Introducción
El pie humano, dada su anatomía, ha sido adaptado a un modelo multisegmentado, dividiéndolo así en tres partes: retropié (incluye el astrágalo y calcáneo), mediopié (escafoides, tarsiano, cuboides, tres huesos cuneiformes) y antepié (cinco metatarsianos y dedos).1
En los seres humanos, el pie tiene un arco longitudinal y un arco transverso. El primero tiene dos componentes: medial y lateral. El medial se compone de un pilar anterior conformado por los tres primeros metatarsianos con sus respectivos huesos cuneiformes y el escafoides tarsiano. El astrágalo está en la cúspide de éste. Por el contrario, el arco longitudinal lateral es plano, se compone de los dos metatarsianos externos y el hueso del cuboides. El calcáneo representa el pilar posterior común para ambos arcos.2 El arco transverso del pie está conformado por el cuboides, los huesos cuneiformes y las bases de los cinco metatarsianos, los cuales se combinan entre sí para formar el complejo articular de Lisfranc. El cuneiforme intermedio forma el ápex del arco transverso, por lo cual se le denomina «piedra angular del arco romano» estabilizado por una serie de ligamentos interóseos.3
En la articulación escafo-cuneiforme, 75.4% de la superficie distal del escafoides tarsiano está cubierta de cartílago articular. Por otra parte, los huesos cuneiformes medial, intermedio y lateral tienen 69.6, 75.7 y 75.8% de su área total de superficie cubiertas de cartílago, respectivamente.4
Los huesos cuneiformes, al pertenecer tanto al arco longitudinal como al transverso, pueden verse expuestos a lesiones traumáticas (fracturas o luxaciones),5 y ser blanco de enfermedades inflamatorias y metabólicas (artritis reumatoide, diabetes mellitus complicada por pie diabético, alcoholismo crónico, malnutrición y deficiencia de vitamina B12), lo cual trae consigo el riesgo de secuelas tales como artritis, artrosis y deformidad sintomáticas.6
Se realizó una búsqueda bibliográfica con relación a los huesos cuneiformes del pie, en bases de datos tales como: PUBMED, EMBASE, COCHRANE, en inglés, español y francés, empleando los términos MeSH: «cuneiforme», «fractura», «luxación», «tratamiento», «cirugía», «rehabilitación», «fijación», «biomecánica», «trauma» y «Lisfranc». Se obtuvieron un total de 69 artículos, de los cuales se excluyeron 10 por estar duplicados y uno por no poder obtenerse el texto completo. De igual forma, la búsqueda se extendió a libros de texto clásicos desde junio de 1990 hasta junio de 2024, sin restricciones respecto al tipo de estudio.
El objetivo de esta revisión narrativa es examinar las generalidades en anatomía, epidemiología, clasificación y manejo de las lesiones traumáticas que afectan estos huesos del llamado «arco romano del mediopié», así como las estrategias en rehabilitación temprana con el fin de disminuir las secuelas postraumáticas asociadas que generan gran morbilidad, alteran el patrón de marcha y calidad de vida de los pacientes.
