Reporte de caso
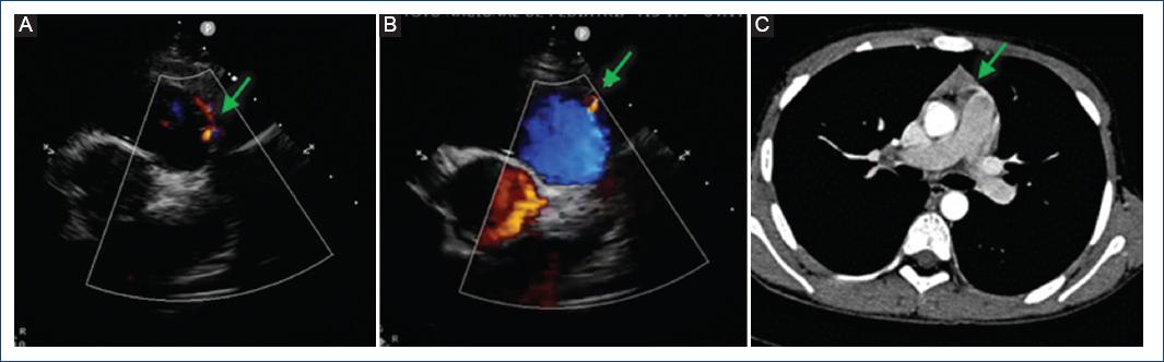
Varón de 11 años al que se detectó un soplo cardiaco a la edad de 8 años por médico pediatra, quien comentó al familiar que este era un soplo «inocente» y se le dio vigilancia por 3 años. Al no modificarse el soplo con el tiempo, es enviado a nuestra institución, asintomático cardiovascular. Exploración física: buen crecimiento y desarrollo, soplo expulsivo II/IV, en mesocardio, tono agudo, timbre piante, sin modificación con maniobras, hígado no congestivo, pulsos normales en las cuatro extremidades, resto de la exploración sin alteraciones. Electrocardiograma y telerradiografía de tórax normales. Ecocardiograma transtorácico con presencia de flujo continuo retrógrado por Doppler color de 1 mm que llega al tronco de la arteria pulmonar, sin lograr determinar su origen (Fig. 1 A y B). La angiografía por tomografía computarizada (angio-TC) de tórax reporta una estructura vascular delgada, elongada, que comunica aparentemente la aorta ascendente con el tronco de la arteria pulmonar (Fig. 1 C). Se propone cateterismo cardiaco diagnóstico. En la angiografía de la aorta ascendente y en coronariografías selectivas se aprecia una fístula coronaria que nace inmediatamente después del ostium de la coronaria derecha, de 1 mm de diámetro, con un trayecto anterior e izquierdo sobre el infundíbulo pulmonar, drenando a la parte proximal del tronco pulmonar por arriba del anillo valvular pulmonar (Fig. 2 A y B), y una segunda fístula con origen en el tercio proximal de la arteria coronaria descendente anterior de 1 mm, drenando de igual forma en el tronco de la arteria pulmonar (Fig. 3 A y B), ambas de 0.15 mm a su llegada al tronco pulmonar. Debido al tamaño tan pequeño de las fístulas, se decide no realizar intervencionismo y continuar la vigilancia.

Figura 1 A y B: ecocardiograma transtorácico en el que se observa un flujo continuo retrógrado de 1 mm en la parte proximal del tronco de la arteria pulmonar (flecha). C: angiografía por tomografía computarizada de tórax que muestra un pequeño vaso en la parte anterior del tronco pulmonar, sin lograr determinar su origen ni su trayecto (flecha).

Figura 2 Coronariografía derecha que muestra una fístula coronaria inmediatamente después del origen de la coronaria derecha que llega al tronco pulmonar (flecha). A: proyección posteroanterior. B: proyección oblicua anterior derecha.

