ANTECEDENTES
El absceso de novo dentro de un endometrioma es una complicación ginecológica muy rara, que resulta en urgencia quirúrgica con alto índice de mortalidad.
Los quistes endometriósicos infectados fueron descritos inicialmente por Shmidt y su grupo. En 1981 Wetchiery y sus colaboradores propusieron tres causas primarias para el origen del absceso ovárico en endometriomas11) inoculación de bacterias directamente en el estroma ovárico por traumatismo quirúrgico,22) propagación hematógena de bacterias; o 3) diseminación linfática. En 1991, Lipscomb y sus coautores reportaron un caso de endometrioma complicado por absceso sin ningún factor de riesgo conocido, posiblemente provocado por propagación hematógena a través de la vía urinaria.3
Hasta la fecha este tipo de complicaciones son excepcionales y la fuente de infección, en casos aislados, representa un enigma.
El objetivo de este estudio es reportar un caso de endometrioma complicado con absceso ovárico, además de exponer y discutir los factores de riesgo asociados, con la finalidad de difundir esta rara alteración y establecer el diagnóstico oportuno.
CASO CLÍNICO
Paciente de 34 años de edad, con antecedentes ginecoobstétricos de: menarquia a los 9 años; primigesta, nulípara y con aborto espontáneo a las 6 semanas de gestación (2001); ciclos menstruales irregulares, antecedente de dismenorrea, sin prescripción de método anticonceptivo, inicio de vida sexual a los 18 años; negó actividad sexual actual, citología cérvicovaginal normal.
La paciente refirió antecedente de dolor pélvico crónico, punzante, de cinco meses de evolución y fiebre intermitente no cuantificada. En su anterior evaluación médica fue diagnosticada con pielonefritis aguda, cuyo tratamiento consistió en gentamicina de 160 mg/día por 5 días, sin reacción satisfactoria, por lo que acudió al Hospital Santa Rosa de Lima para someterse a una nueva valoración.
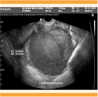
En la exploración física no se encontraron signos de fiebre ni datos de irritación peritoneal, pero percibió dolor moderado a la palpación en la fosa iliaca izquierda, que se irradiaba a la región lumbar y se extendía hasta el muslo posterior ipsilateral. En la evaluación física inicial se encontró útero en anteroversoflexión, cérvix central y posterior; a la palpación: fondo de saco posterior doloroso y ocupado por abultamiento de consistencia suave en más de 50% de la pelvis izquierda. El ultrasonido transvaginal del ovario izquierdo mostró una imagen compatible con endometrioma de 9.2 x 8.4 cm (Figuras 1 y 2).

Figura 1 Ultrasonido transvaginal (región adyacente al útero) que identifica el endometrioma de 10.8 x 10.5 cm, a expensas del ovario derecho.
Los exámenes de laboratorio revelaron leucocitosis de 14 x 103/mm3 , neutrofilia, hemoglobina de 10.6 g/dL, plaquetas 495,000/mm3 y tiempo parcial de protrombina de 14 segundos (índice o proporción internacional normalizado de 0.95). Las pruebas de anticuerpos anti VIH y anti Chlamydia trachomatis fueron negativas y la determinación de proteína C reactiva fue de 205 mg/L. La química sanguínea y el examen general de orina permanecieron dentro de los parámetros normales. La serología para Chlamydia y Mycoplasma fue negativa.
Se intervino quirúrgicamente con diagnóstico presuntivo de endometrioma izquierdo, con disección de la cápsula del quiste endometriósico de 11 x 10 cm, de la que drenaron 500 cc de líquido fétido, color marrón obscuro y liberación de múltiples adherencias tubo-ováricas. Ambas trompas uterinas se observaron con datos sugerentes de infección.
La evolución posoperatoria fue satisfactoria y el informe histopatológico confirmó el diagnóstico de endometrioma de ovario izquierdo complicado con proceso inflamatorio crónico agudizado, con formación de abscesos intramurales y pared revestida con abundante fibrina y neutrófilos, que provocó una ooforitis crónica agudizada purulenta (Figuras 3 y 4).