Anatomía
La articulación escafo-cuneiforme está conformada por el hueso del navicular o escafoides tarsiano, el cual tiene una superficie articular anterior, posterior, dorsal y plantar. La cara articular anterior del escafoides tarsiano tiene una altura promedio de 19.9 ± 3.2 mm y un diámetro a lo ancho de 34.7 ± 5.6 mm. Posee tres facetas articulares para alojar los tres huesos cuneiformes: medial, intermedio y lateral, que poseen forma de cuña con su base dorsal y ápex plantar. El cuneiforme intermedio es el más grande de los tres, tiene un promedio de altura y un diámetro transverso de 20.4 ± 2.6 mm y 16.9 ± 3.3 mm, respectivamente. Está localizado 8 mm más proximal con relación al medial y 4 mm con respecto al lateral, consideraciones anatómicas para tener presente al momento de realizar procedimientos de fijación interna o de fusión articular.7
El complejo articular de Lisfranc, del cual hacen parte los huesos cuneiformes, se encuentra estabilizado por fuertes ligamentos plantares e interóseos, que conectan las bases de los metatarsianos entre sí y éstas, a su vez, con los huesos cuneiformes y el cuboides. La porción dorsal de estos ligamentos representa la debilidad del aparato ligamentario.8
El cuneiforme medial está fijado por fuertes ligamentos cuneo naviculares, el ligamento intercuneiforme que lo fija al cuneiforme intermedio. Por otra parte, el cuneiforme lateral está fijado por los ligamentos cuneo-escafoideo, tres ligamentos cuneo-cuboideo y ligamentos metatarso-cuneiformes dorsales y plantares. De esta manera, el cuneiforme intermedio al solo tener débiles y delgados ligamentos dorsales que lo conectan al segundo metatarsiano y al escafoides tarsiano, lo convierte en la parte débil del arco.9
El ligamento de Lisfranc es considerado el estabilizador primario de mediopié. Es un ligamento interóseo, originado desde la parte lateral del cuneiforme medial y se inserta en la cara medial de la base del segundo metatarsiano. Recientemente, ha sido descrito un ligamento bien definido originándose desde la base del quinto metatarsiano e insertándose en la cara plantar lateral del segundo metatarsiano, denominado como ligamento lateral de Lisfranc o ligamento metatarsiano suspensorio transverso.10
Epidemiología
Se estima que las lesiones óseas que afectan los huesos cuneiformes representan 1.7% de todas las lesiones del tarso.11 Esto se debe principalmente a que la parte ósea media del pie está protegida mediante ligamentos y tendones que le proporcionan rigidez y estabilidad a su estructura.12
En 2019, Fitschen-Oestern S y colaboradores evaluaron entre 2002 y 2014, un total de 34,019 pacientes con politrauma; encontraron lesiones en el pie en 7.4%, de éstas 6.6% fueron fracturas y 0.8% lesiones ligamentarias. No obstante, lesiones no diagnosticadas en el pie, en el momento de la evaluación inicial, fueron un total de 6.5%, la mayoría de éstas, secundarias a accidentes de tránsito (44.3%) o a caídas de altura de más de tres metros (25.4%).13 Estas últimas frecuentemente en casos de lesiones autoinfligidas, dado que las extremidades inferiores reciben en primera instancia la energía de la caída.14
Smith asociados encontraron luxaciones aisladas y luxo-fracturas que involucraban el cuneiforme intermedio en 67% de sus pacientes.15 Por otra parte, las fracturas aisladas son raras, limitadas a sólo reporte de casos.16,17
Mecanismo de trauma
Las fracturas o luxaciones de los huesos cuneiformes se dan de manera directa o indirecta. Las lesiones directas se presentan cuando existe una fuerza de alto impacto sobre el dorso del pie y las indirectas durante caídas, accidentes de tránsito con hiperflexión plantar e hipersupinación.15
La carga axial del antepié durante la posición en equino resulta en una plantiflexión del antepié más abducción, con una tensión dorsal a nivel de la articulación escafo-cuneiforme. Esto genera una rotura de los ligamentos dorsales escafo-cuneo-metatarsianos y, por lo tanto, la luxación cuneiforme intermedia. Adicionalmente, si se presenta supinación o pronación va a generar lesiones de Lisfranc o de los metatarsianos.18 Por otra parte, tenemos una fuerte fascia plantar con un hueso cuneiforme intermedio localizado en el ápex del «arco romano»; éstos son factores que explican la mayor frecuencia de luxaciones dorsales, que las plantares. De esta manera, la cantidad de daño depende de la fuerza aplicada al pie y su posición en el momento del trauma.19
