Introducción
El tumor renal híbrido, se caracteriza por la presencia de una cantidad variable de oncocitos (benignos) y cromófobas (malignas),1 cuya presentación hereditaria en la mayoría de los casos, son en aquellas personas con síndrome de Birt-Hogg-Dubé y en menor proporción la forma esporádica.2,3
Presentamos el caso de una paciente femenina de nueve años, estudiante de primaria, con antecedente de comunicación interauricular ostium secundum en protocolo prequirúrgico, quien en su examen físico de rutina encontró una masa abdominal en flanco izquierdo, no dolorosa a la palpación, fijo, de aproximadamente 8 cm, sin otros hallazgos asociados. Motivo por el cual se solicitó una tomografía abdominal simple y contrastada (Imagen 1), la cual reportó masa gigante dependiente del riñón izquierdo.

Cortes axiales (A-D). Reconstrucción coronal (E).
Imagen 1 Tomografía simple y contrastada de abdomen
Masa cortical dependiente del polo medio e inferior del riñón izquierdo, bien delimitada, lobulada, isodensa en fase simple y realce heterogéneo en fase contrastada, con un área hipodensa central de morfología estrellada en relación con necrosis, con diámetros superiores a 112x72x74 mm con un volumen de 312 cc que condiciona desplazamiento de las estructuras adyacentes y dilatación de la pelvis renal de 23 mm. No hay evidencia de invasión de ganglios linfáticos, estructuras vasculares u órganos adyacentes.
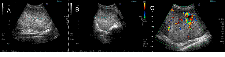
Se solicitó al servicio de Radiología Intervencionista la realización de biopsia renal (Imagen 2), cuyo reporte histopatológico fue oncocitoma híbrido renal izquierdo.

Ultrasonido modo B: A, Vista longitudinal. B, vista transversal. C. Ultrasonido Doppler. Masa hiperecoica, bien delimitada, lobulada, heterogénea por ecos de mayor intensidad en su interior que a la aplicación del Doppler color muestra alta vascularidad.
Imagen 2 Biopsia renal guiada por ecografía
La paciente es presentada en junta quirúrgica, donde se decide nefrectomía total laparoscópica, previa realización de angiotomografía renal (Imagen 3), la cual descarta invasión vascular arterial y venosa así como neoformación.

A. Vista anterior. B. Vista lateral derecha. C. Vista lateral oblicua izquierda. Arteria renal izquierda, segmentaria e interlobular presentan calibre aumentado y trayecto tortuoso que delimita masa renal que compromete el tercio medio e inferior renal.
Imagen 3 Reconstrucción 3D de angiotomografía renal
El informe anatomopatológico de la pieza quirúrgica fue tumor renal híbrido oncocitario/cromófobo confinado al riñón.
Discusión
El oncocitoma renal (OR) es el segundo tumor sólido más común, después del angiomiolipoma,2 compuesto por células epiteliales eosinofílicas presentes en la porción cortical de los conductos colectores, identificados incidentalmente.1,4 Los primeros casos fueron descritos por Zippel en 1942. Incluye una fase asintomática, donde se identifican pocos casos, causando síntomas cuando se presenta compresión de estructuras adyacentes tales como molestias abdominales, la triada que consiste en lumbalgia, hematuria y masa palpable,3 características que comparte con el carcinoma de células renales, su principal diagnóstico diferencial.1 Existen rasgos genéticos asociados a la OR como la pérdida del cromosoma Y, la monosomía 1 y translocaciones como la 11q13, que es la más frecuente en esta.3 El OR tiene predilección por el género masculino, desde la sexta hasta la séptima década de la vida, siendo unilaterales y únicos, con un tamaño promedio de 4.9±2.7 cm, los cuales cuando superan los 6 cm se denomina OR gigantes.5 Su aspecto macroscópico consiste en una lesión bien delimitada de color caoba con una cicatriz central radiada relacionada con necrosis. Su histología describe cúmulos de células poligonales, con escaso citoplasma y cromatina granular, denominadas oncocitos.6
En cuanto a los hallazgos de imagen, la ecografía describe una lesión isoecoica heterogénea, bien delimitada y con marcada vascularización en la aplicación de Doppler. La tomografía aporta el mayor porcentaje en la caracterización de la lesión, encontrando en su fase simple una lesión isodensa al parénquima renal, con densidad de partes blandas, bien delimitada, heterogénea por la presencia de cicatrización central y áreas edematosas, raramente presentando calcificaciones, necrosis y sangrando La fase contrastada permite identificar cuatro patrones de realce que consisten en realce arterial intenso, realce arterial persistente en la fase nefrográfica (80 segundos), hipovascularización con realce gradual e inversión del realce segmentario, siendo este el más específico y el menos sensible. con lesiones mayores de 6 cm, que consiste en un marcado realce en la fase corticomedular en relación con el parénquima sano e hipodensidad en la fase de eliminación. Adicionalmente, la ausencia de hallazgos de características malignas dada por la ausencia de adenopatías, sistema colector de calibre conservado y grasa de Gerota homogénea. En caso de duda diagnóstica, si está contraindicada la TC con contraste, se realiza una RM en la que las imágenes ponderadas en T1 muestran una lesión con señal iso a hipointensa, hiperintensidad en T2 dada por la cicatriz y áreas edematosas, en difusión mostrará una restricción real debido a la gran celularidad. Sistema colector de calibre conservado y grasa de Gerota homogénea.2,7
El tratamiento consiste en resección quirúrgica, nefrectomía parcial o total, cribado genético según el subtipo informado.8 El pronóstico es bueno con seguimiento semestral y anual durante 5 años con tomografía y pruebas de función renal. Además, evitar la exposición a nefrotóxicos, ya que son pacientes monorrenos.










text new page (beta)



