Introducción
La aspiración de contenido gástrico, aunque rara, es una complicación grave de la anestesia, variando en incidencia desde < 0.1 a 19% dependiendo del paciente y otros factores quirúrgicos.1-5 La neumonía por aspiración se asocia con una morbilidad significativa, incluida la ventilación mecánica prolongada, y conlleva un riesgo de mortalidad de hasta 5%. La aspiración pulmonar está involucrada en hasta 9% de todas las muertes relacionadas con la anestesia.1,6-9
La identificación de los pacientes en riesgo es un pilar de la práctica anestésica segura en relación con el ayuno preoperatorio y aspiración de contenido gástrico en relación a una complicación tan grave como lo es la aspiración de contenido gástrico. Es por esto que la sociedad americana de anestesiología recomienda un mínimo de dos horas de ayuno para líquidos claros, seis horas después de una comida ligera y ocho horas después de una comida completa con alto contenido calórico o graso.10,11 Con base en lo anterior y en la búsqueda de herramientas no invasivas de medición del contenido gástrico para el abordaje terapéutico, se propone la medición mediante ultrasonografía para pacientes con estado de ayuno cuestionable o presencia de comorbilidades que alteren el vaciamiento gástrico según Perlas y colaboradores.12 El método de obtención de imagen depende de un mínimo de un transductor de baja frecuencia (2-5 mHz) con paciente en decúbito lateral derecho, se inicia en epigastrio con vista sagital o parasagital, mediante un barrido del transductor desde el margen subcostal izquierdo al derecho se visualiza el antro gástrico. Si bien se puede tener una idea cualitativa del contenido gástrico, para la estimación de volumen gástrico se identifica el antro en su sección transversal a nivel de la aorta abdominal y se obtiene una imagen en reposo del antro, se realiza medición del área transversal del antro gástrico incluyendo todo el espesor de la pared gástrica,12 el volumen gástrico total se estima utilizando la siguiente fórmula de Perlas y su grupo12 que describe el volumen en mililitros (mL) como 27.0 + (14.6 × (área transversal del antro gástrico en centímetros)) − (1.28 × edad). Un volumen de hasta 100 mililitros es normal en pacientes en ayuno, esto por las secreciones gástricas basales y se correlaciona con bajo riesgo de aspiración, si los volúmenes son mayores a 1.5 mL/kg sugieren un vaciamiento gástrico incompleto y posiblemente un mayor riesgo de aspiración.10,11 Después de estas investigaciones se acuñó el concepto de estómago de riesgo donde Bouvet lo define cuando el volumen gástrico supera los 0.8 mL/kg de peso, medido por ultrasonido transversal a nivel del antro gástrico, encontrándolo hasta en 2.9% de los pacientes con cirugía electiva y 78.9% en cirugía de emergencia.13 El modelo de Perlas y su equipo12 puede predecir volúmenes de 0 a 500 mL con un margen de error de la medición de ± 6 mL y es aplicable a pacientes adultos con un índice de masa corporal no mayor a 40 kg/m2.14,15
A partir del modelo anterior, distintos estudios se han realizado dentro de los que destaca el de Kaydu y colaboradores,10 donde se evaluó de manera preoperatoria el contenido gástrico mediante ultrasonografía de 120 pacientes encontrando que una proporción significativa de casos quirúrgicos pueden no presentarse con el estómago vacío a pesar de los protocolos de ayuno recomendados. Más interesante aún, en 2018 Sharma y su equipo16 al evaluar mediante ultrasonografía el volumen de contenido gástrico de 100 pacientes programados para cirugía con ayuno mayor a seis horas, encontraron que un ayuno de más de seis a 10 horas no garantiza un estómago vacío y que aquéllos con comorbilidades como diabetes mellitus, obesidad y enfermedad renal crónica parecen más propensos a tener contenidos gástricos peligrosos.
La estimación de contenido gástrico mediante ultrasonografía es un método no invasivo para predecir el riesgo de aspiración pulmonar. La implementación de este método no invasivo en procedimientos programados pudiera disminuir morbimortalidad de estos pacientes para establecer medidas preventivas, reducir intervenciones innecesarias y técnicas de intubación que limiten o eliminen el riesgo de aspiración pulmonar, reduciendo los días de estancia hospitalaria y la mortalidad.16 El objetivo del presente estudio es determinar la correlación entre el contenido gástrico medido por ultrasonografía y el volumen de contenido gástrico aspirado por gastroscopia en pacientes programados para panendoscopia.
