SciELO - Scientific Electronic Library Online

 
vol.53 número2Aneurisma de arteria renal durante trasplante: presentación de caso y revisión de la literatura índice de autoresíndice de materiabúsqueda de artículos
Home Pagelista alfabética de revistas  

Servicios Personalizados

Revista

Articulo

Indicadores

Links relacionados

  • No hay artículos similaresSimilares en SciELO

Compartir


Revista mexicana de angiología

versión On-line ISSN 2696-130Xversión impresa ISSN 0377-4740

Rev. mex. angiol. vol.53 no.2 Ciudad de México abr./jun. 2025  Epub 14-Jul-2025

https://doi.org/10.24875/rma.24000036 

Casos clínicos

Un vínculo inesperado: síndrome antifosfolípido y lepra. Reporte de caso

An unexpected connection: antiphospholipid syndrome and leprosy. A case report

Diego Fernando-Jamioy1  * 

Luis C. Álvarez1  2 

Luis F. Durán1 

Ma. Ximena Andrade1  3 

Daniela Perdomo1 

Fredier R. Suárez1 

1Servicio de Medicina Interna

2Servicio de Medicina Interna y Medicina Vascular

3Servicio de Epidemiología. Universidad Surcolombiana, Neiva, Huila, Colombia


Resumen

Este caso clínico aborda la rara coexistencia de síndrome antifosfolipídico (SAF) y lepra en un paciente de 43 años. El paciente presentó síntomas iniciales de disnea y dolor precordial, siendo diagnosticado con embolia pulmonar y trombosis venosa profunda. A lo largo del tratamiento se descubrió la presencia de anticuerpos antifosfolípidos, específicamente anticuerpos anticardiolipina y anti-β2-glucoproteína IgM, sumado al diagnóstico de lepra por biopsia de nervio sural. El informe destaca la complejidad diagnóstica y terapéutica de esta asociación inusual, enfatizando la necesidad de una aproximación interdisciplinaria y un diagnóstico preciso. Se resalta la importancia de investigaciones más detalladas para comprender completamente la interacción entre SAF y lepra, así como sus implicaciones clínicas y su correlación con anticuerpos específicos.

Palabras clave Síndrome antifosfolípido (SAF); Lepra; Enfermedad de Hansen

Abstract

This clinical case addresses the rare coexistence of antiphospholipid syndrome (APS) and leprosy in a 43-year-old patient. The patient initially presented symptoms of dyspnea and precordial pain, leading to a diagnosis of pulmonary embolism and deep vein thrombosis. Throughout the treatment, the presence of antiphospholipid antibodies was discovered, specifically anticardiolipin and anti-β2-glycoprotein IgM, in addition to the diagnosis of leprosy confirmed by sural nerve biopsy. The report highlights the diagnostic and therapeutic complexity of this unusual association, emphasizing the need for an interdisciplinary approach and accurate diagnosis. The importance of more detailed research to fully understand the interaction between APS and leprosy, as well as its clinical implications and correlation with specific antibodies, is emphasized.

Keywords Antiphospholipid syndrome (APS); Leprosy; Hansen’s disease

Introducción

El síndrome antifosfolipídico (SAF) y la lepra, si bien son trastornos médicos distintos en su naturaleza y etiología, ocasionalmente se manifiestan de manera concomitante en un mismo paciente, lo que plantea un intrigante y desafiante escenario clínico. El SAF se caracteriza por la presencia de anticuerpos antifosfolípidos que predisponen a trombosis y complicaciones obstétricas1, mientras que la lepra es una enfermedad infecciosa crónica causada por Mycobacterium leprae, que afecta principalmente la piel y el sistema nervioso periférico2. El presente reporte de caso clínico se sumerge en esta infrecuente asociación, analizando las complejas implicaciones diagnósticas y terapéuticas que emergen de esta convergencia patológica. En este singular caso clínico se destaca la intrincada interacción entre entidades médicas aparentemente distintas, enfatizando la necesidad de una aproximación interdisciplinaria y un diagnóstico preciso en el tratamiento de pacientes con condiciones médicas poco comunes.

