SciELO - Scientific Electronic Library Online

 
vol.37 número2Sangrado de tubo digestivo alto crónico secundario a fistula aortoentérica diagnosticada por endoscopia. Reporte de casoPredictores no invasivos de várices esofágicas y otros hallazgos endoscópicos de hipertensión portal en pacientes con hepatopatía crónica índice de autoresíndice de materiabúsqueda de artículos
Home Pagelista alfabética de revistas  

Servicios Personalizados

Revista

Articulo

Indicadores

Links relacionados

  • No hay artículos similaresSimilares en SciELO

Compartir


Endoscopia

versión On-line ISSN 2444-6483versión impresa ISSN 0188-9893

Endoscopia vol.37 no.2 Ciudad de México abr./jun. 2025  Epub 28-Oct-2025

https://doi.org/10.24875/end.24000010 

FOCUS (CONTROVERSY)

Meckel´s diverticulum diagnosed by capsule endoscopy

Divertículo de Meckel diagnosticado mediante cápsula endoscópica

Rodrigo Nava-Arceo1  * 

Diego Angulo-Molina1 

1Department of Gastroenterology and Endoscopy, Centro Médico ABC, Mexico City, Mexico


Introduction

Meckel´s diverticulum is a congenital anomaly that results from an incomplete vitelline canal. Diagnosis is usually made during the investigation of a series of symptoms, including gastrointestinal bleeding, obstruction or intestinal perforation. Occasionally it is found incidentally in imaging studies or during laparoscopy made for other reasons. The diagnostic gold standard is Technetium-99m pertechnetate scanning, which detects ectopic gastric tissue, with a specificity of 95% and a sensitivity of 80-90% in children, whereas specificity is 9% and sensitivity 62.5% in adults. There have been case reports of Meckel´s diverticulum diagnosed by capsule endoscopy, however, videocapsule can pass fast through the diverticulum, which can preclude obtaining an image of it. Here we present a case of a Meckel´s diverticulum diagnosed by capsule endoscopy.

Clinical case

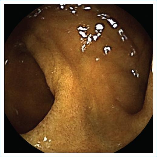
A 29 year-old woman with a medical history of hemorrhoids without any other chronic diseases presented with a 6 years history of painless hematochezia. A colonoscopy was performed, reporting ileal nodular hyperplasia, a hyperplastic polyp and isolated erythema patches of mucosa in her sigmoid and internal hemorrhoids. Four months prior to her evaluation she reported intermitent pain in her meso and hipogastrium. An upper endoscopy was perfomed, reporting a grade B erosive esophagitis and antral eritematous gastropathy. Capsule endoscopy (Figure 1) showed a small erosion and a double-lumen sign in the ileum, consistent with a diverticulum, with no signs of active or recent bleeding. A Meckel´ scan (Figure 2) was peformed, with no evidence of ectopic gastric mucosa. Due to persistence of symptoms, she underwent a exploratory laparoscopy (Figure 3); a Meckel´s diverticulum (MD) was found and removed 80 cm proximal to the ileocecal valve. Histologic evaluation showing gastric mucosa confirmed MD. The patient had an adequate post-surgical evolution. She was followed up for 6 months without recurrence of symptoms.

Figure 1 “Double-lumen” sign on capsule endoscopy, suggestive of small intestine diverticulum. 

Figure 2 Meckel´s scan negative to ectopic gastric mucosa. 

Figure 3 Meckel´s diverticulum on laparoscopy. 

