Introducción
La enfermedad periodontal constituye hoy en día una de las enfermedades dentales más frecuentes entre la población adulta. El seminario para el nuevo esquema de clasificación para las enfermedades y condiciones periodontales1 caracterizó la salud periodontal y la inflamación gingival en un periodonto reducido después de completar exitosamente el tratamiento de un paciente con periodontitis. El paciente con periodonto reducido presentaba una serie de alteraciones típicas tales como la proinclinación de dientes antero-superiores, diastema, espacios interincisales, rotaciones y sobreerupciones que podían agravar la situación periodontal a largo plazo y empeorar la estética y la función dental del paciente. Una de las soluciones que se plantean ante este problema es el tratamiento ortodóncico2,3.
Es preciso aclarar que a pesar de la intención de buscar la optimización periodontal se ha demostrado que el tratamiento ortodóncico ya no es una contraindicación en pacientes adultos con periodonto reducido y que incluso puede mejorar las posibilidades de salvar y restaurar la dentición deteriorada; la única contraindicación para el tratamiento ortodóncico en pacientes con periodonto reducido es la persistencia de una enfermedad activa2,3. En este sentido, varios estudios han demostrado que en denticiones con periodonto reducido las fuerzas ortodóncicas y el movimiento de dientes no provoca daños en los tejidos periodontales si se mantiene una buena higiene oral, pero en presencia de inflamación con fuerzas similares provoca una destrucción más rápida de los tejidos periodontales4,5. Por lo tanto, el siguiente caso clínico tiene como objetivo aportar conocimiento sobre el tratamiento y manejo de pacientes con periodonto reducido estable en ortodoncia.
Presentación del caso clínico
Se presentó al Departamento de Ortodoncia de la Facultad de Odontología de la Universidad Latinoamericana Campus Valle una paciente de sexo femenino de 28 años de edad, aparentemente sana, referida por el Departamento de Periodoncia, en donde se le realizó un tratamiento convencional para periodontitis estadio II que incluyó raspado y alisado radicular y control de placa. Al momento de su remisión al Departamento de Ortodoncia, la paciente se encontraba en estado de salud gingival clínica con periodonto reducido y como motivo de interconsulta se estableció mejorar las condiciones de la dentición para ayudarla a mantener la salud del periodonto.
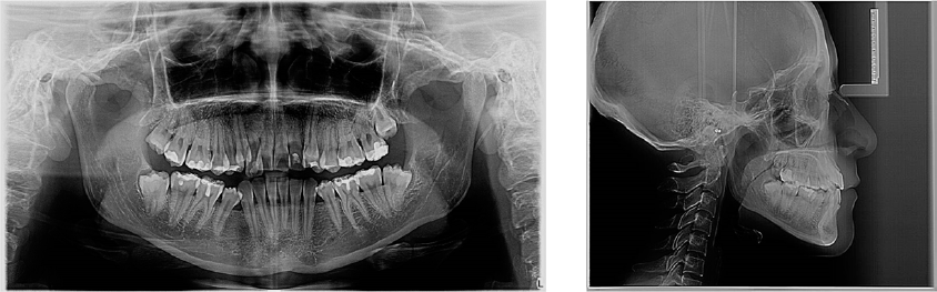
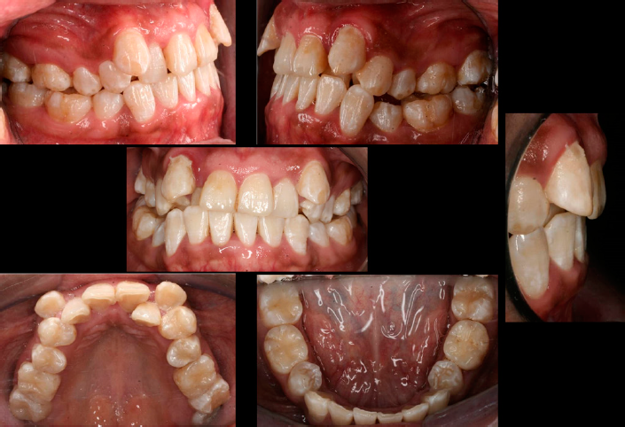
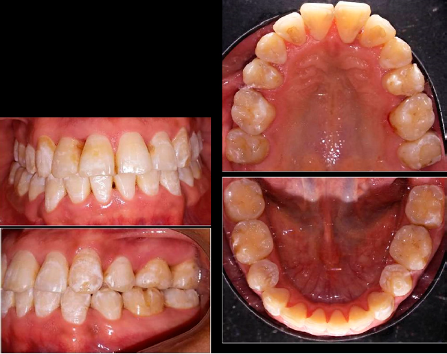
En el análisis facial se determinó una paciente dolicofacial con el tercio inferior aumentado, exposición disminuida de los dientes anteriores superiores al sonreír y perfil recto (Figura 1). A la exploración clínica se identificó dentición permanente con ausencia de los dientes 34 y 44, periodonto reducido estable, mucosa bien irrigada, frenillos bien implantados, líneas medias no concordantes, apiñamiento superior severo e inferior moderado; dientes 13 y 23 en supraoclusión Clase III molar, y mordida cruzada unilateral (Figura 2). Se solicitaron auxiliares diagnósticos incluyendo ortopantomografía y radiografía lateral de cráneo (Figura 3).

