Introducción
El síndrome de Eisenmenger (SE), descrito por primera vez por Víctor Eisenmenger, fue definido por Paul Wood en términos fisiopatológicos como una hipertensión pulmonar a nivel sistémico, causada por una resistencia vascular pulmonar elevada, con cortocircuito inverso o bidireccional a nivel aortopulmonar, ventricular o auricular.1
Es inusual el embarazo en las pacientes con SE. Se ha estimado una mortalidad cercana de 30 a 50% en esos casos, incluso más alta (65%) cuando el embarazo termina en cesárea.2
La hipertensión pulmonar se debe a estímulos que condicionan disfunción endotelial, como la hipoxia sostenida, el estrés por rozamiento, la hipertensión venocapilar y otros estímulos nocivos (sustancias tóxicas, fármacos, inflamación), que condicionan cambios vasculares estructurales que determinan una remodelación anormal de la circulación pulmonar, principalmente a nivel de las arteriolas precapilares.3
Los hallazgos histopatológicos de la hipertensión pulmonar incluyen hipertrofia de la capa media arterial, hiperplasia de la íntima y trombosis in situ. También pueden encontrarse lesiones más complejas, como arteritis y las características lesiones plexiformes,4 lo que resulta en la obstrucción de la luz del vaso. Esto conduce a una disminución del diámetro total de la arteria pulmonar, lo cual ocasiona aumento adicional de la presión arterial pulmonar media.5
En el embarazo con SE, la recomendación inicial es la terminación de la gestación antes de la semana 16 cuando es el pico de los cambios hemodinámicos fisiológicos que conllevarán a sobrecarga de volumen y disminución de la resistencia vascular sistémica, permitiendo la aparición del cortocircuito.6
En este trabajo se presenta el caso de una paciente que fue ingresada a la Unidad de Terapia Intensiva, con diagnóstico de SE asociado a comunicación interauricular más puerperio fisiológico, con evolución tórpida, siendo de los pocos casos reportados en México en una revista crítica.
Presentación del caso
Mujer de 27 años, originaria de Chiapas, residente de Tijuana, sin conocerse con patologías previas, sólo antecedente de dos embarazos: un parto hace cinco años y el segundo sin complicaciones aparentes, cursando puerperio fisiológico de cuatro días.
Inicia su padecimiento, mientras se encontraba bañando, con dolor torácico y disnea, sin náuseas, vómito o datos de descarga adrenérgica, por lo que acude a su Unidad de Medicina Familiar, en donde detectan taquipnea y saturación de 56%. Inician manejo con oxigenoterapia con mascarilla con reservorio a 15 litros por minuto; realizan prueba de antígeno de COVID, la cual resulta negativa. Es enviada a hospital regional de segundo nivel.
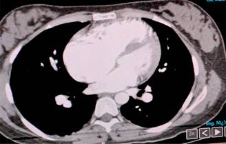
A su llegada, se continuó manejo con oxígeno complementario. Se integran diagnósticos presuntivos de insuficiencia respiratoria aguda, probable tromboembolia pulmonar; se inicia manejo para sospecha diagnóstica a base de anticoagulación plena y tratamiento con opioide, con lo que remite el dolor. Se solita ECG en donde se reporta frecuencia cardiaca de 110 latidos por minuto, con inversión de la onda T de V1-V6 (Figura 1). Gasometría arterial: pH 7.47, pCO2 17, pO2 45, SatO2 84%, HCO3 17.5; durante su estancia presenta desaturación progresiva, hasta llegar a 68%, por lo que incrementan parámetros de oxigenación. Se solicita angiotomografía, la cual reporta: datos sugestivos de hipertensión pulmonar (Figura 2), por lo que se inicia manejo con inhibidores de la fosfodiesterasa.
Es valorada por terapia intensiva, quien da prioridad 1. Al ingreso al área de terapia intensiva, se coloca dispositivo de oxígeno de alto flujo con evolución tórpida que requiere manejo avanzado de la vía aérea; persiste la hipoxemia, con saturaciones de hasta 37%, así como datos de choque cardiogénico.
Se realiza ECOTT en donde informan: dilatación de cavidades derechas, con datos de hipertensión pulmonar (100 mmHg). Se integra diagnóstico de SE. Flujograma transmitral no valorable por fusión de ambas ondas. Se realizó maniobra de contraste salinado, se observa paso inmediato y al primer latido de la aurícula derecha a la aurícula izquierda, sin poder caracterizar el tipo de comunicación o shunt intracardiaco. Se inicia manejo con análogos sintéticos de prostaciclina.
