Introducción
La tuberculosis (TB) es una enfermedad infecciosa causada por el bacilo Mycobacterium tuberculosis (M. tuberculosis), responsable de la mayoría de las muertes asociadas a enfermedades infecciosas con incidencia de 192 a 232/100 000 habitantes, causando 19 a 30 muertes/100 000 por año.1 En el 2016 la Organización Mundial de la Salud (OMS) estimó 1.3 millones de muertes por tuberculosis y en el 2015, 480 000 nuevos casos de tuberculosis multiresistentes.2 Su principal compromiso es pulmonar, seguido de la tuberculosis genitourinaria como segunda y tercera entidad más común en los países en desarrollo y desarrollados respectivamente, representando el 20% al 40% de los casos de tuberculosis extrapulmonar (TBEP).1-5 Existe predominio en el sexo femenino (91%) con relación al masculino (61%) con mayor prevalencia entre la cuarta y quinta década de la vida.5,6 En relación con los órganos genitourinarios, la afectación renal es la más común (80%), seguido del epidídimo (22%-55%) y el compromiso prostático (22%-49%) causado por diseminación hematógena.1,3 El compromiso aislado de los órganos genitales representa el 5% al 30% y se asocia con reactivación primaria de los bacilos latentes.1 En concomitancia a la tuberculosis genitourinaria, los pacientes presentan hipertensión arterial (55%), diabetes mellitus (21%), enfermedad coronaria (25%), insuficiencia cardiaca (13%), enfermedad renal crónica (16%) y alteraciones tiroideas (13%).6 El compromiso genitourinario se genera posterior a un intervalo de 6 meses desde la primoinfección, inicialmente se genera cicatrización espontánea a nivel pulmonar continuando con una fase latente con probabilidad de hasta 5% de reactivación en los próximos 5 años asociado a alteraciones metabólicas como desnutrición, diabetes mellitus, uso de esteroides e inmunosupresores o inmunodeficiencia,5 en algunos casos este periodo de latencia es superior a 20 años, explicando la baja incidencia de tuberculosis renal en la población pediátrica.3 Los factores predisponentes para el desarrollo de esta patología son la migración,1,2 antecedente de tuberculosis, contacto con un paciente con tuberculosis, viajes a regiones endémicas, inmunodeficiencias, tratamientos deficientes permitiendo el crecimiento de bacilos multirresistentes.
Los pacientes presentan cuadros clínicos inespecíficos caracterizados por disuria,7 hematuria microscópica, dolor en flancos, piuria estéril, acidosis urinaria,2 infecciones urinarias recurrentes, infertilidad,5 lo cual retrasa el diagnóstico. Dentro del estudio paraclínico, la evidencia de piuria estéril en el examen microscópico de orina se considera un hallazgo clásico de afectación genitourinaria. Se describen exámenes físicos con presencia de masa escrotal indolora o lesiones ulcerosas del pene.1 En casos más complejos, se presentan pacientes con complicaciones asociadas como insuficiencia o enfermedad renal crónica.2,8,9
El estándar de oro es el aislamiento y cultivo del bacilo de Mycobacterium tuberculosis en muestras de orina, debido a que la baciluria es esporádica y leve, se requiere el análisis de tres a nueve muestras seriadas. El cultivo del bacilo presenta una sensibilidad variable (10.7% al 90%) con una desventaja en su análisis por el tiempo de obtención de los resultados (días hasta semanas) de acuerdo al centro de referencia.1,5 La identificación en tinción acido alcohol resistente de Ziehl-Nielsen presenta especificidad de 96.7% y sensibilidad de 37.1%-52.1%, el análisis PCR en orina cuenta con sensibilidad 94.3%-95.6% y especificidad 85.7%-94.3%, con la desventaja de no diferenciar entre infección activa y latente.1 Otra prueba realizada con menor frecuencia es la inyección subcutánea de 20, 50 o 100 unidades de tuberculina considerando positiva la prueba con hallazgos de leucocitosis, leucocituria, linfopenia y aumento de temperatura corporal a las 24 y 48 horas.1 Existe un aumento del 16% en la detección de M. tuberculosis mediante cultivo o PCR posterior a la prueba de tuberculina.1
El tratamiento en tuberculosis urogenital (TBU) es igual que la tuberculosis pulmonar mediante cuatro fármacos: etambutol y pirazinamida los dos primeros meses, continuando isoniazida, rifampicina, etambutol y pirazinamida durante 6 meses.1,10 Otros pacientes pueden necesitar un tratamiento más prolongado (enfermedad cavitaria, abscesos, disfunción renal o coinfección por VIH). En casos de tuberculosis multirresistente (MDR-TB) se requiere el uso de un tratamiento intravenoso a largo plazo de forma combinada durante 18-24 meses. En complicaciones anatómicas como obstrucción del tracto urinario se deben administrar corticosteroides o corrección quirúrgica.10 Los pacientes con diagnóstico de tuberculosis urinaria que presenten deterioro en su estado clínico asociado a trauma renal serán hospitalizados en una unidad de cuidados intensivos (UCI), monitorizados de forma continua y se debe considerar realizar estudios radiológicos complementarios individualizando cada paciente.
