Introducción
El cáncer colorrectal (CCR) es la neoplasia digestiva más común. En México ocupó hasta el año 2018, el tercer lugar en incidencia para ambos sexos, con un total de 14,900 casos nuevos (7.8% del total de casos nuevos de cáncer); en hombres ocupó el segundo lugar en incidencia, con 7,795 casos, y en mujeres el quinto lugar, con 7,105 casos. En cuanto a la mortalidad, se registraron para el cáncer de colon 5,700 muertes (6.8% del total de muertes por cáncer), mientras que para el cáncer de recto se registraron 1,325 muertes (1.6% del total de muertes por cáncer)1.
Aproximadamente el 90% de las neoplasias malignas colorrectales son adenocarcinomas, de los cuales la variante mas común es la intestinal2.
Es un proceso de enfermedad multifactorial, con una etiología que involucra factores genéticos, exposiciones ambientales y afecciones inflamatorias del tracto digestivo. Los antecedentes familiares positivos se encuentran en aproximadamente el 10-20% de todos los pacientes con CCR, con riesgo variable según el número y el grado de familiares afectados y la edad del diagnóstico. Por otro lado, existe un subgrupo de aproximadamente un 5-7% de los pacientes con CCR que está afectado por un síndrome de CCR hereditario bien definido3.
La edad es un factor de riesgo bien conocido para el CCR. La línea de tiempo para la progresión de la lesión premaligna temprana al cáncer varía de 10 a 20 años, con una mediana de edad al diagnóstico de 68 años en hombres y 72 años en mujeres4.
Debido a que el cáncer de colon en etapa temprana es típicamente asintomático, el cribado desempeña un papel importante en la identificación de lesiones cancerosas curables, así como en la detección de lesiones precancerosas (pólipos de colon adenomatosos), lo que ha impactado de forma importante en la disminución de la incidencia de CCR y las tasas de mortalidad en las últimas décadas.
Sin embargo, también la adopción de nuevas prácticas en el diagnóstico y tratamiento ha permitido disminuir la mortalidad un 50% en los países más desarrollados. En particular, las diversas modalidades de diagnóstico por imagen permiten mejorar la toma de decisiones terapéuticas, la evaluación de la respuesta y eficacia de las nuevas terapias, y la detección precoz de la recidiva5. El estadio del CCR al momento del diagnóstico es uno de los principales factores pronósticos, la supervivencia a cinco años es del 91% cuando se detecta en un estadio localizado, del 71% cuando se detecta afectación regional y del 17% cuando existe enfermedad a distancia.
En población hispana, el 38% de los pacientes se diagnostican con enfermedad localizada, el 36% con enfermedad regional y el 21% con enfermedad metastásica a distancia2.
En este contexto y debido al alto porcentaje de pacientes que presentan enfermedad metastásica al diagnóstico y el impacto que esto tiene en la supervivencia, la elección de los estudios de imagen tiene un papel fundamental en el diagnóstico temprano y la estadificación correcta. La tomografía contrastada de abdomen y pelvis ofrece una sensibilidad para la detección de tumores T3-T4 del 90%, con una especificidad del 69%, mientras que para la estadificación ganglionar la sensibilidad es del 71%, con una especificidad del 67%6. Trabajos recientes han demostrado la precisión de la tomografía por emisión de positrones-tomografía computarizada (PET-CT) en la estadificación inicial, al aclarar los hallazgos equívocos en las imágenes convencionales y evaluar enfermedad metastásica.
Material y métodos
Nuestro estudio incluyó a 15 pacientes con diagnóstico confirmado de CCR a quienes se les realizó PET-CT y tomografía computarizada (TC) de estadificación, con una diferencia entre estudios menor a tres semanas, en el Hospital Ángeles Pedregal. Se determinó de dichos pacientes mediante el expediente: sexo, edad al diagnóstico, sitio de tumor primario y tipo histológico de este y fecha de realización de la PET-CT y la TC para la estadificación.
También se evaluó de dichos casos mediante la estación de trabajo PET-CT dedicada y el Carestream Health®: la lesión primaria (si se identificó o no, tamaño y valor estandarizado de captación máximo [SUVmáx]) y las lesiones secundarias (si se identificaron o no, localización, número, tamaño y SUVmáx).
El análisis estadístico se llevó acabo con el empleo del programa IBM SPSS versión 25. Las variables cualitativas se describieron mediante frecuencias y porcentajes, mientras que en las variables cuantitativas se emplearon medidas de tendencia central. Los resultados fueron expresados mediante tablas o gráficos.
Resultados
Entre el 2016 y 2020 se realizaron 30 estudios de PET-CT y TC para la estadificación de 15 pacientes con diagnóstico confirmado de CCR en el Hospital Ángeles Pedregal, de los cuales el 40% fueron mujeres y el 60% hombres (Tabla 1). Referente a la edad de dicha población, se encontró un rango entre 41 y 88 años, con una media de 64 ± 12.6 años (Fig. 1).
Tabla 1 Distribución por sexo de pacientes con cáncer colorrectal que contaban con tomografía por emisión de positrones/tomografía computarizada y tomografía computarizada
| Frecuencia | Porcentaje | Porcentaje válido | Porcentaje acumulado | |
|---|---|---|---|---|
| Femenino | 6 | 40.0 | 40.0 | 40.0 |
| Masculino | 9 | 60.0 | 60.0 | 100.0 |
| Total | 15 | 100.0 | 100.0 |

