 129 cm, frecuencia cardiaca (FC) de 115/ min, frecuencia respiratoria 20/min, tensión arterial 100/60 mm Hg, temperatura 36.5 °C; caquéctico, postrado en cama, sin interacción con el medio, valoración de Glasgow de 12, somnoliento, con respuesta al estímulo álgico, edema papilar bilateral, cuadriparesia espástica, con hiperreflexia, adecuado estado de hidratación e imposibilidad a la marcha. Cráneo con herida quirúrgica en región parietal derecha, con válvula de derivación ventrículoperitoneal; pupilas isocóricas, normorrefléxicas a la luz. Narinas permeables, cavidad oral bien hidratada, faringe sin alteraciones. Tórax con movimientos de amplexión y amplexación sin alteraciones con campos pulmonares bien ventilados. Región precordial normodinámico con ruidos cardiacos rítmicos de buen tono e intensidad, sin agregados. Abdomen blando, depresible, no doloroso a la palpación, con peristalsis presente y normal, con cicatriz de herida quirúrgica en flanco derecho. Genitales de acuerdo a sexo y edad, con testículos en bolsas escrotales, Tanner 1. Extremidades íntegras, simétricas, sin movimientos anormales, con pulsos presentes, llenado capilar adecuado, sensibilidad presente, signo de Babinski bilateral, anacusia bilateral. Estrabismo divergente, pérdida de reflejo nauseoso y tusígeno.
En la tomografía axial computada (TAC) de cráneo simple y contrastada se evidenció derivación ventricular coronal y con una lesión quística cerebelosa. Se ingresó al Servicio de Terapia Intensiva.
07-junio-2007. En quirófano se realizó craniectomía suboccipital y resección tumoral en 95%. Ingresó a terapia quirúrgica, manejándose con ayuno, soluciones de base a 1 800 mL/m2sc/día, potasio 30 mEq, calcio 100 mg, magnesio 50 mg, ranitidina 2 mg/kg/dosis, vitamina K 0.3 mg/kg/ dosis, gluconato de calcio 100 mg/kg/dosis, dexametasona 4 mg cada seis horas, midazolam 100 ¡ig/ kg/dosis, vecuronio 100 ¡ig/kg/dosis, lidocaína 1 mg/kg/dosis, cefalotina a 100 mg/kg/día, manteniendo tensión arterial media (TAM) de 97 mm Hg, presión venosa central (PVC) 4 cm H2O. Bajo ventilación en fase III en modo AC, FiO2 40%, PIM 12, VC 165, PEEP 3, T 0.66, Rel I:E: 3:6.5, con 20 ciclos por minuto. Con infusión de midazolam y fentanyl. Posición de la cabeza 15°.
08-junio-2007. TAM por encima de 100 mm Hg, con hidralazina a 0.2 mg/kg/dosis, presentó epistaxis. PVC de 1 cm H2O. Con extubación fallida, presentó desaturación con cambios pupilares (pupila izquierda 4, derecha 2), y bradicardia, por lo que se decidió intubación. Presentó disminución de la fuerza del brazo derecho 1/5. TAC de cráneo mostró resección total sin hemorragia ni edema en lecho quirúrgico. Posterior al estudio se extubó sin incidentes, dos horas después presentó desaturación al cambio de cama, observándose cambios pupilares, por lo que se reintubó al tercer intento por edema de la vía aérea, presentando anisocoria y hemiplejía izquierda. Se realizó nueva TAC de cráneo donde se observó edema cerebral.
12-junio-2007. Se extubó con éxito, con tendencia a la hipertensión con TAM de 70-100 mm Hg, FC 100/min, alternando con bradicardias, asociadas a picos hipertensivos, se agregó clonidina a 20 ¡ig/kg/día. Electroencefalograma (EEG): disfunción moderada a severa.
14-junio-2007. Se trasladó a terapia intermedia, refiriéndose movimientos clónicos en hemi-cara derecha, impregnación con fenitoína a 20 mg/ kg/dosis, mantenimiento 7 mg/kg/día. Se interconsultó al servicio de neurología, quien lo observó: somnoliento, sin obedecer indicaciones, postrado, con fondo de ojo normal, pupilas con tendencia a midriasis, fenómeno de Marcus-Gun izquierdo, movimientos oculares no valorables, reflejo nauseoso presente, fasciculaciones linguales, y con sialorrea. En el aspecto motor: trofismo disminuido en forma global, reflejos osteotendinosos ++ en hemicuerpo derecho, + en hemicuerpo izquierdo, fuerza 3/5 global, respuesta plantar extensora inconstante bilateral, Vinda y Shadock positivos (+). Se diagnosticó enfermedad cerebral perdedora de sal, manejada con restricción hídrica.
