Introducción
En México el frijol es uno de los principales alimentos más importantes por su alto aporte de proteína, calcio y hierro. Su cultivo ocupa el segundo lugar en cuanto a superficie sembrada y por lo que representa la segunda actividad agrícola más importante por el debido al número de productores dedicados al cultivo. Los principales estados productores son: Zacatecas, Sinaloa, Chihuahua, Durango, Nayarit, Chiapas, Guanajuato, San Luis Potosí, Puebla e Hidalgo (SIAP, 2019).
La mancha angular es una enfermedad endémica del frijol causada por el hongo Pseudocercospora griseola (Sacc.) Crous & Braun. Es de fácil y amplia propagación y se encuentra principalmente en el trópico y subtrópico (León-Saavedra, 2009). Las hojas infectadas presentan manchas que se originan en el envés y se delimitan por las nervaduras, evolucionan hasta convertirse en lesiones grisáceas, más tarde se tornan de color marrón y carecen de coloración en los bordes (de Jesús et al., 2001). Las pérdidas ocasionadas oscilan entre 50% y 80% de la producción normal (de Jesús et al., 2001).
Hasta la fecha se han identificado cinco genes de resistencia, Phg-1 a Phg-5, ubicados en los cromosomas Pv01, Pv08, Pv04 y Pv10; Phg-1 a Phg-3 se identificaron en el acervo mesoamericano y Phg-4 y Phg-5 en el acervo andino. Existen, además, algunos candidatos a genes que han demostrado que confieren resistencia a mancha angular en algunos genotipos, pero que aún requieren estudios de validación en otros, tales como Phg-ON, QTL ALS5.1UC, QTL ALS5.2UC y otros (Nay et al., 2019b).
Los marcadores moleculares regiones amplificadas caracterizadas por su secuencia (SCAR), siglas en inglés se basan en la identificación de fragmentos RAPD altamente repetidos, los cuales se asocian con la respuesta de resistencia, son secuenciados y a partir de su secuencia de se diseñan iniciadores específicos. Este tipo de marcadores se ha usado ampliamente por su especificidad en la caracterización de enfermedades, identificación de genotipos resistentes y selección asistida por marcadores moleculares (MAS), por sus siglas en inglés para el desarrollo de nuevos progenitores resistentes (Beebe et al., 2000, 2001; Rodrigues et al., 2016; Miller et al., 2018; Gil et al., 2019; Okii et al., 2019; Nay et al., 2019a).
El objetivo de la presente investigación fue identificar marcadores moleculares SCAR asociados a la resistencia a la mancha angular en variedades de frijol generadas por el Instituto Nacional de Investigaciones Forestales, Agrícolas y Pecuarias (INIFAP). Adicionalmente se hizo realizó una estimación preliminar de su capacidad predictiva mediante su estudio en materiales no inoculados.
Materiales y métodos
Germoplasma y marcadores moleculares
Se usaron genotipos contrastantes de frijol por su respuesta a la mancha angular, incluyendo que incluyen frijol negro resistente (N. Papaloapan y Ouro Negro), frijol negro de reacción desconocida (N. Comapa y N. Cotaxtla), variedades susceptibles de tipo bayo (B. Azteca y B. INIFAP), cinco líneas de frijol negro (SCN 7, SEN 26, SEN 44, SEN 56, SEN 70) y dos de rojo rojos (SCR 13 y SER 83) con reacción desconocida a la mancha angular, así como tres líneas segregantes derivadas de la cruza SEN 26/N. Papaloapan (110, 111 y 122). Todos los materiales genéticos fueron proporcionados por el Programa de Mejoramiento de Frijol del Instituto Nacional de Investigaciones Forestales, Agrícolas y Pecuarias (INIFAP) con sede en el Campo Experimental Bajío (CEBAJ).
Se emplearon los marcadores SCAR CV542014 y TGA 1.1 (Gonçalves-Vidigal et al., 2011), SH13, SAA19, SBA16 y SM02 (de Queiroz et al., 2004), SN02 (Sietsche et al., 2000), E-ACA/MCCT (Mahuku et al., 2004), específicos de los genes de resistencia Phg1, Phg2 y ON. Todos los iniciadores fueron sintetizados por la compañía SIGMA®. Se inocularon dos cepas de P. griseola procedentes de aislados de Cotaxtla, Veracruz (cepa 2) y Valle de Santiago, Guanajuato (cepa 4), ya sea de manera individual o formando una mezcla equivalente (cepa 2+4), para inocular diversos genotipos de frijol.