Material y métodos
Estudio prospectivo observacional realizado en el Hospital Angeles Pedregal de la Ciudad de México. El estudio fue aprobado por el comité de ética del Hospital Angeles Pedregal (documento aprobatorio: HAP 2703). Se incluyeron pacientes con edad mayor o igual a 18 años de edad, sexo indistinto, programados para endoscopia del Hospital Angeles Pedregal, Ciudad de México durante el mes de noviembre 2023 excluyendo aquellos pacientes con índice de masa corporal mayor a 40 kg/m2, embarazadas, ayuno menor a dos horas de líquidos claros con o sin carbohidratos, seis horas de líquidos con partículas sólidas y alimentos sólidos tostados tipo sándwich, y ocho horas para alimentos hipercalóricos y grasos, uso de procinéticos 48 horas previas a su ingreso y antecedente de funduplicatura, esofagectomía, miotomía, bypass gástrico, gastroyeyunoanastomosis, vagotomía, gastrectomía, pilorotomía y derivación biliodigestiva. El desenlace primario fue la correlación entre el volumen de contenido gástrico medido por ultrasonografía y endoscopia, entre otros desenlaces se exploró la correlación entre el volumen de contenido gástrico medido por ultrasonografía y las horas de ayuno, y la frecuencia de estómago de riesgo según la definición de Bouvet13 (mayor a 0.8 mililitros/kilogramos de peso).
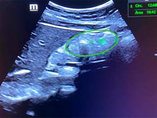
Previo al procedimiento endoscópico, se colocó al paciente en decúbito lateral derecho y se aplicó gel en la región epigástrica, se encendió el equipo de ultrasonido Butterfly iQ/iQ+™ y se seleccionó la configuración predeterminada vista de abdomen, se coloca la sonda universal del mismo equipo de ultrasonido sagitalmente en la región epigástrica, se realizó un barrido en dicha región, inicialmente girando en sentido de las manecillas del reloj y después en contra de ellas, también desplazándose en sentido cefálico y caudal con la finalidad de obtener la vista más adecuada de la región transversal del antro gástrico para realizar una medición de su área transversal abarcando todo el espesor de la pared gástrica (Figura 1), posteriormente de acuerdo a la fórmula de Perlas12 (27.0 + (14.6 × (área transversal del antro gástrico en centímetros)) − (1.28 × edad)) se obtuvo el volumen de contenido gástrico. Este procedimiento fue replicado por dos únicos residentes del servicio de anestesiología, a continuación, se realizó procedimiento endoscópico como previamente había sido planeado por el servicio de gastroenterología aspirando el contenido gástrico total para ser medido. Ambos residentes de anestesiología fueron cegados entre sus mediciones obtenidas y el contenido aspirado por endoscopia, siendo recolectados los datos por un cuarto integrante del grupo de investigación. Para el análisis de datos se utilizó el software Stata versión 14 (StataCorp LLC software, Texas, EE. UU.). Las variables continuas y categóricas se expresaron como medidas de tendencia central. Se obtuvo el índice de κ ponderado para ver el nivel de concordancia entre los resultados medidos entre los usuarios de ultrasonido. Posteriormente se realizó un promedio de los volúmenes obtenidos por ultrasonido entre ambos usuarios, y se obtuvo la correlación por coeficiente de Pearson entre lo medido por ultrasonido promedio y lo aspirado por endoscopia, así como lo medido por ultrasonido promedio y las horas de ayuno, y por último la medición de contenido gástrico y las horas de ayuno. El criterio de significación estadística fue p < 0.05.
Resultados
Se incluyó un total de 58 pacientes con endoscopia de manera electiva en noviembre de 2023 para el análisis final. De estos, 22 pacientes eran hombres (37.3%) y 36 mujeres (62.07%). La edad promedio en años fue de 55.26 (desviación estándar ± 17.22) con un rango de 25 a 89 años.
El índice de masa corporal más frecuentemente presentado en la población de estudio fue sobrepeso en 53.45%, seguido de un índice adecuado en 37.93%. Dentro de las comorbilidades presentes en la población de estudio se encontró hipertensión arterial sistémica en 36.21%, diabetes mellitus en 20.69%, enfermedad renal crónica en 6.9% y neuropatía de distintas etiologías hasta en 10.34%. La causa más frecuente de endoscopia es enfermedad por reflujo gastroesofágico hasta en 56.90%.
Las horas de ayuno promedio fueron 11.07, siendo comida ligera el último alimento más frecuentemente consumido hasta en 41.38%. La Tabla 1 enumera las características de la población de estudio.
