Introducción
El fémur proximal es una de las localizaciones más frecuentes de tumores benignos y lesiones displásicas en niños y adolescentes, con una edad media de ocho años en la presentación inicial. Más de 75% de los casos de displasia fibrosa (DF) se presentarán antes de los 30 años.1 Las tumoraciones benignas más frecuentes incluyen el quiste óseo simple, quiste óseo aneurismático, fibroma no osificante y la DF, siendo las fracturas, a menudo, el primer síntoma.1,2 Las complicaciones más comunes de estas fracturas en el fémur proximal incluyen deformidad en varo, la discrepancia de extremidades pélvicas y la necrosis avascular.2
La DF representa aproximadamente 5-7% de las lesiones benignas y 2.5% de todas las lesiones óseas.1 Según DiCaprio y colaboradores, la DF es una patología benigna que resulta de una alteración en el desarrollo durante la remodelación del hueso primitivo a hueso lamelar maduro, así como de una falla en la biomecánica del hueso para realinearse bajo estrés mecánico.3 Esta alteración produce una masa de trabéculas inmaduras embebidas en tejido fibroso displásico, que experimenta un proceso constante pero incompleto de remodelación. Se ha asociado su etiología a mutaciones en el gen Gs alfa ubicado en el cromosoma 20q13.2-13.3.4
La DF ocurre en dos presentaciones: monostótica, la más común, donde las lesiones se encuentran en un solo hueso y poliostótica, donde las lesiones ocurren en múltiples huesos y pueden estar asociadas o no con características endocrinas extraesqueléticas, cuando lo está, la enfermedad se denomina síndrome de McCune-Albright.1,5 Los pacientes con la variante poliostótica que presentan afección en huesos de carga tienen un mayor riesgo de fracturas. Las características radiográficas de la DF varían ampliamente.
Las lesiones se originan desde el canal medular, pero típicamente se expanden, reemplazando tanto el hueso esponjoso como cortical, lo que genera deformidad ósea. El tejido fibro-óseo sólido que remplaza al hueso normal, es más radiolúcido, generando la apariencia de «vidrio molido». Las lesiones suelen tener un borde bien definido; cuando presentan un borde esclerótico se denomina el «signo de la corteza». El riesgo de transformación maligna de la DF es muy bajo, con una prevalencia de 0.4 a 4%, siendo más común en la variante poliostótica.1,6 Aproximadamente 13% de los condrosarcomas, 16% de los sarcomas de Ewing y 10% de los osteosarcomas aparecen en el fémur proximal, que es también la ubicación más frecuente de la DF.1,7
El tratamiento depende de la edad del paciente, la localización, el tamaño y el comportamiento biológico de la lesión. Las lesiones monostóticas sólo permanecen activas hasta que se alcanza la madurez esquelética, mientras que la variante poliostótica puede progresar hasta la adultez.8 Actualmente, el tratamiento más recomendado para la DF en el fémur proximal es el curetaje, la aplicación de injerto óseo y la fijación interna; sin embargo, el riesgo de recurrencia es alto.6
En pacientes con fractura de fémur proximal con DF, una opción terapéutica viable es la resección femoral proximal o total y llevar a cabo el reemplazo endoprotésico, utilizando sistemas megaprotésicos modulares o prótesis compuestas-aloinjerto como principales alternativas.9,10 El objetivo del presente trabajo es mostrar el resultado exitoso de un caso de displasia fibrosa de fémur proximal manejado con una prótesis modular.
Presentación del caso
Paciente masculino de 27 años con antecedente de displasia fibrosa en fémur proximal derecho, la cual se manejó de manera profiláctica para disminuir riesgo de fractura hace 20 años mediante curetaje (resección intralesional), aplicación de injertó óseo y fijación con material de osteosíntesis, el cual fue retirado un año posterior a la fijación. Dos semanas antes de su ingreso hospitalario, el paciente experimentó dolor después de una caída con mecanismo de baja energía caracterizado por carga axial y componente rotacional de la cadera derecha, lo que resultó en dolor de intensidad 8/10 en la escala visual analógica (EVA) a nivel del pliegue inguinal y de muslo derecho, lo que le incapacitó para la deambulación.
Se observó un acortamiento de 1 cm y rotación externa de la cadera derecha. Dolor a la palpación que se acompaña de crepitación ósea palpable. Los arcos de movilidad y fuerza por grupos musculares no fueron valorables; sin embargo, no se observaron anormalidades en el examen neurovascular. La maniobra de Log Roll resultó positiva.
