Introducción
La equinococosis humana es una enfermedad parasitaria cosmopolita causada por el género Echinococcus (familia Taeniidae) que puede transmitirse entre animales y los humanos pueden ser los huéspedes intermediarios.
La equinococosis es producida por cuatro especies en estadios larvarios. El quístico, conocido como enfermedad hidatiforme, producido por Echinococcus granulosus, es el más común, así como el alveolar causado por Echinococcus multilocularis. Estas dos formas son las más importantes desde el punto de vista médico y de salud pública. Las otras dos especies son la poliquística causada por Echinococcus vogeli y la uniquística causada por Echinococcus oligarthrus, principalmente en el área tropical de Centroamérica y Sudamérica1,2.
La equinococosis puede afectar cualquier órgano, siendo rara la presentación orbitaria (1% de los casos)3,4. El objetivo de este reporte es describir el diagnóstico y el tratamiento de un paciente de edad pediátrica con un quiste hidatídico primario de la órbita.
Reporte de caso
Varón de 7 años proveniente de un área rural del Estado de Veracruz, en México, con antecedente de convivencia con perros, sin antecedentes patológicos de importancia, quien presenta proptosis unilateral izquierda lentamente progresiva de 2 meses de evolución. En la exploración oftalmológica, el ojo derecho con agudeza visual 20/20 y sin ninguna alteración, y el ojo izquierdo con proptosis axial irreductible, no pulsátil, con agudeza visual de 20/40, en el segmento anterior hiperemia conjuntival, con defecto pupilar aferente, con hipertropía importante, y el fondo de ojo con edema de pila, hiperémica, con vasos tortuosos, y retina aplicada. La exoftalmometría en ojo derecho era de 15 mm y en el ojo izquierdo de 19 mm con base 100. No mostraba otra alteración sistémica (Fig. 1). La biometría hemática se encontraba dentro de parámetros normales.

Figura 1 Imagen clínica mostrando el ojo izquierdo con proptosis y desplazamiento importante de globo ocular hacia arriba.
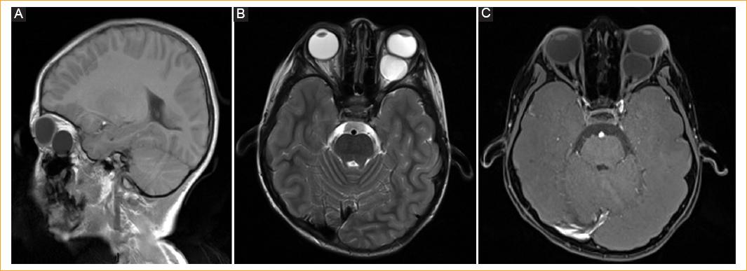
La tomografía computarizada (TC) reporta una lesión retroocular hipodensa heterogénea que remodela la pared lateral de la órbita. La resonancia magnética (RM) de encéfalo muestra una lesión retroocular, intraconal, hipointensa en T1 e hiperintensa en T2 que refuerza muy poco con el medio de contraste, desplazando el globo ocular hacia delante (Fig. 2).

Figura 2 Resonancia magnética. A: en T1 sagital se identifica una imagen hipointensa retroocular de 2.1 cm (transverso) × 1.8 cm (rostrocaudal) × 2.1 cm (longitudinal) que desplaza el globo ocular en sentido anterior, de contornos lisos continuos y contenido homogéneo. B: en T2 axial, la lesión muestra comportamiento hiperintenso con interfase con la pared posterior del globo ocular. C: en T1 axial con gadolinio se observa la lesión con poco reforzamiento de la cápsula, sin compromiso vascular interno.
Se decide realizar resección quirúrgica a través de orbitotomía anterior por vía transconjuntival, encontrando una lesión retrobulbar de aspecto quístico y claro, con ruptura accidental por adherencia a tejidos; se realizan aspiración del contenido y lavado intenso con solución salina hipertónica.