18 a 21-junio-2007. Se recibió reporte de patología, indicando que se trataba de un astrocitoma pilocítico. Ingresó a quirófano para lavado y cierre de herida quirúrgica dehiscente bajo anestesia. Presentó picos febriles, se tomó líquido cefalorraquídeo (LCR) de reservorio valvular para cultivo, reportándose cocos grampositivos. Nutrición: incremento de aporte energético, se sugirió sonda de silicón. Desarrolló úlcera por decúbito en inión. Punción del reservorio con LCR de aspecto turbio, color xantocrómico, proteínas de 90 mg, glucosa 61 mg, leucocitos 235/mm3, polimorfonucleares 93%, monocitos 7%. Se aislaron cocos grampositivos y se inició con vancomicina a 60 mg/kg/día cada seis horas.
23 a 30-junio-2007. Presentó sangrado de tubo digestivo, colocándose sonda nasogástrica e iniciándose reposiciones de pérdidas al 100% con solución Hartmann. Ingresó a quirófano para aseo quirúrgico. Se agregó cefepime a 150 mg/kg/dosis por persistencia de fiebre. Cultivos positivos para Staphyloccocus immitis y Klebsiella pneumoniae. Se realizó aseo de herida quirúrgica, con salida de 200 cc de material purulento; se retiró la válvula de derivación ventrículo-peritoneal y se realizó ventriculostomía. Presentó crisis convulsivas, yuguladas con diazepam.
06 a 11-julio-2007. Se suspendió la vancomicina, cumpliendo 14 días, continuó con cefepime hasta completar 21 días. Se realizó colocación de válvula de derivación ventrículo-peritoneal, con cultivos negativos. Inició captopril a 0.5 mg/kg/ dosis. Con corrección de sodio. Dieta licuada de 1 200 kcal/1 500 mL. Con peso de 17.5 kg. Densidad urinaria: 1 030; osmolaridad sérica: 270 mOsm; osmolaridad urinaria 323. No se administró quimioterapia por proceso infeccioso. Se realizó restricción de líquidos y se suspendió corrección de sodio por presentar hipernatremia. Presentó hipertensión arterial con períodos de apnea y acidosis metabólica, por lo que se realizó intubación endotraqueal. Se efectuó resonancia magnética (RM) que mostró presencia de reforzamiento meníngeo y datos de infarto occipital derecho y ventriculitis.
17 a 18-julio-2007. Presentó picos febriles, sin relación con su entorno, con afección de los pares craneales II, VIII, IX y X. Inició hidralazina a 0.1 mg/kg/dosis por hipertensión arterial. Se reportó en examen general de orina formas invasivas, blastoconidias y pseudomicelios, iniciando fluconazol. Se realizó corrección de sodio por presentar hiponatremia de 120 mEq/L. Se manejó con esteroide por nefropatía perdedora de sal. Ingresó a quirófano para retiro de sistema de derivación por colonización del sistema, se dejó ventriculostomía. Iniciando con vancomicina a 60 mg/kg/día cada seis horas y clonidina para control de hipertensión arterial sistémica.
20-julio-2007. Se efectuó TAC de cráneo, simple y contrastada, donde se observó ventriculomegalia con ligero desplazamiento de la línea media. Se inició corrección de sodio 121 a 131 mEq, con soluciones basales a 1 800 mL/m2sc/día; glucosa a 20 mg/m2sc/día, sodio 75 mEq/m2sc/día, potasio 40 mEq/m2sc/día, calcio 100 mg/kg/día, magnesio 50 mg/kg/día, clonidina a 10 ¡ig/kg/día, fenitoína a 7 mg/kg/día, nifedipino 0.25 mg/kg/día, hidralazina 0.1 mg/kg/día, cefepime 150 mg/kg/día, vancomicina 60 mg/kg/día, fluconazol 6 mg/kg/día. Se suspendió cefepime, vancomicina y fluconazol. Cirugía de tórax realizó gastrostomía transendoscópica y traqueostomía por intubación prolongada.