Presentación del caso

Presentamos un paciente de 43 años, procedente de Orito-Putumayo, quien exhibió un cuadro clínico súbito de disnea relacionada con esfuerzos de mediana a baja intensidad, que evolucionó hasta manifestarse en reposo, acompañado de dolor precordial y náuseas. En su evaluación inicial, se identificó un patrón S1Q3T3 y taquicardia sinusal. Para esclarecer el diagnóstico, ante la ausencia del recurso de angiotomografía en muchos centros de atención inicial del país, se llevó a cabo una ecografía bajo el protocolo FATE (Focused Assessment with Sonography for Trauma and Emergency), que reveló signos de disfunción ventricular derecha, como dilatación de la pared libre del ventrículo derecho, movimiento paradójico del septum y trombosis de venosa profunda femoropoplítea izquierda. Dichos hallazgos llevaron al diagnóstico de embolia pulmonar.

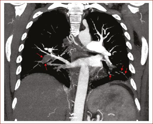
El paciente evolucionó a choque obstructivo extracardiaco e insuficiencia cardiaca aguda, lo que condujo a la decisión de realizar trombólisis con alteplasa 100 mg de forma exitosa en infusión intravenosa durante dos horas según recomendaciones de la guía de la European Society of Cardiology (ESC) para diagnóstico y tratamiento de la embolia pulmonar. Una angiotomografía de tórax posterior confirmó la presencia de tromboembolia pulmonar aguda en diversas áreas pulmonares, incluyendo la arteria lobar inferior derecha y las ramas segmentarias en ambos lóbulos superiores e inferiores y un infarto pulmonar en múltiples lóbulos (Figs. 1 y 2).

Figura 1 La imagen corresponde a una angiotomografía de tórax en fase venosa, realizada bajo protocolo para tromboembolia pulmonar y visualizada en ventana de mediastino en corte coronal. Se observa una tromboembolia pulmonar aguda que compromete la rama basal derecha, así como las ramas segmentarias basales izquierdas de la arteria pulmonar (flechas rojas). 

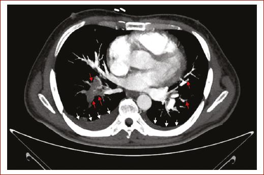
Figura 2 La imagen corresponde a una angiotomografía de tórax en fase venosa, realizada bajo protocolo para tromboembolia pulmonar y visualizada en ventana de mediastino. Se observa una tromboembolia pulmonar aguda que compromete la rama basal derecha, así como las ramas segmentarias basales izquierdas de la arteria pulmonar (flechas rojas). Además, se aprecia un leve derrame pleural (flechas blancas). 

Adicionalmente, se identificó una trombosis venosa profunda que comprometía la vena femoral superficial y la vena poplítea en el miembro inferior izquierdo.

A lo largo de su atención médica, el paciente también desarrolló una trombosis arterial en la arteria cubital derecha a pesar de recibir anticoagulación oral con rivaroxabán a dosis adecuadas. Por lo tanto, se sospechó síndrome de hipercoagulabilidad dada la trombosis venosa profunda y arterial con el antecedente de tromboembolia pulmonar masiva que afectaba diversas áreas pulmonares.

El cuadro clínico se complicó aún más cuando el paciente experimentó hipoestesias en manos y pies junto con lesiones cutáneas no dolorosas y ulceradas. El examen físico reveló un engrosamiento de la región palpebral bilateral y madarosis leve (Fig. 3), lo que sugirió probabilidad de fenómeno de Lucio asociado a la lepra.

Figura 3 Imagen de la región palpebral en la que se observa madarosis leve a moderada, caracterizada por la pérdida parcial de las cejas en ambos ojos. Esta manifestación clínica es frecuente en enfermedades crónicas de origen infeccioso, como la lepra, y puede estar asociada con el engrosamiento cutáneo y los cambios inflamatorios típicos de esta patología. La madarosis, junto con otros signos cutáneos y neurológicos, contribuye a la sospecha clínica de lepra en este paciente (foto original con el consentimiento del paciente). 

