Introducción
Los antiinflamatorios no esteroideos (AINE) son drogas asociadas a eventos gastrointestinales significativos con consecuencias tanto económicas como clínicas1,2.
Las úlceras gástricas y duodenales son las más comúnmente estudiadas, sin embargo, se ha visto que estos medicamentos pueden producir enteropatía en otras zonas del tracto digestivo (yeyuno e íleon)3. Lang et al., en 1988, fueron los primeros en utilizar el término de enfermedad por diafragma para describir los hallazgos patológicos no específicos de enfermedad del intestino delgado asociados al uso de AINE4.
Con el advenimiento de los estudios endoscópicos del intestino delgado, como la cápsula endoscópica5 y la enteroscopia asistida por dispositivos6 se ha demostrado que los AINE dañan con frecuencia el intestino delgado7,8, con una tasa de prevalencia de alrededor del 50% en usuarios crónicos. Una proporción significativa de los pacientes con enteropatía inducida por AINE son asintomáticos, pero algunos pacientes desarrollan úlceras sintomáticas o complicadas que necesitan intervención terapéutica9.
Caso clínico
Paciente de sexo masculino de 49 años de edad, procedente de una región en las afueras de la capital, deportista, sin antecedentes patológicos, consumidor de AINE. Ingresa de emergencia con cuadro agudo caracterizado por hematoquecia múltiples episodios, con descompensación hemodinámica que progresó a shock hipovolémico ameritando transfusión de hemoderivados para estabilizar volemia y es referido en aeroambulancia a la capital. Ingresa a nuestro centro hemodinámicamente estable, por lo que se procede a la realización de estudios endoscópicos superior (Fig. 1) e inferior (Fig. 2), sin evidenciarse alteraciones. Durante la videocolonoscopia se intuba la válvula ileocecal y se progresa en íleon hasta 40 cm en profundidad sin evidencia de hallazgos patológicos, solo presencia de restos hemáticos en íleon y todo el trayecto colónico, por lo que se decide realización de videocápsula endoscópica MiroCam® SB (Fig. 3), En esta se observa: a los 260.86 min del tránsito intestinal (TI) (68.3% del TI) se evidencia sangrado activo, y desde los 260.86 min (68.3% del TI) hasta los 265.29 min (69.5% del TI) se evidencian abundantes restos hemáticos rojos con coágulos sugestivos de sangrado activo intraluminal intestinal. En vista de los hallazgos se concluye la cápsula endoscópica como hemorragia en intestino medio evidente en íleon proximal activo. Se procede a realizar enteroscopia asistida por dispositivos con enteroscopio doble balón, Fujinon®, abordaje combinado. Se inicia enteroscopia doble balón Fujinon® vía anterógrada (oral) (Fig. 4): se avanza hasta íleon proximal, aproximadamente 560 cm en profundidad (14 avances efectivos). A nivel de 1/3 medio de yeyuno se evidencian dos lesiones planas, de aproximadamente 10 mm, amarillentas, redondeadas, con bordes definidos. Se concluye el procedimiento a la hora y 30 min de intubación profunda del intestino delgado. Se realiza tatuaje con tinta china en el sitio de máxima inserción en profundidad. Se concluye: 1) xantomas yeyunales, y 2) tatuaje intestino delgado. A las 12 h se realiza enteroscopia doble balón Fujinon® vía retrógrada (anal) (Fig. 5): se avanza hasta íleon proximal, aproximadamente 320 cm en profundidad (8 avances efectivos). Se evidencia gran úlcera arciforme que ocupa 3/4 de la circunferencia de la luz intestinal, bordes definidos sobre área mucosal fibrótica con luz intestinal dilatada en sentido proximal. Se toman biopsias. Se concluye el procedimiento a las 2 h de intubación profunda del intestino delgado. Se realiza tatuaje con tinta china en el sitio de máxima inserción en profundidad. Se concluye: 1) enfermedad diafragmática secundaria a enteropatía por AINE, y 2) tatuaje intestino delgado
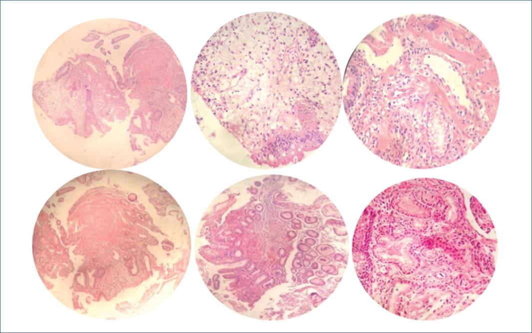
Los resultados histológicos reportan (Fig. 6) hallazgos microscópicos de mucosa intestinal focalmente erosionada, vellosidades con altura y amplitud usual, distorsión leve de criptas, expansión de la lámina propia por edema y leve infiltrado inflamatorio mixto, con predominio de eosinófilos, hipertrofia de la muscularis mucosae, leve proliferación capilar y fragmento aislado de tejido paucicelular, que pudiera corresponder a una membrana neoformada. Conclusión: hallazgos histológicos compatibles con enteropatía crónica asociada a AINE, con erosión focal, cambios reparativos y esosinofilia; no hay evidencia de neoplasia, no se observan vasos sanguíneos hipertróficos.
El paciente fue tratado de forma conservadora, con evolución satisfactoria. Se egresa con tratamiento médico: esomeprazol 40 mg diario, rifaximina 550 mg cada 8 h por 10 días. Colestiramina 4 g cada 12 h por 10 días y recomendación estricta de evitar el uso de AINE.
Discusión
La enteropatía de intestino delgado por AINE es una entidad de creciente importancia que cada vez se diagnostica con más frecuencia. Su curso habitual suele ser subagudo o crónico y presentarse de forma oculta en forma de anemia, que mejora tras la interrupción del fármaco. Se puede presentar con lesiones inespecíficas como petequias múltiples o denudaciones, aftas, erosiones o úlceras (a menudo múltiples), pero también con hallazgos más típicos como anillos en forma de diafragma e incluso estenosis10. La cápsula endoscópica y la enteroscopia son métodos que se utilizan para el diagnóstico y el tratamiento de las complicaciones de la enteropatía inducida por AINE. Permiten el estudio de la enteropatía por AINE de forma directa, segura y no invasiva, valorando la gravedad de las lesiones mucosas. En conclusión, la videocápsula endoscópica y la enteroscopia asistida por dispositivos arrojan un poco de luz en la oscuridad de ese túnel que era la enteropatía por AINE11.










nueva página del texto (beta)