03-agosto-2007. Se reportó un examen general de orina positivo para levaduras, con sospecha de Candida, por lo que se inició fluconazol a 6 mg/ kg/día. Gastroenterología: aporte de sodio vía oral (sodio actual 131 mEq) 50 mEq/m2sc/día en licuados cada cuatro horas.
06-agosto-2007. Presentó somnolencia; se realizó TAC de cráneo donde se observó hidrocefalia activa, neumoencéfalo izquierdo. Ingresando a quirófano para colocación de válvula de derivación peritoneal, parietal posterior derecha y retiro de ventriculostomía. Continuó con hipertensión arterial de 164/128 mm Hg, iniciándose hidralazina a 2 mg/kg/día vía oral.
08-agosto-2007. Continuó con picos hipertensivos por lo que se incrementó hidralazina a 4 mg/ kg/día cada ocho horas. Persistiendo indiferente al medio con Glasgow de 8. Bajo apoyo ventilatorio con nebulizador.
12-agosto-2007. Se trasladó a piso para completar esquema con fluconazol. Manteniendo tensión arterial de 140/90 mm Hg. Control de sodio 131 mEq, con incremento de líquidos a 1 000 m2sc/ día. A la exploración neurológica: reactivo a estímulos, espasticidad, hiperreflexia en cuatro extremidades, con pupilas isocóricas y normorrefléxicas.
13-agosto-2007. Presentó una crisis convulsiva de 25 segundos de duración. Se impregnó con fenitoína a 20 mg/kg/día y mantenimiento, cuatro horas después presentó paro cardiorrespiratorio sin respuesta a maniobras avanzadas de reanimación.
Comentario de radiología
Dr. Eduardo Miguel Flores Armas (adscrito al Departamento de Radiología e Imagen). El paciente cuenta con varios estudios de TAC y RM de encéfalo. La primera tomografía es del 6 de junio de 2007, donde observamos, en un corte a nivel de la fosa posterior, la presencia de una imagen con densidad heterogénea, con zonas hiperdensas, que corresponden a calcificaciones que alternan con zonas hipodensas que pueden corresponder a líquido y áreas de necrosis; posterior a la administración de contraste endovenoso, logramos delimitar mejor las zonas quísticas del tumor, teniendo un realce heterogéneo muy intenso en su periferia, en la reconstrucción coronal y sagital se observó tumor infratentorial con efecto de masa sobre el tallo cerebral, puente, y mesencéfalo, así como desplazamiento de las estructuras venosas (Fig. 1).
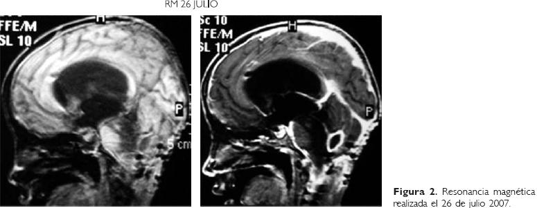
No se cuenta con estudio inicial de RM; en el estudio realizado el 26 de julio (Fig. 2), podemos observar, en la secuencia eco de gradiente (también llamada secuencia hemo), en el lecho quirúrgico, un remanente de hemosiderina con una colección adyacente. Llama la atención que persistía con la dilatación importante de los ventrículos, discretamente asimétrica, observando en la región parietooccipital derecha, una zona también con restos de hemosiderina. En el resto del estudio, en fase simple, observamos una imagen heterogénea en lo que fue la zona del tumor, observando una hiperintensidad periférica, que correlaciona con una zona de sangrado en fase tardía, y la imagen sagital T1 simple, mostró zona heterointensa que, con la administración de gadolinio, tuvo un realce intenso de su periferia, con una zona hipointensa en su interior. Cabe recalcar que se observó un realce de las meninges de forma generalizada; en toda la base del cráneo, por delante del tallo cerebral, se apreció una imagen que se continuaba hacia el conducto raquídeo, por lo que se realizó una imagen de extensión de toda la columna (imagen T1 sagital [Fig. 3]), en donde normalmente el LCR que rodea la médula es hipointenso, se apreciaba la médula, la zona del lecho quirúrgico, con hiperintensidad que correspondía a un realce meníngeo intenso, que rodeaba prácticamente a toda la médula.

