ANTECEDENTES
El angiomiofibroblastoma es una neoplasia mesenquimatosa benigna, relativamente infrecuente de crecimiento lento y de causa desconocida. Suele afectar, con mayor frecuencia, al aparato genital inferior de mujeres jóvenes y de mediana edad. 1Si bien el angiomiofibroblastoma suele surgir en la vulva, también puede aparecer en el periné, la vagina y el retroperitoneo. En el hombre puede encontrarse en el escroto y cordón espermático y, ocasionalmente, en la región inguinoescrotal, el escroto y el cordón espermático en hombres.2 El diagnóstico preoperatorio de esta neoplasia es complejo debido a que sus manifestaciones clínicas y características histopatológicas pueden parecerse a las de otros tumores vulvares, pero con un comportamiento biológico y pronóstico diferentes. Por ende, su diagnóstico diferencial es fundamental. Por lo anterior, el objetivo del estudio fue: describir las características clinicopatológicas de cuatro casos de angiomiofibroblastomas diagnosticados en el Hospital General Universitario de Albacete, España.
MATERIALES Y MÉTODOS
Análisis descriptivo y retrospectivo de pacientes con diagnóstico histopatológico de angiomiofibroblastoma atendidas en el servicio de anatomía patológica del Hospital General Universitario de Albacete entre los meses de enero de 2006 a junio de 2023. Se analizaron las características clínicas, histopatológicas, el tratamiento y el seguimiento.
Con base en los protocolos de la institución, referentes a la publicación de los datos de los pacientes, se recabó el consentimiento escrito de las pacientes para permitir su publicación.
RESULTADOS
Se analizaron 1919 biopsias vulvares y 824 biopsias vaginales de angiomiofibroblastomas notificados en un periodo de 17 años. Los detalles clínicos más relevantes de los casos se destacan en el Cuadro 1. Del total de muestras vulvares, 271 (14.12%) correspondieron a neoplasias malignas, 1323 (68.94%) a neoplasias benignas y 325 (16.93%) a lesiones displásicas (Figura 1). En las muestras vaginales se identificaron 92 neoplasias malignas (11.16%), 517 (62.74%) neoplasias benignas y 215 (26.09%) lesiones displásicas (Figura 2). En el grupo de lesiones benignas vulvares se identificaron dos casos de angiomiofibroblastoma que representaron el 0.15% (n = 2), y el 0.10% de todas las neoplasias vulvares. Así mismo, en el grupo de lesiones benignas vaginales se identificaron dos casos de angiomiofibroblastoma, que representaron el 0.38% (n = 2), y el 0. 24% de todas las neoplasias vaginales. La edad media a la aparición del angiomiofibroblastoma fue de 41 años, con límites de 31 y 55 años. El tamaño medio de los angiomiofibroblastomas fue de 2.87 cm (mínimo: 1 cm, máximo: 5 cm). Dos de los cuatro angiomiofibroblastomas se localizaron en la vagina (uno adherido a la pared derecha y otro a la pared posterior). Los otros dos se localizaron en la vulva (uno en el labio mayor izquierdo y el otro en el labio mayor derecho), no hubo lateralidad predominante. Tres de cuatro casos angiomiofibroblastomas fueron asintomáticos. Solo un caso vaginal fue sintomático y se manifestó con sensación de cuerpo extraño en los genitales y coitorragia sin dolor. Se advirtió que los tumores localizados en la vagina eran de mayor tamaño (máximo 5 cm) que los ubicados en la vulva (máximo 2.5 cm). El tiempo de evolución fue de pocos meses para las lesiones vulvares (6 y 9 meses) y de varios años para las lesiones vaginales (2 y 15 años).
