Introducción
La presente revisión trata de resumir los avances sucedidos en el campo de los tumores del estroma gastrointestinal (GIST) en los últimos años. Este texto está dirigido a cirujanos generales con interés en esta patología.
Los principales avances quedan circunscritos a cuatro áreas bien definidas: biología molecular tumoral y desarrollo de nuevos fármacos; consolidación de los principios técnicos de la cirugía del GIST y el papel de la laparoscopia; y manejo del GIST en localizaciones infrecuentes y del GIST avanzado.
Avances en la biología molecular y farmacología del tumor del estroma gastrointestinal
Biología molecular del tumor del estroma gastrointestinal
La identificación de la mutación oncogénica en GIST es básica, tanto desde un punto de vista pronóstico como terapéutico. La mayoría de los GIST presentan alteraciones en la secuencia de c-KIT que en la mayoría de los casos afectan al exón 11, seguido de alteraciones en el exón 9, siendo menos frecuentes las mutaciones en los exones 13 y 17, que se asocian a fenómenos de resistencia1. En 2003 se identificaron alteraciones en PDGFRA, que son excluyentes respecto de las de c-KIT, y que se localizan en los exones 12, 14 y 18, con mayor presencia de la mutación de resistencia primaria, D842V, localizada en el exón 182. Aquellos casos en los que no se identifican alteraciones en estos genes se conocen como wild type (15%). Las alteraciones a lo largo de la secuencia de estos dos receptores influyen en el diagnóstico, pronóstico y predicción de respuesta al tratamiento, por lo que su determinación inicial se considera como imprescindible para el manejo de estos pacientes3.
El 15% de casos sin alteraciones en c-KIT o PDGFRA incluyen muy diversas alteraciones moleculares (Tabla 1). Las dos más frecuentes son las de la vía BRAF y del complejo SDH4. Los tumores sin alteraciones en KIT, PDGFRA, BRAF o SDH se denominan cuádruple wild type. En este grupo se incluyen alteraciones como la presencia de fusiones que afectan al receptor neurotrófico de tipo 3 (NRTK3) y al factor de crecimiento de fibroblastos (FGFR1), o el factor de transcripción ETV5. Así pues, el término de GIST wild type ha ido evolucionando y fraccionándose con el tiempo, englobando en primer lugar aquellos tumores sin alteraciones en c-KIT, e incluyendo posteriormente a tumores sin alteraciones en PDGFRA, BRAF y SDH. Por ello parece más adecuado abandonar la terminología GIST wild type y sustituirla por la de «tumores sin mutaciones identificadas» (GIST NOS)6.
Table 1 Fragmentación y subdivisión del tumor del estroma gastrointestinal (GIST) wild type
| GIST wild type (KIT/PDGFRA) | |||
|---|---|---|---|
| SDH Deficientes | |||
| BRAF | |||
| NF-1 | |||
| Cuádruple WT | Mutaciones Somáticas | CBL | MAX |
| APC | MEN-1 | ||
| CTDNN2 | BCOR | ||
| TP53 | CHD4 | ||
| ARID1A | |||
| Fusión de genes | FGFR1 p.N546K | KIT-PDGFRA | |
| FGFR1-KOOK3 | MARK2-PPFIA-1 | ||
| FGFR1-TACC1 | SPRED2-NELFCD | ||
| ETV6-NTRK3 | |||
Adaptada de Liegl et al9
Nuevos fármacos y estrategias de combinación
La activación oncogénica de los receptores tirosina cinasa KIT o PDGFRA constituye el evento central que rige el curso evolutivo de los GIST. La función de KIT o PDGFRA continúa siendo esencial en el mantenimiento del fenotipo tumoral1, hasta el punto de que las estrategias farmacológicas aprobadas a día de hoy, y también las que se encuentran en investigación, están centradas en su inhibición.
La mutación oncogénica en c-KIT o PDGFRA es el evento fundamental de la biología del GIST. Su bloqueo con imatinib ha mostrado un gran beneficio clínico comunicándose tasas de respuesta (TR) del 51% con un 90% de beneficio clínico y una supervivencia libre de progresión (SLP) cercana a los dos años7. Este fármaco también ha sido aprobado para su uso de forma adyuvante tras resección quirúrgica8.
