INTRODUCTION
The studied foraminiferal assemblage in the Chiapas Central Depression was sampled west of Ocozocoautla town in rocks of the Ocozocoautla Formation and Angostura Formation. Here the Ocozocoautla Formation unconformably overlies the Suchiapa Formation, differentiated by Michaud (1987) on top of the predominantly Early and mid-Cretaceous Sierra Madre Formation. The Ocozocoautla Formation is composed of siliciclastic rocks, quartz conglomerates in its basal proximal part changing to finer grained rocks upwards and distally, and some carbonate intercalations. Here the Angostura Formation unconformably overlies the Ocozocoautla Formation, with quartz microconglomerate intervals indicating erosion from a brief subaereal exposure and even a red argillaceous interval developed between the two formations. The Angostura Formation mainly consists of carbonate rocks with grainstone, packstone, and wackestone textures.
Macrofossils from the area are abundant and diverse: rudist bivalves have been reported from both formations (Müllerried, 1931, 1934; Chubb, 1959; Alencáster, 1971; Alencáster and Pons, 1992; Pons et al., 2016, 2019); inoceramid bivalves and/or ammonites from the Ocozocoautla Formation (Michaud, 1984; Bolaños and Buitrón, 1984; Alencáster and Omaña, 2006; Pons et al. 2016); bivalves and gastropods (Buitrón et al., 1995); corals (Filkorn et al., 2005; Löser, 2012), crustaceans (Vega et al, 2001, 2018; Hyžný et al, 2013), and vertebrate remains (Carbot-Chanona and Rivera-Sylva, 2011; Carbot-Chanona and Than-Marchese, 2013). Larger foraminifera are abundant in both the Ocozocoautla and Angostura formations (Ayala-Castañares, 1963; Michaud, 1987; Rosales-Domínguez et al., 1997; Omaña and Pons, 2003; Vicedo et al., 2013). Planktic foraminifera have been reported from the beds with inoceramids of the Ocozocoautla Formation (Brönnimann in Chubb, 1959; Michaud, 1984; Omaña, 2006). The benthic and planktic foraminiferal assemblage of the Angostura Formation at the El Coyol section, in the locality type of the formation, has been reported in detail by Omaña and Alencáster (2019).
The Ocozocoautla Formation was first documented by Sapper (1894) in a geological report of the Chiapas region. The term “Gravas Ocozocoautla” was first used in an unpublished report by Page and Pike (1921). This succession was subsequently defined by Gutiérrez Gil (1956) as the “Ocozocoautla Series” and Chubb (1959) later divided it into five formations: Piedra Parada beds, San Luis Conglomerate, Nuevo beds, Campeche beds and Carretera Formation. More recently, Sánchez-Montes de Oca (1969) claimed that the division proposed by Chubb (1959) is questionable because the lithological variation corresponds to different facies within the same formation. The name of Angostura Formation was proposed by Sanchez-Montes de Oca (1969) for a shallow-water limestone section located north of the Angostura dam, 50 km SE of Tuxtla Gutiérrez, Chiapas.
The objective of this work is to make a complete report of the occurrence of larger benthic foraminifera in the Ocozocoautla and Angostura formations from the samples collected in the Ocozocoautla area (Tuxtla Gutiérrez basin), considering that they are a useful tool for dating shallow-water sedimentary successions as well as providing a valuable means of inferring the depositional environment together with the microfacies interpretation. In addition, a planktic foraminiferal association is analyzed to support the age assignment for the Ocozocoautla unit. The paleobiographic distribution of benthic larger foraminifera is evaluated.
GEOLOGICAL SETTING
The state of Chiapas in southeastern Mexico belongs to the Maya Block, which also includes Belize and northern Guatemala. The Maya Block is bounded to the south by the Polochic-Motagua sinistral fault system, the boundary between the North American and Caribbean plates (Fourcade et al., 1999). The geological evolution and depositional framework of this region is closely related to the opening of the Atlantic Ocean and the Gulf of Mexico in the middle Jurassic. According to Michaud and Fourcade (1989), the Jurassic sedimentation is interpreted within the rift model. The first marine sediments, the San Ricardo Formation deposited in the Oxfordian, correspond to the syn-rift phase. A post-rift phase occurred during the Kimmeridgian, with the development of a carbonate platform (Scott, 1984; Salvador, 1991). A subsident basin, present during the Tithonian, was filled until the Neocomian. After the Neocomian regression, a new marine transgression flooded the Chiapas batholith, forming a broad Albian-Cenomanian carbonate platform (Sierra Madre Formation).