En relación con la forma anatómica de los cuneiformes, el intermedio en forma de prisma y de base dorsal sumado a unos fuertes ligamentos plantares, favorecen la luxación dorsal. Por el contrario, la morfología en cuña de base plantar ancha del cuneiforme medial, explican la mayor frecuencia de luxación medial-plantar. Finalmente, la forma de cuña y base dorsal del cuneiforme lateral, lo predispone a la luxación dorsal.20
Lesiones por mecanismos más inusuales reportadas en la literatura incluyen: fracturas no desplazadas del cuneiforme medial, secundarias a lesión aguda indirecta durante la práctica de danza,21 y durante la realización de carreras de atletismo.22
Evaluación clínica
Durante la evaluación inicial, el edema localizado en la cara dorsal-medial del pie, equimosis circular localizada bajo el arco medial o también conocido como signo de Mondor, deformidad hacia dorsal, sensibilidad marcada a la palpación subcutánea de las estructuras óseas subyacentes en especial sobre la articulación tarsometatarsiana están frecuentemente presentes, así como la imposibilidad para el apoyo de la extremidad. Examinar la presencia e integridad del pulso pedio, así como la sensibilidad distal es muy recomendable.23
La presencia de heridas sobre la zona traumática, que sugieran o evidencien claramente la posible presencia de una fractura y/o luxación abiertas, debe alertar al evaluador para poder dirigir adecuadamente el plan de manejo con esquema de antibiótico, lavado y desbridamiento en sala de cirugía.24
En el caso de pacientes con politrauma, las lesiones del pie pueden pasar desapercibidas, resultado de la priorización que tiene lugar durante la evaluación inicial al momento del ingreso del paciente. Sin embargo, desde el establecimiento por parte del Colegio Americano de Cirujanos del curso de Soporte Vital Avanzado en Trauma (ATLS), que incluye la evaluación primaria, secundaria y terciaria, realizadas y repetidas en varios momentos durante las primeras 24 horas tras el ingreso, se ha reducido el riesgo de lesiones olvidadas.25
Imágenes diagnósticas
La evaluación radiográfica inicial debe hacerse con la serie completa de radiografías del pie, en lo posible con proyección anteroposterior con el rayo centrado en el segundo metatarsiano con 15o de angulación caudal, la proyección oblicua con el pie en rotación interna de 30o y finalmente una proyección lateral, las cuales proporcionan información para evaluar el complejo de Lisfranc y, por ende, los cuneiformes. En el caso de radiografías tomadas sin carga, puede no diagnosticarse o presentarse subdiagnóstico hasta en 31.1% de lesiones a este nivel.26
El diagnóstico de fracturas cuneiformes puede ser difícil debido a la estructura medial del pie, en la cual la presencia de múltiples huesos y sus intrincadas articulaciones se superponen, generando así confusión visual.24
Han sido descritos algunos signos radiológicos que pueden orientar la presencia de una fractura cuneiforme, tales como el signo de fleck, en dos pacientes con avulsión ósea del cuneiforme medial, en la zona de inserción del tendón tibial anterior. Las radiografías de estos casos mostraban un pequeño fragmento óseo desplazados sobre el primer cuneiforme, en la radiografía oblicua del pie.27,28
El signo del cuneiforme vacío ha sido reportado en paciente con luxación aislada del cuneiforme medial, como la ausencia de éste de su posición normal en la radiografía anteroposterior del pie.29
A diferencia de las lesiones complejas, las luxaciones o fracturas aisladas de la articulación cuneo-escafoidea son difíciles de diagnosticar, pero cuando más de un hueso cuneiforme ha sido afectado, esta lesión es más fácilmente detectada. De esta manera, en caso de dudas con el estudio radiológico de la serie de trauma o en caso de sospecha de fractura inducida por una fuerza indirecta (militares, bailarines o corredores), deberían tomarse estudios de imagen más avanzados tales como tomografía axial computarizada o resonancia magnética articular.30,31
En el caso de la tomografía axial computarizada esta ha sido por años el método de elección, con 25 a 33% más sensibilidad que la radiografía convencional para diagnosticar lesiones de Lisfranc, dada su capacidad de evidenciar fracturas, luxaciones, fracturas ocultas o la avulsión ósea en la base del segundo metatarsiano del ligamento de Lisfranc (signo de la hojuela), visualizado en el espacio entre el cuneiforme medial y el segundo metatarsiano, en el contexto de lesiones agudas. En lesiones inveteradas o crónicas, permite evaluar el número de articulaciones afectadas, la degeneración articular y la presencia de quistes subcondrales.32
La resonancia magnética nuclear tiene su papel en las lesiones agudas o sutiles, dada su capacidad para detectar edema óseo a lo largo de la base del segundo metatarsiano en la fase T2, así como la evaluación de los ligamentos de Lisfranc y plantares.33
