Antecedentes
Los linfomas del sistema nervioso central (SNC) constituyen menos del 3 % de todos los tumores cerebrales1. Una variedad de ellos, el Linfoma Primario del SNC (LPSNC) constituye el 2,5% del total de tumores cerebrales primarios; su diagnóstico se basa principalmente en no hallar coexistencia de patología sistémica al momento del diagnóstico, distinguiéndose del Linfoma Secundario2,3. De acuerdo con la World Health Organization (WHO) el Linfoma Difuso de Células B extensas es el subtipo más frecuente de LPSNC, dejando al Linfoma de Células B de bajo grado, el Linfoma Anaplástico de células extensas y al LPSNC de Células T como casos extremadamente raros1,2. El Linfoma de la Zona Marginal de Células B (LZM) que consiste en la asociación con tejido extranodal o Tejido Linfoide Asociado a Mucosa (MALT) es un tipo de Linfoma indolente de bajo grado muy raro confundido usualmente con los meningiomas; existen pequeñas series de caso que presentan compromiso dural en su mayoría; excluyendo estos linfomas durales, los LPSNC de bajo grado son entidades extremadamente inusuales2,4.
En el presente reporte comunicamos los hallazgos clínicos, quirúrgicos, histopatológicos y de inmunohistoquímica del LPSNC tipo MALT intraparenquimal. El estudio cuenta con el consentimiento del paciente y la aprobación del comité de ética de nuestra institución; asimismo, se siguieron los lineamientos de la guía CARE para reportes de caso.
Presentación del Caso
Paciente varón de 25 años, estudiante universitario procedente de Lima; con antecedente de tuberculoma cerebral y convulsiones, diagnosticado 2 años antes de ingreso (sin aislamiento bacteriológico, solo imagenológico y por prueba terapéutica) en otra institución por lo cual recibió tratamiento antituberculoso con esquema sensible, además de corticoterapia y Ácido Valproico. Presenta una enfermedad actual de 5 meses, posterior a disminución de anticomiciales cursó con convulsión tónico clónica generalizada (CTCG) 2-3 veces por semana; por lo cual acudió a neurólogo quien indicó dexametasona vía oral horario con mejoría clínica posterior. 1 día antes de ingreso paciente cursó con CTCG asociada a cefalea. Al examen de ingreso paciente colaborador orientado sin déficit neurológico refiriendo solo cefalea; se decide iniciar corticoterapia con mejoría clínica e imagenológica en días siguientes (Figura 1). En la analítica sanguínea se obtuvo leucocitosis (reactiva a corticoide), serología negativa para hiv, agHbs, vhc y vdrl; a solicitud de neumología se realizó punción lumbar obteniendo Genexpert, PCR(LCR) negativo, así como BK esputo y radiografía de tórax normal; con esta evidencia neumología sugirió descartar tuberculoma cerebral como diagnóstico. En la imagenología al ingreso, RMN encefáica se aprecia en secuencia T1 un realce homogéneo al contraste a nivel del giro frontal superior izquierdo parasagital y sin compromiso aparente de la duramadre, en FLAIR se aprecia edema vasogénico moderado perilesional y no restricción a la difusión en secuencia DWI (Figura 1); asimismo, una pan TAC y RNM toraco abdomino pélvica descartó signos de lesión en otras partes del cuerpo. En reunión clínica y ante duda diagnóstica se acuerda dar de alta a paciente y suspender de forma progresiva la corticoterapia a fin de observar mejor la lesión tumoral para toma de biopsia. 2 meses después paciente acude por consultorio por cefalea y con resultado de RMN encefálica solicitada en la cual se aprecia aumento considerable de edema vasogénico en secuencia FLAIR (Figura 1, 2da fila), por lo que se decidió hospitalizar por emergencia y realizar biopsia cerebral. Como intervención terapéutica inicial se realizó resección tumoral guiada por estereotaxia, como hallazgo intraoperatorio se obtuvo tumor frontal izquierdo subcortical fibroso, hipovascularizado, aracnoides fibrosa y duramadre hipervascularizada y fue dado de alta al 5to día postoperatorio. Se recibió anatomía patológica (Figura 2) la cual se describió como proceso linfoproliferativo B de bajo grado con diferenciación plasmocítica consistente con Linfoma de tejido Linfoide asociado a Mucosas (MALT); con este resultado fue evaluado por el servicio de oncología quien inició quimioterapia con Rituximab complementándose con radioterapia. Se realizó seguimiento del paciente mediante llamadas telefónicas y consulta externa. En la actualidad el paciente cursa asintomático con independencia funcional siguiendo tratamiento oncológico. En RMN a 6 meses postoperatorio no se aprecia signos de recidiva de lesión.