According to Michaud (1987) and Michaud and Fourcade (1989), the sedimentation in the upper Campanian-Maastrichtian occurred after the fragmentation of the middle Cretaceous platform, which gave rise to several blocks, each following a different tecto-sedimentary evolution. In the Chiapas Central Depression, a drowned block (Tuxtla Gutiérrez Block) was limited by the emerged Sierra Madre de Chiapas basement and a raised block (Angostura Block), thus constituting the Tuxtla Gutiérrez basin. This basin, deepening towards the raised Angostura Block, was filled, receiving terrigenous material from the emerged Sierra Madre. Over the limestone on top of the Sierra Madre Formation (Suchiapa Formation), conglomerate, sandstone, and sandy marl were deposited landwards (Ocozocoautla Formation), while pelagic limestone (Jolpabuchil Formation) was deposited basin-wards, including calcareous breccia close to the raised Angostura Block. At the upper part of the Ocozocoautla Formation, a rudist-bearing limestone horizon was followed by a coarse terrigenous input, and a marginal shallow carbonate platform (Ocuilapa Platform, Angostura Formation) was installed above, surrounded by a belt of cross-bedded sandy bioclastic limestone (Juan Crispín Formation) prograding basin-wards on the Ocozocoautlaand Jolpabuchil formations. On the raised Angostura Block, an insular shallow carbonate platform (Angostura Platform, Angostura Formation) was installed directly above the Sierra Madre Formation (Suchiapa Formation); a bauxite interval commonly occurs at the boundary (Pons et al., 2016).
The Ocozocoautla Formation (in the Tuxtla Gutiérrez Block) and the Angostura Formation (although in the Angostura Block) unconformably overlie the Sierra Madre Formation (Suchiapa Formation). The two formations were erroneously considered lateral equivalents and were supposedly interfingering each other (Sánchez-Montes de Oca, 1969; Mandujano Velasquez and Vázquez Meneses, 1996). The biostratigraphic data in Pons et al. (2016) definitively cleared up the issue; the Angostura Formation is younger than the Ocozocoautla Formation in this area.
MATERIAL AND METHODS
The 20 samples used in this study were collected during a survey revisiting the rudist localities of the Upper Cretaceous in the Chiapas Central Depression (Figure 1). In the Campo de Tiro section (16°46’55.41’’ N, 93°22’52.49’’ W), in the Cuesta NW of Ocozocoautla, samples P-740 to P-743 were collected close below the rudist horizon, characterizing the middle rudist assemblage in Pons et al. (2016. p. 217) in the Ocozocoautla Formation; sample P-744, 70 m up-section, already corresponds to the base of the Angostura Formation. Sample P-754, Ocozocoatla Formation, was collected at Camino a las Choapas (16°53’22.27’’ N, 93°25’35.72’’ W), at km 178.2 on Highway 145 from Ocozocoautla to las Choapas. At Rancho La Peregrina (16°48’38.12’’ N, 93°22’11.27’’ W), at km 189 on Highway 145 from Ocozocoautla to las Choapas, samples P-745 to P-747, P-760 were collected, corresponding to the upper rudist assemblage in Pons et al. (2016, p. 217), Angostura Formation. At Cerro Testigo (16°46’33.49’’ N, 93°19’23.37’’ W), at km 195.5 on Highway 145 from Ocozocoautla to las Choapas, samples P-749, P-750, P-752, P-753, P-755, P756, P-758, P-759, P-762 were collected, corresponding to the upper rudist assemblage in Pons et al. (2016), Angostura Formation (Figure 2).
The 20 samples, marl and limestone, were processed and analyzed by means of 40 thin sections. The study of both the larger benthic and the planktic foraminifera are well preserved, allowing their identification age assignment according to the planktic zonal schemes for tropical regions (Premoli Silva and Sliter, 1995; Premoli Silva and Verga, 2004, Butterlin, 1981) microfacies and the benthic foraminiferal association enabled the paleoenvironment interpretation following to Flügel (2010). Paleobiogeographic distribution of these microfossils was also reviewed.
RESULTS
Ocozocoautla Formation
The limestone samples collected from the Ocozocoautla Formation contain orbitoidal larger benthic foraminifera such as Pseudorbitoides rutteni Brönnimann, P. trechmanni Douvillé, Ayalaina rutteni (Palmer) also Sulcoperculina dickersoni (Palmer), S. vermunti (Thiadens), S. globosa de Cizancourt, Nezzazatinella picardi (Henson).
The planktic foraminifera are diversified and significant from the biostratigraphic point of view, being Gansserina gansseri (Bolli), Contusotruncana walfishensis (Todd), Globotruncana arca (Cushman), G. bulloides Vogler, G. linneiana (d’Orbigny), Globotruncanita conica (White), G. pettersi (Gandolfi), Rugoglobigerina macrocephala Brönnimann, R. hexacamerata Brönnimann, Muricohedbergella holmdelensis (Olsson), Planoglobulina carseyae (Plummer), Pseudotextularia elegans (Rzehak), Globotruncanella sp., Pithonella sphaerica (Kaufmann, 1865).