Se concluye que se trató de un astrocitoma de alto grado, probablemente anaplásico, o un glioblastoma multiforme, con una imagen de neuroinfección; probable absceso en el lecho quirúrgico; y a descartar extensión, ya sea del tumor o del proceso infeccioso al resto del conducto raquídeo (Figs. 1, 2 y 3).
Discusión del caso clínico
Dra. Blanca Santana (adscrita al Servicio de Neurocirugía). En primer lugar, quiero comentar que esta sesión se presenta como un caso abierto, como ya todos leímos en la historia clínica, sabemos que se trata de un astrocitoma pilocítico, y lo interesante es discutir si estos tumores son de características benignas, que normalmente se curan con la resección quirúrgica, y qué fue lo que sucedió con este paciente, que falleció. Dentro de los antecedentes tenemos algunos datos importantes, primero el de la desintegración familiar de la que proviene este paciente, se refiere en la historia clínica que los padres estaban separados, y esto pudo condicionar que el paciente llegara en una forma tardía al hospital, porque como notamos, tardó un año para llegar a su tratamiento final.
Con los signos y síntomas descritos podemos integrar algunos síndromes neurológicos, como el de hipertensión endocraneana por la cefalalgia, vómito, alteraciones en el estado de despierto y edema de papila; encontramos también el síndrome piramidal, que se caracteriza por cuadriparesia espástica, hiperreflexia y Babinski bilateral. Datos de alteración de pares craneales bajos como anacusia bilateral, estrabismo divergente, ausencia de reflejo nauseoso y tusígeno; los datos anteriores ubican la lesión en la fosa posterior, a nivel del cerebelo y tallo cerebral.
Dentro de la patología tumoral que encontramos en cerebelo y cuarto ventrículo en los niños, podemos pensar primero en astrocitomas, de éstos el más común es el de bajo grado, como en este caso, el astrocitoma pilocítico, después se debe pensar en los meduloblastomas y ependimomas.
El astrocitoma es el tipo histológico más común de las neoplasias cerebrales en niños, y según la serie de nuestro hospital, sabemos que representa 32.4% de los tumores del sistema nervioso central y puede ser infra o supratentorial; para algunos autores, este tumor representa 5 a 8% de todos los gliomas, y de 35 a 40% de las neoplasias de fosa posterior.
Los astrocitomas que se localizan en la línea media y se extienden a los hemisferios, normalmente son de consistencia sólida, y los que están laterales se presentan más como lo mencionó el doctor Flores, de consistencia quística y con un nódulo mural.
La característica de estos tumores es que son de crecimiento lento y normalmente dan pocos síntomas al inicio, y los primeros síntomas son por la compresión al IV ventrículo, causando hidrocefalia que en su inicio es compensada y posteriormente puede requerir tratamiento quirúrgico.
Sólo 30 a 40% de los pacientes requieren una derivación definitiva, y esto es porque si se hace la resección total del tumor puede liberarse el flujo del LCR y permitir que siga su funcionamiento normal, sin requerir una derivación, entonces cuando el paciente está estable se puede utilizar una ventriculostomía transoperatoria, la cual se deja después de la cirugía y se hacen pruebas para determinar si requiere la derivación o no; en este caso, el paciente fue referido de otro hospital con una derivación definitiva funcional, suponemos que el paciente cursó con una hidrocefalia descompensada.
Cabe mencionar que el paciente presentaba una desnutrición aguda, de grado II por un déficit de peso para su talla de 23.66%. El niño era más alto de lo esperado para su edad, la talla debía ser de 121 cm y el peso para su talla de 26 kg, por lo tanto, si hacemos la correlación, cursaba con una desnutrición aguda de grado II. Este dato es importante, ya que la desnutrición se asocia con mala evolución con una mortalidad de 25% en tumores malignos y con quimioterapia puede ser hasta de 50%.
El paciente se recibió el día previo a la cirugía, se preparó con esteroide y diurético; el objetivo de la cirugía es la resección total de la lesión.
Se informa en la literatura que puede haber resecciones parciales como de 19 a 53%, debido a la invasión de estructuras vecinas como el tallo cerebral, que en ocasiones puede impedir su retiro total, y en otras por la proliferación vascular que tienen estos tumores, esta invasión se presenta tanto en astrocitomas hipotalámicos y de vías ópticas como en los cerebelosos, y se considera que pueden malignizarse hasta en 11%.
