Introduction
Fungal endocarditis (FEs) accounts for 1-3% of all infective endocarditis (IEs) cases, is associated with high morbidity and mortality (>70%), and presents numerous challenges during clinical care. Candida spp are the most common causes of FEs, implicated in over 50% of cases, followed by Aspergillus and Histoplasma spp. Important risk factors for FEs include prosthetic valves, prior heart surgery, and injection drug use1,2.
This complication is an extremely debilitating disease associated with high morbidity and mortality. It is most prevalent in patients who are immunosuppressed and intravenous drug users. Most patients present with constitutional symptoms, which are indistinguishable from bacterial endocarditis, hence a high index of suspicion is required for pursuing diagnosis2.
FEs, a relatively rare disease, has a high rate of mortality and is associated with multiple morbidities. Late or mistaken diagnosis contributes to delayed and incorrect management of patients3.
Despite the advancement in medicine, there is still a lack of understanding of the sex disparities in disease onset, progression, treatment, and outcome. In some life-threatening acute conditions, despite most patients with these illnesses being males, females have a significantly higher chance of mortality4.
The diagnosis of IEs is based on microbiological analyses and diagnostic imaging of cardiac manifestations. Echocardiography (ECHO) is preferred for visualization of IE-induced cardiac manifestations. There is an association between bacterial infections and specific IE manifestations diagnosed by ECHO to be considered5.
There are case reports of patients with COVID-19 pneumonia and its complications in which cases are very often receiving steroids such as methylprednisolone, subsequently developing disseminated Aspergillus endocarditis6.
The present manuscript presents a literature review from the most actual articles about this topic, additionally, we report a rare case of multivalve FEs and highlight the challenges encountered in diagnosis, complications, and predictors of poor prognosis.
Etiology
Candida spp., in particular, Candida albicans, are the most common organisms of FEs. Non-albicans species associated include Candida parapsilosis, Candida tropicalis, and Candida glabrata. Aspergillus sp. including Aspergillus flavus, Aspergillus fumigatus, and Aspergillus niger. Aspergillus species are more prevalent in prosthetic valves endocarditis7. Other organisms associated with FEs are Histoplasma species, Cryptococcus neoformans, Trichophyton species, Microsporum species, Fusarium species, Paecilomyces species, and Pseudallescheria boydii8. Similar organisms are associated with FEs in children. Candida infection rates decrease, and Aspergillus infection rates increase with older age in children through the age of 197,8. Risk factors for FEs include:
− History of open-heart surgery, prosthetic grafts
− Presence of central line
− Long-term antibiotic therapy IN drug use
− Pre-existing congenital heart disorder
− Immunosuppressed state, prolonged use of corticosteroids
In most cases, FEs affects prosthetic valves9.
Epidemiology
FEs is associated with immunocompromised states, intravenous drug use, prolonged antibiotic use, and long-term parenteral nutrition, individuals with prosthetic heart valves or a history of reconstructive cardiac surgery, native valve FEs can occur in organ transplants recipients on immunosuppressive agents, patients with myelodysplastic syndrome, and on long-term glucocorticoids and cytotoxic drugs users10.
Candida species are commensal organisms in the gastrointestinal tract, lower genital tract, and oral cavity. The risk of candidiasis increases dramatically if the host of immunocompromised due to various reasons11.
Aspergillus spp. are ubiquitous organisms in the environment. Renovation of old buildings, including hospitals and contaminated air conditioning systems, may be the source of infection as airborne transmission is common for Aspergillus spp2.
Pathophysiology
Source of fibrin/platelet bed, infection risk, impaired host defense mechanisms, and fungal adherence/virulence factors are necessary elements leading to FEs. The pathophysiology occurs in classic steps:
− First step of FEs is the inoculation and colonization of the bloodstream by the yeast or molds
− The second step is associated with the conversion of blastospores into a filamentous form, also known as phenotypic switching, which allows for the adherence to the endocardium and invasion. Different factors such as cell surface proteins in the fungal wall, the int1p protein in Candida species, and leucocyte- induced adhesion molecule allow for adherence to the heart valves
− The third steps occur when fungal adhesion is follo- wed by proliferation and tissue destruction9.
Clinical approach
It is very difficult to differentiate FEs from bacterial etiology. FE usually presents as subacute endocarditis. The most common presentation in all patients with FE is fever, which is usually prolonged (more than 2 weeks) and is often associated with chills, sweating, and fatigue. A new, previously unrecognized, or change in the quality of previously recognized murmur is a common finding. Other clinical signs of FE include peripheral embolization in the extremities, brain, lung, kidneys, and gastrointestinal tract. Septic pulmonary embolism usually presents with fever, dyspnea, pleuritic chest pain, cough, and hemoptysis. Embolism to the gastrointestinal tract can cause acute abdomen secondary to mesenteric ischemia. With valvular destruction, may develop heart failure, and can also present with clinical signs ranging from weight loss, clubbing, petechial rash, splenomegaly, hypotension, septic shock, and death. It is rare to see peripheral findings unique to particular fungal infections, such as cutaneous macronodules in candidiasis12.