Angostura Formation
The Angostura Formation includes a benthic foraminiferal association composed of Praechubbina breviclaustra Fourcade and Fleury, Praechubbina oxchucencis Vicedo et al., Orbitoides browni (Ellis), Chubbina jamaicensis Robinson, C. macgillavryi Robinson, Smoutina cruysi Drooger, Valvulina cf. V. triangularis d’Orbigny, Cuneolina ketini Inan, Fleuryana adriatica De Castro, Drobne and Gušić, Vaughanina cubensis Palmer. In addition, the dasycladacean algae Acroporella chiapasis Deloffre, Fourcade and Michaud and Neogyroporella? servaisi Michaud.
Biostratigraphy
The biostratigraphic significance of the planktic foraminifera, as well as of the larger benthic foraminifera, is widely recognized, as they are an important tool for dating marine sedimentary rocks, so they enable us to assign an age to the samples studied.
We identified the following zones from the Ocozocoautla and Angostura formations (Figure 2).
Pseudorbitoides rutteni-Ayalaina rutteni Assemblage Zone (Ocozocoautla Formation, Sample P-740-P-743)
Definition. This zone is characterized by the assemblage of Pseudorbitoides rutteni Brönnimann, Ayalaina rutteni (Palmer) and Pseudorbitoides trechmanni Douvillé. Also contains Sulcoperculina dickersoni (Palmer), S. vermunti (Thiadens), S. globosa de Cizancourt (Figures 3a - 3i).
Age. The stratigraphic distribution of pseudorbitoids is stated to be of Campanian-Maastrichtian; however, Pseudorbitoides rutteni Brönnimann is dated to early Maastrichtian age (Seiglie and Ayala-Castañares, 1963, p. 46). Renz (1955. p. 54) indicated that S. globosa de Cizancourt is a common species in the Venezuelan Maastrichtian. We assume that this zone could be of earliest Maastrichtian because underlies the Gansserina gansseri Interval Zone of early Maastrichtian age.
Remarks. This zone is proposed in this paper as local zone based on the benthic foraminiferal association.

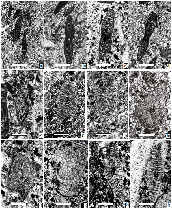
Figure 3. Larger foraminifera from Ocozocoautla Formation, scale bar 250 µm. a) Ayalaina rutteni (Palmer) and Pseudorbitoides; axial sections (Sample P-740). b) Ayalaina rutteni (Palmer), axial section; c), d) subaxial section (Sample P-740). e), f), g), h), and i) Pseudorbitoides rutteni Brönnimann; e) axial section of juvenile specimen; f), g) axial section; h) subequatorial section; i) tangential section (Sample P-740). j), k), and l) Pseudorbitoides trechmanni Douvillé; j) subequatorial section; k) l) subaxial section (Sample P-740).
Gansserina gansseri Interval Zone upper part (Ocozocoautla Formation, Sample P-754a-P-756)
Definition. Interval with the zonal marker Gansserina gansseri (Bolli). The lower boundary of the Gansserina gansseri Interval Zone has been defined by the First Occurrence (FO) of the nominal fossil. The upper limit was placed by the FO of Racemiguembelina fructicosa (Egger) according to Premoli Sivla and Sliter (1995), Premoli Silva and Verga (2004), Coccioni and Premoli Silva (2015).
Age. Latest Campanian-early Maastrichtian.
Remarks. According to Caron (1985) this zone is considered as of the late Maastrichtian. Subsequently, Premoli Silva and Sliter (1995) and Premoli Silva and Verga (2004) regarded it as latest Campanian-early Maastrichtian age.
In this paper we identified Gansserina gansseri (Bolli) associated with Globotruncanita conica, (White), Rugoglobigerina hexacamerata Brönnimann, R. macrocephala Brönnimann, Pseudotextularia elegans (Rzehak), and Planoglobulina carseyae (Plummer) (Figure 4a - 4h), these species appear in the upper part of the zone as has been cited by Premoli Silva and Sliter (1995); Premoli Silva and Verga (2004), Coccioni and Premoli Silva (2015), so an early Maastrichian age is assigned.

Figure 4. Planktic foraminifers from Ocozocoautla Formation. Scale bar 50 µm. a) Gansserina gansseri (Bolli) (Sample P-754). b) Rugogoglobigerina macrocephala Bronnimann, axial section (Sample P-754). c) Planoglobulina carseyae (Plummer), axial section (Sample P-754). d) Pseudotextularia elegans (Rzahak), (Sample P-754). e) Globotruncana arca (Cushman), axial section (Sample P-754). f) Globotruncana linneiana (d’Orbigny), axial section (Sample P-754). g) Globotruncanita conica (White), axial section (Sample P-754). h) Globotruncanita pettersi (Gandolfi), Axial section (Sample P-754). i) Globotruncanella sp. axial section (Sample P-756).
