Introducción
El quiste óseo aneurismático (QOA) es un tumor benigno, localizado principalmente en huesos, que consiste en cavidades llenas de sangre revestidas por septos de tejido conectivo1,2. El término «aneurismático» hace alusión a la marcada expansión del tumor y el concepto de «quiste» se refiere a las cavidades llenas de fluido que componen a estas lesiones. Sin embargo se considera a la lesión como una verdadera neoplasia. Los QOA se clasifican como lesiones primarias en un 70% de los casos, con el 30% restante apareciendo como lesiones secundarias a diferentes tumores primarios. Se han propuesto múltiples teorías de la fisiopatología de los QOA, incluyendo etiologías vasculares, traumáticas y genéticas. La edad típica de presentación suele ser en las primeras dos décadas de la vida. Los QOA primarios tienen una baja incidencia, con reportes de 0.14 hasta 0.32 casos por cada 100,000 habitantes, sin predominancia importante entre sexos. Los QOA pueden ubicarse en cualquier sitio esquelético, pero las ubicaciones más comunes incluyen la metáfisis de huesos largos (fémur, tibia, peroné, húmero) y elementos posteriores de la columna vertebral3-5, suponiendo un 6% de todos los tumores óseos primarios y generalmente con desarrollo en la cavidad medular de los huesos, con menor frecuencia en la superficie cortical1,6. Los pacientes con este padecimiento típicamente se presentan con dolor del área afectada de inicio insidioso, inflamación local y presencia de una masa expandible. El dolor agudo de aparición súbita suele encontrarse debido a la presencia de fracturas patológicas. Las lesiones que involucran a la columna vertebral o al cráneo pueden presentar síntomas neurológicos focales (p. ej., parestesias) que acompañan al dolor3,4. El diagnóstico diferencial de estas lesiones es fundamental, ya que en muchos casos puede aparecer con características similares a las de una tumoración maligna, y su respectivo manejo es diferente7. El principal objetivo del tratamiento en estos casos es erradicar la lesión por completo y, al mismo tiempo, conservar la mayor cantidad de hueso sano a manera de lo posible4.
En México son escasos los reportes de este tipo de lesiones, como el realizado por Lima-Ramírez et al. donde describen un caso de QOA en húmero proximal derecho6. También en el trabajo realizado por Romero-Rodríguez et al. se demuestra un caso de QOA asociado a osteosarcoma telangiectásico en fémur derecho2. El objetivo del presente trabajo es incrementar la evidencia y divulgación de casos similares en población mexicana, con énfasis en su identificación y manejo, a partir de la descripción de una paciente con esta condición.
Presentación del caso
Paciente de sexo femenino de 12 años de edad, sin antecedentes de importancia, la cual fue referida a nuestro centro hospitalario con dolor en rodilla izquierda de dos meses de evolución que fue progresivo en frecuencia e intensidad, de predominio por las noches, hasta imposibilitar la actividad física habitual y que no cedió al uso de analgésicos. Se decidió su hospitalización en el departamento de oncología pediátrica para protocolo de estudio de tumoración en rodilla izquierda. Al interrogatorio dirigido refirió pérdida de peso de aproximadamente 1 kg en los últimos dos meses. A la exploración física se encontró aumento de volumen en rodilla izquierda de consistencia dura, no móvil, sin cambios de coloración ni presencia de calor local, con dolor a la palpación en región de tuberosidad anterior de tibia izquierda, arcos de movilidad con extensión limitada, movimientos de flexión conservados, así como también la presencia de marcha claudicante. Se solicitó interconsulta al servicio de traumatología y ortopedia pediátrica para su valoración, quienes solicitaron radiografías en proyecciones anteroposterior (AP) y lateral, las cuales mostraron imágenes radiolúcidas con lesiones osteolíticas en topografía que respetaban el periostio en la región epifisaria y metafisaria proximal de la tibia izquierda, sin infiltración a tejidos blandos. Se solicitó una resonancia magnética con gadolinio de rodilla izquierda para valoración del abordaje quirúrgico (Fig. 1). Posteriormente se realizó legrado óseo y resección intralesional con técnica eggshell, colocación de chip e injerto óseo autólogo de peroné izquierdo osteosintetizado con tornillos y toma de biopsia de la epífisis proximal y meseta de tibia izquierda para su estudio histopatológico, en los cuales se apreciaron abundantes células multinucleadas con núcleos centrales de tipo osteoclastos, concluyentes con QOA (Fig. 2). Luego de la intervención quirúrgica, se colocó férula de yeso y se continuó con antibioterapia profiláctica y manejo con analgésicos. Se dio de alta a la paciente a los dos días posteriores a la intervención con paracetamol 500 mg vía oral en caso de dolor y se citó a consulta de seguimiento a las cuatro semanas, donde se solicitaron radiografías de rodilla izquierda en proyecciones AP y lateral de control (Fig. 3), y se retiró la férula. La evolución de la paciente fue favorable, permaneciendo asintomática meses posteriores a la intervención y con notable mejoría funcional en la marcha.

