Introducción
Los lipomas son el segundo tumor benigno más frecuente que afecta el colon después del adenoma. Existe un predominio en el sexo femenino y la edad de presentación es generalmente entre los 50 y 65 años.1,2La localización más frecuente es el colon derecho, particularmente el ciego, seguido por el intestino delgado y el estómago.3-6La distribución reportada es de 63% en el colon derecho, 37% en el izquierdo, los lipomas en el ciego comprenden el 20% de todos los encontrados en el colon.7-9Tienen una presentación múltiple en el 26% de los casos.10
El primer caso de un lipoma colónico fue reportado por Bauer en 1757.3 Estos tumores son neoplasias benignas raras de origen mesenquimatoso.8,9Histopatológicamente, son depósitos esféricos de tejido adiposo en la pared intestinal en diferentes disposiciones: submucosos, pediculados, sésiles o muy raramente en forma anular. El 95% de los lipomas colónicos son submucosos, el resto son subserosos.11-13La prevalencia reportada en varios estudios clínicos y autopsias va desde 0.2 a 4.9%.14,15La sintomatología ocurre en aproximadamente un cuarto de los pacientes con ésta patología, ocurriendo de manera aguda o crónica, encontrando un amplio espectro que comprende desde pacientes asintomáticos, síntomas como dolor abdominal, cambios en el hábito intestinal, diarrea, sangrado rectal leve, hasta hemorragia importante, intususcepción, obstrucción intestinal, que amenazan la vida, reportándose incluso la expulsión espontánea.16-19
La sintomatología se relaciona estrechamente con el tamaño de los tumores: aquellos menores a 2 cm que usualmente permanecen asintomáticos y aquellos mayores de 2 cm, con aumento en la probabilidad de aparición de manifestaciones clínicas, siendo sintomáticos en el 75% de los casos cuando miden más de 4 cm. Las lesiones más pequeñas generalmente son hallazgos incidentales que se han incrementado con el uso de la colonoscopia y que generalmente pueden ser sometidos a tratamiento endoscópico.8,9,20-24La intususcepción en adultos es una condición poco frecuente. Aproximadamente el 90% de los casos son causados por lesiones ocupativas como los lipomas o tumores malignos. Se sabe que aproximadamente el 66% de los casos de intususcepción en adultos son resultado de tumores malignos. La intususcepción en adultos ocasionalmente se presenta como dolor abdominal crónico intermitente, obstrucción y sangrado.25,26Ya que solo entre el 9 y el 10% de las intususcepciones en adultos se presentan con la triada típica de dolor abdominal, masa palpable y evacuaciones sanguinolentas, el diagnóstico preoperatorio generalmente es complicado. 26 En general los lipomas colónicos no causan síntomas y son diagnosticados incidentalmente durante la colonoscopia, cirugía o autopsia.
El factor más importante para establecer el diagnóstico de intususcepción secundaria a un lipoma submucoso es considerar la posibilidad del mismo, especialmente en pacientes con síntomas abdominales y episodios previos de suboclusión intestinal.27 El diagnóstico prequirúrgico del lipoma colónico es bastante difícil, debido a la ausencia de síntomas y signos específicos; la realización del mismo amerita el apoyo de estudios de gabinete como son los estudios radiológicos contrastados, la colonoscopia, siendo a veces diagnosticado en el acto quirúrgico.28,29La colonoscopia permite la visualización de la lesión lipomatosa esférica, caracterizada por un crecimiento de la mucosa, de consistencia blanda durante la toma de biopsia y finalmente la visualización de grasa en la misma. El enema baritado es útil para el diagnóstico pero su uso actual es debatible debido al incremento del uso de la tomografía computarizada, que aporta información más detallada.30 En el colon por enema los lipomas aparecen como una tumoración radiolúcida esférica, bien delimitada, que puede fluctuar en forma y tamaño durante su estudio. La radiolucencia y el “signo de la opresión” (cambio en el tamaño y la forma durante la peristalsis) se han considerado patognomónicos de los lipomas colónicos.31,32Sin embargo no es del todo confiable, debido a que si le lesión se encuentra en el colon derecho o está ulcerada es difícil diferenciarla de un tumoración maligna.33 Así mismo el lipoma puede sufrir deformación durante la toma de la biopsia y después retomar su forma original, dato conocido como “signo del cojinete”. En la biopsia, el tejido graso puede protruir a través del sito de la misma dando lugar al llamado “signo de la grasa desnuda”.31
La tomografía computarizada es actualmente la herramienta más confiable para el diagnóstico de los lipomas colónicos; mostrando una tumoración esférica con bordes regulares bien delimitados con densidades de absorción de entre −40 a −120 unidades Hounsfield, compatible con tejido graso.9,12En el caso de la intususcepción intestinal secundaria a lipoma colónico, la tomografía computarizada es el método preferido para el diagnóstico. Reportándose una sensibilidad de 71.4-87.5% y una especificidad del 100% verificada con la cirugía subsecuente.34 A pesar de las herramientas diagnósticas el diagnóstico diferencial con procesos malignos es el principal reto previo al procedimiento quirúrgico.