El objetivo de esta publicación es presentar el caso de una paciente adulta joven con hallazgo radiológico de estallido espontáneo renal asociado a tuberculosis renal, requiriendo vigilancia intensiva, manejo médico, farmacológico e intervención quirúrgica de urgencia con compromiso multisistémico posterior. Este caso es de gran importancia por ser una complicación no registrada en la literatura acompañada de un cuadro clínico variable, siendo de vital relevancia la detección temprana y manejo inmediato del trauma renal, dado el deterioro hemodinámico y compromiso sistémico que pueden presentar este tipo de pacientes.
Descripción del caso
Paciente de 27 años, sexo femenino con antecedentes patológicos de artritis, síndrome de Raynoud, cistitis xantogranulomatosa, glucosuria familiar, anemia ferropénica asociado a cistitis hemorrágica, infecciones urinarias a repetición en los últimos 2 años (4 episodios por año) y hospitalización reciente por candidiuria, tratada previamente. Cursó con cuadro clínico de fiebre no cuantificada, disuria, polaquiuria, reporte de urocultivo ambulatorio con presencia de Klebsiella pneumoniae multisensible, es tratada con control de urocultivo negativo. Laboratorios de seguimiento con hemograma: leucocitos 12.30 ul, hemoglobina 10.60 g/dl, hematocrito 34.50%, plaquetas 297000 mcL, neutrófilos 9.95 ul, linfocitos 1.37 ul, monocitos 0.6ul. Uroanálisis: color rojo, aspecto turbio, PH 6.5, nitritos negativos, glucosa >1000 mg/dl, leucocitos 25-30 xc, hematíes 30-55 xc, células epiteliales 0-2 xc, bacterias escasas. Función renal: BUN 9.50 mg/dl, creatinina 0.81mg/dl. Otros resultados: potasio 4.50 mmol/L, albumina 3.33 g/dl, hierro total 13.00 ug/dl, ferritina 1826.67 ng/ml, proteinuria en 24 horas 618.75 mg/24 horas, proteinuria en orina ocasional 137.5 mg/L, volumen de orina de 24 horas: 4500 ml/24 horas. Durante su seguimiento por nefrología se encontró cuadro clínico de 15 días de evolución caracterizado por persistencia de síntomas urinarios irritativos acompañado de leve distensión abdominal y dolor en hemiabdomen derecho por lo cual ingreso al servicio de urgencias, iniciando manejo farmacológico, vigilancia hemodinámica y control radiológico con ecografía renal con presencia de engrosamiento urotelial, alteración en la ecogenicidad del parénquima del riñón derecho por pielonefritis y/o cambios de nefropatía, además de engrosamiento de las paredes vesicales en relación con cambios inflamatorios, presencia de gas intraluminal, restos hemáticos o detritus en la luz vesical e imágenes que pueden corresponder a restos hemáticos impactados o pólipos. Durante su estancia hospitalaria se observó reactantes de fase aguda en aumento, conservación de la función renal, hemograma con leucocitosis y neutrófilia, anemia moderada hipocromica microcitica, por lo cual se escalonó esquema de antibioticoterapia. Además, se realizaron cultivos de orina de forma seriada encontrando bacilos de Mycobacterium tuberculosis en la cuarta muestra analizada. En su día 5 de hospitalización presento choque hemodinámico, anemización severa aguda, insuficiencia respiratoria severa con requerimiento de hospitalización en unidad de cuidados intensivos (UCI), soporte ventilatorio, vasopresor y transfusión de hemoderivados. Por el deterioro clínico se realizó tomografía computarizada de abdomen y pelvis con impresión diagnostica de laceración del polo superior del riñón derecho con hematoma en el espacio pararrenal anterior, sangrado activo, contusión hepática en el segmento VI, también presencia de cambios de pielonefritis xantogranulomatosa derecha, dilatación ureteral a nivel de la pelvis renal, uréter derecho y engrosamiento vesical (Figura 1 y Figura 2).