Las pruebas de laboratorio revelaron la presencia de anticuerpos anticardiolipina y anticuerpos β2-glucoproteína IgM positivos. Además, se realizó un estudio de electromiografía que mostró una polineuropatía sensitiva axonal crónica y mononeuritis múltiple con compromiso desmielinizante de varios nervios periféricos.

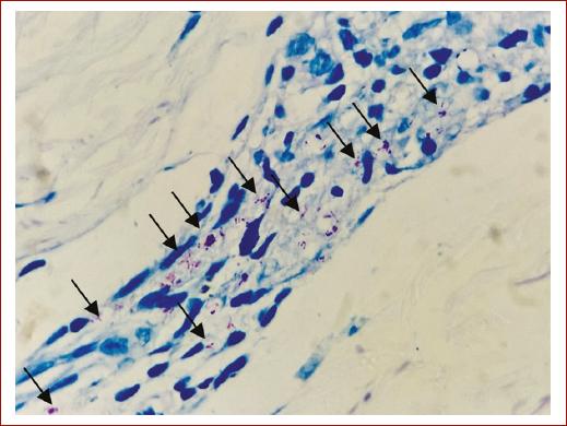
Aunque las pruebas de baciloscopias resultaron negativas, finalmente se confirmó el diagnóstico de lepra borderline lepromatosa mediante una biopsia de nervio sural (Fig. 4).

Figura 4 Biopsia de nervio sural con tinción especial de Ziehl-Neelsen en donde se aprecian múltiples bacilos ácido-alcohol resistentes por campo de alto poder (flechas) (foto original). 

En cuanto al tratamiento, inicialmente se consideró la posibilidad de utilizar warfarina, pero debido a la procedencia rural dispersa del paciente, con condiciones de difícil acceso geográfico y limitaciones para un seguimiento clínico estrecho, así como a la preocupación por la adherencia farmacológica, después de un consenso entre diversas especialidades médicas, se optó por el uso de enoxaparina como anticoagulante ambulatorio.

Además del tratamiento anticoagulante, se inició un protocolo de tratamiento para lepra, que incluía dapsona, rifampicina y clofazimina; con una evolución clínica adecuada y sin otras complicaciones graves, el paciente finalmente fue dado de alta bajo seguimiento ambulatorio multidisciplinario.

Discusión

El SAF es un trastorno autoinmune adquirido descrito por primera vez en 19833; esta enfermedad tromboinflamatoria afecta hasta un tercio de los casos de lupus eritematoso sistémico, causando daño progresivo a los órganos con el tiempo4. También puede manifestarse de manera independiente de otros trastornos autoinmunes y no inmunes, al ser la trombofilia adquirida más frecuente5. La enfermedad es impulsada por anticuerpos antifosfolípidos circulantes, que provocan trombosis vascular y complicaciones obstétricas6. Estos anticuerpos se unen a fosfolípidos y proteínas en las células, activando el endotelio, plaquetas y leucocitos, promoviendo la trombosis y otras complicaciones autoinmunes e inflamatorias7.

Los criterios de clasificación más recientes requieren la presencia persistente de anticuerpos anticardiolipina o anticuerpos anti-β2-glucoproteína I (anti-β2-GPI), así como la detección de lupus anticoagulante por medio de ensayos funcionales7. Esta revisión se centra en el panorama actual del diagnóstico, la patogénesis, los anticuerpos descritos y su asociación con lepra. Está dirigida a individuos interesados en aprender más sobre la atención clínica y la investigación de pacientes con esta enfermedad.

La prevalencia estimada del SAF en la población general es de 40 a 50 casos por cada 100,000 personas, con una incidencia anual de 1 a 2 casos por cada 100,0008. La enfermedad suele diagnosticarse en individuos más jóvenes y solo alrededor del 12.7% de los pacientes recibe el diagnóstico después de los 50 años, según un estudio con 1,000 pacientes9. Aunque la epidemiología de esta condición no ha sido ampliamente investigada, se requieren estudios poblacionales que abarquen diversas edades y orígenes étnicos.

