Introducción
El restablecimiento de la dimensión vertical oclusal (DVO) es una de las opciones de tratamiento más comunes cuando se necesita rehabilitar un paciente con múltiples pérdidas o desgastes dentales, los cuales han generado movimientos dentales que provocan una invasión del espacio de restauración protésica1. A través del proceso de envejecimiento de la población, aumenta la probabilidad de que los odontólogos rehabiliten a los pacientes con niveles avanzados de desgaste para mantener sus dientes por mayor tiempo en boca. El desgaste dental se considera patológico cuando es necesaria una intervención con fines estéticos o funcionales, causado por factores endógenos y exógenos. Según su causa, se clasifica en atrición, abrasión, erosión y abfracción2.
Habitualmente los pacientes acuden a consulta odontológica cuando han perdido gran parte de su dentadura disminuyendo así su dimensión vertical (DV), siendo afectados funcional y estéticamente. El último punto constituye un factor que genera alta expectativa en los resultados finales del tratamiento odontológico. El desgaste dental se está convirtiendo en un tema de gran interés en el área de la prostodoncia, desde los puntos de vista tanto preventivo como restaurativo3. Es importante determinar los procesos que ocurren y los factores que generan el desgaste para determinar protocolos de tratamiento. La pérdida de estructura dental no significa necesariamente la pérdida de la DVO4. Generalmente el desgaste fisiológico del diente se compensa con la erupción dental continua. Especialmente, aumentar la DVO en pacientes bruxistas puede resultar en la destrucción de los dientes y/o restauraciones5.
Existen en la literatura distintas definiciones de DV, Dawson menciona que es la posición de relación estable entre maxilar y mandíbula cuando hay máxima intercuspidación, donde el determinante de la DVO son los músculos, con base en su longitud repetitiva de contracción, lo que indica que el patrón de cierre es extremadamente constante6. El glosario de términos en Prostodoncia la define como la distancia entre dos puntos anatómicos o seleccionados y marcados generalmente uno en la punta de la nariz y el otro en la barbilla7. La mayoría de los autores coinciden en que la DVO es la medida de la altura del tercio inferior de la cara; siendo esta una relación maxilo mandibular vertical. Para llevar a cabo la rehabilitación oral del paciente, una parte importante en el diagnóstico y plan de tratamiento es determinar si en realidad se presenta disminuida la DV. Actualmente es un tema de discusión si se encuentra siempre en pacientes bruxistas, pero en otras situaciones es evidente la disminución de la DV8. Generalmente el grado de desgaste de las superficies dentarias conlleva el diagnóstico que nos indica realizar modificaciones en la DV, que puede estar acompañado con signos faciales como disminución de la altura del tercio inferior de la cara, pseudoprognatismo, colapso labial y/o aparición de arrugas faciales acentuándose en los pliegues genianos y labiomentonianos (queilitis angular). Otra manifestación que usualmente podemos encontrar es la falta de espacio protésico, que es una de las complicaciones más relevantes9,10. Para determinar la DVO existe un sinnúmero de alternativas escritas en la literatura (métodos fonéticos, estéticos, antropométricos, cefalométricos, con instrumentos, etc). Sin embargo, hasta la fecha no existe un método único capaz de responder con total exactitud. Es por eso que se recomienda el uso de varios métodos para tener la certeza de que se tiene una adecuada medida para realizar la rehabilitación. Los requisitos de una DVO de oclusión correcta son: mantener una distancia interoclusal adecuada entre la posición de descanso y la oclusión céntrica, la longitud de los dientes y altura de las cúspides deben ser mecánica, estética y fonéticamente correctas. Así mismo la altura de la DVO debe de ser corroborada y aceptada por el paciente, refiriendo comodidad en la utilización de prótesis provisionales, ya sean fijas o removibles.
Un aspecto importante para el tratamiento exitoso de estos pacientes es determinar un enfoque sistemático para manejar este tipo de rehabilitaciones que puede conducir a un pronóstico de tratamiento predecible y favorable11. A continuación, se presenta el caso de una paciente femenina con pérdida de DVO debido a un desgaste severo, el cual fue corregido mediante rehabilitación oral completa con ayuda de prostodoncia, periodoncia y endodoncia.