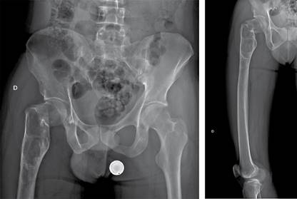
Se realizaron radiografías de pelvis y de fémur, que revelaron una fractura basicervical de fémur derecho Garden II Pauwells III AO 31B2.3r, con un patrón lítico de destrucción geográfica y un margen esclerótico bien delimitado que se extendía hacia el fémur distal aproximadamente 14 cm, sin evidencia de reacción endóstica o perióstica (Figura 1). Estas imágenes eran compatibles con una lesión de lento crecimiento, que necesitaba confirmación mediante histopatología, ya que, como se mencionó previamente, a pesar de que el paciente cuenta con antecedente de DF, existen otras entidades, algunas de comportamiento biológico maligno, de las cuales debe hacerse diagnóstico diferencial. Como estudio complementario, se realizó una tomografía simple de fémur derecho, ya que nos permite delimitar perfectamente los bordes de la tumoración para la planeación quirúrgica, así como precisar el patrón de destrucción lítico y el adelgazamiento del hueso cortical (Figura 2). Los parámetros del metabolismo óseo se encontraban dentro de valores normales.

Figura 1: Radiografías anteroposterior de pelvis y anteroposterior de fémur en las que se observa fractura a nivel del cuello femoral, basicervical en terreno patológico con un patrón lítico de destrucción geográfica, con margen esclerótico bien delimitado que se extiende hacia el fémur distal aproximadamente 14 cm sin datos de reacción endóstica o perióstica que sugieran malignidad.

Figura 2: Tomografía computarizada simple de todo el fémur derecho en una proyección coronal donde puede delimitarse el borde distal de la tumoración ósea, así como el adelgazamiento cortical proximal.
Se decidió llevar a cabo tratamiento quirúrgico, que consistió en una resección amplia de fémur proximal, artroplastía total con prótesis modular y biopsia escisional de fémur proximal derecho. Se realizó abordaje lateral directo. Se resecaron aproximadamente 14 cm de fémur proximal en forma de biopsia escisional para su estudio histopatológico (Figura 3), el cual confirmó la presencia de DF en el fémur proximal derecho.

Figura 3: Resultado de biopsia escisional con aproximadamente 14 cm del fémur proximal afectado por tumoración ósea para su estudio histopatológico posterior.
La artroplastía total se realizó con una prótesis modular del sistema Zimmer Biomet (Warsaw, IN, USA) (Figura 4) con una copa acetabular no cementada OsseoTi Limited Hole de 4 orificios de 54 mm fijada con dos tornillos de 6.5 × 20 mm, liner de CoCr G7 de doble movilidad de 44 mm, núcleo de polietileno infundido con vitamina E1 (antioxidante) de 28 × 44 mm, cabeza de CoCr de 28 mm +6, segmento proximal Finn de 7 cm, segmento diafisario de 9 cm, vástago no cementado de 150 × 14.5 mm y colocación de cerclaje Cable Grip System de 1.8 mm, el cual fue colocado a manera de reforzamiento previo a la impactación del vástago femoral, ya que posterior a la osteotomía femoral, durante la regularización de los bordes, se identificó sutil fragmentación de la cortical anteromedial del fémur, así que, de forma profiláctica, se decidió utilizar un cerclaje previo a la impactación del vástago femoral (Figura 5). La herida se cubrió con un parche con sistema de presión negativa que favoreciera el control necesario del exudado de la herida con el objetivo de evitar la formación de hematomas y/o seromas. Durante el período postoperatorio, el paciente permaneció cuatro días hospitalizado, restringiéndose el apoyo durante los primeros dos días, comenzó con sesiones de medicina física y rehabilitación, iniciando con apoyo parcial el día tres de su postoperatorio. El paciente fue dado de alta clínica y hemodinámicamente estable, sin la necesidad de transfusión de hemoderivados.

Figura 4: Prótesis modular, Zimmer Biomet (Warsaw, IN, USA). A) Sistema modular femoral (segmento proximal de 7 cm, segmento diafisario de 9 cm y vástago no cementado de 150 × 14.5 mm). B) Cabeza protésica de CoCr de 28 mm en núcleo de polietileno vitaminado de 28 × 44 mm (vitamina E1 antioxidante) C) Liner de CoCr de doble movilidad de 44 mm.

Figura 5: Radiografía anteroposterior de cadera derecha que evidencia resección de fémur proximal, así como colocación de prótesis total modular de cadera y colocación de cerclaje de reforzamiento.
