Introducción
Los paragangliomas son tumores neuroendocrinos poco frecuentes que se originan en las células paraganglionares, un tipo especializado del sistema nervioso autónomo derivado de la cresta neural1. Estas células están distribuidas a lo largo del eje paravertebral, desde la base del cráneo hasta la pelvis, en estrecha relación con nervios y vasos sanguíneos2. Aunque su incidencia es baja, con una estimación de 2 a 8 casos por millón de personas al año, los paragangliomas retroperitoneales son aún más raros, representan menos del 15% de los casos documentados3. Según su localización y función, los paragangliomas se dividen en dos categorías principales: a) paragangliomas simpáticos, localizados predominantemente en el abdomen y el tórax, que suelen ser funcionales y se caracterizan por la secreción de catecolaminas que provocan síntomas como hipertensión, taquicardia y cefalea; b) paragangliomas parasimpáticos; comúnmente encontrados en la cabeza y el cuello, son mayoritariamente no funcionales y se manifiestan como masas asintomáticas4. Si bien la mayoría de los paragangliomas son benignos, entre el 3 y el 5% tienen un comportamiento maligno, con capacidad de diseminarse a pulmones, hígado, huesos y ganglios linfáticos5,6. En términos genéticos, alrededor del 30-40% están asociados a mutaciones germinales en genes como SDHB, SDHD y VHL7. Estos tumores suelen diagnosticarse en adultos de mediana edad y su aparición en pacientes jóvenes es extraordinariamente rara, lo que añade complejidad a su diagnóstico y manejo8. El presente reporte de caso describe la evolución de una paciente joven con el hallazgo incidental de un tumor anexial, el cual fue desarrollado siguiendo las directrices de la CARE Checklist (2013), así como las guías SAGER.
Presentación del caso clínico
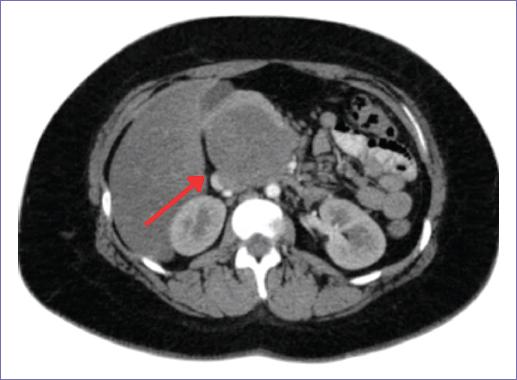
Se trata de una paciente de 20 años, originaria del Estado de México y residente en Pachuca, Hidalgo, sin antecedentes personales patológicos, con antecedentes familiares de diabetes tipo 2, cursando el segundo trimestre de embarazo, quien fue referida al servicio de oncocirugía por la detección incidental de una masa abdominal. En octubre de 2022, la paciente acudió a consulta médica debido a molestias inespecíficas en el abdomen superior, descritas como una sensación de plenitud en el epigastrio. Durante esa evaluación se realizó un ultrasonido abdominal que mostró una masa quística localizada en el epigastrio, con dimensiones de 9.1 x 7.6 x 8.99 cm y un volumen de 324.43 ml, con escasa vascularidad periférica. Ante este hallazgo, se recomendó seguimiento clínico y ultrasonográfico. En febrero de 2023 se realizó un nuevo ultrasonido abdominal como parte del seguimiento. Este estudio reportó una masa quística compleja en el epigastrio con dimensiones de 8.46 x 7.09 x 9.83 cm y un volumen calculado de 306.38 ml, sin cambios significativos en comparación con el estudio previo. A pesar de la estabilidad del tamaño de la lesión, se decidió continuar el seguimiento clínico debido a sus características ecográficas. El embarazo se resolvió sin complicaciones mediante parto vaginal el 21 de abril de 2023. Durante el puerperio, las molestias abdominales disminuyeron; sin embargo persistió la sensación de plenitud en el epigastrio, lo que llevó a la realización de un nuevo ultrasonido el 14 de junio de 2023. En este estudio, la lesión mostró características distintas, siendo descrita ahora como una masa sólida localizada en la cabeza del páncreas, con dimensiones de 6.8 x 7.9 x 7.56 cm y un volumen estimado de 213.79 ml. Además, se reportó hepatomegalia leve, dilatación del colédoco y de la vena porta, lo que indicaba una progresión de la lesión. En agosto de 2023 se realizó una tomografía computarizada simple y contrastada del abdomen para una caracterización más precisa (Fig. 1). Este estudio confirmó la presencia de una masa retroperitoneal de características sólidas y complejas, predominantemente hipodensa en la fase simple, con reforzamiento nodular periférico e irregular en las fases contrastadas, la lesión medía 7.7 x 6.2 x 7.0 cm, comprimía estructuras adyacentes, incluyendo la vena cava inferior y el duodeno, pero no mostraba invasión directa. Ante estos hallazgos, se decidió continuar con análisis de laboratorio, en los que se encontraron biometría hemática normal, función renal y hepática dentro de rangos normales, y marcadores tumorales CA 19-9 y CEA negativos. También se evaluaron catecolaminas en orina de 24 horas, cuyos resultados mostraron niveles normales de adrenalina y noradrenalina, descartando la funcionalidad del tumor. Con base en los hallazgos clínicos y paraclínicos, se plantearon diagnósticos diferenciales que incluyeron pseudoquiste pancreático, tumor sólido pseudopapilar del páncreas y paraganglioma retroperitoneal. Se decidió llevar a cabo un abordaje quirúrgico como tratamiento definitivo. La paciente fue programada para una laparotomía exploradora con resección tumoral en el servicio de oncocirugía. El procedimiento se realizó el 21 de agosto de 2023, bajo anestesia general. Durante la intervención quirúrgica, se identificó una masa de gran tamaño localizada en el retroperitoneo, adherida al duodeno, la cabeza del páncreas y la vena porta. Se realizaron maniobras de Kocher para movilizar el duodeno y permitir un acceso adecuado a la lesión. La resección fue compleja debido a la cercanía de la