Las venas profundas de las extremidades inferiores y las arterias cerebrales son los lugares más comunes para la formación de trombos. Además, los trombos pueden desarrollarse en áreas menos frecuentes en la población general, como las arterias que suministran las vísceras intestinales y los senos venosos durales10.

Un metaanálisis señaló que la presencia de anticuerpos anticoagulante lúpico (con una odds ratio de 10) aumenta el riesgo de tromboembolia en comparación con los anticuerpos anticardiolipina11. Una cohorte de pacientes con SAF triple positivo (es decir, positividad para anticuerpos anticardiolipina, anticuerpos anti-β2-glicoproteína I y la prueba anticoagulante de lupus) mostró un alto riesgo asociado con este perfil, incluyendo una prevalencia de trombosis del 48.2% en 10 años12. Este riesgo fue más del doble en el subconjunto de pacientes que no utilizaban anticoagulantes.

Los criterios de clasificación del SAF ACR/EULAR (American College of Rheumatology/European Alliance od Associations for Rheumatology) de 2023 establecen un requisito de al menos una prueba positiva para anticuerpos antifosfolípido como anticoagulante lúpico, anticuerpos anticardiolipina o anti-β2-glicoproteína I en los tres años posteriores a la identificación de un criterio clínico compatible. Estos criterios están estructurados con puntuaciones ponderadas de forma aditiva, distribuidas en seis dominios clínicos (tromboembolia venosa macrovascular, trombosis arterial macrovascular, microvascular, obstétrica, valvular y hematológica) y dos dominios de laboratorio (ensayos de coagulación funcional para anticoagulante lúpico y ensayos de inmunoadsorción enzimática en fase sólida para anticuerpos IgG/IgM anticardiolipina y/o aβ2GPI). Para ser clasificados como SAF, los pacientes deben acumular al menos 3 puntos en cada uno de los dominios clínicos y de laboratorio. En comparación con los criterios de clasificación Sapporo revisados de Sydney de 2006, estos nuevos criterios demostraron una especificidad del 99 frente al 86% y una sensibilidad del 84 frente al 99% en la cohorte de validación13.

Por otro lado, la lepra, o enfermedad de Hansen, es causada por la infección con bacilos densos ácido (AFB) del complejo M. leprae, descritos por primera vez por Gerhard Hansen en 187314. Estos bacilos, que se replican lentamente en macrófagos, células endoteliales y células Schwann, son organismos intracelulares obligados y no crecen en medios artificiales15. Su crecimiento óptimo ocurre entre 27 y 33 grados Celsius16. Aunque Mycobacterium lepromatosis se ha identificado más recientemente como un agente etiológico, su curso clínico puede ser indistinguible de la infección causada por M. leprae14.

Existen factores de riesgo notables como la exposición cercana a individuos lepromatosos/multibacilares, contacto con armadillos, inmunosupresión/inmunodeficiencia y predisposición genética. Aunque el programa de la Organización Mundial de la Salud (OMS) se enfoca en eliminar la transmisión humana, hay estudios que sugieren la posible propagación por vectores zoonóticos, especialmente con el aumento de armadillos en EE.UU.17

El tiempo que transcurre desde la exposición a la lepra hasta la aparición de síntomas varía considerablemente. Se estima que el periodo de incubación es extenso, de 3 a 5 años para la lepra tuberculoide (LT) y de 9 a 12 años para la lepra lepromatosa (LL)18.

Los sistemas de clasificación Ridley-Jopling y OMS guían el tratamiento, considerando el índice bacteriológico (BI), características clínicas e histológicas para el primer sistema de clasificación y el número de lesiones cutáneas y BI para el segundo. Permiten distinguir dos fenómenos de presentación como LT y LL y de línea fronteriza (borderline)19.