Siembra y colecta de muestras de tejido foliar
Se germinaron 20 semillas de las variedades de frijol negro y bayo se germinaron en cámara húmeda a 23 °C con el fin de purificar ADN de las plántulas y amplificar los marcadores SCAR. En invernadero se sembraron los mismos materiales genéticos, en los cuales cinco plantas de cada genotipo se inocularon con cada una de las cepas de P. griseola o bien con la mezcla de ambas. En campo se sembraron las cinco líneas de frijol negro y dos de frijol rojo, de las que se seleccionaron 80 plantas de cada una para verificar la presencia de los marcadores de genes de resistencia.
Extracción de ADN
El ADN genómico se aisló con el método de Doyle (1990) a partir de un foliolo de cada planta en la etapa de desarrollo V5. Las muestras se molieron en el homogenizador FastPrep® con 600 µl de amortiguador de extracción CTAB, posteriormente se siguió el procedimiento recomendado por el autor de la técnica. La concentración de ADN se estandarizó a 10 ng µl-1. La calidad del ADN se verificó por electroforesis en gel de agarosa al 1% y su amplificabilidad se determinó mediante la amplificación del gen ribosómico 26S de acuerdo con Montero-Tavera et al. (2017).
Amplificación de los marcadores moleculares
La amplificación de ADN de todos los materiales genotipos con los ocho marcadores moleculares se realizó mediante la reacción en cadena de la polimerasa (PCR) usando con las siguientes condiciones.
Para los marcadores CV542014 y TGA1.1 se programó una desnaturalización inicial a 95 °C por 3 min, seguida por 35 ciclos compuestos de desnaturalización a 92 °C por 30 s, alineamiento a 50 °C por 1 min y extensión a 72 °C por 1 min; finalmente se agregó un ciclo de extensión a 72 °C durante 5 min. Para los marcadores SH13, SAA19, SBA16, SM02 y E-ACA/MCCT330 se modificó empleando con desnaturalización a 94 °C por 30 s alineamiento a 60 °C por 1 min y extensión a 72 °C por 1.5 min. Para el marcador SN02 se modificó usando con alineamiento a 65 °C por 1 min. Las reacciones de PCR incluyeron amortiguador 10X, (2 µl), MgCl2 50X (1 µl), dNTP’s 2.5Mm (2 µl), iniciador 5 µm (4 µl), Taq polimerasa 1 U (0.2 µl), ADN 10 ng µl-1 (3 µl) y agua desionizada (7.8 µl).
Los fragmentos amplificados se separaron por electroforesis en geles de agarosa al 1% con amortiguador TBE 1X a 120 V y se documentaron fotográficamente con el equipo Gel Logic 112 (Carestream, WoodBridge, CT, USA). La identificación de cada fragmento se realizó basándose con base en su tamaño estimado en pares de bases.
Inoculación de variedades selectas de frijol negro y bayo
Las dos cepas se cultivaron a 27 °C en medio V8 de acuerdo con lo publicado por Schwartz et al. (1982). Posteriormente cada cepa se suspendió en agua destilada estéril hasta una concentración de 2×104 conidias ml-1, además, se preparó una mezcla equivalente con las dos cepas, quedando así tres por lo que quedaron tres fuentes de inóculo.
Se inocularon las variedades resistentes N. Papaloapan y Ouro Negro, las variedades de reacción aún no determinada N. Comapa y N. Cotaxtla y las variedades susceptibles B. Azteca y B. INIFAP. La inoculación se llevó a cabo por aspersión en el haz y el envés de los trifolios de 10 plantas de cada línea o variedad genotipo cinco semanas después de la siembra. Posteriormente se realizaron cuatro lecturas del progreso de la enfermedad empleando la escala de Librelon et al. (2015) espaciadas cada dos semanas, con las cuales se calculó el área bajo la curva del progreso de la enfermedad (AUDPC), por sus siglas en inglés como medida de la severidad del daño (Fihlo et al., 1997).
Resultados y discusión
Inoculación artificial en invernadero
La inoculación artificial con las dos cepas 2, 4 y 2+4 confirmó que las variedades N. Comapa, N. Cotaxtla y N. Papaloapan son resistentes, ya que la severidad de la mancha angular medida como AUDPC tuvo un valor menor al 5%, en cambio Ouro Negro con las cepas 2 y 2+4 presentó 8% de severidad. En contraste, las variedades B. Azteca y B. INIFAP, tuvieron valores de AUDPC de 35% y 30%, respectivamente, con las cepas 2 y 4 (Figura 1).