La mayor parte de los pacientes con GIST avanzado o metastásico desarrollan a la larga una resistencia al tratamiento con imatinib, normalmente a los dos años de su inicio, aunque hasta un 33% de pacientes tienen la enfermedad controlada durante cinco años o más, y hasta un 6-9% durante 10 años o más7. El principal mecanismo de resistencia (90% de los casos) consiste en el crecimiento de subpoblaciones celulares o clones con mutaciones secundarias que confieren resistencia al fármaco9. Durante los últimos 15 años se han desarrollado inhibidores de la tirosina cinasa (ITQ) con un espectro de actividad más amplio frente a diversas mutaciones secundarias en KIT. Así, en 2006 se aprobó el sunitinib10 y en 2012 el regorafenib11, ambos con un amplio espectro de inhibición. Tras progresión a imatinib, la TR es pobre (<10%), con un intervalo libre de progresión de 4-6 meses independientemente de la línea de tratamiento empleada (Tabla 2)10,11.
Table 2 Inhibidores de la tirosina cinasa (ITQ) aprobados o investigados tras progresión a imatinib
| ITQ | Línea terapéutica | Tasas de respuesta (%) | SLP (meses) | Estado (fase) |
|---|---|---|---|---|
| Sunitinib | 2.ª | 7 | 6.1 | Aprobado |
| Regorafenib | 3.ª | 4.5 | 4.8 | Aprobado |
| Dasatinib | 2.ª | ND | 2.0 | II |
| Dovitinib | ≥ 2.ª | 5 | 4.6 | II |
| Masitinib | 2.ª | ND | 3.7 | II |
| Nilotinib | 3.ª | 0 | 6.0 | II |
| 3.ª | 3 | 3.7 | II | |
| 3.ª | < 1 | 3.6 | III | |
| Pazopanib | ≥ 2.ª | 0 | 1.9 | II |
| ≥ 2.ª | 0 | 3.4 | II | |
| Ponatinib | ≥ 2.ª | 8 | 4.3 | II |
| Sorafenib | ≥ 2.ª | 13 | 4.9 | II |
| ≥ 3.ª | 13 | 5.2 | II |
SLP: supervivencia libre de progresión; ND: no definido.
En 2020 asistimos al desarrollo de múltiples ITQ (Tabla 3) y la aprobación por parte de la FDA (Food and Drug Administration) de dos nuevos y revolucionarios ITQ: avapritinib y ripretinib.
Table 3 Estrategias terapéuticas en desarrollo en tumor del estroma gastrointestinal (GIST)
| Estrategia | Ejemplo (s) |
|---|---|
| Inhibidores pan-KIT | Ripretinib (DCC-2618) |
| Inhibidores selectivos de mutaciones | Avapritinib (BLU-285) |
| Estabilidad proteica de KIT | Inhibidores de HSP90 o de HDAC |
| Vías de señalización de KIT | Inhibidores de PI3K o de MEK |
| Adaptación a la inhibición de KIT | Inhibidores de MET o de FGFR |
| Heterogeneidad de KIT | Rotación rápida de ITQ |
ITQ: inhibidores de la tirosina cinasa.
El avapritinib (BLU-285) se une de forma específica, y con gran potencia de inhibición, a la forma activa de KIT y PDGFRA, siendo altamente específico frente a mutaciones en el dominio de activación, lo que es muy relevante en GIST con la mutación D842V en el exón 18 de PDGFRA. Esta mutación es intrínsecamente resistente a cualquier ITQ aprobado hasta la fecha. Así, se observa que hasta el 95% de los pacientes con esta mutación tratados con avapritinib obtuvieron una disminución del tamaño tumoral, exhibiendo TR del 86%, la mayoría durante >12 meses. El avapritinib es eficaz en pacientes con mutaciones primarias en progresión a todas las líneas de tratamiento estándar, con TR del 22% con una duración media de 10 meses12.