Cuadro 1 Resumen de las características clinicopatológicas
| Caso | 1 | 2 | 3 | 4 |
| Edad (años) | 47 | 31 | 55 | 33 |
| Órgano | Labio mayor izquierdo | Labio mayor izquierdo | Vagina | Vagina |
| Tamaño (cm) | 2.5 | 1 | 3 | 5 |
| Pedículo | No | No | No | Sí |
| Manifestación clínica | Asintomático | Asintomático | Asintomático | Sangrado vaginal |
| Método de diagnóstico | Histológico | Histológico | Histológico | Histológico |
| Mitosis | No | No | No | No |
| Necrosis | No | No | No | No |
| Tratamiento quirúrgico | Exéresis completa | Exéresis completa | Exéresis completa | Exéresis completa |
| Seguimiento (meses) | 28 | 24 | 36 | 40 |
En el estudio ecográfico, las lesiones se describieron como lesión de tejidos blandos, de bordes precisos no infiltrativos, sin signos sospechosos de malignidad.
En la exploración ginecológica, los cuatro angiomiofibroblastomas se definieron como lesiones blandas de contorno regular. En una de las lesiones vaginales se identificó un pedículo (1 de 4). Las dos lesiones vulvares se intervinieron quirúrgicamente debido a la sospecha clínica de quiste y fibroma vulvar, respectivamente, mientras que en las dos lesiones vaginales el diagnóstico preoperatorio fue de pólipo endocervical y quiste vaginal. En ninguno de los casos se envió la muestra para estudio histológico intraoperatorio, porque la sospecha clínica fue de lesión benigna.
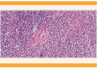
Desde el punto de vista macroscópico, todas las neoplasias correspondieron a lesiones debidamente delimitadas, que al corte mostraban una superficie homogénea de consistencia elástica y coloración variable entre grisácea-violácea. El estudio histológico mostró que todas las lesiones tumorales estaban bien delimitadas, de contorno regular (Figura 3) y se caracterizaban por mostrar un estroma con áreas hipercelulares e hipocelulares, abundantes vasos sanguíneos de tamaño capilar (Figura 4) distribuidos irregularmente en el estroma hialinizado-edematoso. Las células tumorales tenían un núcleo fusiforme u ovoide, con citoplasma eosinófilo, dispuestas en forma de pequeños grupos-nidos, a veces concentrados alrededor de los vasos sanguíneos (Figura 5). La cantidad de mitosis fue muy baja (1 mitosis por 10 CGA) y no se identificaron necrosis tumoral, hemorragia, ni cambios quísticos. En el estudio inmunohistoquímico se observó positividad para los marcadores: vimentina (Figura 6), receptores de estrógeno (Figura 7) y progesterona en todos los casos (4 de 4).

Figura 4 Aspecto microscópico de la neoplasia constituida por frecuentes áreas hipercelulares e hipocelulares con haces de colágeno distribuidos aleatoriamente (HE 10X).

Figura 5 Las células tumorales muestran un núcleo fusiforme u ovoide con citoplasma eosinófilo en forma de pequeños grupos o nidos dispuestos alrededor de los vasos sanguíneos (HE 20X).
En 1 de 4 casos se identificó positividad focal para CD34 en células alrededor de los vasos sanguíneos (Figura 8) y positividad para desmina en 2 de 4 casos. Las células tumorales fueron negativas para: EMA, HMB45, p63, caldesmon, actina 1A4, actina HHF35, beta-catenina, CD117, p53, inhibina, factor XIII-A, S100 y CDK4. El índice proliferativo con Ki67 fue muy bajo (menos del 5%). Las muestras vulvares mostraron un revestimiento epitelial escamoso, sin displasia. El tratamiento de todas las pacientes fue, exclusivamente, quirúrgico con exéresis total del angiomiofibroblastoma. En la actualidad, las cuatro pacientes se encuentran vivas y no se han informado recurrencias en ninguno de los casos. La media de seguimiento de las pacientes fue de 32 meses, posterior al diagnóstico.
