Introducción
El cáncer gástrico representó 1.5% de los cánceres recién diagnosticados en los Estados Unidos en 2023, con 26,500 casos nuevos y 11,130 muertes,1 el adenocarcinoma gástrico (AG) es una neoplasia maligna epitelial con origen en las glándulas de la mucosa gástrica y corresponde a 95% de los tumores gástricos.1 Las clasificaciones histológicas más utilizadas son la de Lauren y la de la World Health Organization (WHO). La primera, divide los AG en tipo intestinal (54%), difuso (32%) e indeterminado, el AG de tipo intestinal se presenta más en ancianos, hombres, se localiza en el antro, el tipo difuso es más frecuente en jóvenes y discretamente más frecuente en mujeres y afecta más al cuerpo, y tiene peor pronóstico.2
Reporte de caso
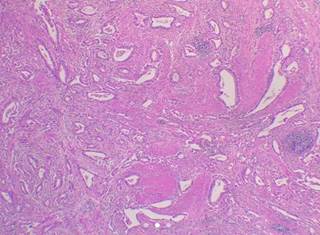
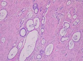
Mujer de 61 años, con antecedente de gastrectomía distal por tumor exofítico en el antro y píloro con reporte histopatológico (Figura 1), adenocarcinoma gástrico invasor, con gastroyeyunostomía en Y de Roux, quimioterapia y radiación casi tres años antes de su presentación aguda. Inicia con malestar general, pérdida de peso y anemia grado III (OMS). Con tomografía computarizada que mostró engrosamiento de la pared rectal con involucro a útero. La colonoscopia reporta zona de induración a 5 cm del margen anal, por lo que se realiza resección del segmento de recto e histerectomía total (Figura 2) con reporte de adenocarcinoma moderadamente diferenciado compatible morfológicamente con primario gástrico (Figura 3), la paciente tuvo adecuada recuperación clínica, con tratamiento quimoterapéutico adyuvante.

Figura 1: Adenocarcinoma gástrico invasor, moderadamente diferenciado (grado histológico 2) o clasificación de Lauren (adenocarcinoma de tipo intestinal) o bien clasificación OMS 2019 (subtipo tubular). Localización del tumor: pared anterior y posterior del antro y píloro.

Figura 2: A) Producto de resección de segmento de recto e histerectomía total con salpingooforectomía izquierda. B) Recto con infiltración transmural y extensión a pared de cérvix posterior, localización a 5 cm del margen quirúrgico distal.
Discusión
El AG se disemina a través de la vía hematógena, linfática y de siembra peritoneal o de recidiva local, la afectación linfática es la forma más habitual de diseminación y, por lo tanto, la linfadenectomía es fundamental para una correcta cirugía con intención curativa, debiéndose obtener un mínimo de 15 ganglios linfáticos, aunque es deseable que sean más de 30. Independientemente de la localización del tumor, las cadenas ganglionares frecuentemente afectadas están en la curvatura menor y mayor del estómago además de la arteria gástrica izquierda.3 Se ha demostrado que existe una tasa de recurrencia de hasta 40% en el cáncer gástrico después de la resección curativa.4 Actualmente hay dos hipótesis ampliamente aceptadas para explicar la diseminación metastásica. Simplificando, la hipótesis “anatómica/mecánica” que establece que los factores anatómicos promueven la diseminación específica, y la hipótesis de la “semilla y el suelo” que implica un tropismo específico del órgano de las células tumorales circulantes,2 la teoría de la “latencia” sugiere que las células malignas pueden propagarse en el momento de la presentación maligna inicial, depositarse en los órganos distales, permanecer latentes durante un periodo de tiempo y, después de un estrés fisiológico, pueden volver a activarse.5 Esto explicaría el largo periodo de latencia entre la neoplasia maligna inicial y las metástasis distales, sin embargo, no han sido estudiadas de manera completa.










text new page (beta)



