Antecedentes
La pericarditis aguda representa 0.1 % de los casos de todos los ingresos hospitalarios y 5 % de las consultas por dolor torácico en los servicios de urgencias pediátricas.1 Las causas idiopáticas, infecciosas y musculoesqueléticas suelen ser las más frecuentes y generalmente son de carácter benigno y autolimitado cuando se comparan con las secundarias a radioterapia, pericardiotomía quirúrgica y neoplásica.2 Los principales agentes infecciosos son los virus (Echovirus, Coxsackie, virus de Epstein-Barr, citomegalovirus, virus de la inmunodeficiencia humana, adenovirus, parvovirus B19) y bacterias (Mycobacterium tuberculosis, Staphyloccus aureus, Haemophilus influenzae).3,4
La serositis por pericarditis con derrame pericárdico suele ser infrecuente en las enfermedades autoinmunes. El lupus eritematoso sistémico (LES) es una de las principales patologías en la que aparece y forma parte de los criterios diagnósticos. Se presenta en 28 % de pacientes con LES y un porcentaje puede evolucionar a taponamiento cardiaco.5
Caso clínico
Niña de siete años de edad, previamente sana, en quien se inició súbitamente un cuadro de tres semanas de evolución con dolor torácico en zona precordial, de intensidad 8/10 en escala análoga visual del dolor, de tipo opresivo acompañado de disnea de medianos y grandes esfuerzos sin eventos desencadenantes, con mejoría a la sedestación.
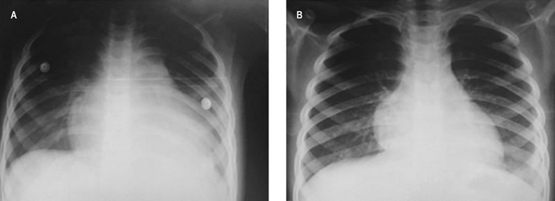
Dos días después, el cuadro progresó a tos seca, dolor abdominal epigástrico opresivo, vómitos gastroalimentarios y fiebre. Fue tratada con antipirético y amoxicilina (50 mg/kg/día), sin mejoría, por lo que se añadió antiespasmódicos. Por empeoramiento del dolor precordial se realizó radiografía de tórax que evidenció cardiomegalia (figura 1) y por ecocardiograma se identificó derrame pericárdico.

Figura 1 A) Radiografía anteroposterior de tórax al ingreso hospitalario. Se observa cardiomegalia y borramiento de ángulos cardiofrénicos. B) Control radiográfico anteroposterior de tórax después de la pericardiocentesis.
La paciente fue ingresada al Departamento de Urgencias del Hospital Pediátrico de Sinaloa, Culiacán, Sinaloa, México, con disnea de medianos esfuerzos en posición sedente, discreta plétora yugular, sin cianosis ni pulso venoso; a la auscultación se percibió frote pericárdico. En una nueva radiografía de tórax se detectó cardiomegalia (índice cardiotorácico de 0.65). El electrocardiograma demostró elevación difusa de segmento ST, por ecocardiograma (figura 2) se encontró derrame pericárdico (aproximadamente 200 mL). Se realizó pericardiocentesis y se extrajeron 140 mL de líquido de aspecto citrino, con características de trasudado (cuadro 1). Se inició tratamiento con ácido acetilsalicílico (3 mg/kg/día) y antibióticos (cefotaxima y vancomicina) por sospecha de etiología infecciosa.