Recientemente, las imágenes tomadas con carga surgen como una alternativa para evaluar grados variables en lesiones de Lisfranc. La tomografía axial con carga permite la detección de variaciones significativas en mediciones tales como: la distancia entre el primero-segundo metatarsiano, distancia primer cuneiforme-segundo metatarsiano, permitiendo una evaluación más comprensiva de la articulación de Lisfranc.34
Clasificación
En la literatura se presentan varias clasificaciones para las lesiones que afectan los huesos cuneiformes. La clasificación AO les asigna el número 85, debido a que el pie como región anatómica se denomina con el número 8, los cuneiformes como número 5. A su vez cada cuneiforme por su localización recibe el numero 1 = medial, 2 = intermedia y 3 = lateral. Las denominaciones con letras que subdividen cada una según el compromiso óseo, se toman como A: fractura avulsiva, B: fractura parcial articular y C: fractura con compromiso total articular.35
Mehlhorn y colaboradores (2016), tras la revisión de 55 casos de lesiones cuneiformes desde 1967 a 2014, a los que suman cinco casos propios, proponen una clasificación con parámetros semejantes a la establecida por la AO. En su sistema de clasificación propuesto, establecen como A: lesiones de un solo hueso cuneiforme, B: lesión de dos cuneiformes y C: lesión de los tres cuneiformes. Además, les asignan el numero 1 al 3, de acuerdo con: si la lesión es una fractura se representa con el número 1, en caso de luxación con el número 2 y en lesiones combinadas con luxofractura, el número 3 (Figura 1).20

Figura 1: Representación esquemática de la clasificación de Mehlhorn y colaboradores. A1, A2 y A3) Fractura, luxación y luxofractura involucrando un solo hueso cuneiforme. B1, B2 y B3) Fractura, luxación y luxofractura involucrando dos huesos cuneiformes. C1, C2 y C3) Fractura, luxación y luxofractura involucrando todos los huesos cuneiformes.
Este sistema de clasificación visual fue evaluado con relación a la confiabilidad interobservador, con un sustancial nivel de concordancia (k = 0.68), de acuerdo con Landis y Koch.36
Recientemente, un nuevo sistema de clasificación basado en la localización anatómica de la lesión ha sido publicado. Éste asigna el número 1 a las lesiones con compromiso en la articulación metatarso-cuneiforme o escafo-cuneiforme, el número 2 en las lesiones localizadas en la región dorsal o plantar del hueso cuneiforme y el numero 3 si se localizan medial o lateral. El sistema de clasificación permitiría establecer una localización más precisa de la lesión, forma de abordarla y debería alertar al evaluador acerca de la posibilidad de lesiones asociadas como una lesión de Lisfranc.37
Numerosos sistemas de clasificación para las lesiones de Lisfranc han sido descritos. Para luxofracturas de alta energía, la clasificación modificada de Hardcastle descrita por Myerson, ha sido la más ampliamente empleada para caracterizar la morfología de la lesión en los tipos: incongruencia total, parcial o divergente. Una variante proximal de lesión con extensión hacia la articulación intercuneiforme y naviculo-cuneiforme, fue también descrita por este mismo autor. En el caso de lesiones de baja energía, Nunley y Vertullo propusieron un sistema de clasificación que combina hallazgos clínicos, radiografías con apoyo y gammagrafía ósea.38
Tipos de lesiones
Aisladas
Las lesiones de este tipo han sido descritas como luxación o fractura pura, afectan sólo un hueso cuneiforme.16,17,18,19,21,22,23,29,30,31,39 Otra forma de lesiones únicas han sido reportadas como avulsiones óseas del sitio de inserción del tendón tibial anterior en el cuneiforme medial, por mecanismos de tracción secundarios a contracción excéntrica, con tres casos hasta el momento de esta revisión.27,28
Combinadas
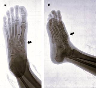
Por un lado, lesiones cuneiformes asociadas a otras fracturas, luxaciones, luxofracturas de una o más cuneiformes adyacentes, han sido previamente descritas.40,41,42 Por otro lado, en trauma complejo de mediopié con lesiones de Lisfranc y compromiso de huesos cuneiformes, en especial la luxación del cuneiforme intermedio, han sido presentadas en forma de reportes aislados de caso (Figura 2 y 3).43,44

Figura 2: Radiografía de pie derecho. A) Proyección anteroposterior; se observa fractura de cuneiforme medial conminuta (flecha corta) y apertura de espacio de Lisfranc (flecha larga). B) Proyección oblicua; se aprecia desplazamiento dorsal de cuneiforme medial (flecha).