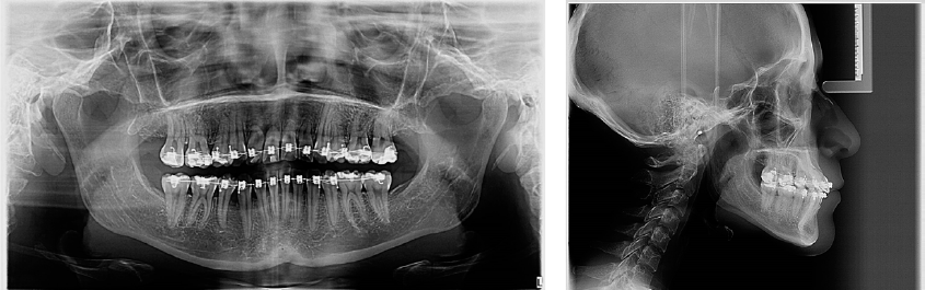
Figura 3 Estudios iniciales de ortodoncia, de izquierda a derecha, ortopantomografía y lateral de cráneo.
En la ortopantomografía se observaron 30 dientes; 28 erupcionados, terceros molares inferiores impactados, se confirmó la ausencia de los dientes 34 y 44, restauraciones extensas en 15 y 25. La paciente presentaba dilaceración y longitud radicular disminuida en los dientes 12 y 22. La relación corona-raíz en centrales superiores era 1:1 y existía una pérdida del reborde óseo en la zona de anteriores superiores e inferiores. El análisis cefalométrico reveló una Clase I esquelética con exceso vertical del maxilar y crecimiento horizontal (Tabla 1).
Tabla 1 Resumen de valores cefalométricos iniciales
| Punto | Valor norma | Valor paciente |
|---|---|---|
| SNA | 82°±2 | 85° |
| SNB | 80°±2 | 87° |
| ANB | 2°±2 | -2° |
| Convexidad | 0 mm ±2 | 2 mm |
| GoGn/1 Inf. | 90° | 104° |
| Sn/1 Sup. | 102° | 80° |
| Altura Maxilar | 53° | 61° |
| Altura Posterior plano oclusal | 55 mm | 8 mm |
| Ángulo articular | 123° | 136° |
| Inclinación Plano oclusal | 14°±5 | 31° |
Con base en los análisis anteriormente presentados, el diagnóstico fue una paciente Clase I esquelética con exceso vertical del maxilar, crecimiento horizontal, Clase III molar derecha y clase II molar izquierda, mesialización posterior a extracción de primeros premolares inferiores; mordida cruzada anterior y posterior unilateral, discrepancia óseo-dentaria negativa severa en el arco superior y moderada en el inferior; longitud radicular disminuida en anteriores superiores y periodonto reducido estable. Los objetivos del tratamiento se enfocaron en mejorar la salud periodontal, estabilidad, función y estética del paciente. Entre éstos se encontraron: mejorar la altura del reborde alveolar, eliminar interferencias, corregir desviación mandibular, obtener clase I canina y molar, eliminar mordida cruzada anterior y posterior unilateral, mejorar forma de arco, eliminar apiñamiento y corregir eje axial de incisivos superiores e inferiores. Con base en los objetivos se elaboró un plan de tratamiento ortodóncico con extracciones de segundos premolares superiores ya que presentaban restauraciones extensas y defectuosas.
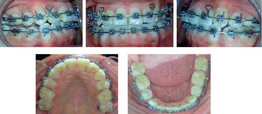
Se realizaron extracciones de los dientes 15, 25, 18, 28, 38 y 48. Se colocaron brackets metálicos, aparatología CCO 0.022” X 0.028” y arcos de Nitinol 0.014” en las arcadas superior e inferior para iniciar con la alineación y nivelación. También se ocuparon resortes abiertos de NiTi para incluir el diente 12 (Figura 4). Posteriormente se colocaron arcos 0.016” x 0.022” Nitinol en las arcadas superior e inferior para continuar con la alineación y nivelación. También se indicaron resortes abiertos y ligadura metálica para distalizar los caninos y lograr clases caninas y molares ideales. Se colocaron botones linguales en el primer segundo premolar superior e inferior izquierdo con elásticos para descruzar mordida.
