CASO CLÍNICO
Paciente femenina de 87 años de edad, originaria de Durango, residente en la Ciudad de México, viuda, con esquema de vacunación actualizado. Antecedentes crónico-degenerativos: hipertensión arterial sistémica de 20 años de diagnóstico en tratamiento con amlodipino, actualmente con medidas higiénico-dietéticas, cardiopatía aterosclerosa valvular degenerativa e hipertensiva de cinco años de diagnóstico en vigilancia por el servicio de Cardiología, neumopatía crónica con alto riesgo de EPOC diagnosticada en 2011 sin tratamiento farmacológico habitual, neumonía adquirida en la comunidad apical derecha CURB 65-3, diagnosticada en noviembre de 2011, recibió tratamiento intrahospitalario en el servicio de Neumología, se le realizó broncoscopia diagnóstica y terapéutica; hospitalización por isquemia cerebral transitoria en septiembre de 2014, secundaria a enfermedad aterosclerótica carotídea, en tratamiento con ASA 100 mg VO cada 24 horas y atorvastatina 20 mg cada 24 horas.
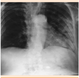
La paciente acudió al servicio de Urgencias el 29 de octubre de 2014 por padecer adinamia, alza térmica no cuantificada, calosfríos de 48 horas de evolución. Exploración física: presión arterial 110/60 mmHg, frecuencia cardiaca 90 lpm, frecuencia respiratoria 22 rpm, temperatura 38.2ºC. Somnolencia, estertores subcrepitantes en hemitórax izquierdo en ambas fases de la respiración y submatidez ipsilateral. Los estudios de laboratorios al ingreso arrojaron lo siguiente: Hg 12.0 g/dL, HCTO 38%, VCM 91 fl, HCM 28.8 pg, plaquetas 299,000 μL, leucocitos 14,900 μL, neutrófilos 93%, bandas 3%, linfocitos 1%, urocultivo con Escherichia coli. Recibió tratamiento específico; sin embargo, durante su internamiento tuvo evolución tórpida con signos vitales de presión arterial 80/50 mmHg, frecuencia cardiaca 98, frecuencia respiratoria 21, por lo que se ingresó a terapia intensiva con diagnóstico de neumonía nosocomial SMART COP 6 (riesgo alto) y choque séptico (Figura 1).
La paciente tuvo respuesta favorable a tratamiento con fluidoterapia, soporte respiratorio no invasivo, apoyo vasopresor, meropenem y vancomicina, con egreso hospitalario el 1 de noviembre de 2014. Fue llevada a Urgencias una semana posterior a su egreso por dolor abdominal y evacuaciones disminuidas en consistencia, en número de 10 ocasiones en 24 horas y temperatura axilar de 38.4ºC de 48 horas de evolución. Los estudios paraclínicos de ingreso evidenciaron: Hg 10.5 g/dL, HCTO 32.5%, VCM 88 fl, HCM 28 pg, plaquetas 558,000 μL, leucocitos 14,600 μL, neutrófilos 83%, bandas 3%, linfocitos 5%. Ingresó al servicio de Medicina Interna con reporte de toxinas A/B de Clostridium difficile en heces positivas, por lo que se diagnosticó colitis pseudomembranosa secundaria a antibióticos y se inició tratamiento con metronidazol IV/VO, con adecuada respuesta clínica, por lo que egresó el 10 de noviembre de 2014. Acudió a Urgencias el 24 de noviembre de 2014 por adinamia, hiporexia, alza térmica y calosfríos, a la exploración física tenía candidiasis esofágica (Candida score de 91 puntos con riesgo intermedio de candidiasis invasiva), el ultrasonido abdominal reportó datos compatibles con coledocolitiasis e hidrocolecisto y recibió tratamiento con colangiopancreatografía retrógrada endoscópica + colecistectomía laparoscópica; además, recibió tratamiento antibiótico con ceftriaxona y fluconazol IV. La paciente egresó por mejoría el 30 de noviembre de 2014 con estudios paraclínicos de control de Hg 14 g/dL, HCTO 44%, VCM 88 ft, HCM 26 pg, plaquetas 238,000 μL, leucocitos 17,500 μL, neutrófilos 71%, bandas 18%, linfocitos 3%. Reingresó a cargo del servicio de Cirugía general el 31 de diciembre de 2014 con diagnóstico de colangitis. En la colangiopancreatografía retrógrada endoscópica se encontró estenosis de la vía biliar extrahepática y se colocó cánula de derivación, se prescribió tratamiento antibiótico con metronidazol y ciprofloxacino (Figura 2).