Cuadro 1 Características clínicas y de laboratorio del paciente y criterios de lupus eritematoso sistémico
|
Características |
ACR 1997 |
SLICC 2012 |
Paciente |
|
Clínicas |
1. Eritema malar |
1. Lupus cutáneo agudo. Incluye eritema malar, fotosensibilidad |
— |
|
2. Erupción discoide |
2. Lupus cutáneo crónico. Incluye lupus discoide |
— |
|
|
3. Fotosensibilidad |
3. Alopecia no cicatricial |
— |
|
|
4. Úlceras orales/nasales |
4. Úlceras orales/nasales |
— |
|
|
5. Artritis |
5. Sinovitis. Incluye artritis |
Flogosis de rodilla izquierda y falanges proximales de mano derecha |
|
|
6. Serositis Incluye pleuritis/pericarditis |
6. Serositis. Incluye pleuritis/pericarditis |
Pericarditis y derrame pericárdico (200 mL) |
|
|
De laboratorio |
7. Renal Proteinuria >0.5g/día Cilindros hemáticos |
7. Renal Proteinuria >0.5g/día Cilindros hemáticos |
— |
|
8. Neurológico: Crisis convulsivas Psicosis |
8. Neurológico. Incluye crisis convulsivas y psicosis |
— |
|
|
9. Hematológico Incluye: anemia, linfopenia <1500/mm3 o trombocitopenia <100000/mm3 |
9. Anemia hemolítica |
— |
|
|
10. Coombs directo positivo en ausencia de anemia hemolítica |
Coombs directo títulos 1:8 |
||
|
11. Leucopenia <4000/mm3 (linfopenia <1000/mm3) |
Determinaciones con linfocitos de 1100 y 900/mm3 |
||
|
12. Trombocitopenia (<100000/mm3) |
— |
||
|
10. ANA |
13. ANA |
Títulos 1:640 Patrón moteado grueso+++ |
|
|
11. Inmunológico: Anti-ADN de doble cadena Anti-Smith Antifosfolipidos (anticoagulante lúpico o reagina plasmática) |
14. Anti-ADN de doble cadena |
Títulos 1:320 |
|
|
15. Anti-Smith |
— |
||
|
16. Antifosfolípidos Anticoagulante lúpico/reagina plasmática Anticardiolipinas Anti-β2gp I |
Anticardiolipina IgM >20 (50) |
||
|
17. Complemento bajo C3, C4 o CH50 |
C3: 77mg/dL (80-170) |
||
|
Misceláneos y estudios de gabinete |
Hemogloblina 9.2g/dL, volumen corpuscular medio 70.7 fl, hemoglobina corpuscular media 21.9 g/dL, leucocitos 8,590/mm3, neutrófilos 6,528/mm3 (76%), linfocitos 1100/mm3 (22%), plaquetas 538000/mm3. Proteína C reactiva 31.5mg/dL, velocidad de sedimentación glomerular 40mm/hora. IgG 1843.7mg/dL (572–1474), IgM 297.9mg/dL (31-206), IgA 380.8mg/dL (41-297), IgE 352.6UI/L. Componente 3 del complemento 77.1mg/dL (80-170), Componente 4 del complemento 16mg/dL (15-45), factor reumatoide 240UI/mL, anticardiolipina IgG 4.1, IgM 50 (<20), anti-β2gpI, IgG 0.90, IgM 0.12, anticoagulante lúpico negativo, anti-ADN de doble cadena 1:320, ANA 1:640 moteado grueso, Coombs directo positivo 1:8. Bilirrubina total 0.12mg/dL, bilirrubina directa 0.07mg/dL, bilirrubina indirecta 0.06mg/dL, deshidrogenasa láctica 404UI/L, fosfatasa alcalina 94UI/L, aspartato aminotransferasa 19UI/L, alanina aminotransferasa 9UI/L. Examen general de orina normal. Hemocultivo, urocultivo y coprocultivo negativos, reacciones febriles negativas. Líquido pericárdico amarillo, aspecto turbio, sin película, densidad 1.020, pH 8.0, leucocitos 1748/mm3, leucocitos polimorfonucleares 86%, células mononucleares 14%, eritrocitos 3000/mm3, frotis de Gram y BAAR negativos, glucosa 51mg/dL, proteínas 5.9mg/dL, deshidrogenasa láctica 2249UI/L. |
||
ACR = American College of Rheumatology, SLICC = Systemic Lupus International Collaborating Clinics, ANA = autoanticuerpos antinucleares
A las 48 horas de iniciado el tratamiento se realizó una nueva ecocardiografía, en la que se registró incremento del volumen de líquido pericárdico (aproximadamente 80 mL). Se continuó el manejo mencionado y se inició prednisona (2 mg/kg/día), con evolución tórpida. Por falta de evidencia de etiología infecciosa, sin presencia de fiebre y por persistencia de reactantes de fase aguda elevados (proteína C reactiva y velocidad de sedimentación globular), se solicitó ampliar estudios para un abordaje inmunológico. Se encontraron positivos los autoanticuerpos antinucleares (ANA), anti-ADN de doble cadena, Coombs directo y anticardiolipinas. También se encontró hipocomplementemia con linfopenia. Se determinó que la paciente cumplió los criterios Systemic Lupus International Collaborating Clinics (SLICC) 2012 para lupus eritematoso sistémico.