El ripretinib (DCC-2618) es un inhibidor pan-KIT que interfiere en la activación de la cinasa independientemente del tipo de mutación secundaria existente. Su uso en pacientes refractarios a todo tipo de tratamientos para enfermedad metastásica ha demostrado lograr tasas de SLP de 6.3 meses con TR cercanas al 10%13.
La posibilidad de tratar a estos pacientes con cinco líneas de tratamiento (Tabla 4) supondrá un aumento de la supervivencia global de estos pacientes, lo que hará plantearnos su manejo a lo largo del tiempo, el orden en el empleo de estos fármacos y la posibilidad de tomar decisiones quirúrgicas a lo largo de la evolución de la enfermedad.
Table 4 Mutaciones y sensibilidad al tratamiento del tumor del estroma gastrointestinal (GIST) según tipo de mutación
| Mutación | Tratamiento (sensibilidad) |
|---|---|
| KIT exón 11 | Imatinib, regorafenib |
| KIT exón 9 | Imatinib (800 mg/día). Sunitinib |
| KIT exón 13 | Sunitinib, ripretinib |
| KIT exón 14 | Sunitinib, regorafenib, ripretinib |
| KIT exón 17 | Regorafenib, ripretinib |
| KIT exón 18 | Dasatinib, ripretinib |
| PDGFRA D842V | Avapritinib, crenolanib |
| exón 18 | Resistencia al imatinib. |
| No mutación | Regorafenib (si SHD deficiencia). |
| KIT/PDGFRA WT | Dasatinib |
Avances en la cirugía del tumor del estroma gastrointestinal
Principios de la cirugía del tumor del estroma gastrointestinal y su manejo laparoscópico
La cirugía del GIST primario localizado consiste en la extirpación de la lesión con márgenes quirúrgicos libres (R0) sin linfadenectomía14. En este contexto, el abordaje laparoscópico del GIST se ha visto muy favorecido, pues tanto las características de estos tumores como los principios que rigen su cirugía (Tabla 5) son fácilmente aplicables14,15. A estos principios14, que son los mismos que en cirugía abierta, habría que añadir una serie de consideraciones (Tabla 6)14:
- Se debe evitar su uso si no fuera posible obtener una resección R0.
- No debe emplearse en tumores >10 cm debido al alto riesgo de rotura tumoral. Su uso debe restringirse a GIST <5 cm en localizaciones anatómicas favorables16.
- Debe limitarse a tumores localizados en la curvatura mayor, fundus y cara anterior gástrica. Localizaciones con la unión gastroesofágica, cardias, curvatura menor, cara posterior o antro/píloro plantean problemas técnicos que favorecen el empleo del abordaje abierto.
- La extracción de la pieza quirúrgica siempre debe efectuarse en bolsa a fin de evitar implantes en la pared abdominal a nivel del orificio de extracción.
- La experiencia del equipo quirúrgico es clave. No solo cuenta la experiencia en cirugía laparoscópica, sino también en estos tumores en particular.
Table 5 Consideraciones técnicas en la cirugía del tumor del estroma gastrointestinal (GIST) primario localizado
| Objetivos y principios técnicos generales de la cirugía del GIST |
|---|
| Exploración abdominal completa |
| Resección macroscópicamente completa con márgenes negativos (R0) |
| Márgenes amplios innecesarios (1 cm) |
| Pseudocápsula intacta sin rotura tumoral |
| La linfadenectomía no está indicada |
| Si márgenes microscópicos afectos (R1) considerar la re-resección caso a caso |
Table 6 Consideraciones técnicas en la cirugía laparoscópica del tumor del estroma gastrointestinal (GIST) primario localizado
| Objetivos y principios técnicos generales de la cirugía laparoscópica del GIST |
| Mismos principios técnicos que en cirugía abierta |
| Solo por grupos con experiencia |
| Extracción de la pieza en bolsa protectora |
| Aceptable si permite resección R0 |
| Límite de su aplicación marcado por el tamaño tumoral (¿> 5 cm?) |
El empleo de este abordaje proporciona una serie de ventajas propias a todo abordaje laparoscópico: utilización de incisiones más pequeñas, menor manipulación intestinal, reducción del dolor postoperatorio, más rápida recuperación de la funcionalidad digestiva y una disminución de la estancia hospitalaria14-17.