Figura 1 Área bajo la curva del progreso de la enfermedad. a) cepa 2; b) cepa 4; c) cepas 2+4 y d) severidad como porcentaje de área foliar con síntomas.
En general Ouro Negro, N. Papaloapan, N. Comapa y N. Cotaxtla presentaron síntomas leves de mancha angular, y en algunos casos los presentaron fueron visibles hasta la etapa anterior a la defoliación natural por senescencia (final de la etapa R9). N. Comapa y N. Cotaxtla tuvieron un nivel mayor de resistencia que la variedad Ouro Negro, que se emplea como referencia internacional de resistencia a mancha angular.
Las variedades susceptibles, B. Azteca y B. INIFAP, presentaron síntomas desde la primera lectura, los cuales se agudizaron con el paso de los días, incrementando lo que incrementó el AUDPC área bajo la curva del progreso de la enfermedad (Figura 1). En general las cepas 2 y 4 indujeron mayor severidad de daño que la mezcla de cepas; por otro lado, la cepa 4 indujo mayores daños a las variedades de frijol negro que la cepa 2.
El panel D de la Figura 1 se mostró el porcentaje final de área foliar con daño ocasionado por P. griseola. Se observó que en las variedades de tipo negro no llegó a 10%, mientras que, pero en las variedades de bayo llegó hasta 70%. Bayo Azteca fue la variedad más susceptible y la cepa 2 la de mayor severidad. La mezcla de cepas no fue sinérgica, ya que sus valores AUDPC fueron similares a la cepa 4.
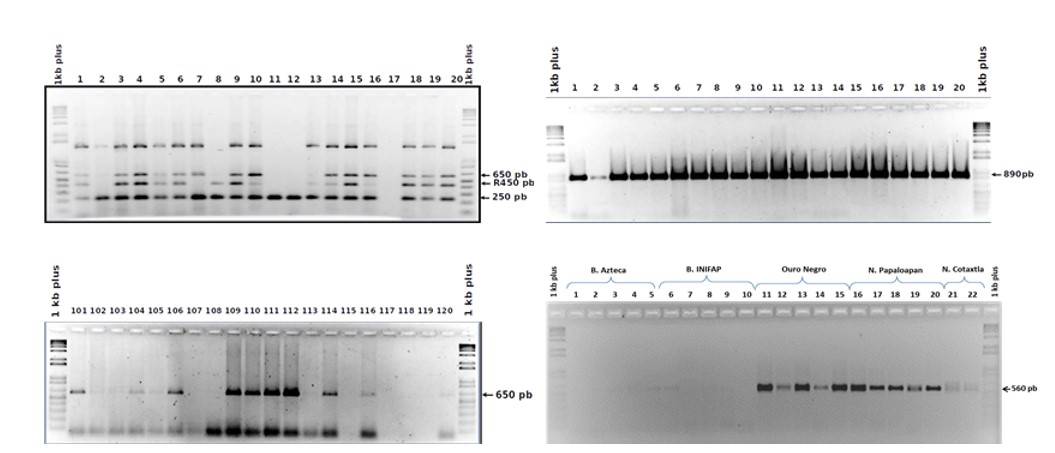
Identificación de marcadores moleculares marcadores moleculares en genotipos de frijol
Los marcadores amplificaron los fragmentos esperados en todos los genotipos (Cuadro 1). El alelo de resistencia de 450 pb del marcador CV542014 se identificó en líneas endogámicas recombinantes (RILs) por sus siglas en inglés de la cruza AND 277/Ouro Negro y se verificó en RILs de AND 277/Rudá. Los genotipos mesoamericanos, donde Ouro Negro y Rudá, del acervo mesoamericano, son susceptibles a las cepas de P. griseola 31.17, 31.39, 61.31, 63.19, 63.23, 63.31, 63.35 y 61.41 (Gonçalves-Vidigal et al., 2011); sin embargo, O. Negro presentó el alelo de resistencia y no el de susceptibilidad de 350 pb, tal como lo reportan los autores. El alelo de resistencia se presentó identificó en las cuatro variedades de frijol negro, los dos de tipo bayos y dos líneas avanzadas de negros, aunque en N. Comapa su frecuencia fue menor a 50%.
