Antecedentes
La cistitis enfisematosa es una rara entidad infecciosa caracterizada por la presencia de gas en la luz y paredes de la vejiga.
Este cuadro patológico fue descrito por primera vez en 1961 por Bailey y refrendada años más tarde por Thomas que llevó a cabo un estudio con los resultados de 135 pacientes donde reportó datos epidemiológicos sobre la misma, cuyos resultados evidenciaron una edad media de 66 años,1 con predominio del sexo femenino en 64% de los casos.2
La presentación clínica es inespecífica, desde sintomatología de infección del tracto urinario leve, hasta presentarse como peritonitis y choque séptico.3
Es de vital importancia tener en cuenta esta patología y sospecharla sobre todo en aquellos pacientes que presenta factores de riesgo (diabetes mellitus principalmente), debido a que un diagnóstico temprano y la instauración del tratamiento precoz ayudan a mejorar el pronostico de estos pacientes. Aún así, se trata de una enfermedad grave que puede conllevar a complicaciones severas como se muestra en la evolución de nuestra paciente.
Caso clínico
Paciente de 86 años sin alergias medicamentosas conocidas con antecedentes médicos de fibrilación auricular, hipertensión arterial, valvulopatía mitral, posible IRC en estudio y artrosis. Es remitida al servicio de Urgencias de nuestro centro por mal estado general, dolor abdominal difuso, desaturación, leucocitosis con desviación a la izquierda, elevación de lactato, GGT y FA. La paciente había sido dada de alta desde el servicio de Traumatología el día previo tras una intervención de fractura de cadera izquierda.
Se solicitan las pruebas complementarias pertinentes que consisten en:
Analítica sanguínea: glucosa 62, urea 1.09, creatinina 3.02, ALT 38, CPK 999, amilasa 353, sodio normal, potasio 5.84, PCR 237.1. Leucocitos 32800 con 96,4% de neutrofilia. Gasometría venosa revela pH 7.19, HCO3 12.5, L-lactato 10.9.
-
Sedimento de orina.
PCR SARS-COV-2: negativa
Radiografía de abdomen: Hallazgos sugestivos de cistitis enfisematosa con gas rodeando el perímetro vesical; fecaloma rectal. Asas enterales discretamente distendidas en relación con íleo paralítico secundario en flanco derecho. Portadora de prótesis parcial de la cadera izquierda (Figura 1).

Se visualiza radiolucencia en téorica pared vesical compatible con gas, que se encuentra ampliamente repleccionada y un gran fecaloma.
Figura 1 Radiografía simple de abdomen
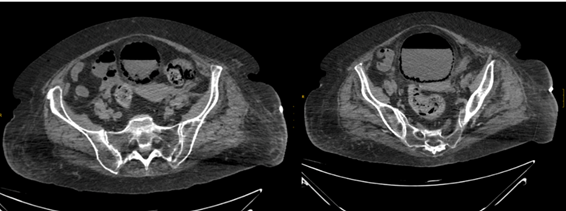
Ecografía abdominal: Hígado de tamaño, morfología y ecoestructura normales sin identificar LOEs. Colecistectomizada. Vías biliares de calibre normal. Páncreas no visualizable .Bazo homogéneo de tamaño normal. Aorta abdominal de calibre normal. No se identifican adenopatías retroperitoneales. Ambos riñones seniles con disminución del grosor parenquimatoso con leve hidronefrosis grado 1 bilateral. Vejiga distendida con marcada presencia de gas en toda su pared compatible con cistitis enfisematosa. Se decide realización de TC abdominal sin contraste urgente (Figura 2).

Se visualiza una hipoatenuación de densidad aire de localización parietal e intraluminal vesical correspondiente con hallazgos radiológicos compatibles con cistitis enfisematosa.
Figura 2 Imágenes de TC sin contraste, cortes axiales.
TC abdominal sin contraste: Pequeño derrame pleural bilateral con colapso pasivo del pulmón subyacente. Hígado, vías biliares, páncreas, bazo, suprarrenales sin alteraciones. Riñones seniles con hidronefrosis bilateral grado I. Aorta abdominal ateromatosa con ligera dilatación de 25 mm a nivel infrarrenal. Severa presencia de gas entre la pared de la vejiga, con nivel hidroaéreo en su interior en relación con cistitis enfisematosa. Marcado fecaloma en ampolla rectal y divertículos en sigma sin signos de complicación. Pequeña cantidad líquido libre intraabdominal (Figura 3).