Métodos de manejo
Conservador
Las fracturas aisladas no desplazadas de huesos cuneiformes son susceptibles de manejo conservador, lo cual incluye la terapia con reposo, hielo, inmovilización, elevación con restricción del apoyo por tres semanas, al término de las cuales la incorporación de una ortesis con soporte de arco medial e inicio de apoyo parcial en la cuarta semana; progresando hasta la sexta semana con carga total. El inicio de terapia física se propone en este punto.22 En deportistas de alto rendimiento, programas de rehabilitación que integran terapia acuática, ejercicios de fortalecimiento muscular y acondicionamiento cardiovascular tienen como objetivo el retorno temprano al juego.45
La reducción cerrada temprana de las luxaciones cuneiformes debe hacerse para evitar lesión de las estructuras neurovasculares dorsales del pie y disminuir la tensión de los tejidos blandos a nivel del mediopié. La reducción en caso de la luxación cuneiforme medial se logra de forma manual con tracción del antepié y presión directa desde plantar o medial plantar, hasta recuperar el contorno anatómico normal, mas no así en el caso de luxación del cuneiforme intermedio, el cual es mucho más inestable.46
Algunos autores recomiendan la reducción abierta por dos razones: al emplear la técnica abierta, todas las barreras anatómicas que pudiesen interponerse a la reducción congruente pueden ser removidas, permitiendo así una fácil reducción. Al realizar la reducción abierta no sólo se logra la reducción adecuada, sino que también se pueden inspeccionar los huesos cuneiformes adyacentes, haciendo menos probable pasar por alto la presencia de fracturas concomitantes.20
Métodos de fijación
Agujas de Kirschner
Son implantes de bajo costo, fácilmente accesibles, se colocan mediante perforación directa, percutánea y de manera atraumática.47 Disponibles en acero inoxidable, titanio y nitinol con diversas propiedades para cada uno; en el caso del titanio con menos tendencia a la formación de biofilm, el nitinol con mayor flexibilidad y el acero inoxidable con mayor resistencia a la carga cíclica.48 En términos generales, es el método de estabilización empleado en el manejo de luxaciones y luxofracturas cuneiformes, más frecuentemente encontrado en los reportes de caso. Se pueden utilizar como parte del control de daño en trauma o como manejo definitivo, en cuyo caso se dejan entre cuatro a seis semanas para su posterior retiro en forma ambulatoria.18,24,29
Placa puente
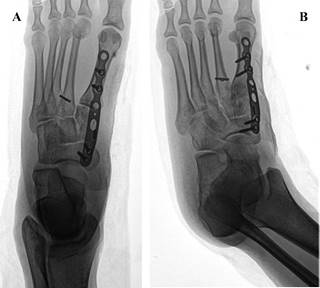
Lesiones por aplastamiento del mediopié, la presencia de patrones de fractura con conminución y acortamiento, comprometen la estabilidad de la columna media del pie. En estas situaciones, la utilización de fijador externo y/o agujas de Kirschner puede no proporcionar suficiente rigidez para sostener la reducción sobre el tiempo. La fijación con placa puente es la opción para lograr mantener la fijación en forma más estable, hasta que la consolidación sea alcanzada. Esta placa se extiende desde el primer metatarsiano al escafoides tarsiano o incluso al cuello del talo, si el escafoides presenta gran conminución que precluya la fijación en este lugar.49 En este último caso, el retiro de la placa después de cuatro a nueve meses debe hacerse para restaurar la función en el arco transverso y en la articulación subtalar, dado el efecto deletéreo que genera el bloqueo de la articulación escafoastragalina sobre la articulación calcáneo cuboidea y subtalar (Figura 4).50
Tornillos
Las luxaciones de los huesos cuneiformes, en especial asociadas a lesiones de Lisfranc, requieren estabilización con tornillos, generalmente de 3.5 mm, dado que representan un sistema más estable de fijación que ofrece una rápida recuperación con baja incidencia de desplazamiento secundario comparado con la técnica de fijación con agujas de Kirschner, las cuales son fáciles de insertar y remover, pero presentan hasta 32% de desplazamiento secundario o subóptima reducción. Los tornillos corticales sólidos o canulados con rosca parcial tienen similar fuerza de sujeción y resistencia a la deformación con el apoyo parcial.51