Discussion

Meckel´s diverticulum is the most common congenital anomaly of the gastrointestinal tract, with a reported incidence of 0.6-4%. It develops from incomplete obliteration of the omphalomesenteric canal causing the creation of a true diverticulum in the small bowel1. Meckel´s is described by the “Rule of Twos”, which states: it occurs in 2% of the population, symptoms appear before age of two or withing the first two decades of life, two main types of ectopic tissue, it is usually located within 2 ft of the ileocecal valve, it is approximately 2 in long, it is two times more likely to be symptomatic in males than females, and 2% become symptomatic2. Adults are usually asymptomatic, which is why Meckel’s is normally find incidentally in imaging or during laparoscopy performed for other reasons1. In a systematic review, the authors found that among those adults with a symptomatic complicated Meckel´s diverticulum, 35.6% presented with intestinal obstruction, whereas 27.3% with gastrointestinal bleeding and 29.4% with diverticulitis3. Complementary studies are of little or no worth, especially when the diverticulum is uncomplicated. Contrast-enhanced CT scan can easily overlook a MD, which may be mistaken for a small intestinal loop. However, CT is the best study in case of complications. MRI does not have a well-established role in the diagnosis of this entity4. Gold standard for diagnosis is Technetium-99 pertechnetate scan, which has the ability to detect ectopic gastric mucosa. This mucosa is visible as a focal area of radionuclide uptake in the right lower quadrant that appears at the same time as the activity in the normal gastric mucosa2. Despite some case reports of Meckel´s diagnosed by videocapsule endoscopy, its diagnostic role is not established yet5. Capsule endoscopy is usually done after non conclusive upper endoscopy and colonoscopy during the diagnostic approach of gastrointestinal bleeding or iron deficiency anemia, as it was in this case. Classic findings of Meckel´s diverticulum in videocapsule endoscopy are double lumen sign, diaphragm sign6, an elevated lesion with normal mucosa or a pedunculated polyp, seen in those cases with an inverted diverticulum5. Capsule entrapment within the diverticulum have been reported7, with potential complications such as abdominal pain, perforation and diverticulitis. Treatment consists of surgical resection. In those patients with incidentally found Meckel´s diverticulum, it is not clear whether to resect the diverticulum or not8. However, some authors recommend prophylactic resection in high-risk patients: male, age <40 years, diverticulum <2 cm and presence of macroscopic mucosal alterations. There is no recurrence of the diverticulum once resected and patients have a good postsurgical evolution.

Referencias

1. Kuru S, Kismet K. Meckel's diverticulum:Clinical features, diagnosis and management. Revista Espanola de Enfermedades Digestivas. 2018;110(11):726-732. doi:10.17235/reed.2018.5628/2018 [ Links ]

2. Farrell MB, Zimmerman J. Meckel's Diverticulum Imaging. J Nucl Med Technol. 2020;48(3):210-213. doi:10.2967/jnmt.120.251918 [ Links ]

3. Hansen CC, Søreide K. Systematic review of epidemiology, presentation, and management of Meckel's diverticulum in the 21st century. Medicine (United States). 2018;97(35). doi:10.1097/MD.0000000000012154 [ Links ]

4. Lequet J, Menahem B, Alves A, Fohlen A, Mulliri A. Meckel's diverticulum in the adult. J Visc Surg. 2017;154(4):253-259. doi:10.1016/j.jviscsurg.2017.06.006 [ Links ]

5. El Hajra Martínez I, Calvo M, Martínez-Porras JL, et al. Inverted Meckel's diverticulum diagnosed using capsule endoscopy:A case report. World J Gastroenterol. 2021;27(36):6154-6160. doi:10.3748/wjg.v27.i36.6154 [ Links ]

6. Lin L, Liu K, Liu H, Wu J, Zhang Y. Capsule endoscopy as a diagnostic test for Meckel's diverticulum. Scand J Gastroenterol. 2019;54(1):122-127. doi:10.1080/00365521.2018.1553353 [ Links ]

7. Yuan ML, Wang L. Gastrointestinal:Meckel's diverticulum and capsule endoscopy:A bad combination. Journal of Gastroenterology and Hepatology (Australia). 2021;36(4):849. doi:10.1111/jgh.15300 [ Links ]

8. Rahmat S, Sangle P, Sandhu O, Aftab Z, Khan S. Does an Incidental Meckel's Diverticulum Warrant Resection?Cureus. Published online September 8, 2020. doi:10.7759/cureus.10307 [ Links ]

FundingThere was no funding for this study/article.

Ethical considerations

Protection of humans and animals. The authors declare that no experiments involving humans or animals were conducted for this research.

Confidentiality, informed consent, and ethical approval. The study does not involve patient personal data nor requires ethical approval. The SAGER guidelines do not apply.

Declaration on the use of artificial intelligence. The authors declare that no generative artificial intelligence was used in the writing of this manuscript.

Recibido: 06 de Junio de 2024; Aprobado: 17 de Abril de 2025

* Correspondencia: Rodrigo Nava-Arceo E-mail: nava.rodrigo@outlook.com

Conflicts of interest

The authors declare that they have no conflicts of interest.

Creative Commons License Instituto Nacional de Cardiología Ignacio Chávez. Published by Permanyer. This is an open ccess article under the CC BY-NC-ND license