Additionally, Pons et al. (2016) reported ammonites from the Ocozocoautla Formation including Pachydiscus (P.) neubergicus (Hauer) that indicates an early Maastrichtian, the FO of this ammonite is considered to mark the base of the Maastrichtian (Odin and Lamaurelle, 2001, Ogg et al., 2012, p. 806).
Praechubbina breviclaustra Interval Zone (Angostura Formation, Sample P-744)
Definition. Interval from the FO of Praechubbina breviclaustra and the FO of Chubbina jamaicensis, it is characterized by a community mostly composed of the Praechubbina breviclaustra, Fourcade and Fleury, P. oxchucencis Vicedo et al. and Nezzazatinella picardi (Henson) (Figures 5a - 5h).
Age. Early late Maastrichtian age.
Remarks. Praechubbina breviclaustra was described by Fourcade and Fleury (2001) from the Campanian Angostura Formation. Vicedo et al. (2013) described Praechubbina oxchucencis from the Angostura Formation assigning it to late Campanian-early Maastrichtian. In our material, the interval with both species overlays the Gansserina gansseri Zone and underlies the Chubbina jamaicensis Zone therefore we give an early late Maastrichtian age.

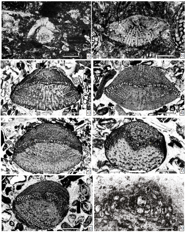
Figure 5. Larger foraminifera from Angostura a)-g) and benthic foraminifera, planktic and pithonellid from Ocozocoautla Formations j)-h); scale bar 200 µm. a) b) and c) Praechubbina oxchucencis Vicedo et al. axial sections (Sample P-744). e) f) and g) Praechubbina breviclaustra Fourcade and Fleury, equatorial sections (Sample P-744). h) Nezzazatinella picardi (Henson). (Sample P-744). i) Vaughanina cubensis Palmer (Sample P-743). j) Heterohelix sp. (Sample P-741) 100 µm. k) Muricohedbergella holmdelensis (Olsson) (Sample P-741), scale bar 100 µm, Ocozocoautla Formation. h) Pithonella sphaerica (Kauffmann) (Sample P-741), scale bar 100 µm, Ocozocoautla Formation.
Chubbina jamaicensis Total Range Zone (Angostura Formation, Samples P-745 to P-749 and P-759 to P-762)
Definition. Total range of the nominal fossil.
Age. Late-latest Maastrichtian.
Chubbina jamaicensis was described for the first time by Robinson (1968) from the Cretaceous rocks of Jamaica, reporting that it is in the Guinea Corn Formation, associated with Titanosarcolites rudist fauna. Butterlin (1981) proposed a Chubbina Zone for the Campanian-Maastrichtian. Later, Mitchell (2005) commented that the first appearance of this genus is probably an important regional bioevent for dating the late Maastrichtian of the Greater Caribbean Region (the Antilles, Florida, Central America and northern South America). In addition, Chubbina macgillavryi Robinson is also considered to be a latest Maastrichtian marker (Vicedo et al., 2013, Figure 4). Other benthic larger foraminifera were also used for dating this interval, such as Orbitoides browni, which was described for the first time as Gallowayina browni by Ellis (1932) from Cuba, and later placed in the Orbitoides genus by Vaughan (1934), who found it associated with Omphalocyclus macroporus (Lamarck) on the Anaya River near Santa Clara, Cuba. Palmer (1934a) confirms Vaughan’s observation, inferring that the stratigraphic distribution of Orbitoides browni (Ellis) is restricted to the late Maastrichtian. Seiglie and Ayala-Castañares (1963) and Ayala-Castañares (1963) also proposed a late Maastrichtian age as established previously.
Remarks. This zone contains a rich association of larger benthic foraminifera and algae composed by Chubbina jamaicensis Robinson, C. macgillavryi Robinson, Orbitoides browni (Ellis), Smoutina cruysi Drooger, Valvulina cf. V. triangularis d’Orbigny, Cuneolina ketini Inan, Fleuryana adriática De Castro, Drobne and Gušić. In addition, the dasycladacean algae Acroporella chiapasis Deloffre, Fourcade and Michaud, Neogyroporella? servaisi Michaud (Figures 6, 7, 8, 9).

