Introducción
En los últimos años ha aumentado el empleo de la radioterapia o radiocirugía, que actualmente son una base importante del tratamiento adyuvante y definitivo en los gliomas de alto grado y lesiones residuales. Sin embargo, la radioterapia cerebral no está exenta de riesgos potenciales; uno de los menos comprendidos, pero de importancia crítica es el desarrollo de tumores cerebrales inducidos por radiación.
Se presenta el caso clínico de un craneofaringioma, manejado quirúrgicamente, con posterior radioterapia a la lesión residual; 30 años después desarrolló tres lesiones asociadas a radiación: un meningioma, un glioma grado 3 con características oligoides y un cavernoma.
Caso clínico
Hombre de 38 años sin antecedentes heredofamiliares y sociodemográficos de importancia, con antecedente de craneofaringioma resecado quirúrgicamente en 1992, con un total de 52 Gy en 25 sesiones de radioterapia en la región temporal. Comenzó en 2022, con parestesias en hemicara derecha, disminución de la agudeza visual en ojo izquierdo con cefalea recurrente y crisis focales sin pérdida del estado de alerta, motoras, con automatismos. Acude en agosto de 2023 con estudios de imagen (Fig. 1). Se halla con afección del segundo par, pupila izquierda 3 mm hiporreactivas, derecha 2 mm normorreactiva, fondo de ojo con atrofia de papila bilateral, presenta monocromatopsia, OD-20/40, OS- 20/200, la campimetría reporta hemianopsia heterónima bitemporal, dismetría ocular con divergencia ojo izquierdo, V1 y V2 derecho con disminución en la sensibilidad, con paresia del VII central derecho, Rinne negativo izquierdo, hipoacusia conductiva, desviación de úvula derecha, con reflejo nauseoso disminuido derecho, hipoestesia faríngea derecha.

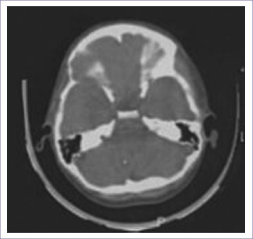
Figura 1 Último estudio tras la radiación, con el cual se da de alta al paciente en 2008, sin lesión residual o alguna otra.
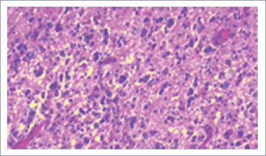
Además, el examen histopatológico evidencia lesión con fondo glial con estructuras basófilas, cuerpos de psammoma, con células de aspecto oligodendroglial, células redondas con un citoplasma claro y núcleo redondo. Observamos células gliales de aspecto astrocítico, con fibras de Rosenthal con núcleos aumentados, hipercromáticos con algunas mitosis sin necrosis ni proliferación microvascular (Fig. 2). Tenemos una proteína acídica fibrilar glial (GFAP) positiva resaltando ATRX, componente astrocítico, proteína reparadora de la cromatina, la cual pierde su expresión en gliomas grado 2 y 3. Un Olig2, de componente oligodendroglial y un KI67, este evidencia el índice de proliferación celular alto1.
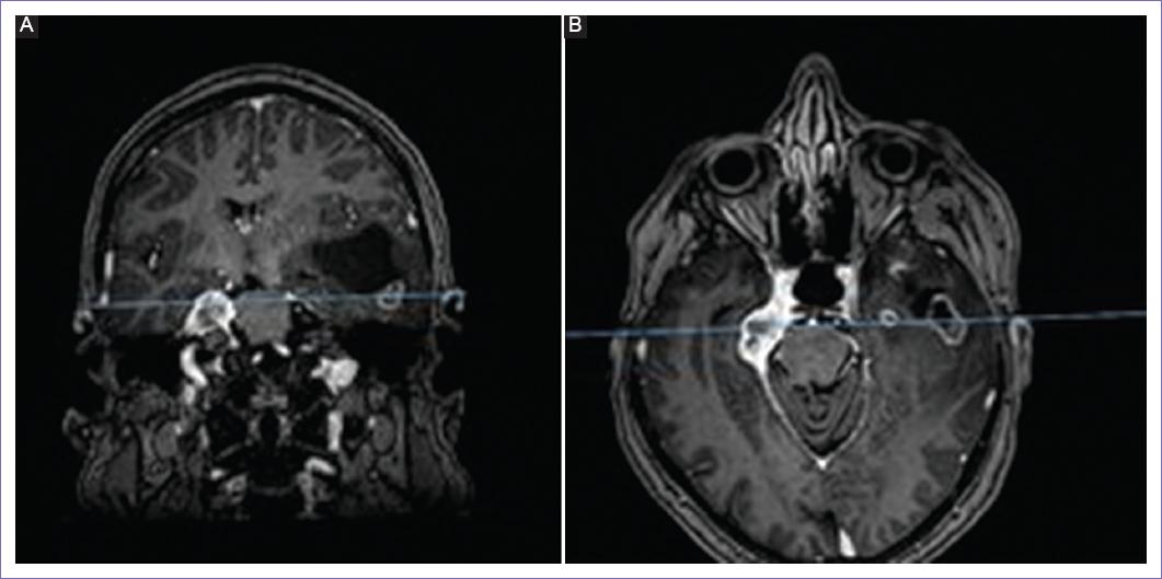
Se llega al diagnóstico por resonancia magnética, observándose tres lesiones, un meningioma tentorial derecho, una lesión glial temporal izquierda, y un cavernoma en puente Zabramski tipo 2 (Figs. 3 y 4). El electroencefalograma reporta actividad interictal en región temporal izquierdo.