Reporte de caso
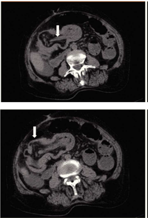
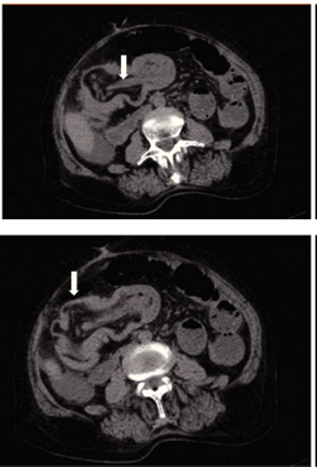
Se trata de paciente femenino de 77 años de edad, con antecedente de hipertensión arterial sistémica, ingresa a nuestro servicio por presentar cuadro doloroso abdominal intenso de una semana de evolución (fig. 1), acompañado de distensión abdominal náusea y vómito, el cual no remitió con la administración de analgésicos, acudió a valoración por facultativo quien solicitó ultrasonograma (USG) abdominal evidenciando la presencia de un tumor en colon derecho, se ingresó a la paciente por presentar persistencia de la sintomatología. A la exploración física hemodinámicamente estable se encontró abdomen distendido, doloroso a la palpación, superficial, media y profunda en cuadrantes abdominales inferiores y ruidos metálicos a la auscultación, con datos de irritación peritoneal. Paraclínicos con leucocitosis leve únicamente. En el USG abdominal reportó en flanco derecho una imagen ecogénica, redondeada, bien delimitada, con medidas de 41 × 38 × 59 mm en sus ejes mayores, la cual a la aplicación de Doppler color no mostró vascularidad, esta zona es aperistáltica, en relación a conglomerado de asas. No se identifica líquido libre. La TAC abdominal (fig. 2) con imágenes compatibles a oclusión intestinal probablemente secundaria a invaginación intestinal a nivel de ciego y colon ascendente, la cual condicionaba ascitis y neumatosis intestinal leve, además de probable adenoma suprarrenal derecho. Con lo anteriormente mencionado se infiere diagnóstico de invaginación intestinal, por lo cual se programa de urgencia para laparotomía exploradora.
Durante el procedimiento (fig. 3) se encuentra dilatación de asas intestinales, líquido libre y tumor en colon ascendente de 6 × 4 cm de bordes definidos y consistencia pétrea, por lo que se realiza hemicolectomía derecha e ileotransverso anastomosis laterolateral. Al egreso de quirófano, la paciente presentó niveles bajo de hemoglobina y desequilibrio hidroelectrolítico, lo cual condicionó traslado de la paciente a terapia intensiva. El reporte de patología evidencia un lipoma maduro en submucosa de ciego (fig. 4), con ulceración en la mucosa superficial (fig. 5). Mucosa circundante de colon y mucosa de íleon sin alteración histológica significativa. Peri apendicitis crónica con esclerosis atrófica del apéndice. Las lesiones encontradas con benignas.

Figura 4 Fotografía de la pieza histológica donde se observa la tumoración y parte de la intususcepción, se realizó corte de la pared del colon para observar la tumoración que se observa esférica, con bordes bien defi nidos, sin datos de necrosis o sangrado.
