Introducción
El neumomediastino espontáneo, también conocido como síndrome de Hamman, es una afección infrecuente en la que se acumula aire en el mediastino. Aunque puede ser preocupante debido a los síntomas respiratorios y el dolor, por lo general es benigno y autolimitado.1
Presentamos el caso clínico de un paciente joven con agudización asmática, disnea y dolor torácico cuyo diagnóstico final fue neumomediastino espontáneo.
Presentación del caso
Varón de 20 años que acude por disnea y dolor retroesternal en contexto de agudización asmática. La exploración física identifica crepitación cervical a la palpación, sugestiva de enfisema subcutáneo.
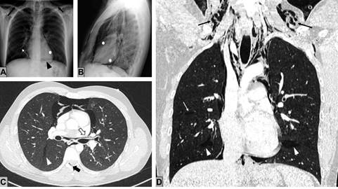
Se realiza una radiografía de tórax y se identifican signos de neumomediastino y enfisema subcutáneo cervical bilateral (Figura 1A y B). Se completa el estudio con una tomografía computarizada (TC) torácica, lo que confirma la presencia de neumomediastino con extensión a los planos cervicales profundos disecando los compartimentos mediastínicos (Figura 1C y D).

Figura 1: A) Radiografía de tórax posteroanterior. B) Lateral que muestra una radiolucencia lineal que dibuja el contorno mediastínico y cardiaco (asteriscos blancos), con el signo del diafragma continuo (punta de flecha negra), compatible con neumomediastino. Asocia focos de enfisema intersticial (flecha blanca) y enfisema subcutáneo cervical (flechas negras). C) Cortes axiales. D) Coronales de tomografía computarizada torácica sin contraste intravenoso que reflejan focos de enfisema intersticial y bandas aéreas lineales que disecan las vainas broncovasculares desde los bronquios distales hacia los hilios pulmonares (flecha hueca negra). El aire se extiende a mediastino, cisuras pleurales (puntas de flecha blancas), canal epidural (flecha gruesa negra) y planos musculares y tejido celular subcutáneo cervical. No hay defectos murales traqueobronquiales ni esofágicos.
El aire ectópico se extiende desde el intersticio pulmonar hasta la región hiliar, lo que conforma múltiples colecciones en áreas peribronquiales de morfología lineal (efecto Macklin). También se identifica contenido aéreo en cisuras pleurales y en espacio epidural (neumorraquis).
Los hallazgos radiológicos y la presencia del efecto Macklin resultan compatibles con un neumomediastino espontáneo de origen respiratorio. El paciente recibió tratamiento sintomático, evolucionando favorablemente.
Discusión
El síndrome de Hamman o neumomediastino espontáneo es un cuadro clínico infrecuente, benigno y autolimitado, caracterizado por presencia de aire libre en el mediastino, sin ser este secundario a ninguna etiología evidente.
Afecta principalmente a varones jóvenes y por lo general cursa de forma asintomática, aunque puede manifestarse con disnea, dolor torácico y enfisema subcutáneo. En ocasiones, se identifica un crujido sincrónico con los latidos cardiacos durante la auscultación (signo de Hamman).1
De etiología desconocida, se han descrito una serie de factores precipitantes, todos ellos causantes de una hiperpresión en la cavidad torácica, como son la agudización asmática, el ejercicio físico, el trabajo de parto, las maniobras de Valsalva o el uso de drogas inhaladas.2
La fisiopatología del cuadro se explica a través del efecto Macklin, descrito como el cambio de presión en la cavidad torácica causante de microrrotura alveolar que favorece el paso de aire al intersticio pulmonar, lo que da lugar al enfisema intersticial.3
La primera prueba radiológica realizada suele ser la radiografía de tórax, la cual evidencia enfisema subcutáneo y neumomediastino. En la TC, la rotura alveolar no suele resultar perceptible, pudiéndose objetivar colecciones aéreas lineales en torno a las vainas broncovasculares (efecto Macklin).
En el contexto clínico compatible, y excluyendo los casos asociados a traumatismo torácico grave o a síntomas compatibles con síndrome de Boerhaave, el efecto Macklin se considera altamente sugestivo de neumomediastino espontáneo de origen respiratorio, por lo que resulta clave en la orientación etiológica del cuadro y en el diagnóstico diferencial con las formas de neumomediastino secundario.4
Conclusiones
El neumomediastino espontáneo es una patología infrecuente, pero de creciente diagnóstico, típicamente desencadenada por situaciones de hiperpresión torácica. Es un cuadro autolimitado en cuyo diagnóstico resultan fundamentales las pruebas radiológicas, que pueden mostrar el efecto Macklin, un hallazgo clave en el diagnóstico diferencial con el neumomediastino secundario, derivado principalmente de roturas esofágicas o traqueales.










text new page (beta)