En la actualidad no existen estudios prospectivos aleatorizados que comparen el abordaje abierto frente al laparoscópico. Sin embargo, sí que se dispone de diversos metaanálisis17,18 que evidencian, en primer lugar, la existencia de un fuerte sesgo de selección a favor del grupo laparoscópico: estos pacientes poseen un menor tamaño tumoral; y además, la localización de los tumores suele ser más favorable al situarse con más frecuencia en la curvatura mayor. Por el contrario, en el grupo abierto existe una tendencia a GIST localizados en posiciones poco favorables, lo que junto a su mayor tamaño obliga con mayor frecuencia a resecciones gástricas mayores. En segundo lugar, se advierte un menor tiempo operatorio en el abordaje laparoscópico, lo que se explica porque la resección «en cuña» es técnicamente más sencilla, con menores tasa de complicaciones postoperatorias y bajas tasas de conversión a cirugía abierta (4.7-5.2%), lo que enfatiza la reproducibilidad y seguridad del procedimiento laparoscópico. Además, este abordaje se asocia a una reducción en la estancia hospitalaria, con un menor dolor postoperatorio y una rápida reincorporación socio-laboral. Finalmente, cuando se efectúa un análisis de los resultados oncológicos por grupos en igualdad de técnica quirúrgica, tamaño o localización, no se aprecian diferencias en el intervalo libre de enfermedad o en la supervivencia global17,18.
Las evidencias disponibles en GIST yeyuno-ileal son mucho menores19. En esta situación se recomienda una cirugía precoz, a fin de evitar una obstrucción intestinal o hemorragia grave. La cirugía «en cuña» solo es factible en lesiones <1 cm, indicándose en el resto la resección segmentaria. Los principales factores que desaconsejan el abordaje laparoscópico en esta localización son la presencia de adherencias, la perforación tumoral, la proximidad al duodeno, la presencia de enfermedad avanzada y la necesidad de resecciones concomitantes19.
Finalmente, comentar el auge experimentado en los últimos años de la cirugía laparoscópica ayudada por la endoscopia intraoperatoria20. Su uso facilita la localización de GIST intragástricos, no objetivables en la superficie gástrica; permite asegurar una resección oncológica con márgenes óptimos; permite el chequeo de la sutura mecánica y permite, finalmente, comprobar la ausencia de estenosis postoperatorias. Otros abordajes de alta complejidad descritos recientemente incluyen la cirugía intragástrica o intraluminal21, efectuada a través de una gastrotomía en la cara anterior, que permite el manejo de tumores de la pared posterior y el fundus, técnica que puede efectuarse asistida con la mano o combinada con endoscopia, y la cirugía robótica22.
Manejo del tumor del estroma gastrointestinal en localizaciones Infrecuentes
Los GIST se suelen localizar en el estómago (55-60%) e intestino delgado (30%). Otras localizaciones muy infrecuentes son el esófago, el duodeno o el recto y localizaciones extradigestivas como el omento, el mesenterio, la pelvis o el retroperitoneo. En estos casos no se dispone de recomendaciones claras respecto de su diagnóstico y tratamiento, por lo que su manejo supone un reto extraordinario.
En una reciente revisión, el GIST esofágico suponía el 23% de los tumores en esta localización, habiéndose descrito en los últimos 15 años alrededor de 150 casos en todo el mundo23. Afecta predominantemente a varones con una edad media de 60 años. La mayoría de los pacientes manifiestan disfagia (36-51%) y pérdida de peso (20%), siendo el 30% de ellos asintomáticos23.