Tabla 1: Características basales de 58 pacientes con endoscopia electiva con medición de contenido gástrico por ultrasonido.
| n (%) | |
|---|---|
| Edad (años), promedio ± desviación estándar | 55.26 ± 17.22 |
| Sexo | |
| Mujer | 36 (62.07) |
| Hombre | 22 (37.93) |
| Tabaquismo | 16 (27.59) |
| Consumo de alcohol | 31 (53.45) |
| Índice de masa corporal | |
| Adecuado | 22 (37.93) |
| Sobrepeso | 31 (53.45) |
| Obesidad grado I | 4 (6.90) |
| Obesidad grado II | 1 (1.72) |
| Hipertensión arterial sistémica | 21 (36.21) |
| Diabetes mellitus | 12 (20.69) |
| Enfermedad renal crónica | 4 (6.90) |
| Neuropatía | 6 (10.34) |
| Motivo de endoscopia | |
| Enfermedad por reflujo gastroesofágico | 33 (56.90) |
| Abordaje de anemia | 6 (10.34) |
| Varices esofágicas | 2 (3.45) |
| Abordaje síndrome diarreico | 1 (1.72) |
| Tumor esofágico | 2 (3.45) |
| Enfermedad celiaca | 1 (1.72) |
| Sangrado tubo digestivo | 5 (8.62) |
| Protocolo litiasis vesicular | 7 (12.07) |
| Disfagia | 1 (1.72) |
| Horas de ayuno, promedio ± desviación estándar | 11.07 ± 2.67 |
| Tipo de último alimento | |
| Líquidos claros | 22 (37.93) |
| Comida ligera | 24 (41.38) |
| Comida de alto contenido calórico o graso | 12 (20.69) |
| Clasificación ASA | |
| I | 14 (24.14) |
| II | 34 (58.62) |
| III | 9 (15.52) |
| IV | 1 (1.72) |
ASA = American Society of Anesthesiologists (Sociedad Americana de Anestesiólogos).
Proveniente de la valoración de ambos residentes del contenido gástrico por ultrasonido se consiguió un índice κ ponderado de 0.7377. Se encontró una adecuada correlación entre el promedio del volumen medido de ambos residentes por ultrasonido y lo aspirado por gastroscopia (r = 0.9777) (Figura 2). Dentro de los objetivos secundarios, no se logró encontrar correlación significativa entre el volumen promedio por ultrasonido y las horas de ayuno, así como el volumen aspirado por endoscopia y las horas de ayuno (Figuras 3 y 4). La frecuencia de estómago de riesgo de acuerdo a Bouvet13 por volumen promedio obtenido por ultrasonido fue de 1.72% (n = 1).

Figura 2: Correlación entre volumen promedio de contenido gástrico por ultrasonido y el medido por endoscopia.

Figura 3: Correlación entre horas de ayuno y volumen promedio de contenido gástrico por ultrasonido.
Discusión
El presente estudio encontró que en 58 pacientes con endoscopia de manera electiva con las horas de ayuno establecidas por la asociación americana de anestesiologos,11 la medición de contenido gástrico tiene un buen rendimiento (alto coeficiente de correlación) al compararse con el estándar de oro que es medirlo al aspirar todo el contenido gástrico bajo examen gastroscópico.14
Dentro de la validación de la obtención de datos en este estudio se encontró que si cada residente de anestesiología hubiera hecho su determinación al azar (pero con probabilidades iguales a las proporciones generales), esperaríamos que los dos residentes estuvieran de acuerdo en 64.21% de los pacientes. Aunque, de hecho, coincidieron en 90.61% de los pacientes, o 73.77% del camino entre el acuerdo aleatorio y el acuerdo perfecto. El grado de acuerdo indica que podemos rechazar la hipótesis de que están tomando sus determinaciones al azar.
Anteriormente Sharma y colaboradores16 demostraron que un ayuno de más de seis a 10 horas no garantiza un estómago vacío, de igual manera se encontró esta observación en esta población con una baja frecuencia de estómago de riesgo muy similar a lo descrito en la literatura internacional;13 sin embargo, no se logró demostrar una correlación del número de horas de ayuno con mayor o menor volumen de contenido gástrico.
Cabe destacar que dentro de las características de esta población se encuentran varios factores de riesgo previamente descritos para aspiración de contenido gástrico como que el motivo de endoscopia más frecuente sea la enfermedad por reflujo gastroesofágico y el sexo femenino.17-19 Lo anterior es de suma importancia e incluso resaltado por múltiples autores que han pedido una mayor adopción y enseñanza de la ultrasonografía gástrica en el sitio de atención o PoCUS por sus siglas en inglés, para la prevención de complicaciones en anestesia.20-26
Este estudio a pesar de su muestra limitada, deja un antecedente sólido entre otros estudios de que el uso de ultrasonido es una herramienta útil en la valoración preanestésica; sin embargo, aún quedan pendientes validaciones en otro tipo de poblaciones como en aquéllas con necesidad de realización de procedimiento de urgencia o aquéllos con modificaciones quirúrgicas de la anatomía gastrointestinal que modifiquen el vaciamiento gástrico.
Conclusiones
La medición de contenido gástrico por ultrasonido tiene una buena correlación con lo aspirado en endoscopia. El ultrasonido se hace una herramienta no invasiva, móvil y costo efectivo dentro de la valoración preanestésica para realizar medidas preventivas que limiten o eliminen el riesgo de aspiración pulmonar.










text new page (beta)