La presentación es comúnmente con parches hipopigmentados o eritematosos y pérdida de sensación, siendo esta la afectación neuronal temprana20. La respuesta inmunitaria del paciente determina la presentación clínica, con pacientes LT mostrando respuesta mediada por células vigorosa y menos lesiones, mientras que pacientes LL carecen de respuesta inmunitaria, mostrando lesiones generalizadas tipo placa, facies leonina y afectación de órganos adicionales como riñón y testículos. Los pacientes de línea fronteriza son inestables en su respuesta inmunitaria. Muchos pacientes finalmente entran en esta categoría21.

La decisión de realizar trombólisis en este paciente se fundamenta en el cuadro clínico sugestivo de embolia pulmonar masiva y trombosis venosa profunda, combinado con los hallazgos de inestabilidad hemodinámica y datos ecocardiográficos que apoyan la disfunción ventricular derecha. En situaciones críticas en las cuales el paciente presenta signos de choque obstructivo y disnea en reposo, la intervención rápida es fundamental para evitar desenlaces fatales. En estos casos, cuando el acceso a una angiotomografía es limitado, como sucede en muchos centros de atención inicial en Colombia, las guías clínicas permiten el uso de trombólisis basada en la sospecha clínica fuerte y en los hallazgos ecocardiográficos22. La ecografía FATE reveló dilatación del ventrículo derecho, movimiento paradójico del septum y trombosis venosa profunda, todos hallazgos indicativos de sobrecarga del ventrículo derecho y embolia pulmonar de alto riesgo. Por lo tanto, la trombólisis fue una decisión adecuada, respaldada por la evidencia de disfunción cardiaca y el riesgo inminente de colapso circulatorio, permitiendo una intervención oportuna y mejorando las posibilidades de supervivencia del paciente.

Aunque el intervencionismo es una opción recomendada y muy eficaz en el manejo de la tromboembolia pulmonar, especialmente en pacientes de alto riesgo22, en territorios alejados de Colombia esta modalidad, al igual que la angiotomografía, deja de ser una alternativa viable debido a la falta de recursos.

El diagnóstico de lepra se fundamenta en los hallazgos clínicos y los resultados de anatomía patológica. La prueba de reacción en cadena de la polimerasa (PCR) es un método común de confirmación. En el examen histológico, los pacientes con LT presentan granulomas epitelioideos, infiltración linfocítica y pocos bacilos, mientras que en LL se observan histiocitos difusos y chorros de bacilos llamados globi. La tinción ácido alcohol resistente dentro de los nervios periféricos confirma el diagnóstico23.

En una revisión de la literatura se encontró información relevante que destaca la necesidad de examinar más a fondo la posible conexión entre estas dos condiciones médicas. Se destaca la presencia de anticuerpos antifosfolípidos no solo en trastornos autoinmunitarios, sino también en diversas enfermedades infecciosas. En una investigación que se centró en evaluar la prevalencia de diferentes anticuerpos antifosfolípidos en pacientes con lepra se incluyeron 51 pacientes ambulatorios (42 lepromatosos y 9 con lepra borderline) sin características clínicas de SAF. Se detectaron 35 casos con anticoagulante lúpico y 31 con anticuerpos anticardiolipina. Los anticuerpos anti-β2-GPI fueron altamente positivos en 29/51, y los anticuerpos anti-proteína de la trombina (anti-II) se detectaron en 23/51. Casi todos los anticuerpos anticardiolipina y anti-β2-GPI fueron del isotipo IgM, mientras que el isotipo IgG fue más frecuente entre los anti-II. No se encontraron diferencias estadísticas cuando se evaluaron los anticuerpos antifosfolípidos en pacientes agrupados según su estado bacteriológico24.

En un estudio de casos y controles en el que se investigaron los polimorfismos de la β2-GPI en pacientes con lepra se documentó que el 42% de los pacientes con lepra multibacilar (MB) y el 17% con lepra paucibacilar fueron positivos para anticuerpos anti-β2-GPI IgM (p = 0.014)25.