Se le realizó craniectomía suboccipital, esto se hace con el paciente en posición de decúbito dorsal y el abordaje es transvermiano. Existen diferentes técnicas, pero ésta, en los niños, es la mejor, ya que nos evita complicaciones graves, debido a otras posiciones, como la embolia aérea. Después de la resección del tumor, el estudio de imagen, como ya nos lo presentaron, es esencial para saber el porcentaje de resección y con esto decidir si se tiene que reintervenir o mantenerlo en vigilancia.
Generalmente, estos tumores no requieren tratamiento con quimio o radioterapia, y después de resección total, únicamente se mantienen en vigilancia; al día siguiente, se realizó TAC y se comprobó que hubo una resección total. El paciente se extubó y presentó una desaturación, presentando posteriormente hemiplejía izquierda. Se realizó nueva TAC y se observó edema cerebral. Después de este evento se encontraron complicaciones que sugerían alteración supratentorial y el abordaje había sido infratentorial. El paciente presentó crisis convulsivas, asociadas a EEG con disfunción moderada a severa, y se agregó enfermedad cerebral perdedora de sal con hipertensión arterial y bradicardias; datos sugestivos de afección al tallo cerebral. Otras complicaciones fueron la dehiscencia de herida quirúrgica secundaria a úlcera de decúbito en región occipital, lo que condicionó infección local así como del sistema derivativo, que terminó en una complicación más grave que fue una meningoencefalitis, requiriendo que se mantuviera al paciente con drenaje externo por tiempo prolongado, además de documentarse infección urinaria por presencia de levaduras.
La frecuencia de infecciones posteriores a intervenciones quirúrgicas en el sistema nervioso central, oscila de 0.5 a 10%; las infecciones por derivación ventrículo-peritoneal en nuestra serie de 212 casos es de 4.9%.
Los gérmenes más frecuentemente aislados son los cocos grampositivos como Staphylococcus epidermidis y Staphylococcus aureus, también se ha aislado Pseudomonas aeruginosa en pacientes ventilados crónicamente.
Cuando se mantiene un drenaje externo por mucho tiempo asociado a neuroinfección, después de un tiempo adecuado de la administración de antibióticos y tres cultivos seriados negativos, se le coloca la derivación definitiva. Como se vio en los estudios de imagen, los ventrículos se mantuvieron dilatados a pesar de drenajes externos como internos funcionales, entonces consideramos que la dilatación ventricular era secundaria a hidrocefalia ex vacuo por pérdida de elasticidad y complianza del parénquima, además, el paciente desarrolló infartos corticales occipitales como complicación.
Al paciente se le practicaron procedimientos para mantener adecuadamente su nutrición, como lo comenté, ingresó con desnutrición grado III, con peso de 20 kg, se le realizó traqueostomía y gastrostomía para mejorar sus condiciones generales; sin embargo, a pesar de tener aporte calórico adecuado, continuaba perdiendo peso, y al momento en que el paciente falleció pesaba 16 kg.
Aunque se menciona que el astrocitoma pilocítico es benigno y que se puede curar con la cirugía, la supervivencia referida en la literatura en los primeros cinco años es de 90 a 100%, es decir que 1 de cada 10 niños puede llegar a fallecer por esta causa.
En estas mismas series, las complicaciones mayores, como alteración en el tallo cerebral, parálisis en nervios craneanos, meningitis, deterioro motor, disartrias cerebelosas y cambios severos de la personalidad, se presentan en 3 a 8% de los casos; nuestro paciente tuvo muchas de estas complicaciones.1-6
Para terminar, considero que el tratamiento del paciente fue tardío por el tiempo de evolución que tenemos, la hipertensión intracraneana crónica propició daños neurológicos irreversibles, que fueron visibles desde el momento de su ingreso, y que la desnutrición fue un factor determinante para la evolución final de este paciente, que causó complicaciones tan graves como la alteración de la cicatrización y probable inmunosupresión que favoreció la aparición de infecciones graves, las cuales fueron de muy difícil tratamiento y, como se ha comprobado que sucede en tumores malignos como los meduloblastomas, todo esto en conjunto cambió la evolución que debía haber sido muy buena para este paciente, y que debía ser tentativamente curativa con la cirugía.
