Introducción
La colangiopancreatografía retrógrada endoscópica (CPRE) tiene una morbilidad asociada del 6,85%. De sus complicaciones posibles, la perforación duodenal posterior a esfinterotomía tiene una incidencia de 0,08% a 0,6%, con una mortalidad de 9 a 18%1,2. Las manifestaciones clínicas frecuentes son aire libre en el retroperitoneo y en cavidad abdominal. Sin embargo, también puede desarrollar enfisema subcutáneo masivo progresivo con neumotórax y neumomediastino. Se presenta un caso en el que se evidenciaron estas complicaciones raramente reportadas en la literatura con la finalidad de alertar al endoscopista sobre su desarrollo.
Presentación del caso
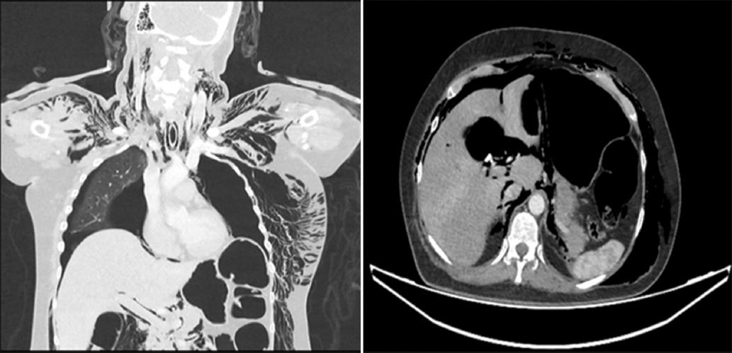
Mujer de 55 años de edad con antecedente de diabetes mellitus y dislipidemia, colecistectomía 2 años antes. Enviada por hallazgo incidental de coledocolitiasis múltiple en ultrasonido abdominal confirmada con colangioresonancia magnética evidenciando dilatación de via biliar extrahepática de 14 mm y 6 litros de hasta 9 mm en colédoco. Ingresa a procedimiento de CPRE bajo intubación orotraqueal iniciando canulación con esfinterotomo y guia 0.035” teniendo más de 3 accesos al conducto pancreático ocurriendo migración de porción hidrofílica distal de guía 0. 035” al conducto pancreático dorsal. Se logró acceso al conducto biliar evidenciando en la colangiografía dilatación de la vía biliar extrahepática y múltiples litos en colédoco. Se realizó esfinterotomía sin eventualidad aparente y posteriormente barridos con balón biliar extrayendo 6 litos. Durante el procedimiento ocurrió desaturación hasta 20% a pesar de manejo avanzado de la vía aérea por lo que fue reintubada tras múltiples intentos reiniciando CPRE canulando conducto pancreático y logrando extracción de cuerpo extraño (porción hidrofílica de guía 0.035”) en región distal de páncreas con ayuda de canastilla biliar colocando prótesis pancreática de 7 french x 5 cm. Al término del procedimiento se apreció enfisema subcutáneo masivo que afectaba región periorbitaria, cuello, tórax, abdomen y región proximal de miembros pélvicos. Se introdujo gastroscopio no apreciando perforación de duodeno. En control fluoroscópico se evidenció fuga de material de contraste a retroperitoneo sugestivo de perforación tipo 2 de Stapfer (Fig. 1) Ante la presencia de enfisema masivo y reintubación dificil se sospecha lesión traqueal. Se realizó tomografía contrastada de cuello, tórax y abdomen identificando enfisema subcutáneo con compromiso facial, orbitario, cuello, tórax, abdomen, miembros pélvicos, así como neumotórax, neumomediastino y neumoperitoneo. Se evaluó por el servicio de cirugía de cabeza y cuello sin evidenciar disrupción traqueal ni lesión en vía aérea (Fig. 2). Se ingresó a unidad de cuidados intensivos colocando sondas endopleurales de forma bilateral. Fue documentada elevación de amilasa y lipasa mayor a 1500 UI/L catalogándose como pancreatitis post CPRE. Ante inestabilidad hemodinámica con necesidad de escalar apoyo aminérgico sin respuesta se realizó laparotomía exploradora encontrando hematoma retroperitoneal no expansivo de 10 x 10 cm. No se identificó sitio de perforación duodenal. Se colocó penrose en cara posterior del duodeno, obteniendo 50 cc de líquido peritoneal con análisis del citoquímico y citológico cumpliendo criterios para peritonitis bacteriana secundaria. Paciente cursa con evolución tórpida con sepsis abdominal y falla multiorgánica falleciendo 48 horas posteriores a la CPRE.