La paciente egresó por mejoría el 1 de enero de 2015. El 17 de marzo de 2015 fue llevada a Urgencias por deterioro del estado de alerta, fiebre de 39ºC, a la exploración física se encontró presión arterial de 80/50 mmHg, frecuencia cardiaca 105 lpm, frecuencia respiratoria 26 rpm, temperatura 38.7ºC; con somnolencia profunda, acortamiento de tiempo espiratorio, estertores crepitantes en hemitórax izquierdo, paraclínicos con Hg 11 g/dL, HCTO 34%, VCM 85 ft, HCM 26 pg, plaquetas 176,000 μL, leucocitos 1,500 μL, neutrófilos 72%, bandas 0%, linfocitos 25%, urocultivo con reporte de E. coli BLEE. Ingresó a la Unidad de Terapia Intensiva con diagnóstico de neumonía nosocomial SMART COP 6 (alto riesgo); se dio tratamiento con apoyo vasopresor, oseltamivir, meropenem y fluconazol.
Se solicitó interconsulta al servicio de Infectología para protocolo diagnóstico ante sospecha de imunodeficiencia subyacente. Se estableció el diagnóstico de inmunodeficiencia común variable y se inició tratamiento con inmunoglobulina humana a 10% IV aplicada cada 3 semanas con evolución inicial tórpida por reingresos hospitalarios en los meses de mayo, junio y septiembre de 2015 por neumonía (Cuadros 1 y 2). La paciente tiene seguimiento en consulta externa de Infectología y Geriatría desde septiembre de 2015 a la fecha, sin padecer procesos infecciosos ni hospitalizaciones.
DISCUSIÓN
El sistema inmunitario es afectado por el proceso de envejecimiento y sufre cambios significativos vinculados con la edad, denominados inmunosenescencia.1
El envejecimiento se asocia con numerosas y variadas alteraciones fisiológicas. Quizá la alteración más importante sea el deterioro de la respuesta inmunológica (inmunosenescencia), que parece ser el responsable del incremento de la morbilidad y mortalidad y, posiblemente, de procesos autoinmunitarios y cancerígenos.
Aspectos inmunológicos del envejecimiento
Investigaciones indican que la inmunosenescencia no se acompaña del deterioro inevitable y progresivo de la función inmunitaria, más bien, es el resultado de una remodelación, en la que se reducen algunas funciones, mientras que otras permanecen sin cambios o incluso se incrementan. Los cambios del sistema inmunológico relacionados con la edad están directa o indirectamente implicados en la susceptibilidad conocida de las personas mayores a las enfermedades infecciosas, la autoinmunidad y cáncer y la menor respuesta a la vacunación. Lo mismo es cierto para la patogénesis de las enfermedades más relevantes relacionadas con la edad, como las enfermedades cardiovasculares y neurodegenerativas, diabetes y osteoporosis. De hecho, todas estas enfermedades comparten un importante componente inmunológico implicado en su patogénesis.2
Se ha observado que con el envejecimiento disminuye la capacidad de autorrenovación de las células madre hematopoyéticas en la médula ósea y ocurre la involución crónica del timo, esto es uno de los principales factores contribuyentes a la pérdida de las funciones inmunitarias en el proceso de envejecer. La involución del timo se acompaña de la disminución de la producción de células T y contribuye a la restricción de su repertorio en el anciano. Aunque hasta el momento se postula que la involución tímica ocurre durante el inicio de la pubertad, se incrementan los datos que sugieren que esta alteración se da mucho más temprano en la vida,1 y que ocurre disminución constante desde los 55 a 80 años de edad con posterior disminución significativa en la décima década de la vida.3
