SciELO - Scientific Electronic Library Online

 
vol.92 número4Esferas magnéticas de neodimio agrupadas calcificadas como un cuerpo extraño intravesical: reporte de un caso y revisión de la literaturaTrasplante de páncreas: revisión índice de autoresíndice de materiabúsqueda de artículos
Home Pagelista alfabética de revistas  

Servicios Personalizados

Revista

Articulo

Indicadores

Links relacionados

  • No hay artículos similaresSimilares en SciELO

Compartir


Cirugía y cirujanos

versión On-line ISSN 2444-054Xversión impresa ISSN 0009-7411

Cir. cir. vol.92 no.4 Ciudad de México jul./ago. 2024  Epub 09-Ago-2024

https://doi.org/10.24875/ciru.21000784 

Casos clínicos

Intracranial Rosai Dorfman disease - A rare differential diagnosis of multiple meningiomas: case report

Enfermedad de Rosai Dorfman intracraneal - Un diagnóstico diferencial poco frecuente de meningiomas múltiples: informe de un caso

José L. Navarro-Olvera1  * 

Gustavo Parra-Romero1 

Antonio Cruz-Cruz1 

Erick Gómez-Apo2 

Laura Chávez-Macias2 

José D. Carrillo-Ruiz1  3  4 

1Department of Neurosurgery, Mexico General Hospital

2Department of Neuropathology, Mexico General Hospital

3Research Direction, Mexico General Hospital

4Faculty of Health Sciences, Anahuac University North Campus. Mexico City. Mexico


Abstract

Rosai Dorfman Destombes (RDD) disease is a non-Langerhans histiocytosis. The central nervous system is affected in < 5% of cases. We report the case of a 59-year-old man, who began 8 months before admission with headache, diminished visual acuity in the temporal hemifields, hyposmia, and seizures. Magnetic resonance imaging showed three midline skull-base lesions in anterior, media, and posterior fossae. We performed a complete resection of symptomatic lesions using a bifrontal craniotomy. The histopathological analysis determined RDD, therefore, we started steroid treatment. Our case description is due to the diagnosis and location, one of the rarest reported to date in the literature.

Keywords Intracranial; Multiple meningiomas; Rosai Dorfman disease; Sinus histiocytosis

Resumen

La enfermedad de Rosai-Dorfman-Destombes (RDD) es una histiocitosis no Langerhans. El SNC se ve afectado en menos del 5% de los casos. Presentamos el caso de un hombre de 59 años quien inició ocho meses previos al ingreso con cefalea, hemianopsia bitemporal, hiposmia y convulsiones. La resonancia magnética mostró tres lesiones de la base del cráneo en las fosas anterior, media y posterior. Realizamos una resección completa de las lesiones sintomáticas mediante una craneotomía bifrontal. El análisis histopatológico determinó RDD. Nuestro caso es debido al diagnóstico y localización, uno de los más raros reportados hasta la fecha en la literatura.

Palabras clave Intracraneal; Enfermedad de Rosai Dorfman; Meningiomas múltiples; Histiocitosis sinusal

Introduction

Histiocytosis includes a group of rare diseases characterized by the accumulation of cells derived from macrophages or dendritic cells1,2. Although most of them are considered systemic diseases, only a few affect the central nervous system (CNS), the main ones: Erdheim Chester disease, Rosai Dorfman Destombes disease (RDD), Langerhans cell histiocytosis, histiocytic sarcoma, and juvenile xanthogranuloma3. Sinus histiocytosis with massive lymphadenopathy or Rosai Dorfman Destombes disease (RDD) is a non-Langerhans histiocytosis first described in 1965 by pathologist Pierre Paul Destombes and then characterized in 1969 by Juan Rosai and Ronald Dorfman4,5. Clinically, it presents as painless bilateral cervical lymphadenopathy associated with fever, fatigue, and weight loss. Extranodal involvement occurs in 43% of cases, mostly in the skin, nasal cavity, bone, soft tissues, and orbits1. CNS is affected in < 5% of cases and it can exist in the context of a systemic disease or as an isolated entity1. There are < 200 reported isolated RDD cases (75% intracranial and 25% spinal); of these, only 21 as multiple isolated intracranial lesions6,7.

This report aims to report the case of a patient with multiple intracranial lesions, with symptoms and radiographic characteristics of meningiomas, but histopathological characteristics of RDD.

Case presentation

A 59-year-old man without known prior illnesses was referred to our institution complaining of intense morning holocranial headache without accompanying symptoms in the past 8 months. Two months after the initial symptom, he noticed diminished visual acuity in the temporal hemifields and hyposmia. Finally, 1 month before hospitalization, he presented two episodes of generalized tonic-clonic seizures with an approximate duration of 1 min.