El diagnóstico diferencial41 se plantea con diversos tumores, aunque el más importante es con el leiomioma24. El tránsito esófago-gástrico (Fig. 1) y la ecoendoscopia (EE) ayudan a diferenciar entre lesiones submucosas y mucosas24, advirtiéndose que la ulceración mucosa es característica del GIST. La EE permite valorar tamaño, forma, aspecto intratumoral y relación con las capas musculares del esófago. La tomografía computarizada (TC) y la resonancia magnética (RM) describen los GIST, a diferencia de los leiomiomas, como tumores grandes, distales e hipervascularizados y de aspecto heterogéneo (Fig. 2). En la tomografía por emisión de positrones, el GIST posee una captación intensa y homogénea que casi nunca poseen los leiomiomas25. La biopsia, mediante punción aspirativa con aguja fina (PAAF/PAB) guiada por EE permite el estudio histológico e inmunohistoquímico del tumor42. El 80% de estos tumores se localizan en el tercio distal esofágico, suelen ser >5 cm y con >5 mitosis/50 CGA, por lo que deben ser considerados como tumores con alto riesgo de recidiva22,25.

Figura 1 Tránsito esófago-gástrico donde se evidencia defecto de repleción en 1 / 3 medio esofágico de gran tamaño que corresponde a tumor del estroma gastrointestinal esofágico.

Figura 2 Imágenes de tomografía computarizada donde se aprecian masas ocupantes de espacio a nivel esofágico discretamente homogéneas.
La principal controversia terapéutica consiste en saber si es la enucleación o la esofaguectomía la técnica quirúrgica de elección. Así, la enucleación ofrece una mayor seguridad técnica, aunque puede favorecer resecciones incompletas26; mientras que la esofagectomía ofrece una mayor seguridad oncológica a expensas de una mayor morbimortalidad. En las series publicadas, la enucleación posee mejores resultados a largo plazo que la esofagectomía, pues trata tumores de menor tamaño y por ello se asocian a un menor riesgo de recidiva. Es decir, que el factor pronóstico clave en el GIST esofágico es el tamaño tumoral y el número de mitosis26. En caso de rotura tumoral o resección R1, independientemente de la técnica quirúrgica empleada, la tasa de recurrencias alcanza el 35-50%, mientras que es del 0% en caso de ausencia de estos factores. La elección de una u otra técnica dependerá, pues y sobre todo, del tamaño tumoral y la experiencia del grupo quirúrgico. En general, se recomienda la enucleación en pacientes asintomáticos con tumores <2 cm27. En grupos experimentados incluso es posible la enucleación vía toracoscópica en tumores de hasta 5 cm. Cuando el GIST esofágico es >10 cm se recomienda la esofagectomía. El manejo en casos con tamaño intermedio, entre 2 y 10 cm, es mucho más controvertido y dependerá de la presencia de ulceración mucosa, del índice mitótico y de su proximidad a la unión esófago-gástrica. Por tanto, los factores determinantes para la selección de la técnica son el tamaño, localización, presencia o no de ulceración mucosa, riesgo operatorio y experiencia del equipo quirúrgico.
En GIST cercanos a la unión gastro-esofágica existe una clara controversia entre los defensores de la enucleación, que se apoyan en la eficacia de los ITQ preoperatorios; y los que defienden la esofagogastrectomía23-27. El uso neoadyuvante de ITQ puede mejorar la situación local del tumor y favorecer una resección más conservadora. Los pacientes con importantes factores individuales de alto riesgo pueden beneficiarse de un tratamiento exclusivo y de por vida con ITQ23-27.
Globalmente, la supervivencia observada es del 45-85% a los cinco años, con una tasa de recurrencia del 22-39%, identificándose como principales factores de riesgo el tamaño tumoral (>5 cm) y el índice mitótico (>5 / 5 mm2)26.
Los GIST duodenales, normalmente localizados en la 2.a porción (Fig. 3), suponen el 30% de todos los tumores duodenales y solo el 2-3% de todos los GIST28. En caso de enfermedad localizada o localmente avanzada, se recomienda el tratamiento con ITQ neoadyuvante con el fin de reducir el tamaño tumoral29. Serán candidatos ideales aquellos pacientes en los que la cirugía que efectuar de entrada sea una duodeno-pancreatectomía cefálica; y aquellos con tumores en los que una reducción de volumen tumoral favorezca una resección con márgenes negativos e incluso la posibilidad de realizar resecciones limitadas29.

