INTRODUCCIÓN
Existen diferentes tipos de maloclusiones que repercuten en varios aspectos funcionales del complejo maxilo-mandibular, afectando la fonación, respiración y masticación entre otros. Los pacientes con una maloclusión clase III esquelética se caracterizan por tener un perfil cóncavo, tercio medio deprimido, mordida cruzada anterior y posterior, así como clase III dental. Existen muchos factores para determinar el plan de tratamiento de estas maloclusiones como la edad, la maduración esquelética, la presencia de hábitos y la carga genética, entre otros1,2.
Se estima que menos del 5% de la población presenta una maloclusión clase III. Existe una incidencia de 3% en caucásicos, 4-14% se presenta en los coreanos, japoneses y chinos, en la población afroamericana es de 6.3% y en los latinos es del 9%, similar al 8.3% en los estadounidenses de origen mexicano3,4. Este tipo de maloclusión presenta una carga genética muy fuerte. Un adecuado diagnóstico y plan de tratamiento pueden evitar la realización de extracciones o de una cirugía ortognática5,6. En la literatura7-9 se encuentran descritos diversos métodos para la corrección de la mordida cruzada anterior. Uno de ellos es el uso de máscara de protracción maxilar, para evitar una cirugía ortognática; en la actualidad existen diferentes modelos de máscara facial, todas con el propósito de corregir la relación maxilomandibular10.
El Dr. Potpeschnigg8 en 1875 fue de los primeros en desarrollar la idea de una tracción maxilar; posteriormente Delaire9et al., a finales de los años 60’s, intensificó el interés por el uso de una máscara facial y la protracción maxilar, pero Petit10, a finales de los 70´s, quien modificó el diseño anatómico del Dr. Delaire cambiando la forma y ergonomía de la máscara facial, aumentó la magnitud de la fuerza generada por el aparato y redujo el tiempo de tratamiento. Sheridan11 describió la importancia de realizar una protracción ortopédica del maxilar para la corrección esquelética de las maloclusiones de clase III, afirmando que los efectos ortopédicos se pueden lograr con la morfología sutural y la fisiología de las ocho articulaciones maxilares cuando se emplea una fuerza ortopédica. Esto se hace con el fin de producir la ruptura de todo el sistema sutural y facilitar así la protracción del maxilar superior con la máscara facial7. Las suturas que componen este sistema, las cuales se rompen con la expansión rápida del maxilar son: fronto-maxilar, naso-maxilar, cigomático-temporal, cigomático-maxilar, sutura media palatina, pterigo-palatina, etmoido-maxilar, lacrimo-maxilar.
Al igual que con la expansión transversal, es más fácil y más efectivo traccionar el maxilar hacia adelante en edades más tempranas, aunque algunos estudios recientes revelan que se pueden producir algunos cambios anteroposteriores hasta el inicio de la adolescencia7,8. La literatura reporta diversos métodos de ortodoncia acelerada; la mayoría de ellos describen múltiples casos tanto en animales como en humanos con excelentes resultados; la mayoría de ellos implica someterse a cirugías más complejas en las cuales debe intervenir otro especialista, ya sea cirujano maxilofacial o periodoncista para realizar estos cortes, aumentando costos y cuidados postratamiento12. Düker13 y diversos autores apoyan que el tratamiento debería comenzar lo más precozmente posible para producir una mayor respuesta significativa para la terapia de protracción, ya que a edades más tempranas existe un mayor potencial de crecimiento que puede ser estimulado por la terapia ortopédica.
PRESENTACIÓN DEL CASO CLÍNICO
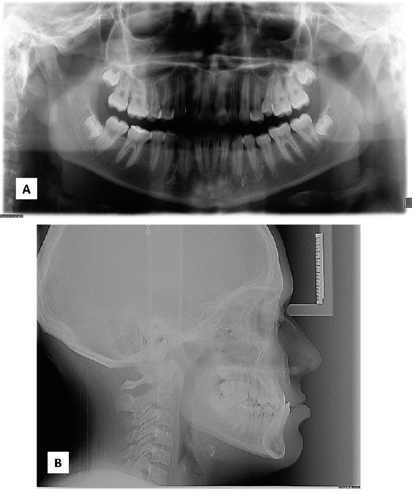
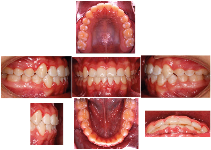
Paciente masculino de 12 años que asistió a la clínica de ortodoncia de la DEPeI de la Facultad de Odontología UNAM, donde tenemos sus registros fotográficos (Figura 1), radiológicos (Figura 2) y digitales (Figura 3). El diagnóstico facial consistió en un perfil cóncavo, proquelia inferior y biotipo euriprosopo. Cefalométricamente el paciente presentó Clase III esquelética combinada por retrusión y prognatismo, con un tipo de crecimiento horizontal (Figura 2.B). Dentalmente, clase III molar y canina bilateral y mordida cruzada anterior.