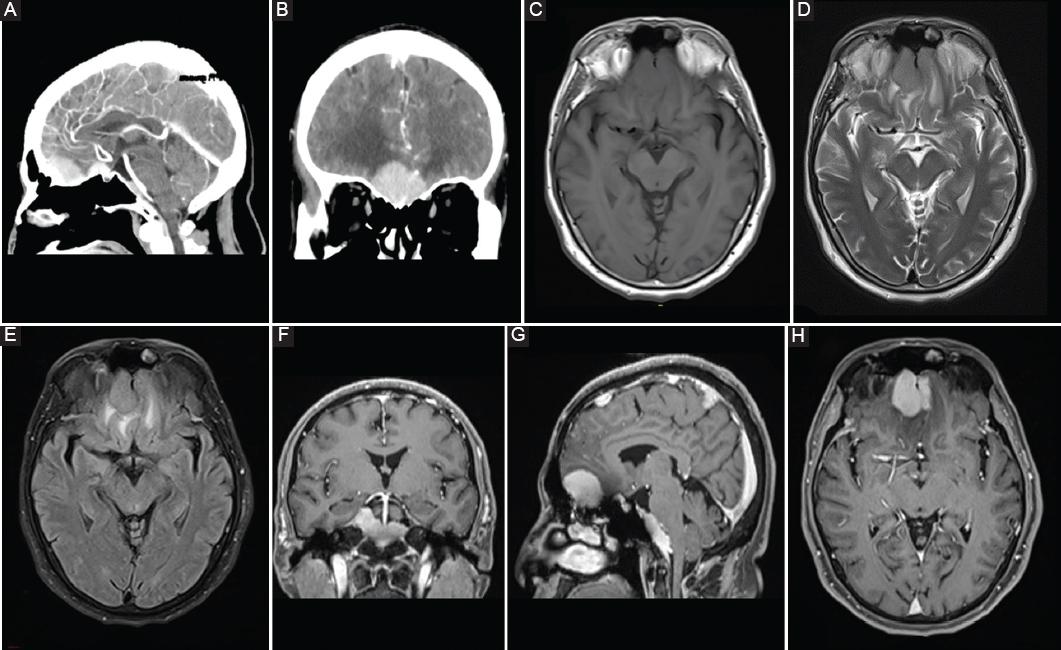
The neurological exam demonstrated preserved cognitive functions, hyposmia, and bitemporal hemianopsia despite normal visual acuity. Fundoscopy showed edema of the papilla in the left eye and slight pallor of the papilla in the right eye. The complementary lab tests were normal, the electroencephalogram reported abnormal bifrontal activity, and the computed campimetry corroborated both temporal fields’ affection. The computed tomography (CT)-scan reported three lesions: (1) midline in the floor of the anterior fossa in the crista Galli and cribriform plate (2) in the sphenoidal plane with extension to the tuberculum sellae, and (3) on the middle and lower portion of clivus. The three lesions presented the same characteristics; they were isodense with homogeneous and intense contrast enhancement. Magnetic resonance imaging (MRI) revealed isointense lesions with peritumoral edema in T1, T2, and fluid attenuation inversion recovery (FLAIR), with intense and homogeneous gadolinium-enhancement demonstrating a dural attachment (Fig. 1).

Figure 1 Neuroimaging studies. Enhanced sagittal head computed tomography-scan with an olfactory groove, tuberculum sellae, and clival lesion in (A) sagittal and (B) coronal sections (arrows). Olfactory groove lesion was isointense on magnetic resonance imaging in the (C) T1-weighted, (D) T2-weighted, and (E) fluid attenuation inversion recovery, demonstrated peritumoral edema. Homogeneous gadolinium-enhancement is shown in the (F) coronal, (G) sagittal, (H) and axial sections (arrows). Dural attachment was visible in the three lesions. 

We established the diagnosis of multiple meningiomas. According to the evidence and our previous experience, we decided to resect the symptomatic lesions: olfactory groove and tuberculum sellae. We made a bicoronal incision to perform a bifrontal craniotomy and a sub-frontal approach. Debulking was possible using an ultrasonic aspirator for the first lesion, provided that it showed low vascularity. According to skull-base meningioma surgery principles, we performed anterior fossa drilling to reduce the recurrence probability. On removal of the first lesion, a wide corridor was formed through which it was possible to excise the second lesion of the tuberculum sellae. We used the ultrasonic aspirator to debulk this second lesion as it adhered to the optic chiasm. We achieved to resect both lesions through the same craniotomy completely (Fig. 2). Immediately post-operative, the patient remained without complications and was discharged 5 days after surgery.

Figure 2 Approach to the anterior fossa lesion. Perimeter dissection of the anterior cranial fossa lesion is shown (A-B). Debulking with ultrasonic aspiration (C) and complete resection of olfactory groove (D) is demonstrated. 