Cuadro 1 Presencia de marcadores de resistencia y susceptibilidad a mancha angular en variedades y líneas de frijol.
| Marcador | Origen | Gen | Alelo | 1 | 2 | 3 | 4 | 5 | 6 | 7 | 8 | 9 | 10 | 11 | 12 | 13 | 14 | 15 | 16 |
|---|---|---|---|---|---|---|---|---|---|---|---|---|---|---|---|---|---|---|---|
| CV542014 | AND277 | Phg-1 | 450R 350S 250 | 100 - 100 | 96 - 100 | 27 - 100 | 54 - 100 | 70 - 97 | 89 - 100 | 58 - 100 | 79 - 100 | - - 100 | - 100 - | - 100 - | - 100 - | - 100 - | nd | nd | nd |
| TGA1.1 | AND277 | Phg-1 | 570R | - | - | - | - | - | - | - | - | - | - | - | - | - | 81.2 | 83.7 | 22.5 |
| SH13 | O. Negro | Phg-1 | 650 520R | 95 - | 7 75 | 10 67 | 50 6.6 | 20 10 | 34 24 | 65 - | 75 - | 65 - | - 35 | 85 - | 45 - | 25 - | - - | - - | - - |
| SN02 | Cornell 49242 | Phg-2 | 890R | - | - | - | - | - | - | 95 | 100 | 95 | 100 | - | - | - | nd | nd | nd |
| E-ACA/MCCT330 | G10474 | - | 305R 280S | 100 - | 100 - | 100 - | 84 - | 70 - | 95 - | 95 - | 90 - | 100 - | 95 - | 95 - | 100 - | 100 - | 62.5 - | - - | 60 - |
| SAA19 | O. Negro | - | 650R | 40 | - | - | 3.3 | 43 | - | 80 | 80 | 55 | 88 | - | 10 | 55 | - | - | - |
| SBA16 | O. Negro | - | 560R 500 | 100 - | 93 24 | 74 11 | 59 22 | 37 - | 36 100 | 95 - | 70 30 | 100 - | 55 - | 85 - | 45 10 | 90 5 | 78.7 - | 45 - | 85 - |
| SM02 | O. Negro | - | 460R | 100 | 93 | 100 | 100 | 97 | 93 | 100 | 100 | 100 | 100 | 100 | 100 | 95 | nd | nd | nd |
| Marc Res* | 4 | 5 | 4 | 4 | 3 | 3 | 6 | 6 | 5 | 5 | 3 | 2 | 4 | 3 | 1 | 2 |
1= Ouro Negro; 2= N. Papaloapan; 3= N. Comapa; 4= N. Cotaxtla; 5= B. Azteca; 6= B. INIFAP; 7= SCN7; 8= SEN56; 9= SEN26; 10= SEN70; 11= SCR13: 12= SER83; 13= SEN44; 14= 110; 15= 111; 16= 122; nd= no determinado; R y S= alelos de resistencia y susceptibilidad, los fragmentos sin letra representan las bandas adicionales desconocidas; Marc Res= marcadores de resistencia; *= los que tienen frecuencia igual o mayor al 50%, sin incluir las bandas adicionales.
El fragmento de 350 pb asociado a susceptibilidad se presentó en las líneas SEN 70, SCR 13 y SER 83. SEN 26 no tuvo ninguno de estos alelos, pero sí un fragmento adicional de 250 pb, el cual se presentó presente en todos los materiales, excepto en aquellos con el alelo de susceptibilidad. No se conoce la secuencia de este fragmento; sin embargo, parece estar asociado con la resistencia a mancha angular y se sugiere realizar estudios complementarios que definan su papel. En la Figura 2 se observan fotografías representativas de geles de agarosa con los fragmentos amplificados.

Figura 2 Ejemplo de fragmentos amplificados. a) marcador CV542014 en SEN56; b) marcador SN02 en SEN56; c) marcador SAA19 en B. Azteca y d) marcador SBA16 en B. Azteca, B. INIFAP, Ouro Negro, N. Papaloapan y N. Cotaxtla.