Presentación de caso clínico
Se presenta paciente femenino de 62 años, cuyo motivo de consulta fue: “tengo mis dientes muy pequeños y no puedo comer a gusto”. La paciente presentó un biotipo facial mesocefálico con perfil recto, tercios faciales simétricos, la línea interpupilar coincide con la línea intercomisural, frente recta, proyección del puente nasal recto, buena proyección del tercio medio, labios delgados, sonrisa baja, no mostró corredores bucales, los bordes incisales no coincidieron con la línea de la sonrisa y no mostró encía en sonrisa máxima. (Figura 1. A). En la Tabla 1 se muestran las medidas del análisis facial de acuerdo con Fradeani12. En el análisis intraoral, la paciente presentó arcos ovoides en ambas arcadas, al igual que ausencia de los dientes 18, 14, 25, 26, 28, 35 y 37, tratamientos de conductos de los dientes 16 y 15, coronas de metal-porcelana en los dientes 15, 13, 11, 12, 21, 22, 23, 24, 25, 26 y 28, restauraciones desajustadas en los dientes 27 y 38. Además presentó atrición generalizada (Figura 1. B). En la ortopantomografía se observaron los cóndilos aparentemente sanos, vías aéreas ligeramente obstruidas y senos maxilares neumatizados (Figura 1. C). En el estudio radiográfico dentoalveolar tanto de los sextantes superiores como de los inferiores mostraron todos los dientes con buen soporte óseo, continuidad de la lámina dura y tejidos periapicales normales a excepción del diente 36, donde se observó pérdida ósea y una zona radiolúcida en el ápice (Figura 1. D).

Figura 1 Fotografías extraorales, intraorales y radiografías iniciales. A. Fotografía de frente y lateral derecha. B. Fotografías intraorales iniciales (oclusal superior e inferior, frontal y laterales). C. Ortopantomografía. D. Radiografía dentoalveolar del diente 36.
Tabla 1 Medidas de Análisis Facial de Fradeani.
| Medidas de análisis facial | |
|---|---|
| Ángulo del perfil | 171o (perfil recto) |
| Ángulo nasolabial | 105o (normal) |
| Línea interpupilar | Coincide con línea intercomisural |
| Línea estética (labio superior) | 4mm detrás |
| Línea estética (labio inferior) | 1mm detrás |
| Línea media dental | 2mm hacia la derecha respecto a la línea media facial. |
| Exposición dental en reposo (dientes maxilares) | Sin exposición (fuera de la norma) |
| Exposición dental en reposo (dientes mandibulares) | 2mm de exposición de 5 dientes (normal) |
La Clase molar tanto derecha como izquierda no se pudieron definir debido a sus ausencias dentales. En ambos lados se presentaron caninos en Clase I. El espacio libre interoclusal es de 5mm, la máxima intercuspidación y relación céntrica coinciden. Sobremordida vertical de 1mm y sobremordida horizontal de 3mm. Como objetivos de tratamiento se optó por realizar una rehabilitación completa en la cual se restaure el desgaste y ausencias dentales mediante la colocación de coronas individuales en los dientes 11, 12, 21, 22, 23, 24, 34, 44 y 45, prótesis parcial fija en el diente 13, 14 y 15, carillas en los dientes 31, 32, 33, 41, 42 y 43 de disilicato de litio y coronas implantosoportadas en los dientes 16, 26, 35, 36 y 46 de zirconia monolítica, aumentando la DVO perdida en la paciente. Así mismo otorgar características de oclusión orgánica, eliminar y prevenir factores desencadenantes de caries, problemas pulpares, periodontales y conseguir resultados estéticos aceptables logrando un mejor pronóstico a largo plazo.
El plan de tratamiento se dividió en cuatro fases, Fase 1: se tomaron fotografías, radiografías, modelos de estudio y se realizó un encerado para determinar diagnóstico, pronóstico y plan de tratamiento (Figura 2. A). Además, se realizó fase 1 periodontal para retirar focos de infección. En la Fase 2 se retiraron todas las coronas de metal porcelana presentes en boca y se colocaron provisionales de acrílico de la misma forma y altura de las coronas que la paciente presentaba, esto con el fin de observar el estado de los dientes remanentes. Posteriormente se realizó el tratamiento de conductos del diente 15. Después se llevó a cabo la planeación digital de diseño de sonrisa propuesta por Coachman et al.13, mediante el cual se obtuvieron parámetros para realizar un encerado de diagnóstico realizando un mock-up de prueba para determinar la nueva DVO de la paciente, proyectando un aumento de 3mm (Figura 3. A).

