Introducción
Los tumores de ovario limítrofes, o borderline (BOT), son lesiones de origen epitelial con un comportamiento que varía de lesiones benignas hasta carcinoma invasor de ovario1. Estos tumores epiteliales son raros en la niñez y aún más raros en pacientes premenárquicas2. Histológicamente, de acuerdo con los criterios descritos por Hart y Norris, presentan atipia nuclear, alto índice mitótico que los diferencia de tumores benignos y ausencia de invasión del estroma3. Se estima que más de 200,000 mujeres desarrollan cáncer de ovario cada año en el mundo. En el caso de los tumores malignos primarios, el 70% son de origen epitelial y de estos, un 20% de bajo potencial maligno, denominados BOT4.
El término «tumor de ovario límite» fue utilizado por primera vez por Taylor en 1929. Este se refería a masas ováricas con componentes diferentes a las lesiones benignas y malignas en cuanto a histología y comportamiento. En 1972, la Federación Internacional de Ginecología y Obstetricia (FIGO) introduce el término «tumor con bajo potencial maligno» en la literatura y finalmente la Organización Mundial de la Salud (OMS) define estas lesiones como BOT, término actualmente utilizado. La mayoría de los BOT son de tipo seroso y mucinoso (40-50%), sin embargo pueden ser de célula clara, de Brenner, mixtos o de transición5.
La clínica de los tumores de ovario suele ser inespecífica. En el caso de los BOT el aumento de la circunferencia o masa abdominal está presente en el 50% de los casos asociado a dolor abdominal como el síntoma más común. El diagnóstico se basa en la sospecha clínica, los marcadores tumorales e imágenes diagnósticas, y termina con la confirmación patológica. En los casos en que los BOT requieren manejo quirúrgico, este debe ir dirigido a la preservación de la fertilidad6.
Los factores hormonales y ambientales parecen no tener asociación en la población pediátrica, sin embargo el 5% de estas neoplasias tienen predisposición hereditaria, principalmente por alteración en la diferenciación de la célula germinal primitiva7. La mayor incidencia de tumores epiteliales de ovario es en niñas menárquicas y se cree que es el resultado de la estimulación hormonal con interrupción y reparación repetidas del epitelio ovárico por la ovulación8.
Presentación del caso
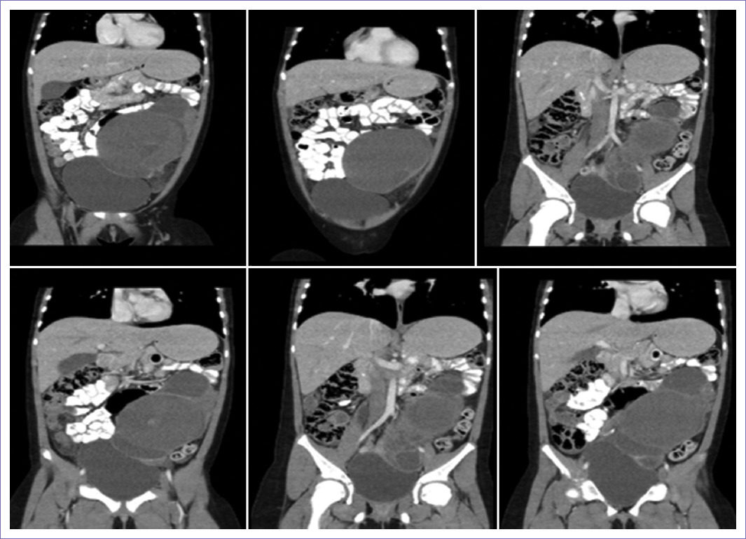
Se presenta el caso de una paciente de nueve años con cuadro de siete meses de evolución de masa abdominal, dolor abdominal intermitente y polaquiuria. Al examen físico se palpa masa lobulada en hemiabdomen inferior, predominantemente izquierdo, dura, con tamaño aproximado de 20 x 10 cm. Reporte de ecografía de abdomen con evidencia de ovario derecho de 153 x 89 x 89.6 mm para un volumen de 640 cc en su interior con quiste complejo multilocular de 146 x 76.9 mm con una formación sólida en su interior de 18.9 x 7 mm con un tabique de 3.3 mm con vascularización periférica en su interior. Se solicitó tomografía computarizada (TC) de abdomen contrastado (Fig. 1), encontrando masa multilobulada multiseptada con calcificaciones, nódulos sólidos murales dependientes de los septos y paredes, contenido heterogéneo de predominio hipodenso que ocupa parte del flanco y fosa ilíaca izquierdas rechazando las asas intestinales y el fondo de la vejiga urinaria, ejerciendo efecto compresivo sobre el uréter izquierdo con dilatación pieloureteral grado I, masa que mide 160 x 90 x 95 mm y de probable origen anexial. Marcadores tumorales con CA125 elevada en 1,260, hormona gonadotropina coriónica humana fracción beta (b-HCG), antígeno carcinoembrionario y alfafetoproteína (AFP) en rango normal.