Por otra parte, un estudio realizado en Brasil buscó la prevalencia de anticuerpos anticardiolipina y anti-β2-GPI en pacientes con lepra, durante y después de la terapia multidrogas específica, y evaluar una posible asociación entre estos anticuerpos y algunas características clínicas de la lepra, incluyendo formas clínicas, episodios de reacción y tratamiento. El estudio incluyó a 158 pacientes con lepra, 129 individuos sanos emparejados por sexo y edad, y 38 mujeres con SAF primario. Se compararon estas poblaciones, encontrando niveles elevados de anticardiolipina y anti-β2-GPI en pacientes con lepra y en el grupo de SAF. Sin embargo, a diferencia del SAF, el isotipo predominante en la lepra fue IgM. La frecuencia de anticardiolipina y anti-β2-GPI fue significativamente mayor en pacientes con lepra que en individuos sanos (15.8 vs. 3.1%, p > 0.01; 46.2 vs. 9.4%, p > 0.01), respectivamente. La forma lepromatosa predominó entre los pacientes con lepra positivos para anticardiolipina (p > 0.01)26.

El manejo del SAF es típicamente anticoagulación con warfarina debido a su eficacia en la prevención de eventos trombóticos recurrentes12. Sin embargo, en pacientes que residen en áreas de difícil acceso, como el caso de este paciente de Orito, Putumayo, donde el monitoreo regular del ratio internacional normalizado y el acceso a servicios médicos especializados pueden ser limitados, la warfarina presenta importantes desventajas. La necesidad de ajustes frecuentes en la dosificación y de controles periódicos para garantizar la eficacia y seguridad de este medicamento representa un desafío logístico considerable. Por esta razón, se decidió optar por el uso de enoxaparina como anticoagulante ambulatorio, considerando su perfil de seguridad, facilidad de administración y la menor dependencia de monitoreo constante. Esta elección busca equilibrar riesgos y beneficios, priorizando la adherencia y continuidad del tratamiento en un entorno que presenta barreras geográficas y de acceso a servicios médicos, optimizando así los resultados en el paciente.

En resumen, los anticuerpos antifosfolípidos relacionados con la lepra se asemejan a los encontrados en pacientes con SAF, pero el isotipo de inmunoglobulina es diferente, siendo mucho más prevalente IgM en pacientes con lepra. Y aunque los estudios existentes proporcionan cierta perspectiva sobre la relación entre el SAF y la lepra, se requiere una investigación más detallada para comprender completamente la interacción entre estos dos trastornos y su impacto potencial en la salud y el manejo clínico.

Conclusión

Aunque los estudios revisados revelan la presencia de anticuerpos antifosfolípidos en pacientes con lepra, destacando similitudes con los encontrados en el SAF, se observa una diferencia en el isotipo de inmunoglobulina predominante. Mientras que en el SAF el isotipo IgG es más común, en los pacientes con lepra, especialmente aquellos con LL, el isotipo IgM es más prevalente.

La revisión subraya la necesidad de investigaciones más detalladas para comprender completamente la relación entre el SAF y la lepra. Los estudios actuales proporcionan una perspectiva inicial, pero se requiere una mayor exploración para determinar el impacto potencial de esta asociación en la salud y el manejo clínico de los pacientes. Además, la heterogeneidad de la respuesta inmunitaria en diferentes formas clínicas de la lepra y la variabilidad en la presentación de los anticuerpos antifosfolípidos plantean interrogantes que necesitan respuestas adicionales. En última instancia, se necesita una investigación más profunda para esclarecer la interacción entre estos dos trastornos y sus implicaciones clínicas.

Agradecimientos

Expresamos nuestro más sincero agradecimiento a la Universidad Surcolombiana por su invaluable apoyo en la realización de este artículo y especialmente a los médicos internistas y vasculares, así como a los estudiantes y residentes de medicina interna incluidos como coautores del artículo, cuyo esfuerzo y dedicación hicieron posible este trabajo. Su compromiso con la investigación clínica y su colaboración en el análisis y redacción de este caso han sido fundamentales para la calidad de este estudio.

Contribución de los autores

Todos los autores han contribuido a la concepción del artículo, elaboración del borrador, elaboración final del documento, revisión y aprobación.