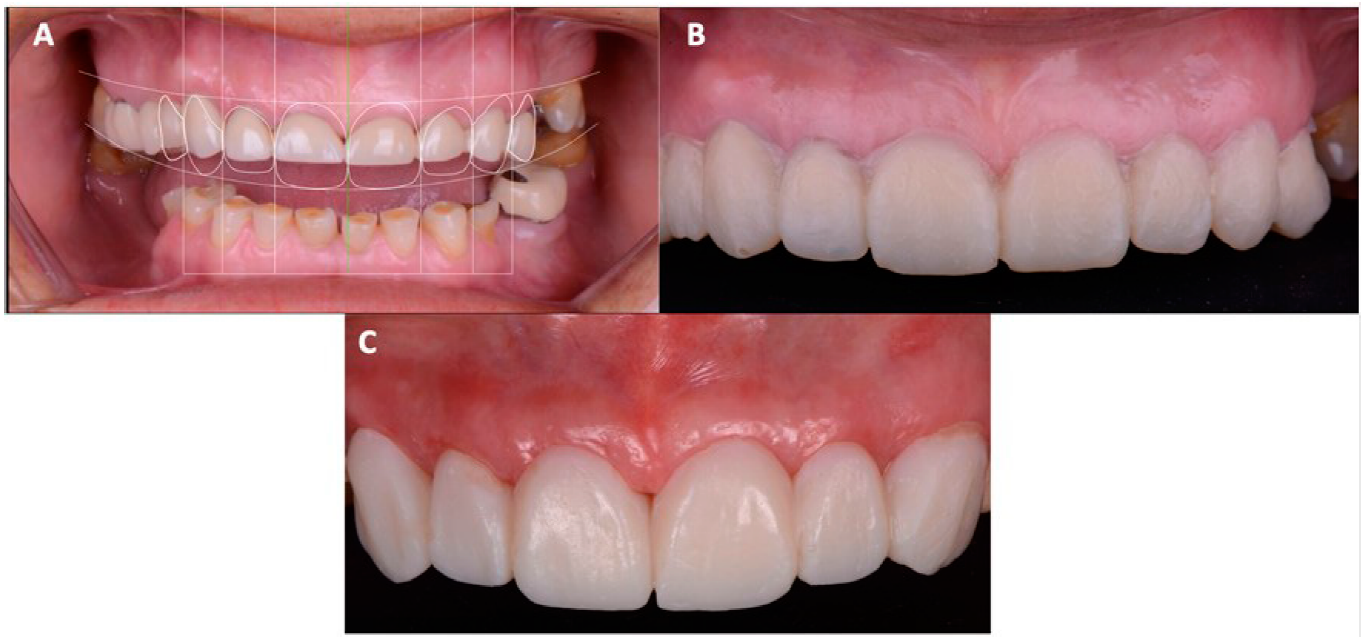
Figura 3 Diseño de sonrisa y provisionalización con mock-up. A. Diseño de sonrisa digital. B. Mock-up de prueba. C. Provisionalización, 5 semanas después de los alargamientos de corona.
Fase 3. Se procedió a la fase quirúrgica en la cual se realizaron los alargamientos de coronas del sector anterior con base al mock-up aceptado por la paciente. Mientras se esperaba el tiempo de cicatrización de la cirugía, se llevaron a cabo restauraciones de resina compuesta con la técnica de inyección de resina descrita por Terry14 (Restaurador Universal 3M™ Filtek™ Z350 XT) en los dientes anteromandibulares de manera temporal para mantener la altura determinada (Figura 3. B). Enseguida se utilizó el cemento Rebilda® DC-Voco para la reconstrucción de muñón en la arcada maxilar de los dientes 15, 13, 12, 11, 21, 22, 23 y 24 y en la arcada mandibular en los dientes 34, 44 y 45. Se realizó un nuevo juego de provisionales ajustados a la reconstrucción de muñón conservando la DVO determinada. Posteriormente se llevaron a cabo cirugías divididas en 3, en la cual se extrajeron los dientes 16, 17, 36, 38 y 48: en la primera se colocaron implantes en el 16, 26; en la segunda 35, 36 y en la tercera se colocó el implante del diente 46 estableciendo un arco reducido en la paciente (Figura 3. C).
Fase 4. Se colocaron las restauraciones finales; prótesis parcial fija en los dientes 13, 14 y 15, coronas individuales en los dientes 11, 12, 21, 22, 23, 24, 34, 44 y 45 de disilicato de litio (IPS e.max®, Ivoclar Vivadent). Posteriormente se retiraron las resinas temporales de los dientes anteromandibulares 11,12, 13, 21, 22, 23 y se sustituyeron por carillas de disilicato de litio (IPS e.max®, Ivoclar Vivadent), se colocaron coronas implantosoportadas de zirconia monolítica en los dientes 16, 26, 35, 36, y 46; y después se colocó una guarda oclusal. Al final del tratamiento se consiguió una rehabilitación estética, biológica y funcional, y conjuntamente el aumento de la DVO (3mm), el cual ofrece una mejor estabilidad masticatoria en la paciente (Figura 4).