Figura 3 Imagen macroscópica: superficie externa del quiste endometriósico de ovario derecho, complicado con proceso inflamatorio agudo y crónico, correspondiente a ooforitis crónica agudizada.
DISCUSIÓN
El absceso ovárico espontáneo dentro de un endometrioma es una complicación excepcional. La bibliografía señala diferentes teorías relacionadas con el origen de un absceso espontáneo en un endometrioma; por ejemplo, puede deberse a un trastorno inmunológico en las glándulas endometriales y el estroma.5 Teóricamente, la pared quística del endometrioma es débil, comparada con el epitelio ovárico normal, por lo que es susceptible de invasión bacteriana, incluso la colección de sangre menstrual en algún espacio quístico del ovario representa un medio de cultivo adecuado para el desarrollo de agentes patógenos. Kubota y su grupo reportaron una incidencia de abscesos tubo-ovárico de 2.3 y 0.2% en pacientes con y sin endometrioma, respectivamente (p= 0,0001), lo que sugiere un factor de riesgo para la formación de un absceso ovárico. Las mujeres con endometriosis en estadio III-IV, nulíparas o que no han parido más de dos hijos tienen mayor posibilidad de sufrir abscesos tubo-ováricos que quienes no padecen endometriosis.4
La paciente de este estudio no tenía antecedentes de intervención quirúrgica reciente, enfermedad inflamatoria pélvica, dispositivo intrauterino, aspiración de ovocitos para FIV ni vaginitis bacteriana; por tanto, estos datos demuestran que un absceso ovárico puede originarse dentro de un endometrioma sin ningún factor de riesgo reconocido.
Nuestra paciente nunca se había evaluado por infertilidad o endometriosis, por lo que no conocemos el tiempo de evolución. Es difícil determinar la vía de infección; sin embargo, la hipótesis más aceptada indica que el absceso pudo originarse en el endometrioma por alguna infección ascendente del canal vaginal, por bacteroides (comensales vaginales), debido a una alteración del equilibrio de la flora vaginal, lo que aumentó el potencial replicativo y patogénico de las bacterias.6,7 De igual forma, pudo precipitarse por el consumo reciente de antibióticos. Las pruebas y cultivos vaginales resultaron negativos, por lo que la verdadera fuente de infección resulta un enigma.
Incluso pudo plantearse la posibilidad de alguna infección de transmisión sexual; sin embargo, el antecedente de inactividad sexual, ausencia de secreción vaginal y nula respuesta al tratamiento médico nos orientó a descartar esta hipótesis.
El alto índice de sospecha, la pronta obtención de imágenes por ultrasonido y el drenaje oportuno del absceso fueron la clave para el tratamiento de la paciente.
El caso aquí reportado es trascendente, pues un endometrioma complicado por absceso representa una verdadera urgencia ginecológica. El absceso de ovario sin ruptura es difícil de diagnosticar, debido a que su manifestación clínica es muy variable. Sin embargo, en caso de ruptura, puede provocar la muerte.2
La cirugía es el tratamiento de elección para los endometriomas. La técnica quirúrgica más común es la extirpación de manera conservadora, limitándose al anexo afectado, con la finalidad de minimizar las secuelas.8
CONCLUSIÓN
Para definir el origen de un absceso dentro de un endometrioma es importante estudiar los factores de riesgo. Debemos ser estrictos en la obtención de datos de las pacientes, pues su historial patológico relacionado con la clínica del padecimiento actual puede orientar al diagnóstico certero y oportuno. Sospecharlo, prevenirlo y diagnosticarlo oportunamente es prioridad para reducir la morbilidad y mortalidad de esta complicación. Cualquier mujer con antecedente de endometriosis en etapa avanzada puede tener complicaciones (requerir cirugía mayor o quedar infértil) que pongan en serio riesgo la vida.









nueva página del texto (beta)