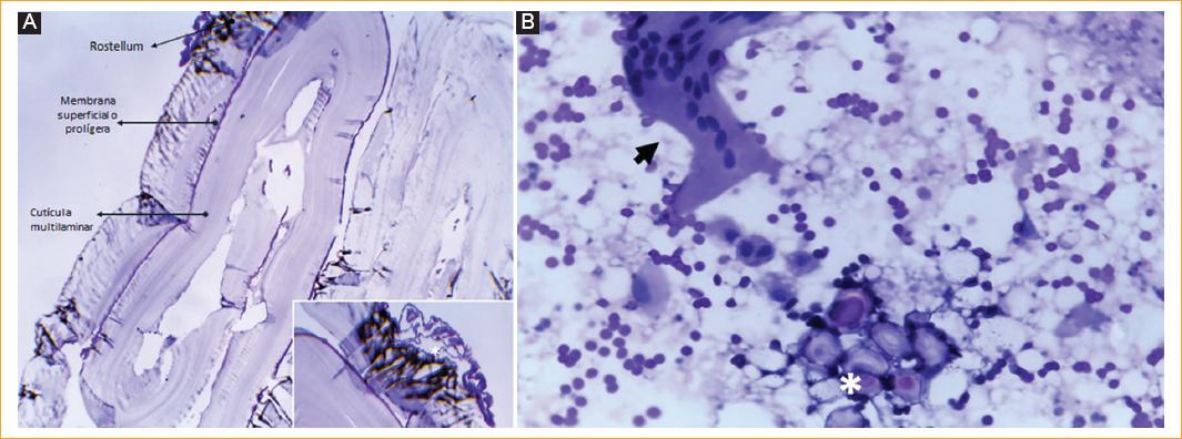
Se envían la membrana del quiste y el contenido a patología, que reporta un tamaño del quiste 2 × 1.5 cm con espesor de la pared de 0.2 cm, de aspecto membranoso, de color gris, de consistencia blanda y gelatinosa, con superficie interna lisa; se identificó la cutícula constituida por finas láminas basófilas y la membrana germinativa delgada; dentro del quiste se identificaron protoescólices de forma redonda, concéntrica, y en uno de los extremos se identificó parte del rostelo con algunos ganchos compatibles con Echinococcus spp.; líquido intraquístico y estructuras compatibles con escólex de Echinococus spp. (Fig. 3). Se realiza serología para Echinococcus spp., reportando 1:256 por hemaglutinación.

Figura 3 Imágenes histopatológicas. A: cápsula de quiste constituida por cutícula multilaminar gruesa; la membrana superficial es delgada. En el recuadro se observa el rostelo con ganchos. Tinción de HE original × 100. B: contenido del quiste con numerosos protoescólices (asterisco) en asociación con linfocitos y células gigantes multinucleadas (flecha). Tinción de HE original × 400.
Se solicitaron TC de abdomen y tórax, que fueron reportadas con características normales, sin evidencia de otras lesiones quísticas en otros órganos. Se manejó con albendazol en el posoperatorio a dosis de 10 mg/kg/día por vía oral durante 3 meses, llevando intervalos de 2 semanas de tratamiento y 2 semanas de descanso.
En el seguimiento, el paciente mejoró su agudeza visual hasta llegar a 20/20 y ortoposición a los 2 años. Las imágenes de control de órbita fueron descritas como ausentes de tumoración a los 2 años de seguimiento.
Discusión
La hidatidosis es una zoonosis causada por el género Echinococcus. La enfermedad hidatídica está extendida por todo el mundo, desde China, Asia Central y del Sur, siendo Irán un país con alta prevalencia de esta enfermedad, llegando a 2 por 100,000 habitantes, hasta África y Europa del Este, Australia y en el continente americano, donde se observa principalmente en Sudamérica, Alaska y el noroeste de Canadá1,2,4-7.
Se distribuye en regiones donde se crían ganado y perros simultáneamente. El huésped definitivo es el perro, en el que viven las tenias en su intestino delgado. Los huevos son expulsados por las heces de los perros e ingeridos por las vacas y las ovejas a través de agua contaminada, vegetales y comida, y en ellas se desarrollan las larvas, siendo huéspedes intermediarios. Finalmente, los carnívoros, al consumir la carne contaminada, son los huéspedes definitivos, y así se cierra el ciclo. Los humanos adquieren la infección igual que los huéspedes intermediarios, pero no la transmiten a un huésped definitivo1,7.
