Reporte de caso
Un lactante masculino nacido a las 40 semanas de gestación se presentó en la clínica de Oftalmología Pediátrica de la Universidad Federal de São Paulo, Brasil, con un reflejo pupilar blanco identificado en un examen pediátrico de rutina. Fue diagnosticado a los 30 días de edad con una catarata en el ojo derecho que bloqueaba el eje visual. No hubo antecedentes de trauma al nacer. Los principales hitos del desarrollo se habían alcanzado normalmente y no se detectaron otras anomalías oculares ni del desarrollo sistémico durante el examen clínico.
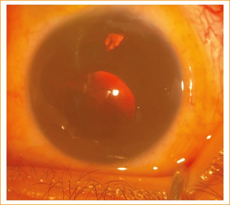
En el examen realizado en nuestra clínica, el paciente solo podía fijar y seguir la luz con el ojo izquierdo (OI). El examen del ojo derecho reveló una catarata con vascularización en la cápsula posterior (Fig. 1). No se pudo visualizar la retina. La biomicroscopía y el fondo de ojo del ojo izquierdo no mostraron alteraciones.

Figura 1 Fotografía del segmento anterior con catarata densa que oscurece el eje visual, asociada con vascularización de la cápsula posterior y elongación del proceso ciliar.
La ecografía ocular demostró una banda vítrea gruesa que se extendía desde el cristalino cataratoso hasta el disco óptico, y una retina adherida. Se observó flujo sanguíneo en la vasculatura hialoidea embrionaria (Fig. 2). La longitud axial del ojo derecho fue de 17,70 mm. La longitud axial del ojo izquierdo fue de 19,45 mm, y los detalles estructurales fueron normales en la ecografía en modo B.

Figura 2 Ecografía en modo B que muestra la lesión típica ocupando el canal de Cloquet entre la cápsula posterior y el disco óptico (forma de “I”); se detecta flujo sanguíneo en la banda retrolental y en la papila óptica.
A los 5 meses de edad, se realizó una lensectomía y resección de la VFP. Tres días antes de la cirugía se administraron inyecciones de anti-VEGF por vía intravítrea (0,05 mL) y en la cámara anterior (0,02 mL). Se realizaron incisiones quirúrgicas limbales en los cuadrantes nasal superior y temporal. Se extrajo el cristalino por aspiración dentro del saco capsular sin implantación de lente intraocular, para permitir una mejor visualización de la parte anterior de la VFP. La cápsula posterior anormalmente engrosada fue removida completamente, separándola de los procesos ciliares con tijeras intraoculares. Se realizó una vitrectomía anterior y endodiatermia de la VFP anterior. No se observó sangrado intraocular. No se registraron complicaciones perioperatorias durante el seguimiento.
En los exámenes de seguimiento a los 6 meses y al año de edad, no se observó desviación ocular. A los 12 meses, la refracción del ojo derecho fue de +20,5 dioptrías esféricas y la del ojo izquierdo de +3,00 dioptrías esféricas. La presión intraocular fue de 12 mmHg en ambos ojos. Las biometrías fueron de 18,55 mm y 20,24 mm, respectivamente. Las Figs. 3 (a los 6 meses) y 4 (a los 12 meses) muestran exámenes con biomicroscopía anterior con córnea clara, cámara anterior profunda, iris trófico y afaquia. El examen de fondo de ojo no mostró anormalidades maculares ni retinianas periféricas.
Discusión
La cirugía generalmente está indicada en el manejo de la VFP cuando existen opacidades significativas de medios, como catarata o membrana retrolental1. Las dos principales alternativas de incisión quirúrgica (limbal y pars plana) dependen de la patología ocular y de la preferencia del cirujano. El abordaje limbal está indicado para la VFP anterior con cataratas y para evitar rupturas yatrogénicas derivadas de la incisión en la pars plana2. La principal complicación perioperatoria es el sangrado intraocular3.
El VEGF cumple un rol modulador en el crecimiento de nuevos vasos sanguíneos, así como en la regresión hialoidea. Diversas enfermedades retinianas pediátricas4, como la retinopatía del prematuro5, la vitreorretinopatía exudativa familiar6 y la enfermedad de Coats7, han sido tratadas exitosamente con inyecciones de anti-VEGF, con o sin intervenciones quirúrgicas asociadas. La inyección de anti-VEGF al final de la cirugía de VFP ha sido previamente descrita como una estrategia para reducir el riesgo de hemorragia intraocular e inflamación postoperatoria³.
En la mayoría de los casos, el sangrado proveniente de la arteria hialoidea en un tallo fibrovascular puede ocurrir, y suele resolverse mediante compresión o el uso de endodiatermia. Reportamos el primer caso en la literatura de una inyección de anti-VEGF administrada antes de la cirugía de VFP para reducir el riesgo de hemorragia intraocular. Se requieren más estudios para investigar el papel y la eficacia del anti-VEGF en la VFP.










text new page (beta)




