Introducción
La enfermedad pilonidal es una patología supurativa que afecta con mayor frecuencia a varones de entre 15 y 30 años. Se caracteriza por un quiste de contenido piloso, localizado en la región sacrococcígea, que puede infectarse y fistulizar a la piel1. La presencia de sinus pilonidales localizados en la región perianal es muy infrecuente.
Caso clínico
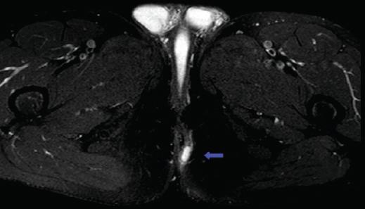
Varón de 39 años, sin cirugías anales previas ni otros antecedentes de interés, valorado en consulta por un cuadro de supuración perianal intermitente de 1 año de evolución. En la exploración física presentaba un orificio fistuloso externo (OFE) localizado a las 2 horas, a 3 cm del margen anal en posición de litotomía, con supuración activa y sin alteraciones en el tacto rectal. Las imágenes ponderadas en T2 de la resonancia magnética (RM) pélvica (Fig. 1), aparentemente, mostraron una fístula transesfinteriana anterior con una pequeña colección hiperintensa en el pliegue interglúteo. Ante la sospecha de fístula anal se realizó una exploración quirúrgica (Fig. 2), observando un OFE localizado a las 2 horas, con signos de abscesificación, y otro OFE a las 7 horas en litotomía. Así mismo, asociaba un orificio pilonidal en la región coccígea. Se canularon los OFE y se inyectó peróxido de hidrógeno, sin evidenciar comunicación con el canal anal en la anuscopia, al contrario de lo que sugería la RM. El OFE a las 2 horas comunicaba con la cavidad abscesual y el OFE de las 7 horas comunicaba con la fosita pilonidal posterior. Se realizaron fistulotomías, que mostraron cavidades pilonidales crónicas, con gran contenido piloso y de granulación (Fig. 3). Se efectuaron escisiones completas de las cavidades pilonidales y posterior marsupialización de los bordes para favorecer el cierre por segunda intención. Al mes y medio de la intervención (Fig. 4), el paciente se encontraba asintomático, con una correcta cicatrización de las heridas quirúrgicas. Tras 2 años de seguimiento, el paciente no muestra datos de recidiva.

Figura 1 Resonancia magnética pélvica (imagen ponderada en T2) que muestra una fístula transesfinteriana anterior con una pequeña colección hiperintensa en el pliegue interglúteo (flecha).

Figura 2 Exploración quirúrgica. Se observan dos orificios fistulosos externos, uno localizado a las 2 horas (flecha), con signos de abscesificación (asterisco), y otro a las 7 horas en litotomía (flecha). Así mismo, asociaba un orificio pilonidal en la región coccígea (círculo).
Discusión
El diagnóstico de sinus pilonidal suele ser sencillo. Es un diagnóstico clínico, basado en la presencia de un orificio pilonidal en la parte superior del surco interglúteo, a 4-10 cm del margen anal1. La enfermedad pilonidal crónica se presenta con cicatrices y fístulas que se comunican con la piel, limitándose casi exclusivamente a la región sacrococcígea y sin comunicar con el canal anal. Sin embargo, en la literatura científica se han publicado reducidos casos de enfermedad pilonidal de localización perianal, en los que, como en nuestro paciente, no se llega al diagnóstico correcto hasta la exploración quirúrgica2-8.
La RM pélvica es la prueba de imagen de elección para el diagnóstico diferencial de la enfermedad perianal, presentando una sensibilidad del 100% y una especificidad del 98% para el diagnóstico de fístula perianal, y resulta de gran utilidad en la planificación preoperatoria9. No obstante, tal como defiende Sert2, no es útil en el diagnóstico diferencial entre fístula perianal y enfermedad pilonidal perianal, lo cual pensamos que se debe, en parte, al bajo índice de sospecha de esta última.
Autores como Eberspacher et al.3 y Aggarwal et al.4 reportan que, de manera infrecuente, la enfermedad pilonidal perianal puede producir abscesos que fistulicen al canal anal. En nuestro paciente, aunque el quiste pilonidal no presentaba aparente relación con los esfínteres, ni evidencia de fístula anal, existiría el riesgo de que a largo plazo la hubiera desarrollado.
El tratamiento de la enfermedad pilonidal perianal se basa en los mismos principios que en la localización sacrococcígea, teniendo especial cuidado en la obliteración del trayecto fístuloso y la preservación de los esfínteres. Sert2 realizó manejo conservador mediante incisión y fenolización, pero la técnica más empleada en los casos publicados ha sido la escisión, con o sin cierre primario3,5,7,8. En nuestro paciente se realizó una escisión amplia con marsupialización de los bordes y cierre por segunda intención, con buenos resultados durante el seguimiento.
Conclusiones
El sinus pilonidal de localización perianal es muy infrecuente en la práctica clínica, pero debe tenerse en cuenta en el diagnóstico diferencial de la fístula perianal, sobre todo en aquellos pacientes con diagnóstico simultáneo de sinus pilonidal. Por último, consideramos que nuestro paciente puede ser agregado a los escasos casos clínicos publicados.










text new page (beta)