El hígado es el órgano más involucrado, en un 60-70% de los casos, seguido por los pulmones en un 20% y el sistema nervioso central. El involucro orbitario es raro; ocurre en el 1-2% de todos los casos de enfermedades hidatídicas1,6-8. En zonas endémicas, hasta el 6% de las enfermedades quísticas orbitarias corresponden a hidatidosis, observándose más en pacientes pediátricos3,8. El quiste que afecta la órbita con más frecuencia es el de E. granulosus4.
El quiste crece lentamente en un periodo de 3 meses a 2 años, desplazando el globo ocular; la proptosis irreducible y no pulsátil es la principal manifestación5-7,9. El incremento de la presión intraorbitaria puede causar disminución de la visión, alteración en los movimientos oculares, dolor, quemosis, edema de papila e incluso atrofia óptica3,4,6. Nuestro paciente cursó con toda esta sintomatología sin daño al nervio óptico.
La TC y la RM son estudios muy útiles para el diagnóstico. En la TC se describe generalmente una lesión encapsulada homogénea, hipodensa, bien definida, con densidades semejantes a la del humor vítreo, de pared delgada y con borde hiperdenso con el medio de contraste8,9. En la RM se muestra una lesión de baja intensidad en T1 y alta intensidad en T2, donde refuerza la cápsula con el medio de contraste, siendo esta modalidad superior para la evaluación de la estructura interna del quiste y su asociación con tejidos blandos vecinos5-9.
Los diagnósticos diferenciales incluyen el quiste dermoide o epidermoide (son los tumores orbitarios epiteliales más comunes en los niños, representando el 89% de los tumores quísticos en esta edad), los linfangiomas, los quistes hemáticos y los teratomas, los cuales sueles ser multiquísticos y con diferentes densidades3,5,7.
En general, los quistes hidatídicos orbitarios se encuentran en espacios intraconales, pero pueden ser extraconales, en los músculos e incluso en la glándula lagrimal5-7.
El diagnóstico definitivo es anatomopatológico, evidenciando las tres capas del quiste: el periquiste que es la pared, el ectoquiste acelular y el endoquiste que es la capa germinal; dentro de él se encuentra líquido claro con el escólex, así como quistes3-5.
El tratamiento definitivo es la resección quirúrgica. El abordaje puede ser frontotemporal, con destechamiento de la órbita, orbitotomía lateral, medial, inferior o transconjuntival, dependiendo de la situación de la tumoración, la accesibilidad y la extensión5-7. Se recomienda la resección completa sin ruptura del quiste, aunque es difícil, ya que usualmente la membrana es delgada y se adhiere a estructuras adyacentes; también se ha reportado la punción, aspiración o inyección y reaspiración del quiste con solución salina6,9. La principal complicación es la ruptura del quiste, con un fluido rico en protoescólices, pudiendo dar lugar a una reacción anafiláctica o una diseminación secundaria y recurrencia1,4.
El tratamiento médico adyuvante es de importancia, siendo el albendazol el fármaco de elección por su mejor absorción sistémica y penetración al quiste; se describen ciclos de 3 meses con buenos resultados, y como terapia preventiva 2 a 4 semanas previo al evento quirúrgico. Tiene que ser prescrito sobre todo en pacientes con ruptura de quiste, para evitar la diseminación3-7.
En nuestro paciente hubo recuperación de la agudeza visual y de la movilidad ocular posterior a la cirugía, ya que no presentaba daño permanente del nervio óptico, y a los 2 años de seguimiento tras la cirugía cursa sin evidencia de recurrencia de enfermedad infecciosa, tanto local como sistémica.
En conclusión, ante una tumoración orbitaria quística y proptosis de lenta evolución en pacientes pediátricos que viven en regiones endémicas, se debe considerar como diagnóstico diferencial la hidatidosis orbitaria, aun tratándose de una presentación infrecuente.










nueva página del texto (beta)