Figura 1 Frecuencia de detección del tumor primario por PET y TC, de acuerdo al sitio de desarrollo (colon, colon derecho y recto). PET: tomografía por emisión de positrones; TC: tomografía computarizada.
Al evaluar la frecuencia por sitio de tumor primario en los pacientes con diagnóstico de CCR, se encontró que el 40% de los cánceres se desarrollaron en el colon izquierdo, el 26.7% en colon derecho y el 33.3% en recto (Fig. 2). En cuanto a la histología, el 100% de los pacientes incluidos presentaron tumores epiteliales del tipo adenocarcinoma.

Figura 2 Media SUVmáx de la lesión primaria, por sitio de desarrollo (colon, colon derecho y recto).
En el análisis basado en pacientes, la PET-CT identificó 11 de las 15 lesiones primarias, es decir el 73.3% (Tabla 2), mientras que la TC contrastada detectó el 53.3% (8/15).
Tabla 2 Frecuencia y porcentaje de detección de lesiones primarias por tomografía por emisión de positrones/tomografía computarizada en pacientes con cáncer colorrectal
| Frecuencia | Porcentaje | Porcentaje válido | Porcentaje acumulado | |
|---|---|---|---|---|
| No | 4 | 26.7 | 26.7 | 26.7 |
| Sí | 11 | 73.3 | 73.3 | 100.0 |
| Total | 15 | 100.0 | 100.0 |
Así mismo, basado en el sitio de lesión primaria, la PET/CT identificó la lesión primaria en el 60% de los casos de colon izquierdo (4/6), el 66% de los casos de colon derecho (3/4) y el 80% de los casos de recto (4/5), mientras que la TC identificó la lesión primaria en el 33% de los casos de colon izquierdo (2/6), el 50% de los casos de colon derecho (2/4) y el 80% de los casos de recto (4/5) (Fig. 3).

Figura 3 Metástasis hepáticas hipermetabólicas en paciente con antecedente de adenocarcinoma en la unión recto-sigmoides, no visualizadas por tomografía computarizada.
También se realizó el análisis basado en pacientes para ganglios linfáticos locorregionales, ganglios linfáticos a distancia, metástasis pulmonares, hepáticas, en sistema nervioso central (SNC) y otros sitios (entre los que se incluyen ovarios, hueso e implantes en tejido celular subcutáneo). La PET-CT identificó ganglios linfáticos locorregionales en el 66.7% de los casos frente al 33.3% que logró identificar la TC (10 vs. 5), también fue superior para la detección de ganglios linfáticos a distancia (3 vs. 1) y metástasis hepáticas (3 vs. 2); además identificó una lesión ósea que no fue detectada por TC.
Ambos presentaron resultados comparables para las metástasis pulmonares y en ningún paciente se detectaron metástasis en el SNC. En total la PET-CT logró detectar un total de 30 lesiones, en comparación con la TC, que detectó un total de 18 lesiones, ambas incluyendo la lesión primaria.
El análisis semicuantitativo comprendió el cálculo de los SUVmáx, por medio de regiones de interés alrededor de los sitios asociados a captación anormal de la 18-fluoro-2-desoxi-d-glucosa ([18]F-FDG). Si había más de una lesión en un órgano o sistema, se tomó la lesión más grande para su análisis. Debido a que los sitios de infiltración tumoral por paciente no fueron comparables, se realizo el calculo del SUVmáx promedio de las lesiones por paciente y se encontró un rango entre 4.34 y 14.36, con una media de 7.85 ± 2.81 (Tabla 3). También se evaluaron de forma independiente los SUVmáx de las 11 lesiones primarias que se identificaron, encontrando un rango entre 4.53 y 25.82, siendo el valor más bajo para un tumor en colon izquierdo y el valor más alto para un tumor en colon derecho. En el análisis por sitio de tumor primario, la media de SUVmáx obtenido más alta fue de 12.8 para los tumores de recto (Fig. 4).
Tabla 3 Tabla de frecuencias de SUVmáx promedio de las lesiones por paciente
| N | 15 |
|---|---|
| Media | 7.8507 |
| Mediana | 6.7300 |
| Desviación | 2.81761 |
| Rango | 10.02 |
| Mínimo | 4.34 |
| Máximo | 14.36 |