Diagnostic evaluation
The diagnosis of FEs is difficult due to the poor yield from blood cultures, which are positive in < 50% of the time. Laboratory techniques such as lysis centrifugation can improve the yield from blood cultures. The blood culture yield of yeast is better than the mold. The processing of blood cultures can be tedious and time-consuming. Mannan antigen is a cell wall constituent of Candida spp. For candidemia, mannan antigen and antibody have a sensitivity and specificity of 83% and 86%, respectively, a cell wall polysaccharide of a fungal wall, 1,3 β-d-glucan (BDG) has a sensitivity and specificity of 69.9% and 87.1%, respectively, the detection of galactomannan, along with 1,3 BDG, can help to diagnose infection by Aspergillus spp12.
The histopathological examination must be done in culture-negative cases to determine the diagnosis from the examination of the explanted valve. The molecular methods, such as polymerase chain reaction (PCR) to detect fungal nuclear material like DNA in explanted valves, can expedite the diagnosis13.
ECHO is an important tool in diagnostic evaluation. Characteristically, the lesions are large, left-sided (bilateral lesions are common in immunocompromised patients), and occasionally non-valvular. ECHO can also detect abscesses of the valve ring. Trans-esophageal ECHO is more sensitive and specific for the diagnosis of endocarditis than transthoracic ECHO. ECHO is preferred for visualization of cardiac manifestations. There is an association between bacterial infections and specific IE manifestations diagnosed by ECHO to be considered5.
Blood work may reveal elevated white blood cells and C reactive protein. Thrombocytopenia is commonly seen in neonates and immunocompromised patients9.
Treatment
An interprofessional approach is required for the management of FEs. Early valve replacement surgery of the infected valve (natural or prosthetic) should be recommended (class I indication) in almost all patients with FEs, and a long course of anti-fungal medication should be initiated. The initial antifungal treatment for Candida spp. Endocarditis should be lipid formulation of amphotericin B with or without flucytosine or a high-dose echinocandin (caspofungin or micafungin or anidulafungin). Once the patient has stabilized, and follow-up blood cultures are negative, step-down therapy with oral fluconazole (if susceptible) is recommended. If candida isolate is not susceptible to fluconazole, oral voriconazole or posaconazole can be considered. Infected pacemakers and cardiac defibrillators should be removed, and anti-fungal therapy should be initiated. For ventricular assist devices that cannot be removed, the antifungal regimen should be started, and chronic suppressive therapy with fluconazole (if susceptible) should be continued as long as the device is in place. The endocarditis caused by Histoplasma capsulatum is managed with the lipid formulation of amphotericin B, followed by oral itraconazole for at least 12 months. For Aspergillus endocarditis, voriconazole is used for both induction and long-term suppression. It is important to realize that guidelines cannot always account for individual variation among patients. They are not intended to supplant physician judgment with respect to particular patients or special clinical situations. American Society of Infectious Diseases (IDSA) considers adherence to these guidelines to be voluntary, with the ultimate determination regarding their application to be made by the physician in the light of each patient's individual circumstances14.
The principles of treatment consist of isolating the fungus and assessing sensitivity to the different antifungal therapies available; in current medical management, the therapy is often empirical, based on echinocandins or amphotericin. In the presence of severe valve resistance and compromise, surgery is essential; vegetectomy or valve replacement may be performed2,14.
In general, a longer period of induction treatment with antifungals is 6-8 weeks for native valve and up to 1 year for prosthetic valve infection, followed by long-term suppressive treatment of 1-2 years of therapy, especially when surgery is not performed1,14,15.
The duration of treatment should be guided by clinical responses and other factors such as unresected lesions, intra- or extra-cardiac retention, prosthetic material, and immunosuppression1,2,16. When the involvement is multivalve, it is rarer, with high mortality and frequent complications, and most of the published data come from case reports and surgical treatment techniques of deceased patients17.
Clinical case
The case corresponds to a 44-year-old female patient with a history of chronic arterial hypertension, chronic non-alcoholic liver disease, and chronic kidney disease on hemodialysis.
A patient presented with a 2-month history of unquantified fever with no time relationship, preceded by chills, which improved with the use of antipyretics, which during the last 2 weeks before admission occurred during hemodialysis sessions.