Discusión
El enfisema subcutáneo masivo asociado a neumotórax y neumomediastino es una complicación post CPRE poco documentada en la literatura. En nuestra revisión sistemática en pubMed y Scholar encontramos solo 14 casos de enfisema masivo en los últimos 5 años y solo 3 casos de enfisema periorbitario3-5.
Las perforaciones por procedimientos endoscópicos se clasifican habitualmente por el sistema de Stapfer (Tabla 1). El enfisema subcutáneo por perforación post CPRE ha sido descrito en todos los tipos de perforación de Stapfer6-9.
Tabla 1 Sistema de clasificación de Stapfer
| Tipo | Descripción | Mecanismo de lesión | Tratamiento |
|---|---|---|---|
| I | Lesión de la pared lateral o medial duodenal | Por el endoscopio | Cirugía inmediata |
| II | Lesión en el esfínter de Oddi o periampulares | Por esfinterotomía | Manejo conservador. Menos de la mitad requieren cirugía |
| III | Lesión ductal | Por canastillas y guías | Manejo conservador. |
| IV | Aire retroperitoneal aislado | Por el uso de insuflación, no es una perforación verdadera | No requieren cirugía |
En el caso de la paciente, se consideró se trató de una perforación post CPRE tipo 2 de Stapfer asociada con la esfinterotomía biliar y la manipulación ampular para acceder al conducto pancreático10. El mecanismo propuesto por el cual una perforación periampular puede condicionar enfisema masivo es el siguiente: posterior a la perforación periampular, el aire insuflado se extiende al espacio pararrenal derecho, hiato diafragmático, mediastino respectivamente, causando neumomediastino y neumotórax11,12, y si la insuflación continua causa enfisema cervicofacial, parafaríngeo, retrofaríngeo, e incluso orbitario5. Un dato relevante a tener en cuenta es que el tamaño del enfisema no es proporcional al tamaño de la perforación11.
Las perforaciones tipo II de Stapfer suelen tener respuesta al manejo conservador, pudiendo considerarse la colocación de una prótesis metálica biliar cuando se presente sepsis, irritación peritoneal, colecciones o extravasación de contraste13,14. En caso de falta de respuesta clínica al manejo conservador se recomienda cirugía aunque puede no encontrarse la perforación15,12. En el caso presentado, hubiera sido recomendable la colocación de una prótesis metálica biliar totalmente cubierta durante el procedimiento ante la evidencia de extravasación de medio de contraste al espacio retroperitretroperitoneal. Sin embargo, la sospecha transprocedimiento de una posible lesión a la vía aérea durante una reintubación difícil hizo decidir un manejo conservador para el manejo de la perforación periampular.
El desarrollo de neumomediastino amerita evaluación del tracto aereo y digestivo con revisión de la integridad de la vía aérea14. En el caso presentado se realizó revisión con gastroscopio sin apreciar defectos en la pared esofágica, gástrica o duodenal descartando perforación tipo 1. Inicialmente se sospechó de una posible lesión de vía aérea como causa del enfisema. Sin embargo, en la evaluación realizada posteriormente no fue documentada lesión traqueal ni de vía aérea16,17.
La mortalidad asociada a las perforaciones post CPRE es de hasta 34.4%18 y el tipo de perforación post CPRE más frecuente es la tipo 2 (46% de los casos). El conocer las manifestaciones clínico-radiológicas particulares es relevante para determinar el tipo de tratamiento. La mortalidad de casos reportados con enfisema masivo no se ha documentado específicamente. Sin embargo, en pacientes que ameritan cirugía la mortalidad alcanza hasta el 50%12,19.










nueva página del texto (beta)