Figure 6. Larger foraminifera from Angostura Formation, scale bar 250 µm. a) Chubbina macgillavryi Robinson, Equatorial sections(Sample P-747). b) Chubbina macgillavryi Robinson, equatorial sections(Sample P-746). c) Chubbina jamaicensis Robinson, equatorial sections (Sample P-747). d) Chubbina jamaicensis Robinson, equatorial sections (Sample P-746). e) Chubbina macgillavryi Robinson, equatorial sections (Sample P-745). f) Chubbina jamaicensis Robinson, equatorial sections (Sample P-760). g), and h) Acroporella chiapasis Deloffre, Fourcade y Michaud (Sample P-760). i) Hemicyclammina sp. (Sample P-746). j) Valvulina cf. V. triangularis d’ Orbigny (Sample P 7).

Figure 7. Benthic foraminifera and algae from Angostura Formation, scale bar 250 µm. a) and b) Chubbina jamaicensis Robinson, axial sections of a microspheric form (Sample P-749). c) Chubbina jamaicensis Robinson, equatorial sections of megalospheric form and Smoutina cruysi Drooger (Sample P-749). d), and e) Neogyroporella? servaisi Michaud, longitudinal and axial sections (Sample P-749). f) Fleuryana adriatica De Castro, Drobne and Gušić, equatorial section (Sample P-749). g) Cuneolina ketini Inan (Sample P-749).

Figure 8. Larger foraminifera from Angostura Formation, scale bar 200 µm. a) Sulcoperculina globosa de Cizancourt, axial section (Sample P-752). b) Smoutina cruysi Drooger, axial section (Sample P-749). c) Orbitoides browni (Ellis), axial section; d), e) Subaxial sections; f), g) Tangential sections; h) Axial section of the embryonic apparatus (Sample P-750).

Figure 9. Larger foraminifera from Angostura Formation, scale bar 200 µm. a) Sulcoperculina dickersoni (Palmer), axial section (Sample P-752 ). b) Sulcoperculina globosa de Cizancourt, axial section (Sample P-752 ). c) Sulcoperculina vermunti (Thiadens), equatorial section (Sample P-752 ). d) Vaughanina cubensis Palmer, subaxial (Sample P-752 ). e) Smoutina cruysi Drooger, axial section (Sample P-758).
Paleoecology
The tropical and subtropical distribution of Recent larger foraminifera is controlled by environmental parameters such as light penetration until 150 m in clear waters; nutrient availability, turbidity, water depth, water temperature, and salinity (Hallock, 1984, 1988; Hallock and Glenn, 1986; Leutenegger, 1984; Hohenegger, 2000, 2004).
The extant species host photosynthetic algae as symbionts. This form of symbiosis is only effective in warm, oligotrophic environment within the photic zone. In modern seas symbiont-bearing foraminifera are restricted to areas with a minimum sea surface temperature of 16 °C in the coldest month (Langer and Hottinger, 2000). It could be inferred that the larger foraminifera in the Mesozoic had a similar distribution (Hohenegger, 2004, BouDhager-Fadel, 2008).
In addition, the ecology of larger fossil foraminifera with recent forms can be interpreted from the test architecture so Chubbina could be compared with the recent relatives for example with algal symbiont-bearing alveolinids, that inhabited shallow-water marine conditions in a warm climate (Hohenegger, 2000, 2004; Renema, 2002).
On the other hand, Langer (1993) suggests that Chubbina is comparable to the modern peneroplid morphotypes that probably lived as seagrass dwellers. Den Hartog (1970) claimed that Angiosperm seagrasses have been in existence since the Cretaceous, thus the first description of fossil sea grasses was from the early Campanian of the Netherlands by Debey (1848, 1851). Voigt and Domke (1955) reported Thalassocharis bosquetii Debey ex Miquel from the Late Maastrichtian of the Netherlands (in Van der Ham et al., 2007). Eva (1980) suggests that forms such as Chubbina and Ayalaina were adapted to a seagrass habitat.
Orbitoides with their biconvex morphology, may have either been living in seagrass areas or in slightly deeper water (Hottinger, 1997; Renema and Hart, 2012).
Pseudorbitoides, Vaughanina and Sulcoperculina inhabited warm shallow-water from moderate to high energy environment as suggest Goldbeck and Langer (2009).
Fleuryana adriatica and Cuneolina ketini dwelled in a protected environment (lagoon) as indicated by Inan et al. (2005, p. 372).
Microfacies from the Ocozocoautla Formation
-
Foraminiferal-lithoclastic grainstone with Pseudorbitoides rutteni Brönnimann, Sulcoperculina dickersoni (Palmer), S. vermunti (Thiadens), and Ayalaina rutteni (Palmer), the matrix consists of angular fine sand sized quartz grains (Samples P-740 and P-743), (Figures 10a, 10b).