Se realiza ecocardiograma transesofágico, el cual señala: defecto del septum interauricular tipo ostium secundum amplio de 17 mm con flujo bidireccional (Figura 3).
Es valorada por cirugía cardiotorácica; se le encuentra fuera de rango para tratamiento quirúrgico.
Desarrolla neumonía con fiebre, leucocitosis y secreciones bronquiales purulentas, por lo que se deja doble cobertura antibiótica con carbapenémico y oxazolidinona; presenta mejoría, disminuye la serie blanca. Se agregó lesión renal aguda AKIN III con acidemia metabólica más hiperkalemia, por lo que es valorada por nefrología, sin criterios de urgencia dialítica, se inicia manejo con soluciones cristaloides y diuréticos de ASA, con mejoría de la función renal (Figura 4).
Al quinto día de ingreso, presenta de manera presenciada actividad eléctrica sin pulso; se da reanimación cardiopulmonar (RCP) avanzada durante dos ciclos (cuatro minutos), con retorno de pulso y ritmo sinusal. Se realizan cuidados postparo.
En su día siete de estancia, presenta evento hemodinámico con hipotensión, bradicardia y agravamiento de la hipoxemia, gasométricamente con acidosis respiratoria, hipoxemia severa (SatO2 19%); progresa a asistolia que no responde a medidas de reanimación cardiaca avanzada. Se declara muerte clínica.
Discusión
En México se han reportado 300,000 adultos en esta categoría y el aumento anual se estima en 15,000 casos más. La incidencia de cardiopatías es de ocho por cada 1,000 recién nacidos vivos, de los cuales 30% corresponden a cardiopatías congénitas con cortocircuitos sistémicos pulmonares que, al no ser operados en forma temprana, pueden desarrollar enfermedad vascular pulmonar y síndrome de Eisenmenger, complicación reportada de 5-11%. Los pacientes con SE son pacientes con alto riesgo que, a su ingreso hospitalario, generalmente requieren tratamiento quirúrgico o se presentan con un embarazo.7
La mortalidad materna en presencia del síndrome de Eisenmenger se informa que es de 30-50% e incluso hasta 65% en aquellas con cesárea. Se informa que el periodo más peligroso es temprano, después del parto, con una incidencia de muerte de hasta 70% en el día 2-30 del postparto. El retraso diagnóstico, una presentación tardía al hospital y la gravedad del síndrome de Eisenmenger, se ha descubierto que son factores de riesgo contribuyentes a la mortalidad. El mayor riesgo radica en los plazos de entrega y precocidad postparto debido a grandes cambios hemodinámicos. Las mayores causas de muerte podrían ser hipovolemia, tromboembolismo y preeclampsia.8
Este síndrome es un trastorno generalizado que causa alteraciones hematológicas, endocrinas, de la cinética de las bilirrubinas, renales, óseas, respiratorias, neurológicas y cardiovasculares. Todas ellas condicionan un promedio de supervivencia de 33 años de edad.
El SE es considerado como una contraindicación absoluta para el embarazo. Si una mujer con SE opta por continuar con el embarazo, oxigenoterapia, uso agresivo de las terapias vasodilatadoras y la atención por parte de un equipo multidisciplinario especializado pueden ayudar a minimizar la mortalidad.9
Conclusiones
El SE es una condición médica que afecta a la calidad de vida de los pacientes; debido al manejo médico quirúrgico temprano del defecto, hay pacientes que se han visto beneficiados, pero existe una pequeña proporción de casos que no se diagnostican a tiempo y desarrollan síntomas severos, así como complicaciones que elevan la mortalidad de estos pacientes.
La mortalidad materna asociada al SE, a pesar de los nuevos tratamientos en las últimas décadas, no se ha visto beneficiada. La mortalidad sigue siendo preocupante para la futura madre, por lo que el embarazo sigue siendo una contraindicación absoluta. Sin embargo, si la paciente decide continuar con el embarazo, requiere de la vigilancia estrecha y multidisciplinaria antes de la concepción, durante y en el puerperio; esto para disminuir la morbimortalidad tanto materna como fetal, así como para mejorar la calidad de vida de las mujeres en puerperio que sobreviven al embarazo y padecen síndrome de Eisenmenger.









text new page (beta)