Diagnósticos finales
1. Astrocitoma pilocítico.
2. Hipertensión intracraneana crónica, con daño al tallo cerebral.
3. Meningoencefalitis.
4. Infarto cerebral.
5. Desnutrición grado III.
6. Causa directa de muerte: daño al tallo cerebral.
Hallazgos anatomopatológicos
Dr. Stanislaw Sadowinski Pine (Jefe del Departamento de Patología). Recibimos de este paciente, para estudio transoperatorio y definitivo, fragmentos de tumor de cerebelo del que se realizaron preparaciones por aplastamiento entre dos laminillas (Squash) del tejido en fresco, que es la técnica adecuada para identificar la morfología de los tumores cerebrales, y se puede ver que los astrocitos eran elongados (similares a pelos), con extensiones bipolares del citoplasma, y tenían núcleos elongados uniformes. Los astrocitos muestran condensaciones de sus prolongaciones o fibras de Rosenthal, y fue diagnosticado como astrocitoma pilocítico (Fig. 4).
En el estudio de inmunohistoquímica, las células neoplásicas muestran expresión de proteína ácida gliofibrilar (Fig. 5). Los astrocitomas pilocíticos pueden tener una proliferación vascular pronunciada que forman estructuras glomeruloides sin proliferación de células endoteliales, este fenómeno es de utilidad, ya que es lo que explica que presenten realce con el medio de contraste en los estudios de imagen. Las biopsias bilaterales de médula ósea son normales y sin evidencia de células neoplásicas.

En la autopsia se encontró un paciente muy adelgazado, caquéctico, con traqueostomía, gastrostomía, y derivación ventrículo-peritoneal permeables, con escara de decúbito en occipucio que involucraba el hueso.
El cerebro pesó 1 500 g vs 1 200 g, con datos de edema; las meninges de la base de aspecto edematoso, transparentes, con depósito de material translucido de aspecto mucoide, similar al que se observa en el contenido de los quistes de los astrocitomas quísticos del cerebelo, que rodeaba la arteria basilar y que correspondía a infiltración de las leptomeninges por el astrocitoma (Fig. 6).
Al corte, podemos observar en el cerebelo un lecho quirúrgico irregular, anfractuoso, con zonas de hemorragia antigua; se identificó un nódulo de tumor remanente, adyacente al puente, con zonas de hemorragia. Al estudio histológico, el tumor residual mostraba una imagen característica de astrocitoma pilocítico; no había mitosis ni necrosis, y en algunas áreas presentaba focos de calcificación. Cabe mencionar que en la gran mayoría, los astrocitomas pilocíticos comienzan y terminan como tal y es la excepción que progresen a un glioma de mayor grado o se malignicen. El tejido cerebeloso adyacente tenía áreas de gliosis, edema y pérdida de neuronas en la granular interna y células de Purkinje. Los plexos coroides del IV ventrículo habían sido atrapados por infiltrado inflamatorio, con predominio de mononucleares, entre los que se identifican células neoplásicas con extensa proliferación vascular. Había, además, una ependimitis granular, cerebritis y aracnoiditis crónica en la médula espinal. Los cortes axiales del cerebro mostraban gran dilatación de los ventrículos laterales y un infarto hemorrágico en el lóbulo parietal del lado derecho.
El resto de la autopsia de este paciente mostraba: neumonía aguda bilateral de focos múltiples, enfisema multifocal subpleural, cardiomegalia de 140 vs 100 g, con hipertrofia de las paredes del ventrículo izquierdo, principalmente.
Había datos anatómicos de choque con bandas de contracción en la musculatura del intestino delgado, los riñones mostraban congestión, sobre todo a nivel de la corteza, y necrosis tubular aguda, además de congestión centro-lobulillar hepática.
El bazo estaba también discretamente aumentado de peso y mostraba congestión de la pulpa roja. El timo estaba atrófico, pesó 2 vs 20 g con dilatación de los corpúsculos de Hassall y disminución de linfocitos en la corteza.
En los pulmones se encontraron trombos antiguos con datos de recanalización, y trombos de fibrina en arteriolas como dato de coagulación in-travascular diseminada. La vejiga sin alteraciones macroscópicas, y microscópicamente no se encontró infección por hongos.
Los cultivos post mortem desarrollaron Escherichia coli en sangre, pulmón derecho, la úlcera del cráneo y de bazo; en este último, además, hubo desarrollo de Enteroccocus faecium. Los cultivos de LCR, pulmón izquierdo e hígado sin desarrollo.