Both the lithology and the faunal content suggest a warm shallow-water platform deposit with abundant siliciclastic input. Pseudorbitoides also inhabited a high-energy environment in turbulent waters with an increase of siliciclastic deposit, as has been stated by Seiglie and Ayala-Castañares (1963).
-
Wackestone with planktic foraminifera: Gansserina, Contusotruncana, Globotruncana, Globotruncanita. (Sample P-754) (Figure 10c).
An open hemipelagic marine influence with moderate to high energy can be inferred from the presence of planktic forms, it could be equivalent to SMF 3 of Flügel (2010).

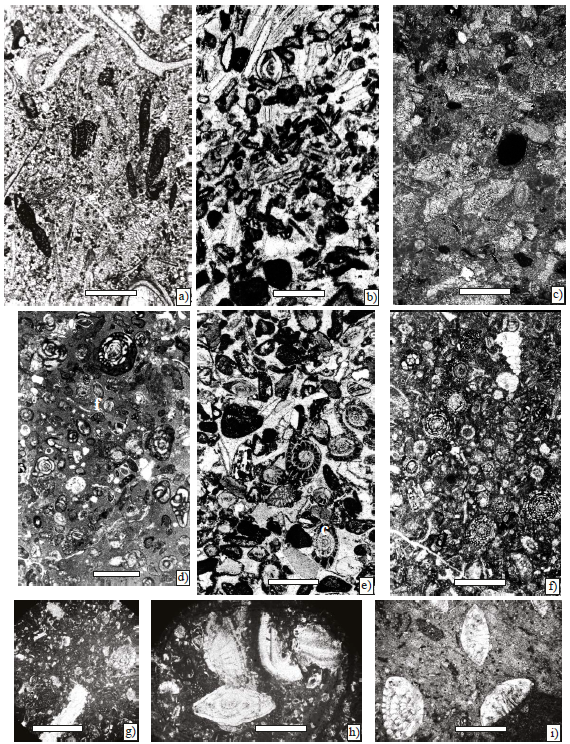
Figure 10. Microfacies, scale bar 100 µm. a) Foraminiferal-lithoclastic grainstone with Ayalaina, Peudorbitoides (Sample P-740). b) Foraminiferal-lithoclasticgrainstone with Sulcoperculina (Sample P-743). c) Planktic foraminiferal wackestone (Sample P-754). d) Foraminiferal wackestone with Praechubbina, Nezazzatinella (Sample P-744). e) Foraminiferal grainstone with Orbitoides, Sucoperculina, Vaughanina and gastropods (Sample P-750). f) Foraminiferal-algal wackestone with Chubbina, Smoutina, Valvulina, Nezzazatinella, Fleuryana, Cuneolina, algae Acroporella and gastropods (Samples P-747). g) Wackestone-packstone with Sucoperculina, Vaughanina, Nezzazatinella (Sample P-752). h), and i) Foraminiferal wackestone with an association mostly composed by Smoutina cruysi Drooger, as well as Sulcoperculina and Valvulina (P-758).
Microfacies from the Angostura Formation
The following microfacies are referred to the SMF 18 characterized by abundant benthic foraminifera and algae (Flügel, 2010, p. 721).
-
3. Foraminiferal wackestone with Praechubbina, and Nezazzatinella (Sample P-744) (Figure 10d).
The fine grained of the matrix and the presence of Praechubbina which as other alveolinids flourished in shallow-water low energy lagoon environment.
-
4. Lithoclastic grainstone with Orbitoides, Sucoperculina, Vaughanina and gastropods (Sample P-750) (Figure 10e).
Orbitoides commonly occurs together with specimens of the genus Sulcoperculina. It is inferred that the genus Orbitoides inhabited a deeper environment, as indicated by Hohenegger (1999), and ranged into the upper photic zone at depths of about 40-80 m (Hottinger, 1997). In addition, the Orbitoides morphology, showing a thick lenticular test and terrigenous presence, suggests a high-energy open marine environment as proposed by Caus (1988) and Caus et al. (2002).
-
5. Foraminiferal-algal packstone-wackestone with alveolinids such as Chubbina, in addition to Smoutina, Valvulina, Nezzazatinella, Fleuryana, Cuneolina and algae Acroporella and Neogyroporella? (Samples P-746-P-749) (Figure 10f).
This foraminiferal association thrived in a soft substrate characterized by wackestone indicating a shallow protected lagoon environment with low hydrodynamic energy, within the euphotic zone indicated by the presence of algae (Deloffre et al., 1985; Michaud 1988).
Chubbina has previously been regarded as a dweller of this environment (Hamaoui and Fourcade, 1973; Robinson, 1968; Eva, 1980). Fleuryana adriatica De Castro, Drobne and Gušić flourishes in a foraminiferan-dasycladacean soft substrate wackestone-packstone type into a shallow protected platform with low water energy (lagoon) as indicated by Schlagintweit and Rashidi (2016, p. 65).