Figura 3 Resonancia magnética contrastada en la cual se aprecia lesión temporal glial izquierda (A) y meningioma tentorial derecho (B).
Uno de los desafíos a los que nos enfrentamos durante su diagnóstico fue que no residían en Monterrey, por lo cual tuvieron que viajar para recibir atención médica, lo que implica no solo costos del tratamiento, sino también el hospedaje, alimentación y la situación emocional de estar en otra ciudad.
La presencia de convulsiones asociadas a un electroencefalograma positivo y la imagen de una lesión glial justificó el brindar manejo quirúrgico únicamente al glioma difuso grado 3 por dos razones, sus crisis convulsivas y por la lesión glial de alto grado, mediante una craneotomía temporal el 20 de septiembre de 2023.
Posterior a la intervención quirúrgica, el paciente cursó su periodo postoperatorio de manera adecuada, en Glasgow de 15 puntos, neurológicamente sin déficit agregado. Se retiró el antiepiléptico y el paciente no presentó episodios convulsivos posterior al retiro en su seguimiento de seis meses. Su pronóstico fue evaluado con un índice del 60% según la escala de Karnofsky dos meses posteriores a la cirugía.
Discusión
Los tumores cerebrales radioinducidos son neoplasias que se desarrollan como resultado directo o indirecto de la radioterapia cerebral. Existen dos categorías principales: primarios, que se originan en el sitio de irradiación, y secundarios, que se desarrollan fuera del área irradiada. Tienen diversos factores de riesgo y predisposición genética, incluida la presencia de mutaciones en la reparación del ADN, además de la dosis y el tipo de radiación, así como la edad al momento del tratamiento. Se han propuesto hipótesis que incluyen la alteración del ADN, la inflamación crónica, el estrés oxidativo y la disfunción celular como posibles contribuyentes.
Presentamos un caso extremadamente raro, con tres tumores radioinducidos secundarios a radioterapia recibida hace más de 30 años, un meningioma, un glioma grado 3 y un cavernoma, lo cual está pobremente descrito en la literatura, el porcentaje de estos tumores va de un 0.3% hasta un 5% a largo plazo, además se reporta la aparición de un cavernoma posterior a la radiación. En un estudio del 2020 se reportó una incidencia de lesiones secundarias en hasta el 21% de los vasos, el 10% fueron cavernomas, el 6% fueron meningiomas, el 3 fueron osteomas osteoides y un 1% resultó un astrocitoma anaplásico2.
Se han identificado las siguientes como las etiologías que recibieron radioterapia y que de manera secundaria desarrollaron lesiones malignas: las malignidades hematológicas 35.1%, adenoma pituitario en 11.8%, craneofaringioma en 6.4%, meduloblastoma en 12.8%, tumores células germinales en 4.3%, glioma de bajo grado en 9.4%, sarcomas en 4.0%, inflamación autoinmune del cuero cabelludo en 5.0%, meningioma/schwannoma en 4.3%, metástasis cerebral en 1.6% y malformaciones arteriovenosas y angiomas en 4.7%3.
