El divertículo de Killian-Jamieson (DKJ), descrito en 1908, es una formación poco frecuente que se presenta por protrusión de la mucosa esofágica a través del espacio de Killian, por debajo del músculo cricofaríngeo.1 El DKJ es similar en su fisiopatogenia (incremento de la presión endofaríngea) al divertículo de Zenker (DZ). La incidencia del DKJ es de 0.025 a 0.02, por lo que es cuatro veces menos frecuente que el DZ. En ambas patologías los síntomas son similares, caracterizados por disfagia y tos; en el DKJ, los síntomas pueden ser menos específicos y, con mayor frecuencia, el paciente es asintomático, posiblemente debido a su localización, ya que el DZ se presenta por encima del músculo cricofaríngeo y su localización es posterior, a diferencia del DKJ, que es anterolateral y se localiza dos centímetros por debajo del músculo cricofaríngeo. En 25% de los casos, el DKJ puede ser bilateral (como en el caso presentado).2 El diagnóstico se efectúa con faringoesofagograma, ya que puede ser confundido por el ultrasonido con nódulo o quiste tiroideo.3 La serie radiológica más grande corresponde a Rubesin y Levine4 con 20 casos, siendo bilateral en cuatro pacientes; su dimensión promedio es de 1.4 cm. El tratamiento habitualmente es quirúrgico, protegiendo al nervio laríngeo recurrente. La seguridad del manejo endoscópico del DKJ no ha sido establecida debido a lo poco frecuente. El paciente motivo de esta presentación acudió por disfagia progresiva para ingesta de alimentos sólidos de tres meses de evolución, y fue sometido a cirugía.

Figura 1: Esofagograma en vista posteroanterior, que muestra divertículo bilateral de Killian-Jamieson.

Figura 2: Tomografía a nivel cervicotorácico en corte coronal, que muestra localización de divertículos esofágicos de Killian-Jamieson.

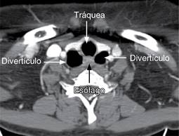
Figura 3: Tomografía a nivel cervicotorácico en corte axial, que muestra divertículos esofágicos anterolaterales.










nueva página del texto (beta)