Bibliografía

1. Ruiz Gutiérrez L, Pérez Gómez A. Síndrome antifosfolípido. Medicine - Programa de Formación Médica Continuada Acreditado. 2013;11(32):1975-80. [ Links ]

2. Lepra (mal de Hansen) [Internet]. Organización Mundial de la Salud [citado:16 dic 2023]. Disponible en:https://www.who.int/es/news-room/fact-sheets/detail/leprosy [ Links ]

3. Roberto J, Evia B. Síndrome de anticuerpos antifosfolípido. Rev Mex Patol Clin. 2003;50(1):20-32. [ Links ]

4. Escobar Martínez M. Inmunología. Síndrome antifosfolípido:generalidades y diagnóstico. Medicina &Laboratorio. 2013;19:451-64. [ Links ]

5. Rodríguez Casa V, Consani Fernández S, Moreira Milanesi E, Facal Castro J, Rodríguez Casa V, Consani Fernández S, et al. Manifestaciones clínicas “no criterio”del síndrome antifosfolipídico. Presentación de una cohorte nacional. Revista Uruguaya de Medicina Interna. 2023;8(2):26-37. [ Links ]

6. Miyakis S, Lockshin MD, Atsumi T, Branch DW, Brey RL, Cervera R, et al. International consensus statement on an update of the classification criteria for definite antiphospholipid syndrome (APS). J Thromb Haemost. 2006;4(2):295-306. [ Links ]

7. Knight JS, Branch DW, Ortel TL. Antiphospholipid syndrome:advances in diagnosis, pathogenesis, and management. BMJ. 2023;380:69717. [ Links ]

8. Pelaes-Cruz EJ, Chigne-Castro YS, Rios-Pereda WB, Castillo YR, Raza M del PR, Rodriguez-Cárdenas BM, et al. Trombosis portal en síndrome antifosfolipídico:Reporte de Caso. Rev Fac Med Hum. 2022;22(4):882-7. [ Links ]

9. Cervera R, Piette JC, Font J, Khamashta MA, Shoenfeld Y, Camps MT, et al. Antiphospholipid syndrome:clinical and immunologic manifestations and patterns of disease expression in a cohort of 1,000 patients. Arthritis Rheum. 2002;46(4):1019-27. [ Links ]

10. Limper M, ScirèCA, Talarico R, Amoura Z, Avcin T, Basile M, et al. Antiphospholipid syndrome:State of the art on clinical practice guidelines. RMD Open. 2018;4(Suppl 1):e000785. [ Links ]

11. Knight JS, Branch DW, Ortel TL. Antiphospholipid syndrome:advances in diagnosis, pathogenesis, and management. BMJ. 2023;380:69717. [ Links ]

12. Pengo V, Ruffatti A, Legnani C, Gresele P, Barcellona D, Erba N, et al. Clinical course of high-risk patients diagnosed with antiphospholipid syndrome. J Thromb Haemost. 2010;8(2):237-42. [ Links ]

13. Favaloro EJ, Pasalic L, Lippi G. Classification criteria for the antiphospholipid syndrome:not the same as diagnostic criteria for antiphospholipid syndrome. Semin Thromb Hemost. 2024;50(4):605-8. [ Links ]

14. Gilmore A, Roller J, Dyer JA. Leprosy (Hansen's disease):an update and review. Mo Med. 2023;120(1):39. [ Links ]

15. Couto Dal Secco RG, França K, Castillo D, AlHarbi M, Lotti T, Fioranelli M, et al. A synopsis of the history of Hansen's disease. Wiener Medizinische Wochenschrift. 2017;167:27-30. [ Links ]

16. Concha RM, Cossio TML, Salazar SI, Fich SF, Pérez CC, González BS. Enfermedad de Hansen:Revisión a propósito de un caso. Rev Chil Infectol. 2008;25(1):64-9. [ Links ]

17. Truman RW, Singh P, Sharma R, Busso P, Rougemont J, Paniz-Mondolfi A, et al. Probable zoonotic leprosy in the southern United States. N Engl J Med. 2011;364(17):1626-33. [ Links ]