Los estudios de los mecanismos celulares del envejecimiento sugieren que participan la acumulación de especies reactivas del oxígeno (ROS), la disminución asociada con la edad de la autofagia, que reduce la liquidación de las mitocondrias dañadas y proteínas celulares, un estado inflamatorio NF-kappa B dependiente en el hipotálamo que conduce a disminución inmuno-neuroendocrina y la desregulación del metabolismo de glucosa, que pueden ser la base de muchos aspectos de la senescencia y enfermedades relacionadas con el envejecimiento. Los estudios de la restricción calórica en muchas especies han demostrado prolongar la vida.4
Cambios en la inmunidad innata
El sistema inmunológico está compuesto por la inmunidad innata y la inmunidad adaptativa. La inmunidad innata está compuesta por neutrófilos, monocitos/macrófagos y células dendríticas.5
Los neutrófilos son las primeras células en llegar al lugar de la agresión. Su vida útil es bastante corta, si no se estimulan mueren por apoptosis, pero su vida útil se puede incrementar por estímulos proinflamatorios, como polisacáridos liposomales (LPS). Se informó que el número de neutrófilos es relativamente alto en los ancianos, aunque dentro de parámetros normales.6
Los macrófagos tienen menor capacidad de secretar factor de necrosis tumoral (TNF), una citocina inflamatoria clave. El factor de necrosis tumoral derivado de los macrófagos y la interleucina (IL) 1 son esenciales para la secreción de otras interleucinas por la médula ósea, como la IL-6, la IL-11 y los factores estimulantes de colonias de monocitos y granulocitos.7
El envejecimiento también amortigua la secreción de IL-7 por las células del estroma de la médula ósea. La IL-7 es una citocina de supervivencia esencial para el desarrollo de linfocitos. Además, el sistema inmunológico innato detecta patógenos usando receptores de reconocimiento de patrones, como los TLR, que reconocen patrones moleculares específicos presentes en la superficie de patógenos. Los TLR se expresan en una variedad de células, incluidos los macrófagos. La interacción entre los TLR y un patógeno estimula la secreción de una amplia gama de péptidos antibacterianos que destruyen el patógeno y desencadenan una respuesta inflamatoria a través de la secreción de citocinas y quimiocinas.7
Se han demostrado los efectos del envejecimiento en la expresión y la función de TLR en adultos mayores. Los cambios asociados con la edad en los monocitos incluyen la expresión superficial de TLR1, reducción de la función TLR 1/2, reducción de las respuestas estimuladoras asociadas con la reducción de la eficiencia de la vacunación y la elevación de TLR5 que pueden contribuir al inflammaging.4
Cambios en la inmunidad adaptativa
Los cambios críticos, característicos de la inmunosenescencia, ocurren en las poblaciones de células T. Los tres cambios más importantes que se han observado son: disminución en el número de células T CD8+ nativas (vírgenes), el incremento en el número de células T CD8 de memoria, que resulta en aumento de la producción de citocinas y la acumulación de células efectoras disfuncionales activadas con un repertorio limitado.1
El efecto de la reducción de linfocitos T vírgenes en sangre periférica puede ocasionar una respuesta limitada hacia nuevos antígenos, en particular a gérmenes, vacunas y cáncer. Se reportan trastornos en la producción de citocinas (aumento de IL-3, IL-4 e IL-5 y disminución de IL-2), lo que provoca menor proliferación celular y mayor resistencia a la apoptosis.1
Existe reducción de LT CD4+ (LT4) productores de IL-2, escasa expresión del receptor de IL-2 (CD25), así como menor densidad de células CD25. La IL-2 juega un papel decisivo porque es la citocina responsable de mantener la expansión y supervivencia de las células efectoras (las que secretan altas concentraciones de citocinas al ser estimuladas).8 La exposición crónica al TNF alfa puede causar la pérdida de la expresión de CD28 en las células T CD8 vírgenes y de memoria central. En estas condiciones, las células T efectoras son resistentes a la apoptosis, no así las vírgenes ni las de memoria central.9