Figura 3 Imagen de tomografía computarizada en donde se evidencia tumor del estroma gastrointestinal duodenal en 2.a porción.
Las técnicas quirúrgicas que emplear dependen del tamaño tumoral, de la relación con la cabeza del páncreas, ampolla de Vater y colédoco terminal, y de su situación mesentérica o antimesentérica. Las diferentes opciones quirúrgicas incluyen:
- Resección limitada en cuña de la pared o wedge resection. Aplicable en tumores pequeños (<3-4 cm), localizados a una distancia >2 cm de la papila y que asientan en el borde antimesentérico30.
- Resección segmentaria duodenal. Empleada en tumores ubicados en la tercera o cuarta porción duodenal, su reconstrucción pasa por el empleo de un asa en Y de Roux anastomosada a la 2.a porción duodenal. Es un procedimiento potencialmente ejecutable vía laparoscópica30,31.
- Duodenectomía con preservación pancreática. Consiste en la resección de todo el duodeno y la posterior colocación de un asa de yeyuno a la que se anastomosa el duodeno yuxtapilórico, la vía biliar y el conducto pancreático32.
- Duodenopancreatectomía cefálica. Indicada en GIST >5 cm localizados en la 2.a porción duodenal con invasión de la papila de Vater o páncreas. Suelen ser tumores de alto índice mitótico y comportamiento más agresivo, lo que explica su peor pronóstico, no relacionado con la cirugía per se29,33.
El abordaje laparoscópico en los GIST duodenales es posible, especialmente en tumores <5 cm en localizaciones anatómicas favorables (1.a y 3.a/4.a porción duodenal), aunque solo debería emplearse por grupos de alta experiencia. Los GIST de gran tamaño (>5-7 cm) tienen un mayor riesgo de ruptura, por lo que en estos casos es más recomendable la cirugía abierta31.
Se considera que los GIST duodenales tienen un comportamiento menos agresivo que los GIST ubicados en otras localizaciones, con una tasa de supervivencia a cinco años del 94.9%. A pesar de ello, presentan una tasa de recidiva del 10-20%, incluso tras cirugía R0. La tasa libre de enfermedad a uno y tres años después de una resección completa varía del 86 al 100%33.
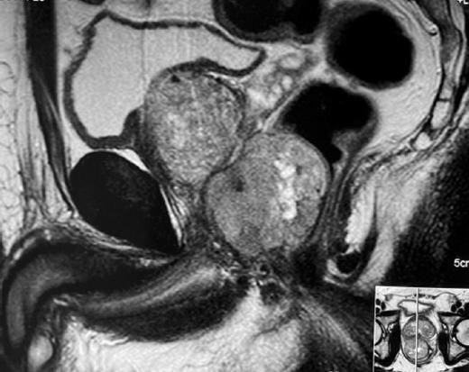
Los GIST rectales representan la tercera localización más frecuente, aunque solo suponen el 1.6-5% de todos los GIST34. No tienen síntomas específicos, por lo que frecuentemente se confunden con otras patologías anorrectales. Los síntomas más frecuentes son el sangrado (28.9%) y el dolor anal (17.8%). En ocasiones son hallazgos incidentales. La TC y la RM (Fig. 4) son muy útiles para su diagnóstico y estadificación, además de permitir determinar una posible afectación de órganos pélvicos. La ecografía endorrectal localiza el tumor y determina el tamaño y su relación con los esfínteres35,36.

Figura 4 Resonancia magnética de tumor del estroma gastrointestinal rectal que permite apreciar sus relaciones anatómicas en pelvis.
La elección del tipo de cirugía debe individualizarse según el estado del paciente, la localización y tamaño del tumor, el grado de la extensión e invasión local y la experiencia del equipo quirúrgico35,36. La resección quirúrgica puede ser muy dificultosa en situaciones de pelvis profunda y estrecha, tal y como ocurre en varones; o en caso de tumores muy próximos a esfínteres anales u otros órganos vecinos. En estas condiciones, la resección R0 solo se llega a conseguir en un 40-60% de los pacientes.
