Introduction
Cancer patients with a cardiac disease requiring surgery are becoming more common as the population ages, and early cancer diagnosis and new therapies are increasing survival rates.1 Despite the rarity of cardiac tumors, they are an integral part of the cardio-oncology practice and require diagnosis and treatment. According to their site of origin, neoplastic tumors can be primary or secondary (metastatic).2,3 Most primary cardiac tumors are benign (up to 90%).4 These tumors have increased in incidence in the last ten years due to advances in multimodality imaging, which has become more accessible and widespread.3,4 The most common benign heart tumor is cardiac myxoma, a mobile, intracavitary, round, or oval-shaped tumor. When it is present in the left atrium, it is frequently attached to the fossa ovalis by a stalk. The patient may be symptomatic (with obstructive, embolic, or constitutional symptoms) or asymptomatic, and the tumor may be found incidentally during routine cardiac imaging.2,5 The association between treated breast cancer and cardiac myxoma could be considered a mere coincidence, but a few documented cases exist.1
We report the case of a patient with a history of breast cancer who presented, upon follow-up, a left atrial cardiac mass on cardiovascular imaging and underwent immediate surgery.
Case presentation
A 59-year-old Mexican woman presented at the Cardio-Oncology (C-O) clinic was referred by her oncologist due to the finding of an intracardiac mass in her routine transthoracic echocardiogram (TTE). In 2013 she was diagnosed with invasive ductal breast carcinoma (Node + ER-/PR-/ERBB+). She received four cycles of neoadjuvant chemotherapy (TAC: docetaxel, doxorubicin, and cyclophosphamide). Then she continued with trastuzumab. The patient also underwent right breast mastectomy, axillary lymph node resection and radiation therapy (total dose of 50 Gy). Because of the potentially cardiotoxic therapy received, periodic echocardiograms were performed. Since then, the patient has been asymptomatic and cancer-free, according to a recent oncological examination.
Eight years after the breast cancer diagnosis, a transthoracic echocardiogram revealed a heterogeneous, pedicled, mobile mass attached to the interatrial septum without obstruction to the flow across the mitral orifice, suggesting a left atrial myxoma. Because of these findings, the oncologist referred her to the C-O clinic.
In addition, her past medical history revealed metabolic syndrome and non-alcoholic fatty liver disease. Her family history was negative for cardiovascular disease and cancer. Physical examination revealed stable vital signs, no murmurs, clear lungs, and a previous mastectomy scar. Routine laboratory parameters were within normal limits. The electrocardiogram (Figure 1) and chest radiograph were unremarkable.
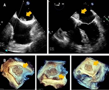
Transesophageal echocardiography revealed a 26 × 16 × 14 mm heterogeneous, lobulated, mobile mass in the left atrium, attached to the interatrial septum, and without obstruction to the flow across the mitral orifice (Figure 2).

Figure 2: Transesophageal echocardiography. A) Heterogeneous, lobulated mass in the left atrium attached to the interatrial septum. B) Real-time 3-dimensional echocardiography (RT3DE ) image.
Furthermore, a cardiac tomography showed a mass suggesting myxoma adjacent to the interatrial septum (Figure 3). There were no significant lesions in the coronary arteries, and the calcium score was 0 Agatston units.