Al esquema inmunosupresor se agregó azatioprina (2.5 mg/kg/día), con lo disminuyó el derrame. Por la evolución favorable, la paciente fue egresada con esquema de reducción de esteroide y azatioprina. Un mes después, durante su seguimiento acudió a valoración donde se observó artritis de rodilla derecha y de falanges de mano derecha, que concordaron con LES. La paciente requirió nuevo esquema con esteroide e inmunosupresor para control de los síntomas (figura 3).
Discusión
La pericarditis aguda es una entidad clínica que puede evolucionar a derrame pericárdico cuando el líquido pericárdico supera los 50 mL1 o incluso a taponamiento cardiaco si el derrame se instaura rápidamente, manifestado por la tríada de Beck (hipotensión, distensión de venas del cuello y ruidos cardiacos distantes).6 El diagnóstico es clínico y eléctrico, basado en al menos dos de cuatro criterios: dolor torácico, frote pericárdico, anomalías electrocardiográficas compatibles (elevación difusa del segmento ST con o sin onda T de corta duración, desnivel del segmento PR) o derrame pericárdico en ecocardiograma.1,7,8 En países de bajos ingresos, donde entidades infecciosas como el virus de la inmunodeficiencia humana o la tuberculosis son endémicas (por ejemplo, en poblaciones de la India y África), la principal causa de pericarditis es infecciosa.8,9 En países de altos ingresos, la causa suele ser benigna y son más frecuentes las formas idiopáticas e infecciosas.1
El tratamiento farmacológico de primera línea en la pericarditis aguda son los antiinflamatorios no esteroideos (ácido acetilsalicílico, indometacina o ibuprofeno) durante dos o tres semanas.1,3 Se ha reportado eficacia de la colchicina en la prevención de recurrencias, sin embargo, existen pocos estudios y la evidencia para su recomendación es escasa y contradictoria en niños.6,10 El uso de corticosteroides se recomienda en casos resistentes o recurrentes, en pericarditis urémica o enfermedades del tejido conectivo ha demostrado ser útil.1 Existen otras alternativas de tratamiento en casos con recurrencia, como la pericardiectomía, agentes inmunosupresores (enfermedades del tejido conectivo) y anticuerpos monoclonales anti-IL1 (anakinra).3,11
La mala respuesta al tratamiento y la recurrencia obligan a descartar entidades neoplásicas, autoinmunes, incluso entidades reconocidas recientemente como síndromes autoinflamatorios,12 en los que predominan la fiebre y los síntomas musculoesqueléticos.