DISCUSIÓN
El angiomiofibroblastoma es un tumor mesenquimatoso, benigno, infrecuente, compuesto por fibroblastos y miofibroblastos dentro de un estroma laxo, rodeado de abundantes vasos. 3 Por lo general, el angiomiofibroblastoma aparece en la región vulvovaginal de mujeres jóvenes o de mediana edad, como una lesión nodular, no dolorosa, debidamente circunscrita, de crecimiento lento, con límites bien definidos y no infiltrativos. 4 Su tendencia a la recurrencia es baja, como se comprueba en esta serie. El angiomiofibroblastoma suele medir menos de 5 cm de diámetro5 aunque puede alcanzar hasta 12 cm. 6 La edad promedio a la aparición es de 45 años. 7 En el estudio de imagen, mediante ecografía, el angiomiofibroblastoma se muestra como una tumoración sólida, de límites claros, con flujo Doppler escaso y con ecogenicidad variable. 4 Los hallazgos ecográficos del estudio de los casos fueron similares a los reportados en la bibliografía.
Desde el punto de vista clínico, el angiomiofibroblastoma suele ser asintomático. En la serie que aquí se publica se observó que una de las pacientes consultó por sangrado vaginal poscoito, quizá debido a que su tumor era de un tamaño considerable (5 cm), pediculado y se encontraba muy cerca del introito vaginal. El diagnóstico del angiomiofibroblastoma es un verdadero desafío porque, por su ubicación y aspecto similar a otras neoplasias benignas y malignas, a menudo se diagnostica erróneamente como absceso, lipoma o quiste de la glándula de Bartolino. 8 En general, los tumores mesenquimales pueden originarse del estroma o estar asociados con elementos del órgano sobre el que se asienta la neoplasia, con un origen vascular, muscular, neural o fibroblástico, entre ellos el angiomiofibroblastoma. 9 La mayoría de expertos cree que el angiomiofibroblastoma puede originarse a partir de las células madre pluripotenciales alrededor de los vasos sanguíneos, aunque su origen histológico sigue sin estar claro. 10 Algunos especialistas sugieren que el angiomiofibroblastoma puede ser consecuencia de un daño local, inflamación, hiperplasia del tejido de granulación, estrógenos y otros factores que conducen a una proliferación anormal de células madre en la fibra muscular, que forman un tumor benigno relativamente independiente y con una forma específica. 11 Con frecuencia, las neoplasias mesenquimales de células fusiformes vulvovaginales plantean dificultades diagnósticas para los patólogos debido a sus características histológicas superpuestas. Por lo tanto, el diagnóstico diferencial de esta neoplasia es fundamental.
Desde la perspectiva macroscópica, el angiomiofibroblastoma se manifiesta como un nódulo tumoral de consistencia gomosa, debidamente circunscrito al tejido subcutáneo de la vulva, no suele formar un tumor pediculado, como ocurrió en uno de los casos aquí analizados, lo que es un acontecimiento excepcional; 12 en pocos casos se ha descrito como una gran masa polipoide. 3
Ahora bien, desde el punto de vista microscópico, el angiomiofibroblastoma se caracteriza por ser un tumor bien delimitado, con una pseudocápsula delgada, constituido por una proliferación difusa de miofibroblastos, asociada a una proliferación de abundantes vasos sanguíneos de paredes delgadas, de mediano a pequeño tamaño, distribuidos en grupos. De manera alternativa se evidencian áreas hipercelulares e hipocelulares. En las primeras, las células estromales son gruesas o fusiformes, dispuestas alrededor de los vasos sanguíneos. En las zonas laxas hipocelulares se observan pocas células tumorales, que se distribuyen en un estroma del mixedematoso. No tienen atipias nucleares ni figuras mitóticas. Los cuatro casos aquí reportados correspondieron con las características histopatológicas descritas. En algunos casos el angiomiofibroblastoma puede tener tejido adiposo que, cuando es abundante, puede corresponder a la variante lipomatosa. 13