The fever was associated with a respiratory condition of 1 week of evolution, characterized by dry cough and dyspnea of small exertion, for which he was admitted to a hospital with the diagnosis of bacteremia during intermittent dialysis plus pneumonia, as a result of an infection associated with health care.
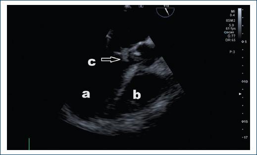
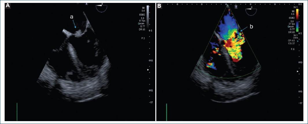
Blood cultures were performed with growth of Enterococcus faecalis, in addition to transthoracic echocardiogram showing large vegetation (area of 3.2 cm) with pedicle adhered to the non-coronary leaflet (Fig. 1), producing severe aortic regurgitation, moderate mitral regurgitation, severe tricuspid regurgitation (Fig. 2), so management with meropenem, vancomycin and gentamicin was indicated for 14 days. A transesophageal echocardiogram was performed, and a) vegetation in the anterior mitral leaflet of 14 mm in size with perforation of the leaflet with aortomitral continuity (Figs. 2A and B).

Figure 1 Transthoracic echocardiogram image (parasternal long-axis view). a: left ventricle, b: left atrium, c: vegetation in a large aortic valve of 3.2 cm (arrow).

Figure 2 A: vegetation on the anterior mitral leaflet, 14 mm in size. B: perforation of the leaflet with aortomitral continuity.
However, without achieving an adequate therapeutic response, the patient was referred to a tertiary unit, where it was approached in a multidisciplinary manner with cardiothoracic surgery, cardiology, nephrology, intensive care, and infectious diseases; surgical management with aortic and mitral valve replacement was decided in view of persistent evidence of heart failure, uncontrolled sepsis, and high risk of cardioembolic complications.
He was taken to the operating room, where the trans surgical examination revealed large vegetation in the non-coronary leaflet of the aortic valve, with perforation of the non-coronary leaflet and mitral-aortic continuity with significant destruction of the anterior leaflet of the mitral valve (Fig. 3). Samples were taken for culture and histopathological studies (Fig. 4).

Figure 3 A: dried mitral valve with warty vegetation 1.8 cm long, and, B: aortic valve with 5 mm warty lesions.

Figure 4 A: positive Schiff's periodic acid (SBP). B: grocott stain, mitral valve with thrombotic material with the presence of conidia.
Aortic valve replacement was performed with a 21 mm Medtronic Open Pivot mechanical prosthesis plus mitral valve replacement with a 29 mm Bicarbon Fitline mechanical prosthesis plus Vega's tricuspid plasty plus coronary revascularization of the left saphenous vein-right coronary artery.
Negative control blood culture report, with elevation of inflammatory markers, which is why fungal infection is considered at that time, when calculating systemic fungemia score with high risk for it, therefore; to confirm diagnostic suspicion, PAS and Grocott stains are sent from the vegetations located in the mitral and aortic leaflets; With a positive result, the diagnosis of FEs is confirmed. It was then decided to start management with antifungal, Anidulafungin (echinocandin) 200 mg intravenously loaded followed by 100 mg daily in addition to continuing the antimicrobial regimen with Meropenem and Linezolid presenting clinical improvement, achieving withdrawal of vasopressor support, progression in ventilatory support until extubating was achieved and significant decrease in inflammatory and infectious markers, complying with management for 21 days at the hospital he was discharged in good clinical condition.
Discussion
Invasive fungal diseases continue to increase with increasing immunodeficiency, increased numbers of patients with underlying malignant and rheumatological diseases; as well as the SARS-CoV-2 virus pandemic, which have resulted in a net increase in patients at risk for IFS. A rare but serious complication of yeast infection is endocarditis, which presents unique challenges in diagnosis and treatment5,9,12,13.
While there are individual differences in epidemiology, diagnosis, and management for each pathogen, there are some general common characteristics. FEs account for 1-3% of all cases of IEs in prosthetic valves and affects nearly 0.1% of all native heart valves, is disproportionately associated with high morbidity and fatality rates (70%), especially for mold pathogens compared to bacterial endocarditis, and presents significant and often unique difficulties during clinical care1,10,11.
The clinical presentation of endocarditis is highly variable and non-specific: a wide spectrum of symptoms such as fever, dyspnea, chest pressure, asthenia, altered mental status, new heart murmur, or signs of acute or chronic heart failure may be present5,9,12,13. Our patient presented very non-specific clinical symptoms, which were associated with a respiratory condition for which he was initially managed as a pulmonary condensation syndrome, however, the association of risk factors (chronic comorbidities) allowed the complete diagnostic approach to be carried out, confirming the diagnosis of definitive endocarditis according to the modified Duke criteria, finding positive blood cultures for Enterococci faecalis in addition to echocardiographic finding of valvular vegetations, which conditioned severe valvular insufficiencies causing greater clinical deterioration with very poor response to medical management.