Diagnósticos anatomopatológicos finales
Astrocitoma pilocítico del cerebelo grado I de la Organización Mundial de la Salud, parcialmente resecado, con infiltración a leptomeninges, edema cerebral grave (1 500 vs 1 260 g), infarto parietal derecho reciente, cerebritis, ventriculitis con ependimitis granular, aracnoiditis espinal crónica, hidrocefalia, estatus postderivación ventrículoperitoneal, estatus postventriculostomía, estatus postdrenaje de absceso subgaleal y desnutrición crónica grado III.
Comentarios finales
Dr. Fernando Chico (Jefe del Departamento de Neurocirugía). Tenemos la evidencia, los neuro-cirujanos, de que quedó 5% del tumor en el lecho de resección quirúrgica en fosa posterior, y hemos visto que hubo tumor residual en lo que usted acaba de mostrar, ¿es tumor lo que nos muestra usted a nivel de la base, por delante del tallo?
Dr. Sadowinski. A nivel del lecho quirúrgico se encontró un nódulo de tumor residual e infiltración de las leptomeninges delante del tallo cerebral por células tumorales; probablemente por extensión a través de los recesos laterales.
Dr. Chico. El pequeño porcentaje catalogado en 5%, que quizás creció más en el tiempo que el niño estuvo vivo, no lo resecamos porque estaba pegado al ovex, y cuando éste se manipula en exceso, se producen problemas clínicos que acaban más rápidamente con la vida de los niños.
Yo quiero aclarar que hubo un pequeño residual en el lecho operatorio, y que lo que vemos por delante es lo que se reporta en la literatura, un buen porcentaje tiene siembras por delante del tallo cerebral que no llegan a explicarse muy bien, aunque sean tumores de fosa posterior.
En un estudio de 212 intervenciones neuroquirúrgicas, que fue objeto de una tesis de pediatría, se encontró infecciones de derivaciones ventrículo-peritoneales en 4.9%; no hemos actualizado nuestro estudio, lo que pensamos hacer en un tiempo próximo, pero consideramos que en nuestro hospital, las derivaciones ventrículo-peritoneales se infectan en 4.9%. En informes internacionales, van desde cerca de 0%, según el Dr. Choux, en los años noventa, y entre 30 y 50% que comunican países como la India y otros de América Latina y por información oral en nuestro país.
Quizás el bajo índice de infecciones en nuestro hospital, obedece a una actitud muy drástica al momento de operar; entramos cuatro personas al quirófano, la cirugía dura menos de una hora, y se realiza con antisepsia de muy buena calidad.
Dr. Antonio Perales Arroyo (adscrito al Departamento de Oncología). Si hablamos de incidencia, se menciona alrededor de 2 500 casos nuevos por año en niños menores de 18 años de edad en Estados Unidos de Norteamérica y países de primer mundo. Hay un subregistro en la República Mexicana, se tiene alrededor de 1 700 casos por año. En el Hospital Infantil de México Federico Gómez, hay una gran variabilidad.
Respecto al tratamiento, va a depender de varios factores pronósticos; esto es, si hay resección completa del tumor, va de la mano con un pronóstico excelente. Ya se mencionó previamente que la piedra angular es la cirugía, hay muchas controversias respecto al tratamiento con quimioterapia o radioterapia, sin embargo, hay algunas series donde hay gran respuesta objetiva. En este
Dr. Espinoza. ¿Hubiera cambiado la evolución de este paciente, viéndolo en retrospectiva, sabiendo que tiene restos de neoplasia sobre el puente, bulbo, quiasma, si se le hubiera tratado con quimioterapia o radioterapia?
Dr. Perales. En lo personal, si ese tumor, viéndolo así, era irresecable, entonces habiendo tumor residual, es candidato a quimio y radioterapia.
Dra. Aurora. No se administró quimioterapia, porque en nuestro protocolo para estos pacientes no incluye quimioterapia, los únicos astrocitomas que se tratan con quimioterapia son los del tallo, los de la vía óptica, salvo ciertas condiciones, en pacientes sintomáticos, con tumores irresecables, podemos llegar a utilizar quimioterapia.