Se objetiva hipodensidad en toda la pared parietal vesical así como en las porciones más anteriores a nivel intraluminal correspondiente con aire.
Figura 3 Reconstrucción TC corte sagital
Ante los hallazgos de las pruebas complementarias se decide el ingreso hospitalario para antibioterapia intravenosa empírica de amplio espectro y control evolutivo. Durante su ingreso la paciente presenta una evolución tórpida a pesar de antibioterapia intravenosa, sufre importantes cuadros de desorientación y su situación hemodinámica empeora, produciendo exitus letalis el segundo día de ingreso debido a fracaso multiorgánico.
Discusión
La cistisis enfisematosa es un cuadro clínico poco usual caracterizado por la presencia de gas en el interior de la vejiga o en la pared vesical.
Los factores de riesgo principales predisponentes de esta patología son la diabetes mellitus (67%), la infección urinaria de repetición, obstrucciones urinarias, vejiga neurogénica y estados inmunosupresión. Otros factores de riesgo menos descritos pero no por ello de menor relevancia incluyen la fístula vesicorectal, la enfermedad renal crónica y la uropatía de esfuerzo.4
Si atendemos a los resultados microbiológicos, el germen que con más frecuencia produce gas al infectar el aparato urinario es el Escherichia Coli siendo menos habituales otros microorganismos como el Enterobacter Aerogenes, Klebsiella pneaumoniae, Proteus Mirabillis, Staphylococcus Aureus, Streptococos, Nocardia y Candida Albicans.5
Su presentación clínica es bastante diversa, presentando casos totalmente asintomáticos, pacientes con sintomatología de infección urinaria del tracto urinario leve hasta presentarse con peritonitis y choque séptico, siendo los síntomas de presentación más frecuentes la presencia de dolor abdominal agudo (80%), fiebre (52%) y hematuria (47%). Un hallazgo característico es la presencia de neumaturia, aunque se trata de una manifestación poco frecuente.5
El diagnóstico se basa en una correcta anamnesis clínica y un alto índice de sospecha en pacientes con factores de riesgo, siendo los hallazgos radiológicos esenciales para su diagnóstico definitivo. El examen de orina revela piuria y hematuria, con urocultivo positivo en alrededor del 90% de los casos y hemocultivos positivos.5
Los hallazgos radiológicos ponen de manifiesto la presencia de gas mediante las diferentes pruebas disponibles.
La radiografía simple de abdomen evidencia una línea radiolúcida circundando la pared vesical, correspondiendo a un nivel hidroaéreo. La ecografía puede objetivar un engrosamiento parietal vesical con un patrón hiperecogénico, pero la rentabilidad diagnóstica de la prueba está en la mayoría de las ocasiones disminuida debido a la interposición de gas en el tracto urinario inferior. La TAC es el examen de elección con una alta sensibilidad y especificidad, poniendo de manifiesto la presencia de gas en la pared vesical.
Como diagnósticos diferenciales ante la presencia de gas vesical debemos plantearnos la posibilidad de otros procesos como puede ser la presencia de fístulas vesicales producidos por neoplasias, tratamiento radioterápico, enfermedad inflamatoria intestinal, diverticulitis, traumatismos o iatrogenia.
El tratamiento médico es de elección, con reposición de volumen y manejo del choque, control metabólico y antibioterapia de amplio espectro, ajustándose y modificándose según los resultados de los urocultivos. La duración del tratamiento deberá tener una duración como mínimo de entorno a 3-6 semanas.
El pronóstico en general es favorable, y las complicaciones ocurren en un 10-20% de los casos, siendo la mas frecuente la pielonefritis enfisematosa.6 Otras complicaciones descritas son la necrosis vesical, sepsis urinaria, enfisema subcutáneo y rotura vesical.7 A diferencia de la pielonefritis enfisematosa que en la mayoría de las ocasiones precisa de una nefrectomía, la cistitis enfisematosa en pocas ocasiones requiere de tratamiento quirúrgico.
La cistitis enfisematosa es una patología inusual, pero que puede presentar alta morbilidad y mortalidad, en el que es necesario una precoz sospecha diagnóstica, sobretodo en pacientes insulinodependientes descompensados con infección urinaria. Habitualmente presenta buen pronóstico con tratamiento antibiótico y buen control glucémico, excepto en pacientes que presentan importantes comorbilidades y disfunciones sistémicas.










nueva página del texto (beta)