El marcador TGA1.1 también proviene de RILs de la cruza AND 277/Ouro Negro y produce un alelo de resistencia de 570 pb (Gonçalves-Vidigal et al., 2011). Se considera que este marcador se presenta exclusivamente en genotipos del acervo andino; sin embargo, se presentó identificó en las tres líneas segregantes (acervo mesoamericano). El marcador SH13 se identificó en RILs de la cruza Ouro Negro/Rudá, ambos del acervo mesoamericano. A diferencia de los marcadores descritos anteriormente, aquí se usó la variedad Ouro Negro como progenitor resistente a las razas de P. griseola 31.23, 31.55, 63.31 y 63.19 (Faleiro et al., 2003; de Queiroz et al., 2004).
El alelo de resistencia (520 pb) se encontró en frecuencia mayor a 50% solo en la variedad Papaloapan (75%), aunque se presentó también en otros cinco genotipos en frecuencia máxima de 35% (Cuadro 1). Este marcador también amplificó un fragmento adicional de 650 pb presente en frecuencias variables (7% a 95%) en la mayoría de los genotipos estudiados estando, pero no se identificó únicamente en las tres líneas segregantes en SEN 70; sin embargo, no parece asociarse a la respuesta de resistencia a mancha angular.
El marcador SN02 se asocia con el gen Phg-2 y se obtuvo a partir de RILs de la cruza Cornell 49242/Rudá. Cornell 49242 es resistente a la raza 31-17 de P. griseola y la fuente de resistencia de este gen es Mexico 54 (Sietsche et al., 2000). Se identificó en las líneas SCN7, SEN56, SEN26 y SEN70, las cuales acumularon el mayor número de marcadores asociados a genes de resistencia. Por ello parece estar relacionado con la resistencia en estos genotipos, aunque se desconoce la fuente de Phg-2 en estos materiales.
El marcador E-ACA/MCCT330 se liga asocia con el gen de resistencia del genotipo mesoamericano G 1047, el cual tiene con resistencia a la raza 63.63 de P. griseola, una de las más virulentas conocidas. Se obtuvo a partir de RILs de la cruza G 10474/Sprite, susceptible ‘universal’. Amplifica un fragmento de 305 pb asociado a la resistencia y uno de 280 pb asociado a la susceptibilidad (Mahuku et al., 2004). El alelo de resistencia se presentó con frecuencias mayores a 50% en todos los genotipos, excepto la línea segregante 111. Por lo anterior, se infiere que este marcador no discrimina genotipos resistentes de susceptibles.
El alelo de susceptibilidad no se encontró en ningún material. El marcador SAA19 se identificó a partir de RILs de la cruza Ouro Negro/US Pinto 111 y se verificó en RILs de la cruza TO/Ouro Negro (de Queiroz et al., 2004). Este marcador se encontró en tres variedades negras con frecuencias menores al 50%, cinco líneas avanzadas de frijol negro y una línea avanzada de frijol rojo. de Queiroz et al. (2004) reportaron que cuando este marcador se usa como criterio de selección junto con el marcador SM02, se obtuvo una efectividad de 97%. SCN7, SEN56, SEN26 y SEN70, presentan presentaron ambos marcadores en frecuencias mayores a 50%; además, los primeros tres también tienen los marcadores SN02 y CV242014 o su banda adicional; esta combinación parece ser muy importante para inducir resistencia.
El marcador SBA16, al igual que SH13, se identificó en RILs de la cruza Ouro Negro/Rudá y se verificó en RILs de TO/Ouro Negro (Faleiro et al., 2003; de Queiroz et al., 2004). En Ouro Negro amplifica un fragmento de 560 pb asociado a la resistencia. Se encontró en todos los genotipos, aunque en el frijol bayo y en SER83 en frecuencias menores a 50%.
Genera una banda adicional de 500 pb, la cual se encuentra en cuatro variedades, incluyendo que incluyen a Bayo INIFAP, con frecuencia de 100%, pero por su distribución y frecuencia no parece relacionarse con la resistencia. El marcador SM02 se obtuvo a partir de RILs de Ouro Negro/US Pinto 111 y se validó en RILs de la cruza TO/Ouro Negro. Este marcador se identificó con frecuencia alta en todos los genotipos, por lo que no discrimina genotipos resistentes de susceptibles.
Análisis de agrupamiento basado en marcadores moleculares
Las frecuencias de fragmentos amplificados por los ocho marcadores se usaron para realizar un análisis de agrupamiento, el cual se representó por medio de un mapa de calor (Figura 3).