El diagnóstico diferencial del angiomiofibroblastoma incluye: el quiste del conducto de Gartner, el quiste de inclusión epidérmica, el leiomioma y los pólipos fibroepiteliales, entre las causas más comunes. El diagnóstico definitivo del angiomiofibroblastoma se establece con base en el reporte histológico de la pieza quirúrgica. Desde el punto de vista histológico es muy importante distinguir entre el angiomiofibroblastoma del angiomixoma agresivo, porque con frecuencia pueden diagnosticarse erróneamente en virtud de que comparten similitudes clínicas y microscópicas. 13 El borde circunscrito, las áreas hipocelulares e hipercelulares alternas y los vasos sanguíneos de mediano tamaño y de paredes gruesas son elementos que ayudan a distinguir el angiomiofibroblastoma del angiomixoma agresivo. Puesto que ambas neoplasias tienen proliferación de fibroblastos y miofibroblastos con proliferación marcada de vasos sanguíneos de tamaño mediano o pequeño, su distinción no siempre es sencilla. En el angiomixoma agresivo se han descrito aberraciones clonales que involucran al gen HMGA2, lo que no se ha descrito en el angiomiofibroblastoma. 14
Luego de la exéresis completa, el angiomiofibroblastoma tiene una baja tendencia a la recurrencia local. En cambio, el angiomixoma agresivo tiene una alta probabilidad de recurrencia local debida a la dificultad para extirpar por completo la lesión. Hay recurrencia en 33 al 72% de los casos y es localmente invasivo, con infiltración a la cavidad pélvica, donde a menudo atrapa nervios y glándulas mucosas. 13 El procedimiento quirúrgico del angiomixoma agresivo implica la escisión local amplia, en virtud de la naturaleza infiltrativa de la lesión en comparación con la escisión simple, con márgenes libres del angiomiofibroblastoma. Por lo tanto, antes de decidir la intervención quirúrgica es importante intentar diferenciar entre estas dos neoplasias. En casos realmente excepcionales, el angiomiofibroblastoma puede mostrar células atípicas y alta actividad mitótica (angiomiofibroblastoma malignos) o mostrar áreas realmente sarcomatosas muy parecidas al leiomiosarcoma o al sarcoma pleomórfico indiferenciado (angiomiofibroblastomas desdiferenciados). 14
Desde la perspectiva inmunohistoquímica, las células del angiomiofibroblastoma expresan positividad para los receptores de estrógenos y de progesterona junto con un perfil fibroblástico-miofibroblástico con expresión variable de desmina y actina del músculo liso (hasta un 40% de los casos) y, a veces, para CD34, como se comprobó en la serie aquí reportada. A diferencia del angiomixoma agresivo, que es negativo para desmina y mucho más frecuentemente positivo para CD34 y actina. 15 En el angiomiofibroblastoma, los receptores de estrógeno y progesterona se expresan de manera difusa en las células tumorales, lo que podría sugerir que derivan de células mesenquimales específicas, hormonalmente activas o de células madre perivasculares distribuidas en aparato genital inferior. A pesar de que morfológicamente comparte algunas características con el angiofibroma celular, el miofibroblastoma de tipo mamario y el lipoma de células fusiformes, el angiomiofibroblastoma carece de las alteraciones cromosómicas que se observan comúnmente en esas neoplasias, como la pérdida monoalélica de 13q14. 3
CONCLUSIONES
El angiomiofibroblastoma es una neoplasia poco frecuente; por ello es necesario el diagnóstico histopatológico para diferenciarlo del angiomixoma agresivo, que es una neoplasia localmente invasiva de márgenes infiltrativos y que requiere una exéresis más amplia. La resección quirúrgica es el tratamiento de elección para conseguir la extirpación completa de la lesión. En general, esta neoplasia pronóstico, aun cuando el riesgo de recidiva existe, pero es bajo. Al igual que para otros tumores, el seguimiento debe ser a largo plazo pues la recidiva local, si bien excepcional, puede convertirse en transformación sarcomatosa.










text new page (beta)