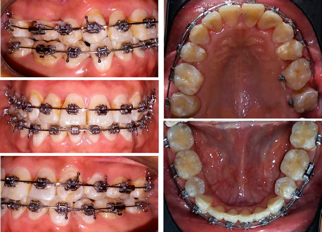
Se llevó a cabo la retracción del segmento anterosuperior inicialmente con arcos 0.019” x 0.025” SKL para lograr el cierre de espacios (Figura 5), seguido de la colocación de arcos 0.019” x 0.025” TMA en la arcadas superior e inferior (Figura 6). Al término del tratamiento se colocó retenedor fijo de canino a canino con alambre trenzado 0.175”. Al finalizar el tratamiento, se lograron clases molar y canina I en ambos lados, cierre de espacios, buena intercuspidación y alineación y nivelación dental, logrando así contribuir a mantener la salud periodontal (Figura 7). Asimismo, los ejes axiales de los incisivos mejoraron al igual que la topografìa ósea como puede observarse en las radiografías finales (Figura 8).
Discusión
Diversos autores6,7 postulan que el tratamiento ortodóncico favorece el pronóstico periodontal de las piezas dentarias al mejorar sus condiciones funcionales y también el control de placa microbiana al eliminar o disminuir las zonas retentivas. A su vez, es importante el nivel de salud periodontal, condicionante que exige un control exhaustivo del paciente antes, durante y después de efectuada la terapia ortodóntica, especialmente en aquel individuo altamente susceptible a la enfermedad periodontal.
Hasta ahora se han publicado pocos estudios sobre grupos de adultos con periodontitis avanzada que recibieron tratamiento ortodóntico integral con aparatos fijos8,9. Sin embargo, todos coinciden en que el tratamiento ortodóncico combinado con terapia periodontal no produce efectos negativos en el periodonto; al contrario, puede ser beneficioso. Un estudio retrospectivo a largo plazo elaborado por Boyer et al10 sugiere que ambos tratamientos permiten preservar la salud periodontal a largo plazo y que la alineación dental facilita la higiene bucal, lo que aumenta la satisfacción del paciente y su compromiso a largo plazo con el mantenimiento.
Otro de los problemas que pueden aparecer según autores como Shaughnessy et al.11 y Pazera et al.12 ocurre al momento de adherir el retenedor a la superficie lingual o palatina de los dientes. Esta maniobra ha de realizarse siempre de una forma pasiva, ya que si se cementase de forma activa (por utilizar algún tipo de instrumento generando presión para facilitar su posición sobre los dientes) se podría generar una fuerza iatrogénica, ocasionando movimientos indeseados que pueden influir en la posición de los dientes después del tratamiento de ortodoncia. Una vez cementado el retenedor, puede ser el mismo paciente el que ocasione movimientos indeseados en los dientes al realizar maniobras indebidas como la ingesta de alimentos duros, traumatismos o el uso incorrecto de la seda dental. Como se indicó anteriormente, es importante tener en cuenta a qué altura de la cara lingual o palatina de los dientes se va a posicionar el retenedor. Idealmente, debe de ir situado a nivel de los puntos de contacto de los dientes sin invadir la papila interdentaria ni el espacio interproximal. Torkan et al.13, en un estudio que llevaron a cabo en el año 2014 refieren que existe mayor riesgo de afectación periodontal cuando se coloca el retenedor sobre la cara palatina de los dientes superiores ya que éste debe de ser fijado en una posición más gingival para evitar posibles interferencias al ocluir con los dientes antagonistas inferiores, si bien no encontraron diferencias significativas después de seis meses de estudio13.
Un factor a tener en cuenta es el acúmulo de placa alrededor del retenedor. Para Kaji et al.14 si la retención se sitúa cerca del margen gingival, el acúmulo de placa es mayor, mientras que Farret et al.15 relacionan un mayor depósito de placa con retenedores fijos posicionados hacia gingival en las zonas interproximales de los dientes. Las opiniones sobre esto están divididas entre ortodoncistas que están a favor del uso de los retenedores fijos y odontólogos y periodoncistas que tienen otra perspectiva. En un estudio de Booth et al.16 se indica que los pacientes que llevan retenedores fijos tienen mayor motivación y desarrollan mejores técnicas de higiene que pacientes que no llevan este tipo de aparatos.
Conclusiones
El tratamiento de ortodoncia en pacientes con periodonto reducido estable es limitado y complejo; debe ser evaluado por un equipo multidisciplinario a fin de lograr objetivos definidos para resultados realistas, pero con gran significancia. Estos pacientes deben tener siempre un constante monitoreo periodontal y mantener un control de placa dentobacteriana en todas las etapas del tratamiento ortodóncico.
Las ventajas que ofrece este tipo de procedimientos son la preservación del hueso de soporte y mejoramiento del contorno gingival con los dientes adyacentes. Sin embargo, los factores que se deben tener presentes durante este procedimiento para evitar alguna complicación son: aplicación controlada de las fuerzas, vitalidad del ligamento periodontal, adecuado anclaje, forma de la raíz favorable, control de problemas pulpares, período de retención adecuado para evitar recidivas.










text in 