En la circunstancia de haber un residual irresecable, que fuera sintomático, puede utilizarse radioterapia, pero inclusive pequeños residuales en astrocitomas pilocíticos pueden quedarse en vigilancia, no requieren resección adicional, a menos que haya crecimiento o sinto mato logía; en cuanto al número de astrocitomas en nuestro hospital, son alrededor de 15 a 20 casos por año. Tenemos aproximadamente 60 nuevos casos, incluyendo los tumores cerebrales benignos y malignos.
Dr. Salvador Villalpando (adscrito al Servicio de Gastroenterología y Nutrición). Este paciente llegó con un año de evolución y ese era el momento de haberlo captado en nuestro departamento. En la actualidad tenemos 276 pacientes incluidos en la clínica de manejo ambulatorio, y hubiera sido ideal al primer momento que este paciente empezó a desarrollar síntomas, y tenía mejores condiciones.
De hecho, hemos encontrado en los últimos años, en los pacientes oncológicos, que su panorámica nutricional es mucho mejor, y aquí hay dos datos que llaman mucho la atención: el primero de ellos se consigna en la historia clínica, como rechazo de la vía oral, que son los primeros datos de la alteración en la mecánica de la deglución, que se va integrando a todo lo largo del resumen, y que se manifiesta por ausencia del reflejo nauseoso, después dice neurología que tenia fasciculaciones de la lengua, y todo esto es lo que las mamás refieren como datos muy sutiles, que no logran terminar un alimento completo, nos está hablando de una alteración franca de la mecánica de la deglución, aunque no se atraganten, aunque no tengan alteraciones respiratorias, y que no sea tan franco, como lo vemos en otros casos, como los pacientes con hipoxia perinatal, estos pacientes lo van desarrollando progresivamente y debemos estar alertas.
¿Qué hacer? Colocar una sonda de manera temprana y programar una gastrostomía de manera muy temprana; muy temprana quiere decir en los primeros tres meses del desarrollo de síntomas, ya que sabemos que eventualmente va a progresar a un daño mayor si no logramos colocar una gastrostomía.
¿Y qué hacer? ¿qué tipo de alimento?, en realidad, el alimento que sea, no necesitamos una fórmula especial, su alimento habitual, es lo que también hacemos de manera artesanal, preparamos dietas licuadas, no tienen que ser alimentos costosos, que tengan que ser infundidos por bombas. Las mamás aprenden hacer la infusión a través de la sonda, por goteo, implementan ganchos de ropa con bolsas de alimentación, que utilisan en varias ocasiones. Con una dieta artesanal logramos que el costo sea de 16 a 30 pesos el litro, comparado con cualquier otro alimento enteral es 10 veces más barato, y que realmente nos solucione el problema de manera anticipatoria, no esperar a que lleguen a estos grados de caquexia, en cuyo caso el manejo es hospitalario, es muy crítico, y bastante grave, y lo que se hizo en este niño fue seguir el mismo cauce, alimentar por sonda nasogástrica inicialmente, o nasoenteral, y después una sonda de gastrostomía.
Referencias
1. Burger PC, Scheithauer BW, Vogel FS. Pilocytic astrocytoma. En: Burger PC, Scheithauer BW, Vogel FS, editores. Surgical pathology of the nervous system and its coverings. New York: Churchill Livingstone; 2002. p. 203-15. [ Links ]
2. Burger PC, Scheithauer BW, Paulus W. Pilocytic astrocitoma. En: Kleihues P, Cavenee WK, editores. WHO Tumours of the nervous system. Pathology and genetics. Lyon: IARC PRESS; 2000. p. 45-51. [ Links ]
3. Barkovich J. Neuroimagenología pediátrica. Buenos Aires: Ediciones Journal. [ Links ]
4. Alexander F, Wyllie K, Secic M, Porvasnki S. Delayed gastric emptying affects outcome of Nissen fundoplication in neurologically impared children. Surgery. 1997; 122: 690-7. [ Links ]
5. Bensoussan AL, Yazbeck S, Carceller-Blanchard A. Results and complications of Toupet partial posterior wrap: 10 years experience. J Pediatr Surg. 1994; 29: 121 5-7. [ Links ]
6. Ceriati E, Guarino N, Zaocara A, Marchetti P, la Sala E, Lucchetti MC, et al. Gatroesophageal reflux in neurologically impaired children: partial o total fundoplication. Langenbecks Arch Surg. 1998; 383: 317-9. [ Links ]