Cuneolina ketini Inan inhabited lagoon environments associated with other species as Fleuryana adriatica De Castro, Drobne and Gušić in Slovenia (Inan et al., 2005, p. 372).
-
6. Wackestone-packstone with Sucoperculina, Vaughanina, Nezzazatinella (Sample P-752) (Figure 10g).
Sulcoperculina shows a wide range of adaptation, since it can live in a shallow open marine environment with highwater energy and the presence of siliciclastics (Golbeck and Langer, 2009).
Vaughanina is frequently associated with Sulcoperculina in a high-energy environment with abundant detritical particles. Seiglie and Ayala-Castañares (1963) thus conclude that the genera of the family Pseudorbitoididae lived in an environment with high water energy.
-
7. Foraminiferal wackestone with an association mostly composed by Smoutina, as well as Valvulina and Sulcoperculina (P-758) (Figures 10h and 10i).
The textured limestone suggests a lower energy lagoon environment with a reduced foraminiferal diversity.
Paleobiogeography
The planktic foraminiferal association consists of diversified groups such as keeled, trochospiral, planispiral, biserial, and multichambered forms, corresponding to the Tethysian Province (Premoli Silva and Sliter, 1999).
The larger foraminifera identified in the area as Ayalaina rutteni (Palmer), Sulcoperculina dickersoni (Palmer), S. vermunti (Thiadens), S. obesa de Cizancourt, Pseudorbitoides rutteni Brönnimann, P. trechmanni Douvillé, Chubbina jamaicensis Robinson, C. macgillavryi Robinson, and Smoutina cruysi Drooger, Orbitoides browni (Ellis) are fossils which are well known as endemic forms of the Caribbean region and adjacent areas from the Bahamas (Hottinger, 1972); Mexico (Butterlin, 1981; Michaud, 1987; Rosales-Domínguez et al., 1997; Omaña, 2006; Omaña and Alencaster, 2019); Guatemala (Scott, 1995; Fourcade et al., 1999); Belize (Schafhauser et al., 2003); Cuba (Ellis, 1932; Palmer, 1934; 1934a; Vaughan, 1934; Voorwijk, 1937; Seiglie and Ayala-Castañares, 1963); Jamaica (Cole and Applin, I970; Krijnen, 1970; Mitchell, 2005); Haiti (Butterlin, 1956); Costa Rica (Jaccard et al., 2001; Baumgartner-Mora and Percy, 2002); Venezuela (de Cizancourt, 1949; Renz, 1955); Colombia (Caudri, 1948, p. 447). Additionally, these genera have been reported on Pacific islands (Beckmann, 1976; Premoli Silva and Brusa, 1981; Premoli Silva et al., 1995).
In addition, Tethysian benthic foraminifera are also registered in the Angostura Formation, such as Cuneolina ketini Inan, Fleuryana adriática De Castro, Drobne and Gušić, and have also been recorded from Italy and Slovenia by Caffau et al. (1998), Tewari et al. (2007), and Moro et al. (2018); in SW Slovenia (Ogorolec et al., 2007); Turkey (Inan and Inan, 2009; Solak et al., 2017); in Algeria (Tawadros, 2012, p. 448); in Iran, by Schlagintweit and Rashid (2016). In the New World Fleuryana adriatica has been recorded in Guatemala by Fourcade et al., 1999,) (Figure 11).
DISCUSSION
The term “Gravas Ocozocoautla” has a long history since it was first used by Sapper (1894), and subsequently mentioned by Page and Pike (1921) in an unpublished report; later Gutiérrez Gil (1956) and Chubb (1959) also published about this unit. The dating of the unit is controversial, since Brönnimann (in Chubb, 1959) assigned a probable Campanian age to the microfauna of the basal Piedra Parada from the Ocozocoautla Formation. After, Sánchez-Montes de Oca (1973, p. 14) indicated that the Ocozocoautla Formation has a reduced geographical distribution limited NW of the central Chiapas Depression and revealed that this formation interfingered with the Angostura Formation towards the southeast of the town of Ocozocoautla. This author points to that in the Turipache section, the Ocozocoautla Formation contains inoceramids and ammonites. Based on a study of the ammonites, a Campanian and part of Maastrichtian age was determined in the section before mentioned.
The term Angostura Formation was proposed by Sánchez-Montes de Oca (1973, p. 16) and the Coyol section located 50 km SE of Tuxtla Gutierrez as type locality. The unit spreads towards the NE of Chiapas State, and two foraminiferal biostratigraphic zones were recognized: one of orbitoids and other one of alveolinids of Campanian-Maastrichtian age.