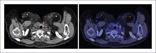
Figura 4 Metástasis ganglionar cervical hipermetabólica en paciente con antecedente de adenocarcinoma de recto, no visualizada por tomografía computarizada.
Se realizó también la evaluación de la estadificación N y M obtenida por PET-CT y TC, en la cual, por ambos métodos, se identificó solo un paciente N1A, la PET-CT identificó cinco pacientes N1B y tres pacientes N2A, mientras que la TC identificó cuatro y dos pacientes respectivamente; no se identificó afectación ganglionar en seis pacientes por PET-CT y ocho pacientes por TC (Fig. 5).

Figura 5 Metástasis en sacro derecho hipermetabólica en paciente con antecedente de adenocarcinoma de colon derecho, no visualizada por tomografía computarizada.
En la evaluación de metástasis a distancia (M), la PET-CT identificó tres pacientes M1A, dos M1B y uno M1C, mientras que la TC identificó dos pacientes M1A y el mismo número de pacientes para la estadificación M1B y M1C. No se identificaron metástasis a distancia en nueve pacientes por PET-CT y 10 pacientes por TC (Fig. 6).
Discusión
Como se reporta en las estadísticas mundiales, la tasa de incidencia global de CCR en mujeres reportada es de 16.2 por 100,000 habitantes, mientras que para los hombres es de 23.4 por 100,000 habitantes, por lo que podemos señalar que la población atendida por el Hospital Ángeles Pedregal entre 2016 y 2020 corresponde a la descripción de incidencia por sexo en el mundo1.
Se ha descrito que el grupo de edad que suele ser más afectado por CCR es a partir de los 65 años para ambos sexos, lo cual coincide con los cuatro años observados de manera retrospectiva en nuestro hospital, donde la mediana de edad fue de 70 años para hombres y 67 años para mujeres. La prevalencia en la lateralidad del CCR de forma global es del 70% para el colon izquierdo y del 30% para el colon derecho, estadística que corresponde con los resultados de los cuatro años evaluados en este estudio, la cual fue del 73.3% para el colon izquierdo (incluido el recto) y el 26.7% para el colon derecho3. Como muestra la literatura, la estadificación adecuada del CCR juega un papel clave en la determinación del manejo terapéutico posterior, el cual tiene un impacto directo en la supervivencia y mortalidad de los pacientes3.
Respecto al objetivo principal de este estudio, la PET-CT mostró ser superior a la TC en la identificación del tumor primario (73.3 vs. 53.3%). Además, también demostró una mayor capacidad de detección de ganglios linfáticos locorregionales, ganglios linfáticos a distancia y metástasis hepáticas, e identificó una lesión ósea que no fue detectada por la TC.
Para las lesiones pulmonares, sin embargo, la capacidad de detección para ambos métodos fue la misma. Cambió la estadificación ganglionar en ocho pacientes, de estos, cinco casos incrementaron su estadiaje y tres lo disminuyeron. Así mismo, en la evaluación de metástasis a distancia, en cuatro pacientes se produjo un incremento en estadificación.
Estos cambios en la estadificación inicial de los pacientes con CCR podrían modificar de forma potencial la estrategia en el tratamiento hasta en un 35%5.
Si bien en este estudio no se encontró una correlación significativa entre los SUVmáx y la estadificación de los pacientes, sí se pudo comprobar una relación entre el SUVmáx y la lateralidad del tumor primario, en donde los tumores de colon derecho, que se asocian a características moleculares de peor pronóstico, presentaron valores más altos de SUVmáx.










nueva página del texto (beta)