masa con estructuras vasculares mayores, pero se logró una extirpación completa de la lesión. El procedimiento tuvo una duración de 170 minutos y un sangrado transquirúrgico estimado en 1,500 ml, que requirió la administración de concentrados eritrocitarios. El análisis macroscópico del tejido extraído describió una masa sólida de 9 x 7 x 5 cm, de consistencia firme, coloración café rojiza y bordes bien delimitados (Fig. 2). En el análisis histopatológico se confirmó que se trataba de un paraganglioma retroperitoneal, con un patrón característico de células dispuestas en nidos (patrón Zellballen) rodeados por un estroma fibrovascular. No se evidenciaron atipias celulares, mitosis anormales ni invasión vascular, lo que respaldó su clasificación como una lesión benigna. En el postoperatorio inmediato la paciente presentó estabilidad hemodinámica, aunque desarrolló una fístula pancreática de bajo gasto que fue manejada de manera conservadora con ayuno, soporte nutricional y drenaje percutáneo. La fístula cicatrizó espontáneamente tras cuatro semanas de manejo. El seguimiento clínico y por imagen no mostró evidencia de recurrencia tumoral. Sin embargo, durante las consultas de seguimiento, la paciente presentó hiperglucemia persistente, lo que llevó al diagnóstico de diabetes mellitus tipo 1 secundaria a la resección parcial del páncreas. Fue referida al servicio de endocrinología, donde inició manejo con insulina. Actualmente, la paciente permanece asintomática y sin signos de recurrencia tumoral en los estudios de imagen realizados a los tres y seis meses posteriores a la cirugía. Continúa bajo vigilancia oncológica y metabólica, con un pronóstico favorable.
Discusión
La presentación de un paraganglioma retroperitoneal con extensión al páncreas plantea cuestionamientos sobre la necesidad de expandir el enfoque diagnóstico diferencial en pacientes con masas retroperitoneales9. Nuestro caso subraya la importancia de desafiar diagnósticos iniciales que priorizan entidades más comunes, como los tumores neuroendocrinos pancreáticos o quistes complejos, incluso cuando las características imagenológicas no son concluyentes10. La literatura existente sobre paragangliomas retroperitoneales destaca que estas neoplasias, aunque infrecuentes, representan un reto diagnóstico debido a su similitud con otros tumores retroperitoneales y pancreáticos, los paragangliomas localizados en la región de la cabeza del páncreas suelen confundirse con tumores neuroendocrinos pancreáticos debido a características imagenológicas compartidas, como su hipervascularidad y delimitación definida en estudios contrastados9-11. Sin embargo, una característica distintiva puede ser la ausencia de dilatación significativa de los conductos biliar y pancreático, lo cual se reporta frecuentemente en este tipo de tumores12. Es así como nuestro caso refuerza que la ausencia de dilatación de los conductos biliar o pancreático y la vascularidad periférica en imágenes contrastadas deben elevar la sospecha de una masa retroperitoneal más que una neoplasia pancreática primaria9,12. La proximidad del paraganglioma a estructuras esenciales resalta la necesidad de evaluar cuándo es posible adoptar estrategias conservadoras frente a procedimientos más radicales13. En este caso, la preservación parcial del páncreas logró un equilibrio entre la resección completa y la minimización del daño funcional. Este enfoque plantea una pregunta crucial: ¿en qué situaciones clínicas es justificable un manejo más agresivo cuando no existe invasión tumoral directa? Estudios similares han destacado que, incluso en casos no funcionales, la planificación quirúrgica meticulosa basada en la extensión anatómica puede cambiar significativamente el pronóstico del paciente14. Otra dimensión relevante de este caso es el aprendizaje postoperatorio, en particular el desarrollo de diabetes mellitus tipo 1 secundaria a la resección pancreática parcial15. Aunque las complicaciones metabólicas no suelen discutirse extensamente, este desenlace abre la puerta a investigaciones sobre el impacto a largo plazo del manejo quirúrgico de tumores retroperitoneales en órganos endocrinos. Este hallazgo sugiere que, más allá de la vigilancia tumoral, se debe priorizar un seguimiento metabólico estrecho para mejorar la calidad de vida del paciente16.
Perspectiva del paciente
Al recibir el diagnóstico, sentí incertidumbre debido a lo raro de mi caso y a la falta de información sobre qué esperar. Sin embargo, el seguimiento médico cercano y la atención especializada me dieron mayor tranquilidad a lo largo del proceso. A pesar de las complicaciones postoperatorias, el acompañamiento constante del equipo médico me permitió adaptarme a los cambios y comprender mejor mi evolución. Con el tiempo, esta experiencia me ha dado más seguridad para manejar mi salud y continuar con una buena calidad de vida.
Conclusión
El manejo de los paragangliomas retroperitoneales exige un enfoque diagnóstico preciso que combine evaluación imagenológica avanzada y el análisis histopatológico. La resección quirúrgica completa es fundamental para el control tumoral, aunque puede implicar secuelas metabólicas que requieren seguimiento especializado. Este caso subraya la importancia de una planificación quirúrgica individualizada y de un monitoreo integral para optimizar los desenlaces clínicos y funcionales a largo plazo.










text new page (beta)