Figura 3 Heatmap basado en frecuencias. El dendrograma de filas muestra las relaciones de similitud entre genotipos y el de columnas entre marcadores. El recuadro de la derecha indica los genes ligados con cada marcador. En el nombre de cada marcador se incluyó al final una letra que indica su relación con resistencia o susceptibilidad. El recuadro rojo muestra el alelo de susceptibilidad del marcador CV542014, los recuadros verdes muestran su alelo de resistencia y una banda adicional que podría estar relacionada con la resistencia. El recuadro amarillo muestra el alelo de resistencia del marcador SN02.
En el dendrograma basado en genotipos (lado izquierdo) se observan tres grupos, en el grupo uno se encuentran N. Papaloapan y Ouro Negro, resistentes a mancha angular, N. Comapa, N. Cotaxtla, B. Azteca y B. INIFAP. Lo anterior podría sugerir que todos ellos son potencialmente resistentes; sin embargo, N. Papaloapan presenta cinco marcadores de resistencia con frecuencias mayores a 50%; Ouro Negro, N. Comapa y N. Cotaxtla presentan tienen cuatro, mientras que B. Azteca y B. INIFAP presentan poseen solo tres, los marcadores que podrían hacer la diferencia para que estos dos genotipos no tengan reacción de resistencia por inoculación son SBA16 (frecuencias bajas) y SN02 (ausencia en estos genotipos) (Figura 3).
En el grupo dos se ubicaron lo integran los tres genotipos con mayor número de marcadores con frecuencia mayor o igual a 50%: SEN56, SCN7 y SEN26 con 6, 6 y 5 marcadores, respectivamente, lo que permitió predecir que presentarían serán resistentes. En el grupo tres se ubicaron cuatro genotipos que comparten la característica de ser los únicos que tienen el alelo de susceptibilidad del marcador CV242014, además dos de ellos fueron los que menor número acumulado de marcadores con frecuencia mayores a 50% tuvieron presentaron, ellos fueron SCR13 y SER83.
Es notorio que SEN 70, aunque acumuló cinco marcadores, también carece del alelo de resistencia de CV542014. Los resultados permiten predecir que estos materiales serán susceptibles. Los marcadores relacionados con la resistencia son aquellos que presentan mayores frecuencias cuando se comparan genotipos resistentes y susceptibles. Este es el caso de CV542014, ausente solo en los genotipos susceptibles del grupo 3, SN02 presente en los tres genotipos del grupo 2 y SAA19 en las líneas de frijol negro en complemento con el marcador SM02. SCR 13, SER 83, SEN 44 y SEN 70 presentan este marcador, pero también presentan el alelo de susceptibilidad del marcador CV542014.
La utilización eficiente de los marcadores moleculares requiere de una fase de validación de estos, la cual debe incluir la inoculación como un medio confirmatorio, después de esta fase confirmatoria se debe pasar a la fase predictiva, donde la utilización única de los marcadores debe ser suficiente para realizar selección asistida a escalas mayores. La validación se debe realizar con materiales genéticos uniformes, con el fin de evitar variaciones no controladas en las frecuencias de los marcadores.
Los resultados sugieren que los genes representados por los marcadores son de efectos aditivos, por lo que, a mayor número de marcadores, mayor resistencia. Así, los genotipos con mayor resistencia potencial a mancha angular son los que presentan mayor cantidad de marcadores con altas frecuencias (SCN7 y SEN56 con seis marcadores y N. Papaloapan y SEN26 con cinco), en cambio los genotipos con menor número de marcadores son potencialmente susceptibles (SER83, SCR13, B. Azteca y B. INIFAP).
Conclusiones
Las cepas de P. griseola presentaron diferencias en severidad del daño causado, siendo la cepa 2, de Valle de Santiago, fue más patogénica. Los marcadores moleculares presentan amplia variación en su asociación con la resistencia a mancha angular. En los genotipos de frijol estudiados y con las dos cepas consideradas, los marcadores ligados a la resistencia fueron CV542014, SAA19, SM02 y SN02, los cuales permitieron demostrar, junto con la inoculación artificial de P. griseola, que las variedades N. Comapa y N. Cotaxtla son resistentes a la enfermedad, las de frijol bayo y las líneas avanzadas de frijol rojo son susceptibles; sin embargo, las tres líneas avanzadas SEN 56, SEN 7 y SEN 26 presentan mayor potencial de resistencia por su número acumulado de marcadores moleculares. Se puede considerar a los marcadores como ligados a genes de efectos aditivos es una estrategia útil para la selección de genotipos resistentes.










text in 


