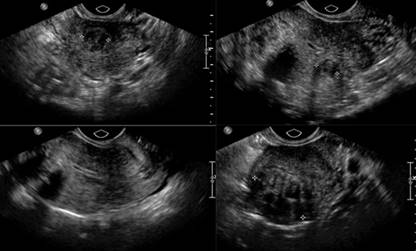
Paciente mujer de 38 años con sangrado transvaginal abundante, dolor en hipogastrio, y antecedentes de trastornos menstruales. Se desconoce la fecha de su última menstruación.
1. ¿Qué tipo de estudio se observa en las imágenes presentadas?
Ultrasonido transvaginal.
Histerosonografía.
Tomografía computarizada.
Ultrasonido Doppler pulsado.
Resonancia magnética.
2. ¿Según las imágenes, cuál es su impresión diagnóstica?
3. ¿Cuál de las siguientes sería la complicación más frecuente de esta patología?
Incremento de partos prematuros.
Hemorragia transvaginal.
Melena.
Síndrome de ovario poliquístico.
Infección uterina.
4. ¿Cómo se clasifica esta patología según la región anatómica afectada?
Embarazo ectópico tubario, ampular y abdominal.
Miomas intramurales, subserosos y submucoso.
Pólipos endometriales y pólipos miometriales.
Miomas endometriales, miometriales y subserosos.
Adenocarcinoma miometrial y endometrial.
5. ¿A qué edad es mas común esta patología?










text new page (beta)