18. Lepra [Internet]. Organización Panamericana de la Salud, Organización Mundial de la Salud [citado:16 dic 2023]. Disponible en:https://www.paho.org/es/temas/lepra [ Links ]

19. Maymone MBC, Laughter M, Venkatesh S, Dacso MM, Rao PN, Stryjewska BM, et al. Leprosy:clinical aspects and diagnostic techniques. J Am Acad Dermatol. 2020;83(1):1-14. [ Links ]

20. Makhakhe L. Leprosy review. South African Family Practice [Internet]. 2021 Oct 29 [citado:16 dic 2023;63(4). Disponible en:https://www.ajol.info/index.php/safp/article/view/235194 [ Links ]

21. Rada E, Aranzazu N, Convit J. Respuesta inmunitaria de la enfermedad de Hansen. Revisión. Invest Clin. 2009;50(4):513-27. [ Links ]

22. Konstantinides SV, Meyer G, GaliéN, Simon R, Gibbs J, Aboyans V, et al. 2019 ESC Guidelines for the diagnosis and management of acute pulmonary embolism developed in collaboration with the European Respiratory Society (ERS):The Task Force for the diagnosis and management of acute pulmonary embolism of the European Society of Cardiology (ESC). Eur Respir J. 2019;54(3):1901647. [ Links ]

23. Darias-Domínguez C, Velázquez-Sánchez A, De Vegas-Ascanio L, Piña-Rodríguez Y. Respuesta inmune en pacientes con diagnóstico de lepra. Revista Médica Electrónica [Internet]. 2023 [citado:16 dic 2023];45(5):741-52. Disponible en:http://scielo.sld.cu/scielo.php?script=sci_arttext&pid=S1684-18242023000500741&lng=es&nrm=iso&tlng=es [ Links ]

24. De Larranaga GF, Forastiero RR, Martinuzzo ME, Carreras LO, Tsariktsian G, Sturno MM, et al. High prevalence of antiphospholipid antibodies in leprosy:evaluation of antigen reactivity. Lupus. 2000;9(8):594-600. [ Links ]

25. Brochado MJF, Figueiredo JFC, Mendes-Junior CT, Louzada-Junior P, Kim OM, Roselino AM. Correlation between beta-2-glycoprotein I gene polymorphism and anti-beta-2 glycoprotein I antibodies in patients with multibacillary leprosy. Arch Dermatol Res. 2010;302(8):583-91. [ Links ]

26. Ong SG, Cheng HM, Soon SC, Goh E, Chow SK, Yeap SS. IgG anti-b2 glycoprotein I antibodies in Malaysian patients with antiphospholipid syndrome and systemic lupus erythematosus:prevalence and clinical correlations. Clin Rheumatol. 2002;21(5):382-5. [ Links ]

FinanciamientoLa presente investigación no ha recibido ninguna beca específica de agencias de los sectores públicos, comercial o con ánimo de lucro.

Consideraciones éticas

Protección de personas y animales. Los autores declaran que para esta investigación no se han realizado experimentos en seres humanos ni en animales.

Confidencialidad, consentimiento informado y aprobación ética. Los autores han seguido los protocolos de confidencialidad de su institución, han obtenido el consentimiento informado de los pacientes, y cuentan con la aprobación del Comité de Ética. Se han seguido las recomendaciones de las guías SAGER, según la naturaleza del estudio.

Declaración sobre el uso de inteligencia artificial. Los autores declaran que no utilizaron algún tipo de inteligencia artificial generativa para la redacción de este manuscrito.

Recibido: 07 de Mayo de 2024; Aprobado: 07 de Abril de 2025

* Correspondencia: Diego Fernando-Jamioy E-mail: dieferja@gmail.com

Conflicto de intereses

Los autores declaran no tener ningún conflicto de intereses.

Creative Commons License Sociedad Mexicana de Angiología y Cirugía Vascular y Endovascular. Published by Permanyer. This is an open ccess article under the CC BY-NC-ND license