Durante su seguimiento en el período postoperatorio (6-12 semanas), el paciente continúa con apoyo parcial hasta el día 20, en el cual comienza con apoyo completo aún acompañado de andadera. Se lleva a cabo control radiológico a las cuatro semanas, observando adecuadamente todos los componentes protésicos. Actualmente se encuentra realizando actividades de la vida diaria con ligera limitación debido a la claudicación ocasionada por la incisión en el glúteo medio. Sin embargo, pudo participar en actividades deportivas de bajo impacto, como caminatas y expresó una gran satisfacción con el resultado funcional del procedimiento.
Discusión
Las fracturas de huesos largos son una complicación común de la displasia fibrosa (DF) que pueden ser potencialmente discapacitantes, dolorosas y difíciles de tratar y ocurren con mayor frecuencia en niños, tendiendo a disminuir en incidencia después de los 10 años de edad. La prevalencia general es de 59%.1 En cuanto al fémur proximal, se sabe que presenta un elevado estrés mecánico por su particular estructura anatómica, por lo que es el sitio más propenso a fracturas en estos casos.11 En el caso presentado, el paciente tenía siete años al momento del diagnóstico de DF en fémur proximal; si tomamos en consideración un estudio clínico observacional retrospectivo elaborado por Wenzheng Liu y colaboradores, los riesgos para fractura de fémur proximal en estos pacientes incluyen una edad de diagnóstico de entre seis y 10 años, así como ser categorizado como tipo A de acuerdo a la clasificación morfológica de Guille, tener un ángulo cervicodiafisario anormal (coxa vara o coxa valga), presentar niveles altos de osteocalcina y contar con patología endocrina como hipertiroidismo.11,12
Es difícil predecir cuándo ocurrirá una fractura en pacientes con DF y a menudo no son hospitalizados hasta que ésta ocurre, momento en el que se ha perdido la mejor oportunidad de brindar tratamiento como una fijación profiláctica mediante fijación intramedular.11,13 En este caso, el diagnóstico de DF a nivel de fémur proximal se estableció 20 años antes de la fractura y, al contar con algunos de los factores de riesgo mencionados, se decidió tratar quirúrgicamente de manera profiláctica mediante curetaje, aplicación de injerto óseo y osteosíntesis, lo que resulta adecuado en estos casos, ya que la corrección de la mecánica ósea y el apoyo mediante implantes metálicos deben ser una prioridad.8 La cirugía basada únicamente en curetaje y aplicación de autoinjerto óseo en lesiones de fémur proximal se considera inadecuada e insuficiente debido a que el autoinjerto de hueso esponjoso tiende a reabsorberse en algunos estudios hasta en 100% de los casos,14 lo que conlleva un elevado riesgo de fracaso con alta probabilidad de fractura postoperatoria, progresión de la deformidad en varo y necesidad de cirugía de revisión, en algunas series hasta en 60% de los casos.15 Por este motivo, hoy en día se considera un mejor método la combinación de aloinjerto óseo estructural en asociación con una fijación mediante placa o enclavado centromedular.1,8,10,14
En el contexto de fractura de fémur proximal con tumoración benigna, las indicaciones para llevar a cabo una resección femoral total incluyen múltiples lesiones en fémur o tumores diafisarios primarios, lesiones que se extienden por proximal y distal hasta sobrepasar la zona de unión epimetafisaria y que no permiten preservar la articulación de manera adecuada.8,10,16
En nuestro caso, se trata de un paciente que presentó una fractura a nivel del cuello femoral derecho en terreno patológico, con extensión de la lesión tumoral de forma distal hacia la diáfisis femoral. Tomando esto en consideración más el hecho de que 12% de todos los pacientes con DF desarrollarán coxartrosis y pueden requerir artroplastía total de cadera durante su vida,17 es que se decidió llevar a cabo una resección amplia de fémur proximal y artroplastía total con prótesis modular. Por otro lado, de acuerdo con Theil y cols., la erosión acetabular, aunque poco frecuente, representa un riesgo en pacientes jóvenes con supervivencia mayor a 10 años sometidos a hemiartroplastía en el contexto de un reemplazo femoral proximal por un tumor óseo maligno.18 La artroplastía total en este paciente representa un método terapéutico potencialmente curativo.