In the histopathological analysis, a mixed inflammatory infiltrate with plasma cells, lymphocytes, and macrophages was found with H and E staining, with no evidence of meningothelial cells. Immunohistochemical profile reported positive expression of CD68 (macrophages), CD20 (B lymphocytes), CD2 (T lymphocytes), and PS100, in which lymphagocytosis was observed. IgG and IgG4 positivity were also identified. A negative expression for CD30 and CD15 (reed Stenberg cells), and Cd1A (Langerhans cells) was observed. With these findings, the diagnosis of RDD was established (Fig. 3).

Figure 3 Histopathological findings. (A-B) Positive immunohistochemistry to PS100 where emperipolesis is observed (arrows). H and E staining with an extended mixed inflammatory infiltrate with plasma cells, lymphocytes, and macrophages (C). Sagittal section of post-operative computed tomography (D). Enhanced sagittal T1 (E), and axial FLAIR (F) with complete resection of anterior and middle fossa lesions. 

In the subsequent follow-up, extension studies were carried out to identify the presence of infiltrates in other organs, which were ruled out with a thoracic and abdomen-pelvic CT. Treatment with prednisone 50 mg/day was indicated, with well adherence and tolerability by the patient, thus remaining asymptomatic and without the clivus lesion´s growth at 8-month follow-up.

Discussion

This paper presents a case of RDD, an entity described as a benign proliferative process with unknown pathophysiology1,8. Various theories have been proposed to explain the pathogenesis of the disease and multiple associations have been found with viral diseases such as herpes virus, Epstein-Barr virus, cytomegalovirus, and HIV1,2. It has also been associated with immunological disorders such as IgG4 disease, systemic lupus erythematosus, and juvenile idiopathic arthritis7, and malignancies Hodgkin and non-Hodgkin lymphoma7,9. Given its multiple associations, it is currently postulated as a disease with multiple triggers1,7,10,11. For this reason, in the post-diagnosis approach to intracranial RDD, all these diseases should be ruled out1.

As previously mentioned, the classic form of RDD occurs in young patients in the second or third decade of life with constitutional symptoms and bilateral cervical lymphatic infiltration1. However, in our case, similar to that previously described in other reports, isolated intracranial affection is usually found in patients in the fifth and sixth decades of life that manifests headache, seizures, and focal neurological deficit associated with the mass effect of the lesions without constitutional symptoms9,12. This clinical and radiological presentation is similar to the presentation of meningiomas, lesions that, due to their extra-axial location, compress the cerebral cortex, causing headache and seizures in this age group, although, unlike RDD, they occur mainly in women7,8.

In the review of the radiologic findings, CT shows iso or hyperdense lesions with homogeneous contrast enhancement and vasogenic edema around the tumor and may even show bone erosion9. MRI usually shows extra-axial, dural based, and well-circumscribed, it is usually isointense in T1, iso, or hypointense in T2 with edema surrounding the tumor and homogeneous contrast-enhancement3,9. In a review of 10 cases, a dural tail was found in all cases, so RDD is also a differential diagnosis of meningiomas13. In this review, Zhu et al. concluded that unlike meningiomas, a typical hypointensity non-related to calcification on T2-weighted or FLAIR images could suggest the RDD diagnosis13. Despite MRI enhancement, in angiography, they are avascular lesions8. In our case, the imaging findings were similar to that reported, and a dural tail was identified in the three lesions, so the preoperative diagnosis coincided with the clinic of multiple meningiomas.

Histopathological analysis classically found a polymorphic infiltrate of histiocytes, lymphocytes, and plasma cells. In the immunophenotype, histiocytes are usually of two main types: (1) large histiocytes with emperipolesis or lymphagocytosis (lymphocytes intact within phagocytic vacuoles of macrophages) and positive for S100 and CD68, which is considered characteristic of RDD and (2) histiocytes of average size in S100 negative differentiation. Routine Cd1a should be performed to rule out Langerhans histiocytes1,7,8,14.

Regarding treatment, the literature concurs that total surgical resection is the best approach, at least for symptomatic intracranial lesions, since a low recurrence rate (14%) has been observed during follow-up. In cases where biopsy-alone was performed, no remission of symptoms despite medical treatment1,8,9,14. In the case of residual intracranial lesions, different treatment modalities have been tried, from radiotherapy (2000-4500 cGy), chemotherapy (MTX and 6-MP), and steroids (prednisone 40-70 mg/day)1,9. Although no studies compare these treatment strategies, case-series seem to favor using steroids; nevertheless, each case must be evaluated separately1,9.