Later, Michaud (1987, p. 171) analyzed the planktic foraminifera from washed samples from the interval with inoceramids of the Ocozocoautla Formation and dated it as late Campanian-Maastrichtian. He characterized the Angostura Formation by the presence of Chubbina jamaicensis Robinson and indicated that it could be of Campanian-Maastrichtian, although in the Ocozocoautla and El Naranjo sections Chubbina jamaicensis Robinson was found over the planktic levels, so it was assigned to the Maastrichtian age.
Mandujano Velázquez and Vásquez Meneses (1996) and Rosales-Domínguez et al. (1997) agreed with the proposal of Sánchez-Montes de Oca (1973) with respect to the stratigraphical relationships and age of the Ocozocoautla and Angostura formations.
Omaña (2006) studied the planktic foraminifera obtained from chemical treatment of samples of the inoceramid beds of the Ocozocoatla Formation, dating it as early Maastrichtian (upper part of the Gansserina gansseri Interval Zone), assigning a precise age to these strata. Omaña and Alencaster (2019) reported late-latest Maastrichtian larger foraminifera at locality type of the Angostura Formation from samples collected by Quezada-Muñetón (Petróleos Mexicanos retired geologist).
Pons et al. (2016) considered that the Angostura Formation overlies the Ocozocoautla unit, based on paleontological studies (rudists and ammonites) in the studied region and the fact that they are not laterally equivalent as was documented in previous works (Sánchez-Montes de Oca, 1969; Mandujano Velázquez and Vásquez Meneses,1996 and Rosales-Domínguez et al., 1997).
This paper is a significant contribution because we defined the foraminiferal biostratigraphy during the deposit of the Ocozocoautla and Angostura formations, presenting an accurate dating of the two units. We assigned the former an earliest-early Maastrichtian age and the second a late-latest Maastrichtian age, in contrast to the view previously expressed in the literature, which has often indicated undifferentiated Campanian-Maastrichtian.
CONCLUSIONS
The Ocozocoautla Formation contains a community composed of benthic larger foraminifera, Pseudorbitoides rutteni Brönnimann, P. trechmanni Douvillé, Ayalaina rutteni (Palmer) also Sulcoperculina dickersoni (Palmer), S. vermunti (Thiadens), S. globosa de Cizancourt, Nezzazatinella picardi (Henson) and stratigraphically significant planktic foraminifera such as Gansserina gansseri (Bolli), Contusotruncana walfishensis (Todd), Globotruncanita conica (White), G. pettersi (Gandolfi), Rugoglobigerina macrocephala Brönnimann, R. hexacamerata Brönnimann, Pseudotextularia elegans (Rzehak), Planoglobulina carseyae (Plummer). Two zones were recorded: the Pseudorbitoides rutteni-Ayalaina rutteni Assemblage Zone of earliest Maastrichtian and the upper part of the Gansserina gansseri Interval Zone of early Maastrichtian age.
The Angostura Formation comprises an assemblage composed of dasycladacean algae such as Acroporella chiapasis, Deloffre, Fourcade and Michaud, Neogyroporella? servaisi. Michaud, as well as larger foraminifera Chubbina jamaicensis Robinson, C. macgillavryi Robinson, Orbitoides browni, (Ellis), Fleuryana adriática De Castro, Drobne and Gušić, Cuneolina ketini, Inan, and Valvulina cf. V. triangularis d’Orbigny. Two zones were identified: Praechubbina breviclaustra Interval Zone of early late Maastrichtian and Chubina jamaicensis Total Range Zone of late-latest Maastrichtian.
A variety of microfacies changing from grainstone to wackestone-packstone to wackestone, with different foraminiferal associations, indicate the development of various environments from to an open marine setting with planktic foraminifera with high water energy in the Ocozocoautla Formation to a restricted carbonate shallow-water environmentfrom the Angostura Formation.
The foraminiferal association in these units contains mostly endemic genera such as Pseudorbitoides, Ayalaina, Praechubbina, Chubbina, Sulcoperculina, Vaughanina, which are restricted to the Upper Cretaceous deposits from the Caribbean Province including Mexico, Guatemala, Cuba, Florida, Jamaica, Puerto Rico and Venezuela and some localities in the Pacific region, as well as Orbitoides browni (Ellis), which is regarded as an American species.
Some Tethysian species have been identified in the Angostura Formation, which previously have been recorded from Italy, Slovenia Tukey, Iran and Algeria.




![Correction to emplacement of Paleocene-Eocene magmatism under transtensional regime and its evolution to a dynamic equilibrium on the western edge of Colombia [Rev. Mex. Cienc. Geol., 37-3 (2020), 250-268]](/img/en/next.gif)





text new page (beta)