Discusión
La mayoría de los lipomas colónicos son una patología benigna frecuente, con predominio en el sexo femenino entre la 6ª y 7ª década de la vida, encontrándose predominantemente en el lado derecho, con una presentación múltiple hasta en el 26 % de los casos, la mayoría de ellos son submucosos.1,2,10La sintomatología presentada por nuestra paciente es compatible con lo reportado por otros autores, donde se describe al dolor abdominal como una de las posibles manifestaciones clínicas de éste padecimiento, sobre todo en aquellos que exceden los 2 cm de diámetro como se citó anteriormente. El cuadro clínico abarca un amplio espectro que comprende desde pacientes asintomáticos, síntomas como dolor abdominal, cambios en el hábito intestinal, diarrea, sangrado rectal leve, hasta hemorragia importante, intususcepción, obstrucción intestinal, que amenazan la vida, reportándose incluso la expulsión espontánea.16-19
El tratamiento del lipoma colónico depende principalmente del tamaño, la sintomatología y el diagnóstico preoperatorio, en el caso de nuestra paciente, con el estudio de USG no era posible realizar la resección endoscópica, ya que éste procedimiento se considera, especialmente en lipomas asintomáticos o lesiones menores de 2 cm.20,29,35Algunos autores sugieren que el límite máximo para la resección endoscópica es hasta 2.5 cm, ya que en lesiones de mayor tamaño aumenta de manera importante el riesgo de sangrado y perforación.30,36En el caso de la utilidad de la ultrasonografía endoscópica, adquiere importancia para orientar el tratamiento en lesiones que son candidatas para resección endoscópica, ya que puede demostrar si el lipoma se extiende a la muscularis propia, lo cual es un factor de riesgo de perforación que excluye la posibilidad de resección endoscópica.35
La presentación clínica de nuestro caso tuvo una evolución interesante, ya que aunque inicialmente se reportó la presencia de la tumoración en el USG, sin aparente complicación de la misma, el curso clínico tórpido de la sintomatología, con persistencia del dolor a pesar del tratamiento médico; el dolor a la palpación abdominal, los datos de oclusión intestinal sospechada por la auscultación de ruidos metálicos y la presencia de datos de irritación en la exploración física, sugerían la existencia de una patología de resolución quirúrgica. Realizando la revisión de la literatura, la resección quirúrgica es la mejor opción de tratamiento para los lipomas grandes y sintomáticos.29,31Como estudio de apoyo para orientar el tratamiento se solicitó una TAC abdominal, que es descrita como uno de los estudios diagnósticos de mayor utilidad,34 en donde se nos reportó una oclusión intestinal secundaria a una invaginación intestinal a nivel del ciego y el colon ascendente, con ascitis y neumatosis intestinal. Como se reporta en varios estudios, debido a la etiología, diagnósticos inciertos y a la alta incidencia de malignidad (cerca del 50%), el tratamiento de la intususcepción en adultos es invariablemente la resección quirúrgica8,37,38. Es el tratamiento de elección cuando los lipomas gigantes se complican con intususcepción u oclusión intestinal.
Como sería ideal en todas las patologías de resolución quirúrgica, el procedimiento quirúrgico utilizado se dictamina con el diagnóstico certero establecido en el pre operatorio. La lipomectomía es el tratamiento de elección en la ausencia de complicaciones. En otros casos, de duda diagnóstica o intususcepción aguda, debe considerarse una colectomía segmentaria.7,36 La hemicolectomía o incluso la colectomía subtotal pueden realizarse, especialmente con no pueda excluirse la malignidad o si ocurren complicaciones.2,4,29,39Como fue el caso de nuestra paciente. En el caso reportado se cumplen las características epidemiológicas comentadas anteriormente. La presentación clínica de nuestra paciente quien debutó con un cuadro de dolor abdominal, que fue progresando paulatinamente hasta presentar datos de abdomen agudo, es compatible con lo encontrado en la revisión de la literatura existente, que comprenden desde pacientes asintomáticos hasta pacientes con abdomen agudo.16,19La intususcepción en adultos se presenta como una situación poco frecuente que se caracteriza por dolor abdominal crónico intermitente, obstrucción y sangrado, de relevancia clínica debido a su importante asociación con procesos malignos, además de las complicaciones potencialmente mortales en caso de no diagnosticarse y tratarse oportunamente.26
Una vez realizado el diagnóstico de intususcepción con el apoyo de estudio de tomografía, que es descrita como uno de los estudios diagnósticos de mayor utilidad34 y debido a la evolución del cuadro abdominal al agregarse datos de irritación peritoneal, se decidió realizar la laparotomía exploradora, y en el momento de encontrarse una tumoración con intususcepción de ciego se decidió la hemicolectomía ante la posibilidad de malignidad en la lesión encontrada8,29,31,37,38. La paciente pasó inicialmente a terapia intensiva por cifras bajas de hemoglobina, sin embargo su evolución posterior fue a la mejoría hasta el día de su alta a casa. Continuó en seguimiento en consulta externa, con un pronóstico bueno para la vida y para la función.
Conclusión
Los lipomas colónicos representan una de las patologías más comunes que afectan a éste segmento del tubo gastrointestinal. Son más frecuentes en colon derecho. La mayoría permanecen asintomáticos, y cuando se hacen presentes pueden manifestarse desde dolor crónico e intermitente, hasta con sangrado, obstrucción intestinal y abdomen agudo. El diagnóstico se establece con colonoscopia o TAC, sin embargo a veces este se realiza en el momento del acto quirúrgico y su posterior envío a patología. Existen varios métodos quirúrgicos de tratamiento, como la resección local a través de una incisión en colon, resección segmentaria de colon o hemicolectomía. Se elige la técnica de acuerdo al tamaño y a si hay o no presencia de intususcepción y la localización del lipoma. Lo más importante en el diagnóstico de esta entidad nosológica es la sospecha de la misma, ya que los estudios de laboratorio y gabinete sirven de apoyo, el conocimiento de la fisiopatología y la importancia del diagnóstico oportuno reside en la necesidad de realizar un tratamiento adecuado, evitar cirugías amplias que aumenten la morbimortalidad de los pacientes y mejorar el pronóstico de los mismos.










nueva página del texto (beta)






