INTRODUCCIÓN
El síndrome de Chilaiditi es una alteración anatómica que consiste en la interposición de una parte del colon -generalmente derecho- entre el hígado y el diafragma1. Fue descrito a profundidad hasta 1910 por el radiólogo vienés Dimitri Chilaiditi2.
El diagnóstico de certeza de este síndrome es siempre radiológico. En una radiografía simple de tórax o abdomen se apreciará una masa aérea entre el hemidiafragma derecho y la opacidad de la masa hepática. En caso de existir dudas con respecto del diagnóstico diferencial, puede ser de utilidad obtener un enema contrastado o una tomografía abdominal1.
Se han descrito 3 tipos de sobreposición hepatodiafragmática:
Interposición del colon transverso y/o intestino delgado en el espacio subfrénico anterior derecho (que es la forma clásica descrita por Chilaiditi).
Interposición de colon o estómago en el espacio extraperitoneal derecho
Interposición del colon transverso en el espacio subfrénico posterior derecho 3
En la literatura especializada, este hallazgo se asocia hasta en 1% de los casos con cáncer de pulmón, cáncer de páncreas y retraso mental; además, se ha relacionado con constipación crónica. A pesar de que la causa de esta alteración es poco clara, se han identificado algunos factores predisponentes, como cirugía abdominal previa, constipación, aerofagia, retraso mental, enfermedad pulmonar obstructiva crónica (EPOC), obesidad y embarazo4.
A continuación, presentamos un caso en el cual -tal como se describe en la literatura- el signo de Chilaiditi ocurre como un hallazgo casual, con la peculiaridad de ameritar un protocolo de estudio para descartar lesiones en el contexto de un antecedente traumático. La importancia de este caso es realizar la correlación del antecedente traumático con la imagen radiológica a fin de poder descartar realmente una lesión del diafragma derecho que es la menos frecuente en este tipo de pacientes y que se trate como en este caso de un signo radiológico por una variante anatómica.
RESUMEN CLÍNICO
Paciente del sexo masculino de 70 años de edad, ingresó al área de urgencias de nuestro hospital traído por ambulancia, con el antecedente de atropellamiento 20 minutos antes de su llegada, en el evento por el que ingreso recibió contusiones en el hemitórax derecho y la pelvis, sin pérdida del estado de alerta. Ingresó con signos vitales TA 110/70 mmHg, FC 78 lat/min, FR 28 resp/min, temp. 36.7 °C, Glasgow de 15, con vía aérea permeable, ausencia de murmullo vesicular en porción inferior de hemitórax derecho asociada con pérdida de la matidez hepática, hemodinámicamente estable, abdomen blando y no doloroso, sin evidencia de irritación peritoneal, dolor a la palpación sobre cresta ilíaca derecha, sin crepitación, consciente con puntaje de 15 en la escala de coma de Glasgow. Resto de la exploración sin datos patológicos. Se integra el diagnostico de contusión simple de tórax y abdomen, sin patología que amerite manejo quirúrgico de urgencia. El paciente evolucionó de manera satisfactoria sin requerir tratamiento quirúrgico y se egresó 8 horas después con analgésicos y medidas higiénico-dietéticas.
Exámenes de laboratorio
HGB 13.6 gr/dL, LEU 5600/mm3, Plaquetas 220 mil/mm3, Glucosa 110 mg/dL, Creatinina 0.6 mg/dL, TP 12.3s y TPT 30s.
Exámenes de gabinete
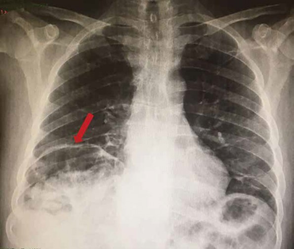
Se obtuvo radiografía anteroposterior de tórax, la cual reveló una imagen radiolúcida por debajo del diafragma del lado derecho (figura 1). Se solicitó tomografía contrastada de abdomen, en la cual se observó -en los cortes a nivel de hígado-interposición de imagen hipodensa con contenido heterogéneo que corresponde al colon e integridad del diafragma (figura 2).

Figura 1 (AP de tórax). La flecha señala la imagen radiolúcida por encima del hígado, que corresponde al colon derecho
DISCUSIÓN
El síndrome de Chilaiditi es una variante anatómica que consiste en la interposición de una parte del colon -generalmente derecho- entre el hígado y el diafragma. Fue descrito por primera vez en el año 1910 por Chilaiditi, su incidencia es 0.02-0.14% de todas las exploraciones radiológicas toracoabdominales. Desde el punto de vista clínico, se caracteriza por pérdida de la matidez hepática (signo de Joubert). En el caso de nuestro paciente, se encontró que tanto los estudios de imagen como los datos clínicos eran característicos del síndrome, aunque -como consecuencia del antecedente traumático- se pensó de manera inicial en una ruptura diafragmática1.
Es importante mencionar que los diagnósticos diferenciales del síndrome de Chilaiditi -además de la ruptura o hernia diafragmática- deben considerar: absceso subfrénico, quiste hidatídico y neumoperitoneo (entre los más frecuentes) aquí, lo más importante, es tomar en cuenta los antecedentes del paciente y la presentación clínica2.
Para que ocurra este síndrome, deben existir factores como son: elongación congénita del colon, intestino redundante, disminución del volumen del hígado, aumento de la presión intrabdominal (ascitis, embarazo, obesidad), estreñimiento prolongado, incremento del peristaltismo y parálisis diafragmática derecha. En nuestro paciente no se detectó ningún factor desencadenante, aunque -por su edad- podría inferirse historial de estreñimiento crónico3.
Cuando se tiene duda con respecto del diagnóstico específico asociado con esta imagen en radiología convencional, es conveniente complementar el protocolo de estudio del paciente con una tomografía toracoabdominal contrastada, la cual revelará la interposición del colon con el hígado, como ocurrió en de nuestro paciente; además, permite corroborar la integridad diafragmática ante el antecedente traumático4.
El tratamiento de este síndrome es conservador y consiste en medidas higiénico-dietéticas destinadas a corregir el estreñimiento, que es un síntoma común, aunque en nuestro caso era completamente asintomático; por este motivo, nuestro paciente egresó sólo con indicaciones generales5.
COMENTARIO
Este caso es un ejemplo de la necesidad de ampliar los estudios en un paciente con historial de trauma con el fin de descartar lesiones que potencialmente pondrían en riesgo su vida.
El paciente sufrió un traumatismo toracoabdominal e ingresó con dolor, disminución de los ruidos respiratorios del lado derecho y pérdida de la matidez hepática, datos clínicos que podrían sugerir alguna lesión relevante.
Al analizar la radiografía de tórax inicial y observar la imagen radiolúcida por encima del hígado, es fácil suponer que ocurrió una ruptura del diafragma; sin embargo, al completar el estudio con una tomografía, se pudo descartar este diagnóstico y corroborar la presencia de síndrome de Chilaiditi con la interposición del colon y el hígado y el signo de Joubert positivo (perdida de la matidez hepática a la percusión).










text new page (beta)