Figura 1 Imágenes prequirúrgicas por resonancia magnética nuclear en cortes coronal (A) y axial (B) en secuencia T1 respectivamente, en las cuales se observa una lesión hiperintensa en meseta tibial izquierda con extensión hacia la región diafisaria, con dimensiones de aproximadamente 37 x 28 mm en plano coronal y axial respectivamente, y diámetro anteroposterior de aproximadamente 37 mm.

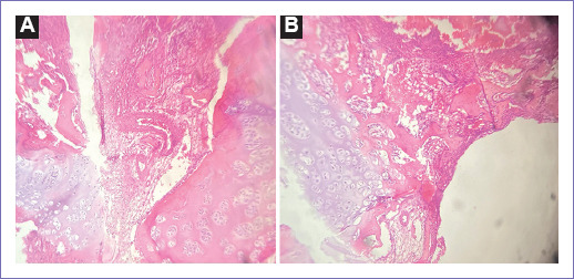
Figura 2 Material de curetaje de la biopsia (fragmentos de tejido óseo trabecular) en tinción hematoxilina-eosina a magnificación x40. A: muestra pleomorfismo y septos fibrosos con espacios sinusoidales vasculares. B: muestra gran cantidad de células gigantes multinucleadas con núcleos centrales de tipo osteoclasto.

Figura 3 Radiografías de rodilla izquierda de control en proyecciones anteroposterior (A) y lateral (B) cuatro semanas después de la intervención quirúrgica. Se observa injerto óseo en epífisis proximal de tibia con reacción perióstica sin formación de callo (consolidación grado I de acuerdo con la clasificación radiológica de Montoya).
Discusión
La mayor prevalencia de casos de QOA es entre los 12 y 13 años de edad, con tasas de hombre: mujer reportadas de hasta 8:1. El paciente con QOA aneurismático primario suele presentarse con edema de tejidos blandos circundantes al área afectada, donde los síntomas secundarios de neoplasias óseas como fiebre, pérdida ponderal, malestar general, náuseas y vómitos no suelen ser comunes4. Las manifestaciones clínicas iniciales son de predominio nocturno8. En el presente caso, la edad de aparición, el tiempo de evolución, la presencia de síntomas locales, acompañados de síntomas generales (como pérdida de peso), además de la ausencia de un antecedente traumático reciente, apoyaron la sospecha diagnóstica de una neoplasia ósea. La sospecha es mayor cuando la lesión aparece en huesos largos (como se dio en el presente caso en la porción proximal de la tibia izquierda), los cuales equivalen a un 52% de los sitios afectados por un QOA, y con menor frecuencia en la columna vertebral y el cráneo3,4. A pesar de su baja prevalencia, existen casos en la literatura mexicana de QOA en estas localizaciones inusuales, como fue el trabajo reportado por Broc-Haro et al. de un QOA en región frontal derecha, en una paciente de ocho años asintomática que tuvo resolución espontánea8. El caso reportado por Rosales-Olivares et al. presentó la aparición de un QOA en columna vertebral (en cuerpo vertebral de T8), el cual se manifestó con síntomas neurológicos como parestesias y debilidad de extremidades inferiores9. A su vez, el caso presentado por Checa-Betegón et al. evidenció la presencia de este tipo de lesiones en zonas muy poco frecuentes, incluido en el techo acetabular derecho de un paciente de 11 años, mismo que supuso un reto diagnóstico y terapéutico importante10.
La evaluación inicial de los QOA incluye la toma de radiografías simples, en las cuales se suelen apreciar áreas radiolúcidas de apariencia quística, generalmente contenidas, sin invadir la cortical ósea. Frecuentemente se observan lesiones líticas en las metáfisis, con aspecto polilobulado y con un distintivo borde esclerótico3,4,10. La resonancia magnética (RM) ofrece una mejor resolución de contraste para delimitar con precisión los bordes de la lesión3. En los casos de QOA, la RM contrastada típicamente demuestra septos internos, los cuales suelen contener niveles líquido-líquido, formados por componentes sólidos de la sangre dentro de áreas quísticas de la lesión, hallazgos altamente sugestivos pero no patognomónicos de QOA, ya que se pueden encontrar en otras neoplasias similares como osteosarcoma telangiectásico4,10. La tomografía computarizada con reconstrucción tridimensional es muy útil para la evaluación de lesiones en ubicaciones anatómicas complejas, como la columna vertebral3. A pesar de las múltiples características y datos típicos, el estándar para el diagnóstico de QOA sigue siendo la evaluación histológica por biopsia, con múltiples hallazgos comunes como arquitectura ósea irregular y capas de tejido fibroso que limita a cavidades quísticas con componentes sanguíneos, además de la gran cantidad de células gigantes multinucleadas y fibroblastos4,11. Existen diversos sistemas de clasificación de los QOA, como el propuesto por Enneking, que los divide en tres etapas: inactivo, activo y agresivo. Según esta clasificación, la forma inactiva del tumor es la más benigna porque se encuentra contenido, mientras que en la etapa activa suele presentar síntomas leves por expansión hacia la cortical del hueso. La etapa agresiva es la que se manifiesta con más síntomas por su rápida capacidad de expansión a los tejidos circundantes4. Con base en lo descrito anteriormente, consideramos que el presente caso se manifestó como un QOA agresivo debido a su extenso volumen y expansión a través de la meseta tibial, además de la gran sintomatología que presentó la paciente. Otra notable clasificación es la propuesta por Capanna et al., donde categorizan a los QOA en cinco subgrupos diferentes de acuerdo con su grado de extensión valorable por estudios de imagen12. Según esta clasificación, el presente caso descrito consiste en una lesión subtipo III de Capanna por su involucramiento metafisario.