En el caso del riesgo acumulativo descrito secundario a la radiación en adenomas pituitarios fue del 2.7% a los 15 años y del 2.4% a los 20 años, lo cual es 10.5 veces más frecuente que aquello visto en la población general4.
Este paciente tenía antecedentes de craneofaringioma que fue resecado quirúrgicamente hace 31 años y posteriormente recibió radioterapia con una dosis de 52 Gy en la región temporal derecha. En este caso, la exposición previa a la radiación pudo haber contribuido al progreso de los tumores que se desarrollaron. Las dosis de radiación en los que se ha reportado lesiones secundarias son variables, sin embargo se ha reportado que van en torno al 28-31 Gy5.
Si se trata de tumores radioinducidos, es raro que se presenten y se conocen varias estirpes relacionadas, sin embargo la aparición de dos tumores diferentes, un meningioma y un glioma difuso grado 3 es sumamente inusual y sugiere la necesidad de una evaluación más profunda y un manejo multidisciplinario. El meningioma es un tumor que se origina en las meninges, mientras que el glioma difuso grado 3 es una neoplasia cerebral de mayor agresividad que proviene de estirpe glial.
Otro factor es el empleo de la radioterapia en un paciente que se encuentra en las primeras décadas de la vida, que puede producir la aparición de cavernomas, originadas por la dilatación del espacio capilar, sin la presencia de tejido cerebral. La mayor parte de los cavernomas es de origen congénito, de herencia autosómica dominante o esporádica, y la incidencia de esta patología es del 0.5%. En una revisión de 2005, las personas irradiadas en los primeros diez años de vida presentaron cavernomas dentro de los 16 años siguientes al diagnóstico, mientras que en aquellos que recibieron radioterapia en la segunda década de la vida pasó más tiempo antes de detectarse. Todos los cavernomas se desarrollaron en la región previamente irradiada. El diagnóstico se realizó mediante estudios por resonancia magnética practicados como parte del control. Dos pacientes tenían enfermedad múltiple y el resto menor cantidad de lesiones. Además, en dos casos se observó un incremento del tamaño del cavernoma y la aparición de hemorragia, aunque ninguno de los dos pacientes presentó sintomatología. Los informes histopatológicos obtenidos confirmaron el diagnóstico. Muchos de los efectos deletéreos de la irradiación del sistema nervioso central son bien conocidos. Las repercusiones tempranas serían aquellas que ocurren dentro de las pocas semanas de la terapia, como el edema vasogénico; mientras que las consecuencias tardías pueden presentarse aún años después. Dentro de estas últimas se hallarían la atrofia cerebral, la necrosis de la sustancia blanca, la gliosis y la inducción de neoplasias. Los autores determinan que en pacientes que han recibido tratamiento radiante del sistema nervioso central es importante considerar al cavernoma como diagnóstico diferencial de toda lesión hemorrágica y enfatizan la relación directa entre radioterapia y aparición de cavernomas6.
Conclusión
Los tumores cerebrales inducidos por radiación plantean desafíos significativos en la práctica clínica y la investigación médica. Es imperativo que los profesionales de la salud y los científicos sigan trabajando para identificar estrategias efectivas de prevención y tratamiento. Su uso debe ser guiado por un cuidadoso equilibrio entre beneficios terapéuticos y riesgos potenciales.
La presentación de este caso clínico nos hace destacar cinco puntos. Debe existir vigilancia a largo plazo, ya que la radiación, a pesar de sus beneficios en el tratamiento del tumor primario, puede tener consecuencias negativas a futuro, se deben individualizar los casos, como se observa en este caso con la coexistencia de un meningioma y un glioma difuso grado 3, subraya la necesidad de un enfoque terapéutico individualizado. Se debe continuar con la investigación continua, ya que se necesitan estudios adicionales para comprender mejor los mecanismos subyacentes y desarrollar estrategias de prevención más efectivas.
Por último, el caso clínico resalta la complejidad y la necesidad de un abordaje multidisciplinario: estos tumores radioinducidos requieren colaboración de oncólogos, neurólogos, neurocirujanos y radioterapeutas; esencial para la evaluación y el manejo efectivo de estos pacientes. La identificación temprana, el diagnóstico preciso y la selección de las mejores opciones de tratamiento son cruciales para mejorar la calidad de vida y el pronóstico del desafío de los tumores radioinducidos.










text new page (beta)