Figura 1 Imágenes iniciales. A. Fotografía extraoral frontal. B. Fotografía extraoral lateral. C. Fotografía intraoral en vista frontal. D. Fotografía intraoral en vista lateral derecha. E. Fotografía intraoral en vista lateral izquierda.
El tratamiento de elección constó de dos fases: una ortopédica y posteriormente la ortodóncica. Inició con la colocación de tornillo Hyrax de 7 mm (Figura 4. A) con máscara facial reversa y elásticos de 12oz iniciales. Se utilizó máscara facial reversa durante 10 meses aumentando la fuerza gradualmente (Figura 4. B-C). Posteriormente se realizaron microosteoperforaciones (MOP´s) en 3 ocasiones en la zona subapical (fondo de saco) entre los dientes 13 al 23 con miniimplantes de 2mm x 10mm de acero inoxidable, en intervalos de 8 semanas, para estimular las suturas intermaxilares y favorecer la tracción maxilar.

Figura 4 Fase ortopédica. A. Colocación de Hyrax cementado con bandas. B. Fotografía extraoral lateral con la colocación de máscara facial reversa. C. Fotografía extraoral lateral de avance, 10 meses de uso de la máscara facial reversa.
Tras 10 meses de ortopedia, se procedió a la colocación de aparatología de autoligado pasivo, con tubos en segundos y primeros molares. Se colocaron arcos CuNiTi 0.014” en ambas arcadas. No se realizaron extracciones. Se decidió realizar nuevamente MOP´s en las zonas interproximales del hueso alveolar para inducir la formación de hueso y acelerar los movimientos dentales. Dichas perforaciones se realizaron tres veces entre los dientes 13 y 23 (Figura 5), con una profundidad de 7mm. Posteriormente se colocó un arco 0.016” de acero inoxidable, con omega en mesial de molares superiores para proinclinar incisivos superiores, y se colocó cadena elástica para cierre de espacios inferiores y retroinclinación de incisivos inferiores. Después se colocó un arco CuNiTi 0.014”x 0.025” superior y 0.018”x 0.025” inferior con ligadura en bloque de los dientes 12 a 22. Se colocó cadena y resorte abierto para mesializar caninos superiores y elásticos en vector Clase III de 3.5 Oz.

Figura 5 Fotografías intraorales donde se observa el procedimiento de MOP´s en zona interradicular de 13-23.
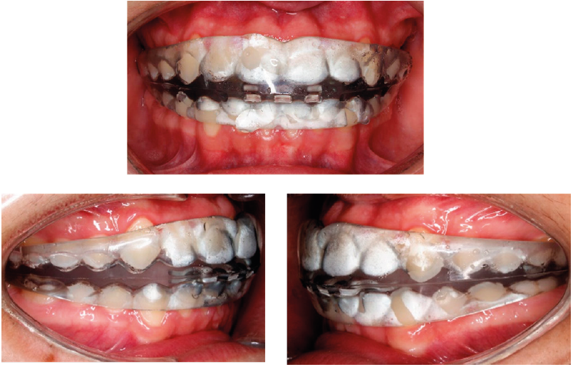
Se cerraron espacios tras la mesialización de caninos, primeros premolares y segundos premolares. Se colocó ligadura en bloque de 5-5 con e-link de 7-7 para cerrar espacios entre molares. Se colocaron arcos braided 0.021”x 0.025” superior y 0.019”x 0.025” inferior, y elásticos de asentamiento de 6 oz. Posteriormente se llevó a cabo un ajuste oclusal y se procedió al retiro de la aparatología fija (Figura 6) donde se observan los resultados finales y se confirmaron con los estudios de imagen (Figura 7). Derivado de las características del paciente se decidió optar por un retenedor Prefinisher (Figura 8).
Los cambios obtenidos tanto clínico como radiográficos, se observaron de manera considerable y los resultados dentales y faciales fueron satisfactorios. Se logró obtener una adecuada relación maxilomandibular de Clase I molar y canina, adecuadas sobremordidas horizontal y vertical; corrigiendo la hipoplasia maxilar y proporcionando rotación a la mandíbula hacia abajo y hacia atrás, asimismo se corrigió la mordida cruzada anterior y se obtuvieron líneas medias coincidentes.