Figura 1 Tomografía computarizada de abdomen. Masa multilobulada multiseptada con calcificaciones puntiformes periféricas en su interior, nódulos sólidos murales dependientes de los septos y paredes, contenido heterogéneo de predominio hipodenso que ocupa parte del flanco y fosa ilíaca izquierdas, de probable origen anexial izquierdo.
Por estos hallazgos se realiza cirugía de precisión por laparotomía, encontrando un tumor dependiente de ovario derecho de 20 x 15 cm, de características mixtas (sólida y quística), con vegetaciones en su cápsula y un importante proceso inflamatorio y desmoplásico que comprometía la fosa pélvica, ligamento ancho y ligamento redondo derecho. El ovario izquierdo era poliquístico, con una lesión mayor de 5 x 5 cm y múltiples lesiones menores subcentimétricas, sin observarse implantes peritoneales ni compromiso intraabdominal macroscópico (Fig. 2). Adicionalmente, múltiples ganglios paracavos derechos subcentimétricos. No se realizó apendicectomía por antecedente quirúrgico previo.
La paciente tuvo una evolución postoperatoria sin novedades y egresó al tercer día postoperatorio. Reporte de patología: tumor seroso proliferativo atípico borderline de 15.5 cm de diámetro, con cápsula íntegra y compromiso de la superficie ovárica. El quiste ovárico izquierdo y parénquima ovárico izquierdo evidenciaron un cistadenoma seroso de 4.6 cm de diámetro.
Materiales y métodos
Con previo consentimiento obtenido de la madre de la paciente menor de edad y siguiendo todos los protocolos éticos e institucionales, se realiza un estudio descriptivo tipo reporte de caso de una paciente atendida en un hospital de 4.o nivel de complejidad. Se analizó: historia clínica, imágenes, laboratorios y estudio histopatológico.
Discusión
En la población pediátrica, los BOT se consideran infrecuentes9, representan del 1 al 5% de todas las neoplasias. La presentación se da de forma bimodal: entre los 2-3 años y entre los 12-15 años, con un pico máximo de incidencia en la adolescencia con más del 50% de los casos10. La mayoría de las lesiones de los anexos son quistes funcionales y solo el 10% son lesiones malignas11.
Los BOT representan del 10 al 20% de los tumores ováricos epiteliales, siendo más frecuentes en menores de 18 años, con mayor incidencia que los carcinomas11,12. La incidencia aumenta con la edad y está en relación con la menarquia2. La mayoría suelen ser de bajo grado, por lo tanto, tienen mejor pronóstico en comparación con mujeres adultas, aún con histología similar13.
Histológicamente, el subtipo más común es el seroso, seguido por los de tipo mucinoso (43-53% y 42-52% respectivamente). De los serosos, muchos son bilaterales y presentan implantes peritoneales, a diferencia del subtipo mucinoso, donde la incidencia de bilateralidad y diseminación extraovárica es menor5.