De acuerdo con Assi y asociados, las copas de doble movilidad representan una gran alternativa en pacientes jóvenes y activos con mayor demanda de actividad y movilidad de la cadera que tienen mayor riesgo de luxación protésica, debido a que de acuerdo con su estudio no se reportan luxaciones en artroplastías primarias en un seguimiento promedio cinco a 10 años.19
La literatura actualmente reporta que, en pacientes con fractura de fémur proximal en territorio de DF, una buena opción terapéutica es la resección femoral proximal o total y el reemplazo endoprotésico con dos principales alternativas: sistemas megaprotésicos modulares o los compuestos prótesis-aloinjerto.9,10 La endoprótesis tumoral adquiere mayor estabilidad con la preservación de la cápsula articular, así como mediante la fijación de músculos y tendones directamente al componente protésico, ya que la reparación limitada del mecanismo abductor puede condicionar altas tasas de inestabilidad o luxación dentro del período postoperatorio.9
Las fracturas periprotésicas intraoperatorias afectan sin lugar a dudas los resultados quirúrgicos, generando un prolongado tiempo operatorio, una mayor pérdida sanguínea, complicaciones postoperatorias, tasas de revisión más elevadas y retraso en la deambulación con carga de peso.20 En estudios previos se ha demostrado que el uso de un vástago femoral no cementado y alteraciones en la calidad del hueso como osteoporosis y, en este caso DF, son factores predisponentes a una fractura periprotésica,20 por lo que en este paciente, se decidió colocar, de manera profiláctica previo a la impactación del vástago femoral, un cerclaje femoral tipo Cable Grip System de 1.8 mm. El cerclaje femoral profiláctico ha demostrado tener la capacidad de prevenir fracturas periprotésicas intra y postoperatorias al aumentar la resistencia al estrés del fémur proximal y permitir una menor apertura de grietas y una menor movilización del vástago.20 El uso de vástagos femorales no cementados representa una excelente opción, en el contexto de megaprótesis, en caso de pacientes jóvenes, con buena calidad ósea distal a la lesión tumoral y con una potencial supervivencia a largo plazo.21
Hoy en día el reemplazo articular con implantes metálicos posterior a una resección proximal de fémur es el método terapéutico de primera línea debido a que representa una cirugía de preservación de la extremidad y ofrece ventajas como restauración postquirúrgica inmediata de la extremidad afectada, movilidad temprana y resultados funcionales satisfactorios a largo plazo. Se ha descrito que deben evitarse los largos períodos sin carga de peso en estos pacientes ya que esto puede generar osteopenia por desuso.10 En este caso, se decidió iniciar apoyo parcial de la extremidad operada al tercer día postquirúrgico y apoyo completo a los 20 días postquirúrgicos, una vez completado el proceso de osteointegración del componente protésico, el cual dura típicamente de cuatro a seis semanas.22
En un metaanálisis sistemático publicado por Thambapillary y colaboradores en 2013, se estudió la resección de un tumor óseo y posterior reemplazo articular. Se reportó una preservación de la extremidad superior a 90%, una supervivencia del implante a cinco años de 84% y una tasa de revisión global de 11% sin tomar en cuenta la supervivencia del paciente.23
Bo Li y colegas demostraron, por medio de un metaanálisis, que los pacientes sometidos a resección proximal de fémur y reemplazo articular por un tumor óseo primario y no metástasis, tienen una tasa de sobrevida mayor a 50%, esto sin tomar en cuenta que el tumor primario tenga un comportamiento benigno o maligno. De igual manera demostraron una mayor tasa de supervivencia del implante cuando se llevó a cabo una artroplastía total versus una hemiartroplastía, a pesar de que esta última ofrece mejor estabilidad y menor riesgo de luxación.24
Debido a la extensión de la lesión tumoral ósea de forma distal hacia la diáfisis femoral, la resección amplia de dicha lesión y el reemplazo articular mediante una prótesis modular, aunque con menor tasa de supervivencia con respecto a los implantes convencionales,17 representa una terapia adecuada y definitiva, teniendo como ventaja la recuperación funcional inmediata de la extremidad pélvica, la recuperación de los arcos de movilidad y la fácil reintegración del paciente a sus actividades de la vida diaria.
Conclusiones
La displasia fibrosa (DF) es un trastorno que presenta un amplio espectro clínico y grado de complejidad en su enfoque y manejo. En lesiones a nivel de fémur proximal, es necesario identificar los factores de riesgo y tomar una decisión individualizada para cada paciente sobre si el hueso debe ser fijado profilácticamente para mejorar la sintomatología o restaurar la función. En caso de ser necesario, el curetaje con adición de injerto óseo suplementario y fijación interna es la opción más confiable. En los casos de fractura de fémur proximal en territorio de DF, la resección femoral proximal o total, seguido del reemplazo endoprotésico con sistemas megaprotésicos modulares es el método terapéutico de primera línea, ya que representa una cirugía de preservación de la extremidad y ofrece ventajas como restauración postquirúrgica inmediata de la extremidad afectada, movilidad temprana y resultados funcionales satisfactorios a largo plazo. A pesar de los avances en el manejo ortopédico, aún queda la necesidad de desarrollar un tratamiento capaz de alterar el curso subyacente de la enfermedad.










text new page (beta)


