Introduction
Foreign body ingestion is one of the common problems among children1. Of the many kinds of objects found in such cases, which include coins, pins, button batteries, magnets, and many others, the most common objects found in most countries were coins1,2. Ingested foreign bodies can lodge anywhere in the gastrointestinal (GI) tract, including the proximal esophagus, distal esophagus, and stomach. The diversity of the foreign bodies and lodging positions can cause different severities of complications such as bledding and obstruction2,3 A plain radiography can be the most useful investigation. The radiograph demonstrates the location, number, size, and shape of any foreign bodies3.
Case report
A 14-year-old boy with cerebral palsy and medical history of foreign body ingestion was admitted to the emergency department due to intractable vomiting. The patient presented with a 2-day history of the inability to defecate, retch, nausea, bilious vomiting, restlessness, and abdominal pain. On abdominal examination, tenderness was observed. There was no gas and stool output after the rectal enema. At the admission, body temperature: 37.5°C, blood pressure: 110/76 mmHg, heart rate: 96/min, C-reactive protein: 1.25 mg/dL, WBC: 22.74, and NEU: 20.9. The X-ray revealed an air-fluid level with partial obstruction (Fig. 1).
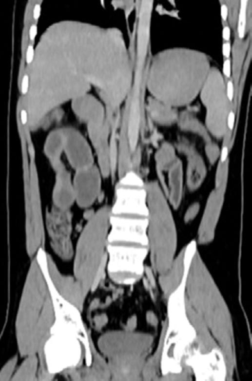
The CT reports noted intestinal obstruction and ileus secondary to foreign body ingestion (Fig. 2).
Then, the patient underwent a laparotomy. All bowel loops were checked. We found that proximal intestinal loops were dilated. The foreign body (sock) was palpable at 110 cm of the ligament of traits (Fig. 3). Enterotomy was performed at this point of the intestine on the antimesenteric face and the sock was removed. And then, the intestine was repaired with a double layer of continuous stitching. Endoscopy was performed on the patient, and after making sure that there was no other foreign body. The surgical intervention was completed without complications.
Oral feeding was started at the post-operative 48th h. The patient was discharged uneventfully at the 72nd h postoperatively.
Discussion
Foreign body ingestion is a pediatric emergency disease that is very common in children, especially in mentally retarded individuals, and does not require surgery in the vast majority, but the surgical situation varies according to the location of the foreign body1. Although the majority of foreign bodies leave the GI tract spontaneously, especially large foreign bodies with the potential to adhere to the intestines cannot leave, and surgical intervention is required for these2,3. Some of these foreign bodies can be life-threatening2. When we look at the overall event, approximately 10-20% of cases of foreign body ingestion require endoscopic removal, while < 1% needs surgery to take out the foreign body or to treat complications4. Abdominal radiography is the first preferred radiological study in foreign body ingestion4,5. For this patient too, at admission, abdominal radiography was performed firstly. CT can be performed only in patients with suspected complications and for differential diagnosis4-6. Therefore, we performed CT for differential diagnosis of other causes of ileus. Laparotomy was performed on the patient after abdominal CT was reported as having intestinal obstruction due to a foreign body. For the patient with a history of foreign body, endoscopy was also performed; in case, there was a foreign body in the stomach. The main complications of the FBI in the bowel involve mucosal bleeding, intestinal obstruction, and perforation1,4,7. In this patient, we thought intestinal obstruction was due to a foreign body, and therefore, we performed a laparotomy. Foreign bodies impacted in the intestine can be removed by performing enterotomy8. Thus, we performed an enterotomy and successfully removed the foreign body.
Conclusion
Especially when mentally retarded patients present with intestinal obstruction, it should be considered that they may have swallowed a foreign body, and CT may be performed to confirm the diagnosis in these patients. At the same time, considering that these patients may swallow more than one foreign body, endoscopy may be performed during the surgery.










nova página do texto(beta)