En cuanto a la clínica, los BOT se caracterizan por iniciar con un aumento de la circunferencia o masa abdominal en el 50% de los casos, con dolor y distensión abdominal; el hallazgo incidental se presenta solo en el 7%14. En estadios avanzados puede haber ascitis, en tumores de gran tamaño existe correlación con alteraciones en el ciclo menstrual4 y en pocos casos se observa torsión del tumor de ovario15. Adicionalmente, el 90% de las masas son unilaterales, predominantemente en el ovario derecho con respecto al izquierdo (75 vs. 15% respectivamente)9.
Para el diagnóstico, la ecografía abdominal ayuda a diferenciar masas quísticas o sólidas, la TC para descartar extensión y realizar estadificación y la resonancia magnética para lesiones indeterminadas o cuando existe duda del origen de la masa y para visualizar relación con estructuras vecinas1. Radiológicamente, los BOT son una masa anexial compleja, multilobulada con elementos sólidos en su interior (nódulos redondos bien diferenciados, con proyecciones papiliformes o engrosamiento de la pared). La literatura reporta que los nódulos y el grosor de los septos son más grandes en tumores malignos que en los BOT, sin embargo es difícil diferenciar por resonancia magnética los tumores borderline de los tumores invasivos malignos en etapa temprana4,13. Se ha logrado mejorar la diferenciación con medio de contraste, no obstante, la información es limitada.
Respecto a los marcadores tumorales, el CA125 está elevado en el 54% de los casos con b-HCG, AFP y la inhibina B normales, y elevación del CA199 en un 16.6% de los casos9,16.
Para su tratamiento integral se incluye tanto la extirpación completa de todas las lesiones tumorales macroscópicas dentro del abdomen como una estadificación completa según la clasificación de la FIGO17, que, junto al tipo histológico y la edad de la paciente, sirven para conocer el pronóstico. En cuanto al manejo quirúrgico, la cirugía preservadora de fertilidad consiste en realizar salpingooforectomía unilateral o cistectomía en estadios tempranos del tumor18, sin embargo existe controversia en cuanto al manejo adecuado, pues se ha descrito que la cistectomía aumenta la recurrencia del tumor aproximadamente a un 33.5% a 10 años, mientras que con la cirugía radical la recurrencia es del 12%. No se ha mostrado diferencia en la tasa de embarazo entre estos dos procedimientos19.
Se debe realizar una ooforectomía o salpingooforectomía con lavado peritoneal y análisis citológico del líquido, biopsia de epiplón y apendicectomía si se trata de un BOT mucinoso para excluir la posibilidad de metástasis ovárica de tumores mucinosos del apéndice2,17.
La supervivencia de los BOT serosos es alta, con tasas a los cinco años entre el 88-95% de acuerdo con la FIGO12. Con respecto a los estadios, las tasas a cinco y 10 años para los estadios I, II y III son aproximadamente del 99, 97 y 98% frente al 90, 96 y 88% respectivamente5. Menos del 1% de las adolescentes presentan recaídas en forma de nuevo BOT o como tumor invasivo3. La probabilidad de recurrencia en forma de carcinoma invasivo es menos del 1% en el estadio I, sin embargo en estadios avanzados la probabilidad de recurrencia es del 30-54%4.
Resultados
A pesar de la controversia en cuanto al manejo de los BOT, se consideró pertinente la realización de cirugía de precisión para conservación de la fertilidad de esta paciente, obteniendo excelentes resultados postoperatorios, con egreso temprano y con reporte de biopsia positivo y consistente en BOT.
Conclusiones
Los BOT son infrecuentes en la población pediátrica con una clínica de presentación similar a otras patologías por lo que siempre deben ser diagnóstico diferencial. A pesar de su baja incidencia, estos tumores tienen buen pronóstico y altas tasas de supervivencia, por lo que es necesario hacer un diagnóstico y manejo quirúrgico adecuado para poder preservar la fertilidad.










text new page (beta)