También debe tenerse presente que un solo tornillo de 3.5 mm, genera un daño entre 2 a 4% de la superficie articular del cuneiforme medial, intermedio y de las bases de primero y segundo metatarsiano.52 Sin embargo, la clave en estos casos es la restauración anatómica con una fijación estable de la articulación intercuneiforme y del resto del complejo del mediopié, para facilitar un aceptable resultado clínico.53
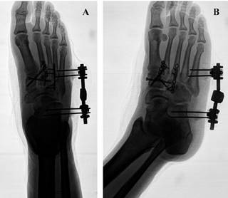
Fijación externa
El fijador externo ideal debe ser fácil de usar y aplicar, ligero, versátil, poco costoso, facilitar el cuidado de heridas y la función el pie. Para lesiones aisladas del mediopié, la fijación uniplanar es generalmente empleada.54
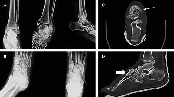
En pacientes con lesiones de alta energía del mediopié: fracturas/luxaciones y significativo daño de tejidos blandos, el protocolo de manejo por etapas incluye la fijación externa. Ésta permite recuperar la longitud y alineación de las columnas óseas favoreciendo la recuperación de las partes blandas, antes de realizar la fijación interna definitiva (Figuras 5 y 6).55,56

Figura 5: Paciente con luxofractura de Lisfranc compleja del pie. A) Radiografía con serie de trauma con irregularidad en escafo-cuneiforme. B) Radiografía de pie con fractura de cuboides (flecha curva). C) Tomografía axial; muestra conminución de segundo y tercer cuneiforme (flecha). D) Tomografía sagital; se observa luxofractura dorsal cuneiforme (flecha).
Artrodesis intercuneiforme
La prevalencia de artritis postraumática después de luxofracturas tarsometatarsianas puede ser alta, en especial si hay daño articular y reducciones no adecuadas. Las articulaciones escafocuneiforme e intercuneiforme presentan poca movilidad durante el ciclo de la marcha, por lo cual se les denomina articulaciones «no esenciales». La fusión primaria postraumática ha sido reportada en dos casos de lesión con gran inestabilidad de estas articulaciones, asociadas a severa lesión osteocondral.57
La forma en arco de piedra angular de los huesos cuneiformes con forma en cuña de base dorsal y ápex plantar, sumado al hecho de la gran área articular de la faceta cuneiforme media e intermedia, se constituyen en un parámetro a considerar al momento de realizar artrodesis con tornillos en esta área. Al realizar la implantación de la fijación interna debería ser en una posición más dorsal, permitiendo así mayor compresión por área.58 Por otro lado, una reciente serie de 62 pacientes manejados con placas de colocación plantar en artrodesis de mediopié para corrección de diversas patologías, entre éstas lesiones de Lisfranc y Chopart, obtuvo una tasa de no unión de 6.4%, más baja de lo que reporta la literatura en general (5 a 10%).59
Un aspecto de gran controversia y amplias discusiones en lesiones de Lisfranc, está representado en cuál método de manejo quirúrgico primario es el ideal para lograr la mejor estabilización y resultados funcionales. La bibliografía en favor de una y otra es robusta en comparación a otras áreas de controversia en ortopedia. Sin embargo, un metaanálisis de 2024 sugiere que la artrodesis primaria es superior a la reducción abierta con fijación interna, con relación a escalas funcionales y retorno más temprano a la actividad.60
Rehabilitación
En cuanto al manejo posoperatorio de los pacientes después de realizar una fijación y estabilización de forma quirúrgica, procede realizar un protocolo de rehabilitación para reducir las posibles secuelas que acompañan este tipo de fracturas. Se describe en general, para la rehabilitación del mediopié, en el posoperatorio inmediato y por cuatro a seis semanas posteriores, marcha con apoyo parcial a tolerancia con una bota ortopédica con control del movimiento del tobillo (bota tipo CAM/Control de Movimiento Activo); posteriormente, entre la semana siete y doce, se debe retirar la bota e iniciar con actividad física tres veces a la semana, tales como caminar o nadar, por cinco a diez minutos inicialmente e ir aumentando la duración en forma progresiva. A partir de este momento, se pueden iniciar ejercicios pliométricos y en superficies inestables con el cien por ciento del arco de movilidad.45 Adicional a la terapia física, en reportes de caso, se han descrito terapias adyuvantes, por ejemplo el masaje para drenaje linfático posterior a la cicatrización de las heridas quirúrgicas.20
Resultados
Basado en la literatura revisada, se propone un algoritmo de enfoque en el manejo, diagnóstico, tratamiento y rehabilitación (Figura 7).