Las opciones técnicas son:
- Escisión local. Indicada en GIST pequeños (<2 cm) localizados en recto distal con posibilidad de márgenes >1 cm sin afectación del esfínter anal. En tumores de situación anterior existe el riesgo de fístula recto-vaginal en mujeres, o de lesión uretral en hombres37.
- Resección local bajo visión directa. Indicada en tumores muy próximos al margen anal. Técnicas como la TAMIS (cirugía transanal a través de puerto único), la TEM (microcirugía transanal) e incluso la TAMIS robótica37,38 mejoran la visión, facilitándose la resección. Otras vías de resección local incluyen la vía transesfinteriana, la transvaginal o la trans-sacra de Kraske38,39.
- Resecciones amplias de recto. Indicadas en lesiones de mayor tamaño (≥2 cm) con invasión profunda y afectación esfinteriana. En estos casos se debe de tener en cuenta las comorbilidades del paciente, el tamaño y localización del tumor, y las posibilidades de preservación esfinteriana36. Se puede optar entre una cirugía radical sin escisión del mesorrecto como la resección anterior baja, la amputación abdomino-perineal (de elección en tumores de recto distal con imposibilidad de preservación esfinteriana) y la exanteración pélvica, indicada en tumores los localmente avanzados36.
Los GIST rectales localmente avanzados, no candidatos a una cirugía de resección «de entrada», deben someterse a tratamiento neoadyuvante (Fig. 5) para reducir su tamaño y facilitar la preservación esfinteriana40,41. La combinación de neoadyuvancia y cirugía es factible en más de la mitad de los casos40,41.

Figura 5 Efectos del tratamiento neoadyuvante en tumor del estroma gastrointestinal rectal, antes (izquierda) y después (derecha) del tratamiento con imatinib, apreciándose una importante disminución del tamaño tumoral.
La presencia de células intersticiales de cajal (CIC) en varios órganos o tejidos conectivos del organismo puede explicar la aparición de GIST en localizaciones extragastrointestinales (EGIST)42-44. El GIST mesentérico posee una incidencia muy baja (5-12%), suele ser solitario y afecta más a mujeres entre los 60 y 65 años, con un tamaño medio de 12 cm42-44. Los síntomas más frecuentes son el dolor y/o la presencia de una masa abdominal de crecimiento lento e indolente, lo que facilita grandes tamaños tumorales (Fig. 6). El tratamiento de elección del EGIST localizado es la cirugía exerética «en bloque». En caso de enfermedad avanzada deben ser tratados de inicio con ITQ, y solo en caso de obtener una buena respuesta podría plantearse una cirugía de rescate. Los principales factores de mal pronóstico son el tamaño, la presencia de necrosis, un elevado índice de mitosis por campo y un ki-67 elevado42-44.
Tumor del estroma gastrointestinal diseminado y/o metastásico
El principal avance en el manejo del GIST avanzado ha sido la incorporación de la cirugía como adyuvante al tratamiento médico. Este tratamiento médico está basado en el uso continuado de ITQ, el cual posee algunas peculiaridades45,46:
- El imatinib es el fármaco de elección, dada la más frecuente mutación c-KIT en el exón 11. En caso de mutaciones en PDGFRA (exón 18) o sin mutación KIT/PDGFRA (wild type), se deben emplear otros ITQ (Tabla 4). Así, en caso de mutaciones PDGFRA D842V deberían emplearse fármacos como el avapritinib o el crenolanib; mientras que el subgrupo WT SDH deficiente puede ser candidato a tratamiento con sunitinib, pero con TR bajas.
- El tratamiento debe durar un mínimo de 6-9 meses previamente a una resección, debido a que la exposición mantenida al fármaco favorece el desarrollo de resistencias antes de los dos años en hasta el 50% de los pacientes.