In addition, the diagnosis of FEs is even more challenging in view of its low overall incidence and, therefore, low pre-test probability in the absence of other suggestive information, non-specific clinical findings, and limitations in diagnosis because fungi are demanding microorganisms that take at least 5 days to appear in blood cultures. In addition, the sensitivity of blood cultures is far from admissible, accounting for about 50%1,5,9,12,13.
Therefore, an accurate diagnosis requires an understanding of the factors that expose patients to an increased risk, which by means of internationally certified scales such as the Candida score and the Ostrosky criteria for assessing the risk of developing invasive candidiasis in critically ill patients allowed the patient to be at greater risk, whose did not present the expected therapeutic response, with negative blood cultures, to initiate antifungal management with echinocandin, in the context of chronic renal patients on renal replacement therapy with Anidulafungin at high doses, achieving clinical improvement and confirming the diagnosis by means of histopathological tests and biomarkers (mannan antigen detection). Biomarkers and molecular-based techniques can provide complementary diagnosis and prognostic information during the care of patients with Candida infections1,12,13.
Antigen and antibody tests (detection of mannan antigen and antimannan antibody or BDG) and PCR-based tests are generally accessible in most second or tertiary hospital services, although their role in the diagnosis and treatment of endocarditis is limited, but they can guide the etiology of this cardiac complication. In cases of invasive candidiasis, candida man and galatoman antigens have a sensitivity between 87 and 97.5% sensitivity and 87.7% specificity, BDG have a sensitivity ranging from 76.7 to 100% and a specificity from 40.0 to 91.8%, with a high negative predictive value1,5,9.
In a recent systematic review, BDG was positive in 24 of 27 cases of FEs (88.9%)15. However, detection of BDG should be interpreted with caution because positive results may also occur in patients with conditions associated with fungal translocation, including recent abdominal surgery, hemodialysis, or sepsis1.
ECHO is the fundamental imaging technique when diagnosing suspected IEs. Although transthoracic ECHO (TTE) is widely available and relatively rapid, its sensitivity to adequately evaluate all valves is often limited, especially in the presence of prosthetic valves or intracardiac devices and in obese patients. In these cases, transesophageal ECHO (TEE) is the first-line imaging technique1,5.
The reported sensitivity of TTE for IEs in native valves is 70% and 50% for prosthetic valve endocarditis, while the sensitivity of TEE is 96% for native valves and 92% for prosthetic valves. Although ECHO does not distinguish Candida endocarditis from endocarditis due to other pathogens, certain features may lead to suspicion of large and solitary lesions. The case of the patient described in the clinical case was that he had large vegetations in both the aortic and mitral valves, which conferred a high diagnostic suspicion1,5,9.
European guidelines recommend routine screening of endocarditis by ECHO and frequent physical examinations in patients with candidemia, however, it is not recommended in current IDSA guidelines due to the relatively low prevalence (1.9-5.9%) of endocarditis in patients with candidemia1,2,9,13.
The principles of treatment consist of isolating the fungus and assessing sensitivity to the different antifungal therapies available; In current medical management, the therapy is often empirical, based on echinocandins or amphotericin. In the presence of severe valve resistance and compromise, surgery is essential; vegetectomy or valve replacement may be performed1,2,14-17.
In general, a longer period of induction treatment with antifungals is 6-8 weeks for native valve and up to 1 year for prosthetic valve infection, followed by long-term suppressive treatment of 1-2 years of therapy, especially when surgery is not performed1,14,15.
The duration of treatment should be guided by clinical responses and other factors such as unresected lesions, intra- or extra-cardiac retention, prosthetic material, and immunosuppression1,2,16.
Conclusion
Fungal endocarditis is a severe infection with high morbidity and mortality. This complication is best treated with a multidisciplinary team (should include a cardiology, infectious disease, critical care, cardiac surgery, and rehabilitation). The care of patients suffering from this condition should be done in the Intensive Care Unit specially during the critical period. The key to reducing mortality is prevention, early detection and treatment. Immunocompromised patients have the worst clinical outcomes. In most cases, recurrence is common, and the risk of embolization is very frequent. In the clinical case of the patient we present, there was a good evolution thanks to the multidisciplinary team that was in charge of the diagnosis, treatment and rehabilitation.










nueva página del texto (beta)