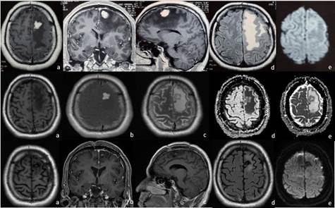
Figura 1 Resonancia magnética encefálica al ingreso, pre operatorio y a 6 meses postoperatorio (1°, 2da y 3era fila respectivamente). En la 1ª fila (a,b,c) imagen T1 contrastada, se aprecia un realce homogéneo frontal izquierdo en corte axial coronal y sagital; (d) con edema asociado en FLAIR y (e ) sin restricción a la difusión aparente. 2da fila: imagen en T1, T1 con contraste y FLAIR (a,b,c); Difusión y ADC sin restricción aparente (d,e). 3ra fila: hipointensidad frontal izquierda en relación a resección de masa tumoral; no realce al contraste (b,c), leve edema perilesional en FLAIR (d).

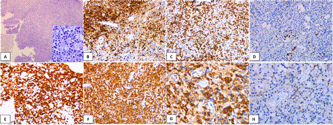
Figura 2 Fig. 1 Biopsia de tumor cerebral. (A) Parénquima cerebral difusamente infiltrado por linfocitos maduros, pequeños, con características plasmocitoides (H&E). Las tinciones de inmunohistoquímica resaltan la positividad de las células neoplásicas para marcadores de linaje B, como CD20 (B) y PAX-5 (no mostrado), se encuentran acompañadas de una población de linfocitos T maduros CD3 positivo (C); y presentan un bajo índice mitótico, como se muestra en la tinción Ki-67 (D). Las células neoplásicas además expresan marcadores de diferenciación plasmocitoide como CD138 (E) y CD38 (F), con restricción de cadenas ligeras, característica que ayuda al diagnóstico. Tinciones de inmunohistoquímica Kappa (G) y Lambda (H)
Discusión y Conclusión
El linfoma MALT fue descrito por primera vez en 1983 por Isaacson. Estos LPSNC son raros y conllevan un mal pronóstico para el paciente debido a su naturaleza agresiva del linfoma; sin embargo los linfomas MALT cerebrales presentan un buen pronóstico dado a su naturaleza indolente5. Solo unos cuantos casos de LPSNC de bajo grado MALT han sido descritos a lo largo de la historia, casi en su totalidad localizados extraaxialmente en la duramadre, predominantemente en mujeres y simuladoras con el meningioma intracraneal2,4,6. Itoh et al. indicó en su serie de casos un total de 9 pacientes con LZM de células B, el 100% mujeres en su mayoría supratentoriales y con un diagnóstico inicial de meningioma cerebral6. Asimismo como refiere Park en su reporte de 2013, hasta dicha fecha 35 casos de LZM de Células B fueron reportados en la literatura de lengua inglesa, de ellos el 85.7% fue de sexo femenino, con una media de edad de 56 años; el sitio de inserción fue a nivel dural, sobretododo en la convexidad, excepto en 3 casos que mostraron su origen en parénquima cerebral4,6,7. Realizamos nuestra búsqueda mediante la base de datos de Pubmed Mesh con el descriptor ("Lymphoma, B-Cell, Marginal Zone"[Mesh]) AND "Brain"[Mesh], asimismo en Latinoamérica con la base de datos Scielo y hallamos un total de 5 casos de LPSNC tipo MALT intraparenquimal (también denominado LZM extranodal de Células B), incluida la nuestra (Tabla 1); cabe resaltar que a nivel latinoamericano no se obtuvo resultado a la búsqueda de la patología. En el Perú solo 2 estudios se han hallado en referencia al LPSNC, sin embargo, el tipo difuso de Células B (más frecuente) fueron los hallazgos en uno de ellos, mientras en el otro estudio no se realizó la tipificación ; la falta de insumos de inmunohistoquímica y de biología molecular en nuestro país debilita obtener diagnósticos precisos8.