En el sistema inmunológico humoral no disminuye el número de células B, sino su capacidad de proliferación. Se ha observado, especialmente después de la vacunación, la disminución de títulos de anticuerpos específicos, provocando una respuesta más débil y breve. Asimismo, existe un deterioro de la calidad de los anticuerpos, especialmente IgG de alta afinidad, que es sustituida por anticuerpos de baja afinidad (IgM) producidos por LB CD5+. Con la edad el aumento de autoanticuerpos puede deberse a anormalidades intrínsecas en las células B, a la estimulación crónica para la producción de clones de células B o a anormalidades específicas (el LB CD5+ se ha asociado con factores reumatoides y con procesos mieloproliferativos). La principal causa del declive funcional en la inmunidad humoral se debe a cambios en la actividad de LT4 como estimulantes de diferenciación y proliferación de LB. Paradójicamente, aunque hay mayor concentración de autoanticuerpos circulantes, 80% de la población anciana los presenta, la enfermedad autoinmunitaria de inicio en la vejez es más bien poco frecuente.10
Teoría del inflammaging
La inflamación es un estado asociado con mediadores proinflamatorios incrementados, que se desarrolla gradualmente a través de la estimulación antigénica continua en sujetos de edad avanzada. Una característica básica del inflammaging en ancianos enfermos es la concentración sérica elevada de citocinas, como IL-6, IL-15, IL-8 y TNF. Éstas no sólo participan en el sistema inmunológico, sino que también afectan otras áreas como músculo, hueso, hematopoyesis, función cardiaca y cognición. Por ejemplo, La IL-6 se sobreexpresa en los cerebros de pacientes con enfermedad de Alzheimer y una producción de IL-6 se ha vinculado con las primeras etapas de la deposición amiloide y la formación de placa.11
Inmunodeficiencia común variable
Trastorno de inmunodeficiencia primaria caracterizado por una alteración de la diferenciación de células B con producción defectuosa de inmunoglobulina. Es la forma más frecuente de deficiencia severa de anticuerpos que afecta a niños y a adultos. Se refiere a las manifestaciones clínicas heterogéneas de este trastorno, que incluyen infecciones recurrentes, enfermedad pulmonar crónica, trastornos autoinmunitarios, enfermedad gastrointestinal y mayor susceptibilidad al linfoma (Figura 3). Es la resultante de muchos defectos genéticos. En un pequeño subconjunto de pacientes, se han identificado defectos moleculares específicos, aunque en la mayoría de los casos éstos todavía se desconocen. La inmunodeficiencia común variable se define por lo siguiente: concentraciones séricas marcadamente reducidas de inmunoglobulina G (IgG), en combinación con concentraciones bajas de inmunoglobulina A (IgA), inmuno-globulina M (IgM) o ambas, respuesta escasa o ausente a las inmunizaciones y ausencia de cualquier otro estado de inmunodeficiencia definido.12
Epidemiología
Se estima que la inmunodeficiencia común variable afecta a 1 por cada 25,000 individuos. Hay alguna evidencia de mayor prevalencia en el norte de Europa.13
Los pacientes con inmunodeficiencia común variable tienen mayor riesgo de padecer neoplasias hematológicas y sólidas (de mama, próstata, ovario, piel y colon). Las más frecuentes son el linfoma de Hodgkin y cáncer de estómago con 30 a 50 veces mayor riesgo en comparación con la población general (Figura 4).
La linfoproliferación maligna en pacientes con inmunodeficiencias primarias puede estar relacionada con la infección por virus de Epstein-Barr, defectos en la regulación inmunitaria o inestabilidad genética.14,15
Además de las infecciones recurrentes, los pacientes con inmunodeficiencia común variable tienen evidencia de desregulación inmunitaria que conduce a autoinmunidad, una variedad de trastornos inflamatorios y enfermedad maligna.