- Los ITQ deben emplearse también de forma adyuvante incluso en aquellos pacientes en los que se han podido resecar todas las lesiones metastásicas, y además, de forma indefinida hasta la aparición de resistencias, pues su suspensión se asocia a una rápida progresión de la enfermedad.
- Tratamientos como la ablación o la radioterapia paliativa también pueden ser de utilidad en casos bien seleccionados con progresión locorregional no subsidiaria de resección quirúrgica.
Los GIST que desarrollan sarcomatosis peritoneal o GISTosis47,48, de forma espontánea o secundaria a una ruptura del tumor durante la cirugía, tienen un mal pronóstico. En esta situación, la cirugía de citorreducción de inicio no supone ningún beneficio, siendo la administración de ITQ el tratamiento de elección. La cirugía citorreductora estaría indicada cuando puede conseguirse una resección completa en pacientes con una buena respuesta al imatinib. En caso de resistencia al imatinib, la cirugía de citorreducción estaría tan solo indicada en aquellos pacientes con progresión limitada en los que pueda conseguirse una resección completa.
Cerca del 20% de los GIST presentan, en el momento del diagnóstico o bien en el curso evolutivo de la enfermedad, metástasis hepáticas. Se calcula que la cirugía del GIST metastásico puede realizarse únicamente en el 30% de los casos, con una supervivencia media de 19 meses. En este contexto, la cirugía adyuvante puede prolongar la supervivencia en pacientes seleccionados con respuesta a ITQ, siendo ineficaz en caso de progresión tras la administración de ITQ49,50. Un estudio de la European Organisation for Research and Treatment of Cancer (EORTC)51 evidencia la posibilidad de conseguir elevadas tasas de resecciones R0 y de una mayor supervivencia, especialmente si la cirugía es completa (R0) y si es seguida de un tratamiento continuado con ITQ. Esta estrategia es claramente aceptada cuando las metástasis hepáticas son técnicamente resecables49-51. En 2015, el Grupo Español para Investigaciones en Sarcomas (GEIS) publicó52 un análisis sobre 171 pacientes con GIST metastásico no resecable y no refractario al tratamiento con imatinib, concluyéndose que con base en la superior supervivencia obtenida en los pacientes incluidos en el grupo con cirugía de rescate, esta estrategia debe ser valorada en todos los pacientes con GIST metastásico hepático siempre que muestren una buena respuesta a ITQ preoperatorio. La indicación de la cirugía de rescate debe hacerse a partir de los seis meses de iniciar el tratamiento con imatinib, ya que es en este momento cuando aparece la máxima respuesta tumoral. Esta cirugía debe efectuarse dejando el menor intervalo posible preoperatorio y postoperatorio sin tratamiento con imatinib46. En pacientes sin estabilización de las lesiones metastásicas, la exéresis de toda la masa tumoral posible (debulking), asociada o no a otras terapias de destrucción tisular como la radiofrecuencia53, puede conseguir ocasionalmente una mejor supervivencia, pero en ningún caso superior a la de los pacientes con una buena respuesta a imatinib. Es por ello que esta indicación quirúrgica debe ser restringida y valorada en casos excepcionales en un contexto multidisciplinario54.
Los pacientes sometidos a una exéresis de metástasis hepáticas de GIST, tras una buena respuesta a imatinib, pueden crear resistencias y desarrollar de nuevo una progresión hepática en forma de «nódulo dentro de nódulo hialinizado» (Fig. 7). En esta situación, la re-resección de estas metástasis ofrece una mejor supervivencia que si fueran tratados solo con imatinib54.

Figura 7 Imagen radiológica (tomografía computarizada) en donde se aprecia una recurrencia dentro de un nódulo («nódulo dentro de nódulo»).
La cirugía adyuvante al tratamiento con ITQ en GIST metastásico hepático es una estrategia terapéutica de gran valor en enfermos seleccionados. Otras opciones como la radiofrecuencia53 o la embolización arterial55 también deben ser consideradas caso a caso. La posibilidad del trasplante en hepático en GIST metastásico irresecable es una opción recientemente explorada56.










text new page (beta)