Figure 3: Cardiac computed tomography. A) and B) A mass in the left atrium on contrast-enhanced cardiac computed tomography (arrow). C-H) 3D reconstruction of the left atrial chamber with a mass (arrow).
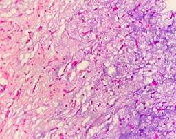
Two months later, the patient underwent cardiac surgery, which revealed an atrial multilobular mass with hemorrhagic areas (Figure 4). A histopathological examination confirmed the diagnosis of cardiac myxoma (Figure 5). The patient remained symptom-free after the surgery and during follow-up.
Discussion
Oncologists and hematologists refer cancer patients to the C-O clinic to assess chemotherapy or radiotherapy’s potential deleterious cardiovascular effects. Echocardiography is the most commonly used imaging technique for assessing these effects and detecting lesions within the heart.6
A high risk of long-term cardiovascular toxicity is associated with specific cancer treatments, including anthracycline chemotherapy and radiotherapy. These effects may occur 5-10 years after the initial treatment, resulting in up to six times more common coronary artery disease and heart failure than in the general population. The long-term effect of trastuzumab is unknown beyond ten years. A cancer survivor with a very high risk of future cardiovascular disease fulfills the following characteristics: 1) Very high baseline cardiovascular toxicity risk pre-treatment, 2) Doxorubicin ≥ 400 mg/m2, 3) Radiotherapy > 25 Gy, 4) RT > 15-25 Gy + Doxorubicin ≥ 100 mg/m2. Therefore, TTE should be considered at years 1, 3, and 5 after completion of cardiotoxic cancer therapy and every five years after that in asymptomatic, very high-risk adult cancer survivors.7
The literature on cardiac surgery in patients previously treated for breast cancer remains limited.1 A cardiac tumor diagnosed after breast cancer is a rare finding.8 The patient may be asymptomatic, and the lesion can be found incidentally, as in the present case. In imaging diagnoses of a cardiac mass, 47% corresponded to benign masses, including myxomas (20%); 64% of patients had a history of malignancy, which included breast cancer (5%).9
The authors of a case-control study of autopsy cases concluded that it is challenging to assess the correlation between cardiac myxoma and other neoplasms because it is a condition that is uncommon in life and sometimes goes undetected. As a result of diagnosis suspicion bias, the knowledge that the patient has been diagnosed with one disease (neoplasm) influences the intensity of their search for another condition.10 Some case reports, however, describe cardiac myxomas as a late complication in cancer survivors, hypothesizing that chemotherapy, radiotherapy, or immunosuppression11-13 may have contributed to the tumor’s growth.14,15
Cardiac tumors are rare, and any space-occupying mass noted on cardiovascular imaging modalities should be considered as part of the differential diagnosis. Many types of tumors exist, including neoplastic and nonneoplastic lesions and masses. Neoplastic lesions are further classified into primary and secondary tumors (metastatic), all of which can be classified as benign or malignant. Primary cardiac tumors may originate from the pericardium or the myocardium but are generally benign.2,4 Myxomas represent about 50% of all benign intracardiac tumors. They are predominant in the left atrium in 75% of cases, and in the right atrium, in 20% of cases. Bronchial, breast, melanoma, lymphoma, and leukemia are the most common cancers metastasizing to the heart.6
A cardiac tumor may be symptomatic or discovered incidentally during an evaluation for an unrelated physical condition or problem.2 The tumor’s size, location, and mobility determine symptoms and signs of myxoma. The tumor can produce symptoms by interfering with valvular function, resulting in left ventricle obstruction or congestive heart failure. Myxomas of the left atrium have a high incidence of brain embolisms; therefore, surgical treatment should be performed as soon as possible.4,5
A Carney complex (CNC) is a rare hereditary genetic condition that can be inherited autosomally dominant or sporadic.6 This syndrome is caused in most patients by a defect of the PRKAR1A gene. It consists of multiple endocrine neoplasms and lentiginosis characterized by abnormal pigmentation of the skin and mucosa, myxomas primarily of the heart, skin, and breast, endocrine neoplasms, psammomatous melanotic schwannomas, breast ductal adenomas, osteochondromyxomas, and other non endocrine tumors.16 To exclude this possibility, measurement of endocrine hormone levels in patients with recurrent myxomas is necessary.4,6 In C-O clinics, cardiac myxomas are sometimes seen in breast cancer patients; however, the relationship between breast cancer and cardiac myxoma is seldom reported in patients without the Carney complex.6
Although obtaining a histopathologic specimen is the gold standard for diagnosis, multimodality imaging can often pinpoint the cause of a cardiac mass.2,17 Since two-dimensional transthoracic echocardiography is available and portable, it is often used first for diagnosis. It provides radiation-free and inexpensive images of tumors and minor, highly mobile masses, such as masses originating from valves, as well as assessing the size and location of tumors.2 Paolisso et al. have recently identified some echocardiographic parameters that help predict malignancies and minimize diagnostic delay. It is important to recognize that contrast echocardiography is a valuable tool, but not all echocardiography laboratories have access to ultrasound-enhancing agents.18 However, in addition to inadequate acoustic windows, which are particularly problematic in obese and chronic pulmonary disease patients, these studies lack tissue characterization.2
The use of computed tomography (CT) for assessing cardiac masses has become increasingly popular, mainly when other imaging modalities are not diagnostic or contraindicated. As a result of electrocardiographic gating, motion-related artifacts are minimized, and lesion margins and their relationship to tissue planes are more precisely delineated, which is especially beneficial when planning surgical procedures. However, radiation exposure, risk of contrast-induced nephropathy, and limited soft tissue and temporal resolution of CT scans are disadvantages compared to magnetic resonance imaging.2
A cardiac CT usually reveals a smooth or slightly villous intracavitary mass with low attenuation. Therefore, arterial phase contrast enhancement may not appear, and cine image reconstruction may be used to determine the lesion’s mobility and attachment. Malignancy may be suspected, however, if local invasion, feeding vessels, hemorrhage, involvement of more than one cardiac chamber, and pericardial effusion are detected.2
Surgical resection is essential for a histological diagnosis and prevents significant complications such as embolization. It has a low mortality rate and a favorable long-term outcome. As approximately 10 to 15% of these tumors recur, generally near the original site, an echocardiogram should be performed annually for at least four years.2,5
Conclusions
Asymptomatic patients with previously treated breast cancer may present a second primary tumor, as in this case: a cardiac myxoma. Furthermore, chemotherapy, radiotherapy, or immunosuppression may contribute to the development of a second primary tumor. Therefore, as part of the long-term survivorship care after breast cancer treatment, it is imperative to perform regular clinical examinations and cardiovascular imaging to establish an early diagnosis and treatment. This case illustrates the importance of Cardio-Oncology Clinics during the follow-up of breast cancer survivors. In addition, echocardiography provides a method of detecting small tumors in breast cancer survivors who are still asymptomatic.










nueva página del texto (beta)