Figura 3 Coronariografía izquierda que muestra una fístula coronaria que se origina en el tercio proximal de la descendente anterior y que llega al tronco pulmonar (flecha). A: proyección oblicua anterior derecha a 20°. B: proyección oblicua anterior derecha a 70°.
Durante su seguimiento refiere eventos de dolor torácico leve, con semiología no compatible con angina. Se completa el abordaje con una prueba de esfuerzo, con evidencia de adecuada respuesta cronotrópica y presora, sin inducción de arritmias, clase funcional I (17.3 Met), sin síntomas ni alteraciones en la repolarización ventricular durante el esfuerzo máximo, suspendiéndose la prueba por fatiga muscular.
Actualmente el paciente se encuentra asintomático, sin tratamiento farmacológico, en clase funcional I, en seguimiento después de 36 meses por consulta externa sin eventualidades, y recibe profilaxis antimicrobiana para endocarditis infecciosa.
Discusión
Las fístulas coronarias tienen una prevalencia de alrededor del 0.9% en la población adulta y representan aproximadamente el 13% de las anomalías coronarias1,2. Se clasifican en camerales y arteriovenosas según si el drenaje ocurre en una cámara cardiaca o en alguna vena cava, seno coronario o arteria pulmonar. Pueden ser congénitas o adquiridas; siendo las congénitas las más frecuentes, a diferencia de las adquiridas, que son más raras y generalmente asociadas a procedimientos quirúrgicos, inflamatorios o traumáticos. Pueden ser aisladas, múltiples o con origen dual, y con asociación frecuente a otras malformaciones cardiacas como defectos del tabique interventricular o tetralogía de Fallot, entre otras3,4. Generalmente tienen un curso asintomático, aunque en ocasiones pueden producir síntomas sugestivos de insuficiencia cardiaca e isquemia miocárdica, sobre todo cuando el cortocircuito es lo suficientemente significativo como para crear fenómeno de robo coronario. Los hallazgos más frecuentes son soplo cardiaco, datos de hipertrofia ventricular izquierda, cambios inespecíficos del segmento ST o exploración totalmente normal5. El ecocardiograma es el estudio inicial, mediante el cual se puede sospechar una fístula y ver los cambios hemodinámicos secundarios; sin embargo, tiene capacidad limitada para delimitar el origen y el trayecto de la fístula (como en nuestro caso). La angio-TC posee una capacidad superior para el diagnóstico, con alta resolución espacial y temporal, y posibilidad de reconstrucción 3D, lo que permite la adecuada evaluación anatómica de la fístula6. No obstante, a pesar del avance en las técnicas de imagen, la coronariografía es el método diagnóstico de elección por su excelente visualización, evaluación del tamaño y del número de fístulas, así como de su trayecto, junto con la evaluación hemodinámica y la posibilidad de realizar intervencionismo.
El tratamiento de las fístulas coronarias en la edad pediátrica es controversial. Entre las opciones terapéuticas se incluyen tratamiento conservador, cirugía y cierre percutáneo. Mientras algunos centros prefieren el cierre de las fístulas al momento del diagnóstico por el riesgo de complicaciones como dilatación aneurismática, trombosis, ruptura y endocarditis infecciosa7,8, otros refieren que no hay necesidad para el cierre urgente de las fístulas coronarias ya que tras el seguimiento algunas cerraron de forma espontánea, sobre todo en pacientes pediátricos asintomáticos con fístulas pequeñas, en quienes se debe llevar un seguimiento estrecho y en caso de que el cierre espontáneo no ocurra, o se desarrollen síntomas o complicaciones, será necesario realizar el tratamiento definitivo mediante intervención quirúrgica o percutánea9; este último abordaje con riesgo de migración de dispositivo, disección, ruptura o trombosis coronaria10.
En nuestro paciente, con la angio-TC de tórax no se sospechó una fístula coronaria, pero la angiografía demostró una fístula en la coronaria derecha, y a pesar de haber encontrado ya una fístula se realizó coronariografía izquierda y se halló la segunda fístula. Este caso nos enseña que es indispensable evaluar ambas coronarias. El estudio angiográfico nos permitió determinar su anatomía y trayecto, siendo ambas fístulas muy pequeñas. Así, con un curso asintomático y sin evidencia clínica de alteraciones durante la actividad física, decidimos posponer el cierre percutáneo, con seguimiento estrecho ambulatorio mediante ecocardiografía. Posterior a 36 meses, el paciente continua asintomático y con actividad física normal para su edad.
Además, pensamos que es recomendable que todo paciente pediátrico con un soplo cardiaco sea evaluado por cardiología pediátrica11, porque es frecuente que el médico de primer contacto (médico general y pediatra) no esté seguro del tipo de soplo11 y confunda los soplos «inocentes» con los soplos patológicos (como ocurrió en nuestro caso), ya que se requieren practica y experiencia en el arte de la auscultación cardiaca para poder realizar un adecuado diagnóstico clínico, así como sus diagnósticos diferenciales.
Conclusiones
En todo paciente pediátrico con un soplo cardiaco se sugiere la valoración por cardiología pediátrica.
Cualquier flujo anormal en el tronco pulmonar o en las ramas pulmonares detectado por ecocardiografía requiere ser investigado con angio-TC o con resonancia magnética, y en caso necesario con angiografía.
Siempre habrá que descartar fístulas de ambas coronarias aunque los estudios previos no hayan llevado a sospechar doble fístula coronaria.
Deberá valorarse de forma individual el manejo conservador en fístulas pequeñas en pacientes asintomáticos, así como su oclusión por vía percutánea o quirúrgica valorando siempre el riesgo-beneficio.










text new page (beta)