La prevalencia de LES en la edad pediátrica es de 20 %,5,13 con predominio en el sexo femenino de 3:1 a 9:15 y con una gran diversidad de manifestaciones clínicas. En este grupo etario suele tener un inicio de mayor gravedad.14 Los principales síntomas son hematológicos (44 a 72 %), mucocutáneos (60 a 85 %), musculoesqueléticos (64 a 68 %) y renales (50 a 51 %).5,15 Las manifestaciones cardiovasculares como síntoma inicial solo se presentan en 28 %, la pericarditis en 7.7 a 40 %,16 mientras que el taponamiento cardiaco solo en 1 %.17,18
En el cuadro 1 se comparan los criterios diagnósticos para LES descritos por el American College of Rheumatology (ACR) en 1997 y por el SLICC en 2012, con mención de los criterios que se observaron en la paciente a su diagnóstico y durante el curso de su enfermedad. Existen pocos reportes de niños en los que la pericarditis fue el síntoma inicial de LES. Al realizar una búsqueda bibliográfica, encontramos cinco casos que cumplieron criterios para LES entre la primera semana y hasta 12 meses durante su seguimiento (cuadro 2); cuatro fueron mujeres, cuatro requirieron pericardiocentesis como parte del tratamiento, cuatro tuvieron positividad a ANA, cuatro presentaron anti-ADN de doble cadena, tres hipocomplementemia, dos alteraciones mucocutáneas, dos poliartralgia y uno afectación renal.
Cuadro 2 Reportes de casos en los que los síntomas cardiacos fueron la manifestación inicial de lupus eritematoso sistémico
| Caso | Edad al diagnóstico (años) | Sexo | Síntoma cardiaco | Tiempo desde la sintomatología cardiaca al diagnóstico de LES | Criterios cumplidos | Tratamiento inicial de la pericarditis | Pericadiocentesis | Tratamiento de LES | Autor |
| 1 | 10 | F | Dolor torácico | 1 día | Serositis, poliartritis, ANA, anti-ADN, complemento bajo | Pericardiocentesis | Sí | Esteroides | Maharaj et al., 2015 |
| 2 | 11 | F | Dolor torácico | 12 meses | Serositis, rash malar, poliartritis, antifosfolipidos, linfopenia | AINE, corticoides | No | AINE, esteroide, azatioprina | Elusiyan, et al., 2011 |
| 3 | 11 | F | Disnea | 2 días | Serositis, ANA, anti-ADN, complemento bajo | Pericardiocentesis | Sí | Esteroide | Sharda, 2014 |
| 4 | 14 | F | Disnea | 7 días | Serositis, afección renal, ANA, antiDNA. Complemento bajo | Pericardiocentesis | Sí | Esteroides | Tember et al., 1993 |
| 5 | 17 | M | Disnea | 6 meses | Serositis, poliartritis, rash malar, ANA, anti-ADN, anti-Smith | Pericardiotomía | No | Esteroides | Jacobs et al., 1978 |
LES = lupus eritematoso sistémico, F = femenino, M = masculino, ANA = autoanticuerpos antinucleares, AINE = antiinflamatorio no esteroideo
Al realizar un abordaje en un paciente como el caso referido y tomando en cuenta la respuesta parcial al primer tratamiento establecido, se requiere descartar entidades infecciosas y neoplásicas.17,19
El ACR y el SLICC establecen para el diagnóstico de LES positividad por lo menos cuatro de 11 o cuatro de 17 criterios, respectivamente. Específicamente SLICC 2012 menciona que se debe contar al menos con un criterio clínico y uno inmunológico, o con una biopsia compatible con nefritis y autoanticuerpos positivos (ANA o anti-ADN). 18,19,20,21,22
En el caso presentado se demostró positividad para autoinmunidad con cuatro criterios ACR y siete SLICC de forma inicial y durante el seguimiento emergió un segundo criterio clínico (cuadro 1). Se administró tratamiento inmunosupresor para evitar episodios de recurrencia y complicaciones por falla orgánica que conllevan elevada morbimortalidad.1,17,18
Conclusión
El caso presentado ilustra una presentación atípica de LES. Debido a que el LES de inicio en la edad pediátrica puede tener mayor riesgo de afección permanente a órganos blanco, es importante considerar este diagnóstico para iniciar un tratamiento inmediato y establecer un manejo a largo plazo acorde con el paciente.










nueva página del texto (beta)