DISCUSIÓN
La hipoplasia maxilar con mordida cruzada anterior se corrigió con el uso de la máscara facial reversa y las micro-osteoperforaciones. Köle12 en 1949 realizó cortes en la cortical de la premaxila que fueron altamente efectivos en acelerar el movimiento dental corrigiendo la discrepancia ósea. Düker13 y AlGhamdi et al.14, describieron en sus resultados que ni la pulpa ni el periodonto fueron dañados al momento de realizar las corticotomías mediante la técnica establecida por Köle; esta es una de las principales ventajas de los cortes o perforaciones óseas. Sin embargo, fue un acto quirúrgico muy traumático13. En este paciente al realizar MOPs en las suturas cigomaticomaxilar y pterigopalatina se obtuvieron resultados satisfactorios, similares a lo reportado por estos autores.
Alikhani et al.15,16, demostraron que, al realizar pequeñas perforaciones en el hueso cortical, aumenta significativamente la tasa de remodelado óseo y de movimiento dentario, ya que se potencializa la respuesta inflamatoria y la expresión de citoquinas en los tejidos periodontales17,18. Teixeira et al19, utilizaron un dispositivo diseñado para realizar las micro-osteoperforaciones, y se reportó una aceleración en la tasa de movimiento dentario en el tratamiento de ortodoncia20.
En este artículo se presenta el caso de un paciente al que se le realizaron MOP´s interradiculares en tres ocasiones en la zona anterior del maxilar, obteniendo aceleración de los movimientos dentales. Estos resultados clínicos coinciden con lo reportado por Alikhani et al.15,16,18 y Texeira et al.19, así como Prasad y Ravindran20. Se ha registrado en diversos reportes de casos clínicos que las corticotomías ayudan en una disminución significativa del tiempo de tratamiento ortodóncico, así como en una disminución de la resorción radicular y mayor estabilidad postratamiento ortodóncico21,22. Los movimientos rápidos no dañan la vascularización de la pulpa. Si el corte de osteotomía no incide sobre el hueso marginal, los cambios vasculares se verán en la mucosa gingival libre e indicarán reacciones en el periodonto23.
Williams et al.23 sostienen que las mejoras obtenidas en la posición sagital del maxilar mediante disyunción y tracción se mantuvieron a largo plazo, y que las recidivas observadas fueron debido al crecimiento mandibular, mas no una recaída en la posición maxilar, por lo que concluyen que los efectos de la protracción parecen ser estables. En el presente caso, se indicó el uso de una máscara de protracción reversa para la corrección de la Clase III esqueletal, la cual permite el control vertical de manera eficiente. Después del uso de la máscara se indica la mentonera como parte de la retención, para mantener la relación mandibular y para evitar una recidiva por parte del crecimiento de la mandíbula.
Deguchi y McNamara24 afirman que la mentonera resulta eficaz como opción en el tratamiento de las clases III, incluso en aquellas con la dimensión vertical más elevada, ya que encuentran una disminución en el ángulo goniaco, disminución en el crecimiento mandibular y un desplazamiento hacia atrás de la sínfisis sin aumentar la dimensión vertical. En este caso clínico se obtuvieron resultados coincidentes a lo reportado por McNamara et al.25, se logró avance sagital del maxilar con formación y remodelación del hueso alveolar.
CONCLUSIONES
La selección de un tratamiento adecuado de las maloclusiones Clase III puede evitar la realización de extracciones e inclusive evitar una cirugía ortognática.
Según lo presentó Ibarra-Ramírez -en la bibliografía complementaria- la máscara facial reversa reportada por el Dr. Ruiz es capaz de corregir la Clase III esqueletal, con control vertical.
La estimulación mecánica de la máscara reversa en conjunto con las MOPs logra una formación y remodelación del hueso alveolar del maxilar.
La utilización de la máscara facial de protracción reversa permite un control vertical del maxilar al efectuar la tracción en sentido sagital; además, dicha máscara puede ser utilizada como mentonera en la retención.
La utilización de micro-osteoperforaciones, como estímulo para amplificar la respuesta inflamatoria en los tejidos periodontales durante los movimientos ortodóncicos y ortopédicos, provocaron una aceleración en la remodelación del hueso, lo cual se reflejó en los resultados clínicos y radiográficos finales obtenidos.









text in 