Discusión
El caso clínico describe el tratamiento de una paciente con desgaste severo generalizado, ausencias dentales y prótesis desajustadas, en el cual se tomó la decisión de realizar un tratamiento de rehabilitación completa que consistió en un aumento de la DVO con manejo interdisciplinario entre las especialidades de prostodoncia, periodoncia y endodoncia.
El diagnóstico es el procedimiento clínico necesario previo a la realización de cualquier tipo de tratamiento, el cual debe realizarse junto con los exámenes auxiliares (radiografías, modelos de estudio, encerado de diagnóstico, fotografías, etc.). Es esencial definir la causa de los desgastes antes de cualquier intervención para la efectividad de cualquier cuidado preventivo y restaurador15. La etiología del desgaste para nuestro paciente no es del todo clara. No obstante, se puede hipotetizar que la paciente tenía hábito oclusal parafuncional, provocando un desgaste generalizado, perdiendo el esquema oclusal que a su vez activaba los músculos de la masticación en todas las excursiones mandibulares, y por lo tanto, se genera más fuerza, y de manera agresiva, en los dientes causando alteraciones en la DVO 16,17. Harper18 describe el manejo clínico para la alteración de la DVO, donde pone en manifiesto su relación con la articulación temporomandibular (ATM); principalmente, la reconstrucción de la DVO debe ser con los cóndilos en relación céntrica. Posteriormente, la reconstrucción debe estar en el rango de adaptación neuromuscular para cada paciente19. En este caso se apoyaron los criterios anteriormente mencionados, debido a que se otorgó el tiempo de adaptación neuromuscular en la paciente antes de realizar el tratamiento definitivo. En la literatura existen diversas técnicas para determinar la DVO y obtener la adaptación neuromuscular20. No obstante, se optó por realizar las recomendaciones planteadas por Colombo y Delgado21, los cuales proponen manejar la DVO con provisionales. Dicha técnica permite al paciente adaptarse a una nueva DVO y facilita la transferencia de esa posición al tratamiento final. El tiempo de espera con provisionalización de nuestra paciente fue de 6 meses.
Toolson et al.22, muestran la elección de las mejores técnicas de registro de la DV, considerando los siguientes criterios: la precisión, repetibilidad de la medición, adaptabilidad de la técnica, complejidad del equipo necesario, y la cantidad de tiempo requerido para asegurar la medición. Por su parte, Abduo et al. 23, sugieren tomar en cuenta factores extraorales e intraorales previo a la toma de decisiones clínicas para modificar la DV. Dentro de los factores extraorales se encuentran la magnitud de la alteración de DV, la estética facial, y el estado de la ATM mientras que las consideraciones intraorales refieren el remanente dental y la oclusión. Tales pautas las tomamos en cuenta con nuestra paciente.
Por otro lado, mientras la tonicidad muscular disminuye con la edad, la mandíbula tiende a gravitar por debajo del nivel de reposo, de tal modo que la distancia interoclusal se incrementa con el avance de la edad24,25, como en nuestro paciente. Respetamos dicha DVO acorde con los cambios propios de su edad. La determinación de la DVO es un procedimiento empírico basado sobre todo en la experiencia clínica, y nuestro caso no fue la excepción, tuvimos que realizar varias pruebas previas para poder estabilizar y estandarizar el correcto registro de esta dimensión26.
La provisionalización fue la mejor opción durante el proceso de adaptación, tanto para la paciente que logró su mayor confort, como para nosotros al asegurarnos de poder realizar el tratamiento final a esa altura y lograr la oclusión adecuada27,28. Por otro lado, las coronas de zirconia poseen la resistencia más alta a la fractura que cualquier otro material, además de ser estéticas. Se pueden minimizar los efectos de desgaste a los dientes antagonistas puliendo correctamente y manteniendo una adecuada oclusión29.
Conclusión
El éxito del tratamiento en un paciente con desgaste severo y pérdida de DVO comienza con el correcto diagnóstico de la alteración, la estética facial, el estado de la ATM, el remanente dental y la oclusión. La colocación de provisionales fijos durante un tiempo adecuado, depende del mecanismo de adaptación y compensación neuromuscular individual de cada paciente lo que permite funcionalidad. En nuestro caso, nos ayudó a lograr de manera satisfactoria la meta propuesta de dar rehabilitación completa con aumento de DVO para obtener una armonización del perfil, oclusión orgánica y estética dental. Asimismo, los resultados contribuyeron a una percepción positiva de la paciente.










text in 




