La atresia tricuspídea se caracteriza por la agenesia completa de la válvula tricúspide con una estructura fibromuscular que separa la aurícula del ventrículo derecho, contiene la masa miocárdica funcionalmente apta para asumir por sí sola la fisiología circulatoria, es obligatoria la presencia de comunicación interatrial para generar la mezcla de la sangre proveniente de la circulación pulmonar con la circulación venosa sistémica, y si es restrictiva no se genera retorno venoso adecuado y da lugar a una disminución del gasto cardíaco1. En esta última se encuentra la conexión de las aurículas derecha e izquierda con el ventrículo izquierdo y derecho, respectivamente. La asociación de esta con doble salida del ventrículo derecho es del 10-20% y su presentación con atresia tricuspídea es muy rara2,3.
Presentamos un caso con anatomía compleja e infrecuente, en el que se encontraba comprometido el gasto cardíaco y se realizaron las intervenciones oportunas.
Caso clínico
Varón de 50 días de vida, embarazo con normal evolución, ultrasonidos prenatales sin anomalías. A las 33 semanas de gestación nace por vía abdominal debido a desprendimiento prematuro de placenta, con un peso al nacer de 1.8 kg. Se mantiene hospitalizado por dificultad respiratoria persistente, motivo por el cual es valorado por cardiología pediátrica, que lo refieren a nuestra institución para abordaje por cardiopatía compleja. En la valoración inicial se describe con fatiga a la alimentación y cianosis al llanto. En la exploración física se detecta sin taquicardia, polipneico y con saturación de oxígeno del 75%.
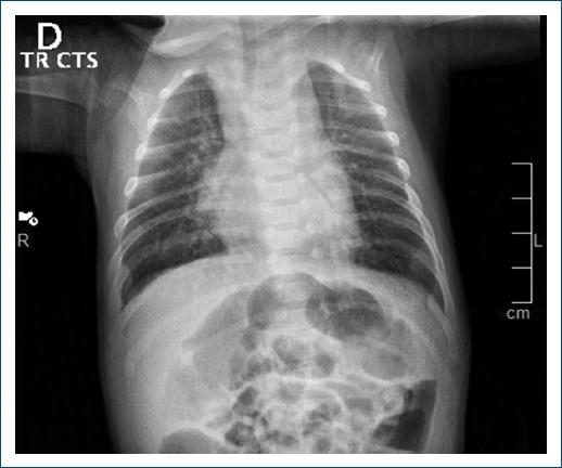
La radiografía mostró mesocardia con levoápex, con hipertensión venocapilar (Fig. 1). Se realizaron ecocardiograma transtorácico y cateterismo cardíaco, los cuales concluyen situs solitus atrial y abdominal, mesocardia con dextroápex, retornos venosos sistémicos y pulmonares lateralizados, conexión atrioventricular de tipo discordante y modo imperforado por ausencia de conexión atrioventricular izquierda, atresia tricuspídea e inversión ventricular (topología de mano izquierda) con las siguientes características: defecto interatrial pequeño y restrictivo con gradiente medio de 10 mmHg (Fig. 2); conexión ventriculoarterial tipo doble vía de salida del ventrículo derecho (rudimentario) modo perforado con aorta anterior e izquierda y doble infundíbulo, válvula pulmonar bivalva y displásica sin estenosis pulmonar; comunicación interventricular de entrada con extensión a la salida no obstructiva (Fig. 3), conducto arterioso persistente, disfunción diastólica del ventrículo sistémico y función sistólica conservada.

Figura 1 Radiografía de tórax antero posterior, observando situs solitus abdominal y pulmonar, mesocardia con levoápex, sin cardiomegalia, sin crecimiento de cavidades, arco aórtico a la izquierda, flujo pulmonar disminuido con hipertensión venocapilar.

Figura 2 Ecocardiograma transtorácico, vista subcostal de cuatro cámaras. Se observa un defecto interatrial (asterisco) restrictivo con gradiente medio de 10 mmHg. AD: atrio derecho; AI: atrio izquierdo; AT: atresia tricuspídea; SIA: septo interatrial; VI: ventrículo izquierdo (video para imagen 1: https://youtu.be/U4n-y8YUbwo).

Figura 3 A: diagrama de Mullins que representa la discordancia atrioventricular por inversión ventricular (topología de mano izquierda), ausencia de conexión atrioventricular izquierda (atresia tricúspidea) con doble salida del ventrículo derecho (VD) rudimentario con doble infundíbulo y estenosis pulmonar. La flecha señala el piso fibromuscular de la atresia tricuspídea. B: ventriculografía que muestra el ventrículo izquierdo (VI), una comunicación interventricular (CIV) amplia y el VD rudimentario, de donde emergen dos vasos sistémicos: la arteria aorta (AO) y la arteria pulmonar (AP). AD: atrio derecho; AI: atrio izquierdo (video para la imagen 2: https://youtube.com/shorts/RIO17heO154?feature=share).
Se indica cateterismo cardíaco por defecto atrial restrictivo, con los siguientes resultados: presión media en atrio derecho de 8 mmHg y en atrio izquierdo de 15 mmHg, saturación sistémica del 81% y PaO2 de 48 mmHg. Se realiza atrioseptostomía, con balón con los siguientes resultados: presión media en atrio derecho 8 mmHg y en atrio izquierdo 9 mmHg, saturación sistémica del 92% y PaO2 de 63 mmHg.
Es egresado a los 5 días de internamiento hospitalario. El ecocardiograma de control informó: comunicación interatrial amplia con gradiente medio de 1 mmHg, mejora del gasto sistólico evidenciando estenosis pulmonar mixta con gradiente medio de 35 mmHg, y función sistólica y diastólica adecuada. En la evaluación a los 6 meses de vida muestra adecuado crecimiento ponderal, clase funcional I de Ross, con aumento de cianosis al llanto, sin alteraciones neurológicas.
Discusión
El diagnóstico de esta patología es factible desde el periodo fetal, tomando importancia para detectar alteraciones que llevarían a falla cardíaca temprana, para preparar el escenario del momento del nacimiento y para determinar un plan de seguimiento4. Una vez establecido el diagnóstico se deben determinar las condiciones que pueden disminuir el gasto cardíaco, entre ellas la magnitud de la circulación pulmonar que determinará tanto su presentación como su tratamiento5.
En el caso que presentamos, el paciente tenía falla cardíaca compensada asociada a disminución progresiva del defecto interatrial, restringiendo el retorno venoso pulmonar al atrio derecho y provocando hipertensión pulmonar poscapilar, comprometiendo el volumen ventricular sistólico e infravalorando la obstrucción pulmonar por ambas alteraciones hemodinámicas. Se realizó atrioseptostomía exitosa, mejorando los datos clínicos y ecocardiográficos de falla cardíaca. De no haber existido obstrucción pulmonar hubiese estado indicado el cerclaje de la arteria pulmonar para proteger la circulación pulmonar de la hipertensión pulmonar.









text new page (beta)