En consecuencia, la inmunodeficiencia común variable puede causar trastornos en cada una de estas categorías. Los pacientes pueden sufrir enfermedad pulmonar crónica, trastornos gastrointestinales y hepáticos, infiltraciones granulomatosas de varios órganos, hiperplasia linfoidea, esplenomegalia o malignidad (Figura 5).15
Criterios diagnósticos
Los criterios diagnósticos de la Sociedad Europea de Imunodeficiencias (ESID) son:
-
Paciente con disminución importante (de al menos 2 desviaciones estándar por debajo de la media para la edad) en al menos uno de los isotipos mayores (IgM, IgG e IgA), y que cumpla los siguientes tres criterios:
El tratamiento de elección es gammaglobulina humana intravenosa o subcutánea a dosis de 300-600 mg/kg/dosis, cada tres a cuatro semanas.15
DISCUSIÓN
El adecuado funcionamiento del sistema inmunológico es primordial para nuestra supervivencia, porque a lo largo de nuestra vida estamos expuestos de manera persistente a una gran diversidad de microorganismos patógenos y sustancias extrañas con capacidad de invadir nuestro organismo y alterar de manera importante nuestra salud. Sin embargo, con el envejecimiento, un proceso natural y progresivo de la vida, muchos aspectos morfológicos y fisiológicos de nuestro organismo sufren modificaciones importantes como consecuencia del paso del tiempo sobre los seres vivos. Este proceso se acompaña de la pérdida progresiva del rendimiento de cada uno de nuestros órganos, aparatos y sistemas, de los que el inmunológico es uno de los que sufren mayor deterioro en su función con la edad. Esta alteración de la capacidad del sistema inmunológico para hacer frente a los diversos agentes extraños hace que los individuos de edad avanzada tengan mayor susceptibilidad a padecer diferentes enfermedades infecciosas, autoinmunitarias y neoplasias, lo que incrementa la morbilidad y mortalidad de esta población.
CONCLUSIONES
La inmunodeficiencia común variable es la forma más común de deficiencia severa de anticuerpos que afecta a niños y a adultos. El defecto inmunológico característico es la alteración de la diferenciación de células B con la producción defectuosa de inmunoglobulina. Se define por concentraciones séricas totales bajas de inmunoglobulina G (IgG), así como bajas concentraciones de inmunoglobulina A (IgA), inmunoglobulina M (IgM) o ambas, respuesta escasa o ausente a la inmunización y ausencia de cualquier otro estado de inmunodeficiencia definido.
La edad de inicio es variable. La mayoría de los pacientes son diagnosticados entre las edades de 20 y 40 años. El reconocimiento tardío es común.
Las infecciones bacterianas del aparato sinopulmonar, en particular la sinusitis y la neumonía, son comunes en los pacientes con inmunodeficiencia común variable. Las infecciones oportunistas e inusuales son infrecuentes, pero ocurren.
Además de las infecciones recurrentes, los pacientes con inmunodeficiencia común variable tienen evidencia de desregulación inmunitaria que conduce a autoinmunidad, una variedad de trastornos inflamatorios y enfermedades malignas. Los pacientes pueden sufrir enfermedad pulmonar crónica, trastornos gastrointestinales y hepáticos, infiltraciones granulomatosas, hiperplasia linfoide, esplenomegalia o malignidad.
Las enfermedades pulmonares crónicas, especialmente las bronquiectasias, se observan en 30 a 50% de los pacientes y representan una importante causa de morbilidad y mortalidad.
La enfermedad gastrointestinal está presente en alrededor de 20% de los pacientes con inmunodeficiencia común variable, con una variedad de diferentes trastornos descritos. La diarrea crónica es el síntoma gastrointestinal más frecuente. También se informan infecciones crónicas por Giardia, citomegalovirus y criptosporidio.
El 25% de los pacientes llega a padecer enfermedades autoinmunitarias, particularmente anemia hemolítica, trombocitopenia y artritis reumatoide, y se estima que entre 8 y 20% tiene alguna forma de enfermedad granulomatosa.
Los pacientes tienen mayor riesgo de padecer neoplasias malignas y susceptibilidad particular a los linfomas no Hodgkin.
El diagnóstico requiere una historia clínica sugerente, una concentración sérica total reducida de IgG, más IgA o IgM baja y respuesta deficiente a vacunas basadas en proteínas y en polisacáridos.
Deben excluirse varias formas de hipogammaglobulinemia primaria y secundaria antes de establecer el diagnóstico.










nueva página del texto (beta)