Tabla 1 Reporte de casos de Linfomas extranodal de la Zona Marginal de Células B (MALT) intraparenquimales
| Caso no. | Referencia | Edad | Ubicación | Diagnóstico | Tratamiento |
|---|---|---|---|---|---|
| 1 | 7 | 66a | frontal derecho | no dispinble | QT |
| 2 | 6 | 28a | APC derecho | schwannoma | cirugía |
| 3 | 4 | 18a | GB izquierdo | glioma de alto grado | RT |
| 4 | 5 | 45a | Parietal derecho | linfoma | RT |
| 5 | Caso actual | 27 a | frontal izquierdo | tuberculoma | cirugía + QT +RT |
| APC: ángulo Pontocerebeloso; GB: Ganglios Basale | s | ||||
En nuestro estudio se halló LZM extranodal de Células B a nivel intraparenquimal; una ubicación muy infrecuente. La mayoría de los LPSNC tipo MALT se ubican a nivel dural. Cabe mencionar que a nivel del SNC no existen células MALT, es por ello que una conjetura es que las células meningoteliales de la membrana aracnoidea son análogos a las células epiteliales de otros órganos donde el LinfomaMALT puede originarse6,9. Otra hipótesis es que el tejido tipo MALT se forme bajos condiciones inflamatorias en el SNC, acondicionando el camino para la formación del Linfoma MALT2. En general los Linfomas MALT cerebrales tienen un cuadro crónico, indolente; principalmente afectan a mujeres de mediana edad y predominantemente se presentan como masa dural, radiológicamente indistinguible de un meningioma7,10. Dentro de los diagnósticos diferenciales de los LPSNC hallamos los Linfomas secundarios, Toxoplasmosis cerebral, Glioblastoma multiforme (glioma en mariposa), el absceso cerebral, la Neurosarcoidosis y el Tuberculoma cerebral 3.
En nuestro paciente se halló positividad para CD38, IgG, CD20, CD 138 y PAX-5; asimismo CD3, CD23, y S100 negativos. El índice Ki-67 DEL 5% y restricción de cadenas Kappa (Kappa/Lambda). La histología e inmunofenotipo son similares a los linfomas MALT hallados en otra parte del organismo; los linfomas están compuestos de pequeños linfocitos, células de la zona marginal con ligera irregularidad, así como citoplasma pálido, unas cuantas células alargadas y muchas células plasmáticas y rara vez con focos de amiloidosis. Las células neoplásicas sin CD5 negativo y CD10 células B negativo, usualmente con células plasmáticas monotípicas, indicativos de diferenciación plasmática. Las células plasmáticas con IgG4 positivos en algunos casos sin evidencia de enfermedad sistémica. La trisomía 3 es posible detectar en estos pacientes y son raras las translocaciones1. En el linfoma MALT dural el índice de proliferación (Ki67) usualmente es <5% ; sin embargo, se han descrito linfomas MALT durales de mayor grado a nivel cerebral y espinal11.
El Linfoma MALT presenta un desarrollo lento y puede ser tratado con terapia local como la cirugía y radioterapia, aunque por la rareza de su presentación un tratamiento óptimo aún no ha sido establecido3,6,11. Cierta literatura menciona mejor pronóstico respecto a la cirugía en asociación con radioterapia adyuvante12. En efecto radioterapia primaria está avalada en pacientes con crecimiento tumoral lento y poco deterioro neurológico13,14. Asimismo, George et al. menciona a la quimioterapia como manejo único con un seguimiento a largo plazo de supervivencia con Metotrexate15. En nuestro caso, el paciente fue sometido a cirugía y posterior a ella a quimioterapia con Rituximab y radioterapia de 2600 CGY en 13 sesiones. LPSNC tipo MALT de origen intraparenquimal es una enfermedad de curso relativamente benigno y que puede ser tratado con cirugía, quimioterapia y/o radioterapia. La terapia con corticoesteroides puede disminuir dramáticamente el volumen de los LPSNC debido a la combinación de sus efectos antiedema y citotóxico3. Una probable causa de falla en el diagnóstico inicial en nuestro caso pudo deberse a la reducción de la neoplasia al iniciar dexametasona como antiedema; y por ello, se decidió suspender la corticoterapia para apreciar la real magnitud de la lesión y proceder con la excisión del mismo con los mejores márgenes.
El linfoma MALT intraparenquimal del SNC (también denominado LZM extranodal de Células B) debe estar incluido en el diagnóstico diferencial de las masas durales e intraparenquimales de pacientes inmunocompetentes. Reportes adicionales pueden contribuir a esclarecer su etiología y mejorar el enfoque terapéutico. Dentro de las limitaciones como la falta de presupuesto dentro del sistema de salud que impiden realizar estudios complementarios (estudios de neuropsicología y evaluación funcional) y diagnósticos anatomopatológicos con perfiles inmunohistoquímicos de forma temprana, esto podría conllevar a la pérdida de casos con esta misma etiología; aunado a ello la baja sospecha diagnóstica y su falta de búsqueda intencionada como diagnóstico diferencial dificulta su hallazgo.
Declaración de financiamiento y de conflictos de intereses
El reporte fue financiado por los autores; declaran que no existe conflicto de interés alguno.
Contribución de autores
JLLP trabajó en la conceptualización e investigación de campo, redacción del borrador original y edición de la versión final del documento. SCZ participó en la búsqueda de bibliografía, redacción del borrador original y revisión y edición de la versión final del documento. GBL participó en la investigación de campo y búsqueda de bibliografía y revisión de la versión final del documento.










text new page (beta)