Evolución
En la revisión de Mehlhorn y colaboradores de 2016, se plantea la hipótesis de que los dos factores más importantes para el desenlace funcional de estos pacientes son: la lesión múltiple, a mayor número de cuneiformes, peor el resultado; y las luxofracturas, más que las fracturas o luxaciones aisladas.20
La baja incidencia de este tipo de lesiones hace que sean propensas a un diagnóstico tardío o a pasar desapercibidas, lo que empeora los resultados a largo plazo en cuanto a la funcionalidad del paciente. Relacionado con esto se han descrito casos de osteoartritis resultante de luxofracturas, pero no de lesiones traumáticas individuales,42 pseudoartrosis dolorosas,56 entre otros.
Discusión
Las lesiones de tipo luxación, factura o combinación de estos patrones traumáticos que afectan los huesos cuneiformes, tienen escasa descripción en la literatura y está en gran parte representada en forma de reporte de casos aislados. Si este tipo de lesiones se presenta en conjunto o asociada a compromiso traumático con estructuras óseas adyacentes, tales como los metatarsianos, el hueso escafoides e incluso el cuboides, la literatura que las describe, en especial en los casos de lesiones de Lisfranc, es más robusta.
Este trabajo de revisión narrativa de la literatura se basa en la búsqueda de información específica a lo largo de los últimos 34 años, con relación a la lesión de cuneiformes su diagnóstico, evaluación, manejo y plan de rehabilitación. Se pretende mejorar la compresión y abordaje acerca de este tema. Proponemos un algoritmo de enfoque diagnóstico y terapéutico, con base en la información revisada.
Reconocemos las limitaciones metodológicas y sesgos de este trabajo de diseño narrativo, dado que pudimos haber omitido información por subjetividad en otras lenguas, bases de datos o literatura gris. Sumado a la escasa información disponible en la literatura en relación a estudios del tipo revisiones sistemáticas, metaanálisis, casos y controles.
Conclusión
Dentro de la cinemática del trauma que pueden afectar el mediopié, sumado a las estrechas relaciones articulares de los huesos cuneiformes, no es de extrañar que lesiones conjuntas se puedan presentar simultáneamente, con una combinación de fracturas, luxaciones y la concurrencia de ambas, afectando más de un cuneiforme o las articulaciones adyacentes.
A pesar de ser una patología rara, con literatura escasa que se basa en reportes de caso y experiencias de autores, es una afección que puede producir gran limitación funcional a largo plazo, por lo que es de vital importancia realizar un diagnóstico temprano, apuntar siempre a una reducción anatómica, empleando los métodos de fijación más estables, buscando así alcanzar los mejores resultados funcionales, lo cual reduce el riesgo de cambios degenerativos ulteriores.
Se requieren trabajos futuros que permitan comparar métodos de manejo y hacer seguimientos clínicos, radiológicos, a mediano y largo plazo.










text new page (beta)







