Introducción
La resolución de los tumores ampulares ha cambiado a lo largo de los años, hoy día el discernimiento de su malignidad yace en la endoscopia. Fue William Stewart Halsted quien mencionó por primera vez en diciembre de 1899, en el Boston Medical and Surgical Journal1, la ampulectomía transduodenal como adecuado tratamiento en tumores periampulares. Con el transcurrir de los años, la elevada tasa de recurrencia en estos pacientes, aunado a la descripción de la pancreatoduodenectomía por Allen Oldfather Whipple en el siglo pasado2, puso en desventaja a la ampulectomía y fue catalogada como un procedimiento con pobres resultados.
El avance de las nuevas tecnologías impulsó el papel terapéutico de la endoscopia, siendo esta una opción recomendable por guías internacionales, como la de la Sociedad Europea de Endoscopia Gastrointestinal3, siempre y cuando se cuente con resultado negativo a malignidad y sin extensión intraductal.
Presentación del caso
Se trata de un paciente de 62 años. Sin antecedentes heredofamiliares oncológicos. Sin ningún antecedente quirúrgico, infectocontagioso, ni crónico-degenerativo.
Inició en 2019 con cuadros de ictericia intermitentes. Valorado por facultativo, quien después de corroborar el diagnóstico de colangitis, y sin encontrar etiología en ultrasonido, solicitó colangiopancreatografía retrógrada endoscópica en diciembre de 2021. Como hallazgo de esta se reporta ampuloma bien diferenciado, se realiza resección endoscópica y colocación de endoprótesis biliar.
Un segundo cuadro de colangitis se presenta en marzo de 2022, efectuándose una nueva colangiopancreatografía retrógrada endoscópica el 8 de marzo de 2022 (Figs. 1 y 2), hallando ámpula de Vater aumentada de tamaño de aproximadamente 2 x 2 cm, con mucosa irregular friable, vascularizada, con presencia de endoprótesis biliar, retirando y colocando nueva prótesis de 10 Fr x 2 cm, con extremo proximal abocado a la confluencia de los hepáticos.
El estudio de patología evocó un adenoma velloso con displasia de bajo grado, identificando cortes histológicos conformados por glándulas vellosas, con núcleos hipercromáticos, de bordes irregulares con polaridad conservada en relación con la membrana basal.
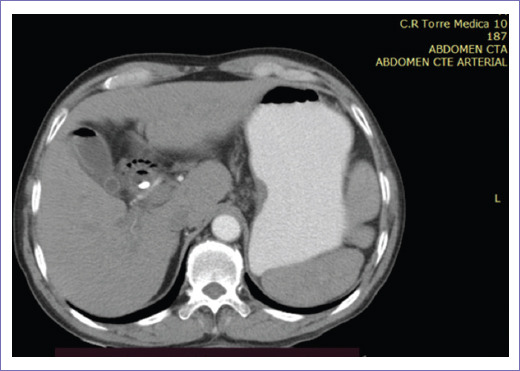
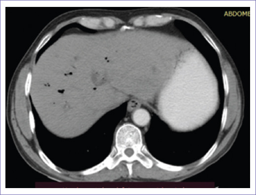
La tomografía abdominopélvica simple y contrastada de abril de 2022 reportó vía biliar intrahepática con presencia de gas en su interior de manera generalizada, colédoco con diámetro de 12 mm, prótesis que se extiende hasta conducto pancreático y segunda porción de duodeno, en la porción final se delimitaba engrosamiento focal de 15 mm, vesícula sin litos en su interior, con neumobilia (Figs. 3 y 4).
El paciente fue entonces referido al Centro Estatal de Cancerología Dr. Miguel Dorantes Mesa con diagnóstico de adenoma velloso recidivante. En consulta externa es programado para ampulectomía transduodenal.
A su ingreso, cuenta con los siguientes estudios de laboratorio: hemoglobina 9.2 g/dl, hematocrito 24.4%, plaquetas 513,000/ul, leucocitos 9.40 x10^3/ul, neutrófilos 79.5%, sodio 130 mml/l, potasio 3.5, cloro 102 mmol/l, calcio 12 mg/dl, glucosa 109.10, creatinina sérica 1.31 mg/dl, nitrógeno ureico en sangre 17 mg/dl, tiempo de protrombina 15.3 s, ratio internacional normalizado 1.18, tiempo de tromboplastina parcial 30.3 s.
Después de la firma de los consentimientos informados quirúrgicos y de anestesiología, así como ayuno de 8 horas, se procede a cirugía.
Bajo anestesia general balanceada, se realiza incisión Chevron, diéresis por planos hasta cavidad abdominal, se procede a maniobra de Kocher con disección roma. A la palpación se encuentra tumor en segunda porción duodenal, de aproximadamente 2 x 3 cm, se continúa con duodenotomía longitudinal a dicho nivel encontrando ampuloma de medidas ya mencionadas (Figs. 5 y 6). Se extrae por medio de disección con diatermia. La duodenorrafia se realiza con técnica de Mikulicz. Se procede a colecistectomía anterógrada, colocación de sonda en T y confección de yeyunostomía de Witzel. Se coloca Penrose abocado a sitio de duodenorrafia.
El reporte de patología confirma un ampuloma velloso de bajo grado. El paciente continúa vigilancia en piso, donde tolera dieta enteral a través de yeyunostomía y posteriormente vía oral. Evoluciona con fístula biliar de bajo gasto. Es sometido a un segundo evento quirúrgico por absceso biliar confinado a pared, se realiza drenaje de este y lavado de cavidad.
Posterior a comprobación de ausencia de fuga duodenal, es egresado con sonda en T para seguimiento en consulta externa.
El reporte final de estudio histopatológico de la pieza quirúrgica indica ampuloma tipo velloso con displasia leve, tallo sin lesión, pedículo de base sin lesión.
Discusión
La incidencia de tumoraciones en la ampolla de Vater es menor al 0.1% en la población general4. Se presentan con mayor frecuencia como una patología benigna, siendo el representante el adenoma velloso. Causan cuadros de colangitis5, como en el caso de nuestro paciente, y son considerados como lesiones premalignas, por la posibilidad de alojar neoplasias in situ6. He ahí la importancia de su resección.
Consideramos la ampulectomía como una opción viable en pacientes en los que se ha demostrado por patología el diagnóstico con ausencia de malignidad, así como tomografía sin datos sospechosos de infiltración y/o metástasis.
Es factible considerar el procedimiento de Whipple como el ideal, no obstante la ampulectomía disminuye la morbilidad y mortalidad significativamente7. Es imperativo llevar a cabo estudios sistemáticos en nuestro país para consolidar criterios patológicos y por imagen, que marquen la pauta a seguir en el tratamiento.










text new page (beta)