El diagnóstico diferencial de QOA y otras neoplasias óseas es fundamental para normar el tratamiento. Los principales diagnósticos diferenciales incluyen al osteosarcoma telangiectásico u OTS (el cual se plantea como el mayor reto diagnóstico), quiste óseo unicameral y el tumor de células gigantes. El tumor de células gigantes suele aparecer en pacientes con desarrollo esquelético maduro, típicamente entre la tercera y cuarta década de la vida. El quiste óseo unicameral no suele presentar los niveles líquido-líquido que frecuentemente se aprecian en la RM de QOA y frecuentemente aparece en la epífisis proximal del húmero (hasta en un 80% de los casos). A pesar de tener una edad de presentación y localizaciones anatómicas bastante similares, el OTS suele asociarse en mayor medida a la presencia de fracturas patológicas en comparación con el QOA; sin embargo la diferenciación de este tipo de neoplasias va a radicar en los hallazgos histopatológicos3,4. La literatura ha reportado la relación de QOA con otro tipo de lesiones tumorales óseas más agresivas, por lo que cuando se encuentra un QOA se considera de suma importancia realizar una revisión completa del paciente para una detección temprana y una estadificación histopatológica previa a la toma de una decisión terapéutica6. Los objetivos principales del manejo de los QOA son sanar las cavidades quísticas para disminuir el dolor y evitar fracturas patológicas, así como también minimizar las deformidades3. Pueden existir casos de regresión espontánea, incluso de osificación posbiopsia, pero no es lo habitual10. Aunque en la actualidad el tratamiento de estas lesiones sigue siendo motivo de controversia, el manejo convencional consiste en el curetaje intralesional y la aplicación de un injerto óseo, lo cual ofrece menores tasas de recurrencia, aunque estas técnicas implican mayor pérdida del tejido y una mayor necesidad de aporte óseo para la reconstrucción del defecto residual4,6. La resección en bloque se ha asociado con las menores tasas de recurrencia en comparación con otros métodos terapéuticos4. Durante los últimos 30 años se ha estudiado la efectividad con el uso de tratamientos menos invasivos como la escleroterapia con inyección intralesional de diferentes sustancias, el cual no ha demostrado una resolución significativamente superior, además del manejo adyuvante con crioterapia, la embolización preoperatoria y la ablación con radionucleidos3,4. En el presente caso se realizó la técnica convencional de curetaje de la lesión, con aplicación del injerto óseo no vascularizado proveniente de peroné izquierdo, similar al descrito en el caso por Lima-Ramírez et al.6, mismo con el que se obtuvieron buenos resultados con la paciente asintomática en su seguimiento. Un estudio prospectivo desarrollado por Mankin et al., donde se evalúan a 150 pacientes con diagnóstico de QOA por 20 años, reportó una recurrencia local de aproximadamente un 20%, donde se asociaron factores de riesgo a las recurrencias como edades tempranas (< 5 años), sexo masculino y ubicación de las lesiones en esqueleto axial3,11. Se han reportado una cantidad mínima de casos de transformación maligna de los QOA a osteosarcoma y OTS4.
Conclusión
Los QOA son lesiones benignas pero agresivas que comúnmente afectan a pacientes pediátricos y adultos jóvenes. Su identificación por medio de un historial clínico detallado y la exploración física es fundamental, además de llevar a cabo un abordaje interdisciplinario, con apoyo en estudios de gabinete, pero donde la determinación definitiva es por medio de histopatología. Es importante la evaluación inicial de estos casos, con especial atención a la presencia de lesiones secundarias subyacentes. Aunque el riesgo de transformación maligna es muy raro, el manejo principal de estas neoplasias es quirúrgico, con el objetivo de erradicar completamente la lesión y minimizar el riesgo de recurrencia.










text new page (beta)