Regarding our patient´s perspective, in the follow-up, he has stated that he agrees with the treatment, given that he has been able to return to his professional activity. However, he concerns the adverse effects of steroids (especially regarding weight gain) and the evolution that the clivus lesion could eventually have. Finally, he thinks that although he has not gotten used to hyposmia, it is a lesser concern.

Conclusion

Our case is due to the diagnosis and location, one of the rarest reported to date in the literature. RDD should be considered the differential diagnosis of multiple meningiomas, with the latter is the best diagnostic and therapeutic approach to improve symptoms and obtain a diagnosis. Since the behavior of RDD is unknown, patients should have close surveillance.

Acknowledgments

The authors would like to thank Dr. Mariana Tovar-Echévarri for assistance with histopathological images and interpretation that improved the manuscript.

References

1. Abla O, Jacobsen E, Picarsic J, Krenova Z, Jaffe R, Emile JF, et al. Consensus recommendations for the diagnosis and clinical management of Rosai-Dorfman-Destombes disease. Blood. 2018;131:2877-90. [ Links ]

2. Emile JF, Abla O, Fraitag S, Horne A, Haroche J, Donadieu J, et al. Revised classification of histiocytoses and neoplasms of the macrophage-dendritic cell lineages. Blood. 2016;127:2672-82. [ Links ]

3. Hashmi SS, Ketonen L, Williams MD, Shah S, Debnam JM, Hospital MG. Comprehensive review on the spectrum of imaging findings. Neurographics. 2011;6:114-22. [ Links ]

4. Rosai J, Dorfman RF. Sinus histiocytosis with massive lymphadenopathy:a newly recognized benign clinicopathological entity. Arch Pathol. 1969;87:63-70. [ Links ]

5. Destombes P. Adenitis with lipid excess, in children or young adults, seen in the Antilles and in Mali (4 cases). Bull Soc Pathol Exot. 1965;58:1169-75. [ Links ]

6. Huang BY, Zong M, Zong WJ, Sun YH, Zhang H, Zhang HB. Intracranial Rosai-Dorfman disease. J Clin Neurosci. 2016;32:133-6. [ Links ]

7. Jiang Y, Jiang S. Intracranial meningeal Rosai-Dorfman disease mimicking multiple meningiomas:3 case reports and a literature review. World Neurosurg. 2018;120:382-90. [ Links ]

8. Symss NP, Cugati G, Vasudevan MC, Ramamurthi R, Pande A. Intracranial Rosai Dorfman disease:report of three cases and literature review. Asian J Neurosurg. 2010;5:19-30. [ Links ]

9. Sandoval-Sus JD, Sandoval-Leon AC, Chapman JR, Velazquez-Vega J, Borja MJ, Rosenberg S, et al. Rosai-Dorfman disease of the central nervous system:report of 6 cases and review of the literature. Medicine (United States). 2014;93:165-75. [ Links ]

10. Catalucci A, Lanni G, Ventura L, Ricci A, Galzio RJ, Gallucci M. A rare case of intracranial Rosai-Dorfman disease mimicking multiple meningiomas:a case report and review of the literature. Neuroradiol J. 2012;25:569-74. [ Links ]

11. Das S, Biswas A, Roy S, Sable M, Singh D, Jana M, et al. Recurrent intracranial Rosai-Dorfman disease:management of a challenging case. Asian J Neurosurg. 2017;12:537. [ Links ]

12. Wang C, Kuang P, Xu F, Hu L. Intracranial Rosai-Dorfman disease with the petroclival and parasellar involvement mimicking multiple meningiomas:a case report and review of literature. Medicine (United States). 2019;98:e15548. [ Links ]

13. Zhu H, Qiu LH, Dou YF, Wu JS, Zhong P, Jiang CC, et al. Imaging characteristics of Rosai-Dorfman disease in the central nervous system. Eur J Radiol. 2012;81:1265-72. [ Links ]

14. Russo N, Giangaspero F, Beccaglia MR, Santoro A. Intracranial dural histiocytosis. Br J Neurosurg. 2009;23:449-54. [ Links ]

FundingThis research did not receive any specific grant from funding agencies in the public, commercial, or not-for-profit sectors.

Ethical disclosures

Protection of human and animal subjects. The authors declare that no experiments were performed on humans or animals for this study.

Confidentiality of data. The authors declare that they have followed the protocols of their work center on the publication of patient data.

Right to privacy and informed consent. The authors have obtained the written informed consent of the patients or subjects mentioned in the article. The corresponding author is in possession of this document.

Received: October 23, 2021; Accepted: November 23, 2021

* Correspondence: José L. Navarro-Olvera E-mail: luiginavarro97@hotmail.com

Conflicts of interest

The authors declare no conflicts of interest.

Creative Commons License Instituto Nacional de Cardiología Ignacio Chávez. Published by Permanyer. This is an open ccess article under the CC BY-NC-ND license