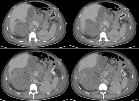
Riñón derecho con pérdida de la estructura corticomedular, contenido hipodenso de hematoma intrarrenal contenido en la Gerota y disrupción del parénquima en el polo superior.
Figura 1 Tomografía computarizada de abdomen y pelvis

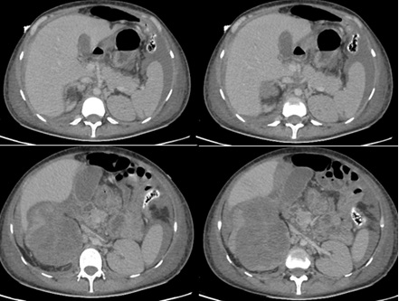
Riñón derecho con pérdida de la estructura corticomedular, presencia de líquido libre subhepático y periesplénico compatibles con hemoperitoneo.
Figura 2 Tomografía computarizada de abdomen y pelvis
Posteriormente es trasladada a salas de cirugía para laparotomía exploratoria con hallazgos intraoperatorios de hemoperitoneo de 3000 cc aproximadamente, perforación de fascia de Gerota anterior derecha hacia el polo renal superior derecho, nefromegalia derecha de 15 cm, pionefrosis y riñón de apariencia cianótica no viable con abundante tejido inflamatorio, por lo cual se realiza nefrectomía simple. En el estudio histopatológico de la pieza anatómica obtenida en el procedimiento quirúrgico se observó uréter engrosado con denso infiltrado inflamatorio mixto de predominio mononuclear con focos de microabscesos de polimorfonucleares (PMN) neutrófilos y denudación del epitelio, áreas de riñón extensamente comprometido por infiltrado inflamatorio PMN neutrófilo con formación de abscesos y focos de necrosis de licuefacción asociados con discreta atrofia del parénquima renal y mínima fibrosis glomerular y estromal (Figura 3 y Figura 4).

40x. En coloración básica (Hematoxilina-Eosina) se reconoce parénquima renal con pérdida de la arquitectura dado por presencia de absceso constituido por PMN neutrófilos, detritus celulares, el tejido residual con extensos cambios por pielonefritis crónica.
Figura 3

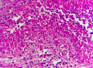
40x. Se observa en coloración básica (Hematoxilina-Eosina) granuloma constituido por células epitelioides dispuestos en empalizada y necrosis central.
Figura 4
El manejo postoperatorio se realizó en unidad de cuidado intensivo (UCI) por inestabilidad hemodinámica. En el segundo día postquirúrgico requirió aumento progresivo del soporte vasopresor y ventilatorio, evidenciando compromiso multisistémico acompañado de deterioro hemodinámico con necesidad de maniobras de reanimación cardiopulmonar, sin retorno a la circulación espontanea.
El diagnóstico temprano de la tuberculosis genitourinaria permitiría mejorar el desenlace en estos pacientes mediante intervenciones médicas y farmacológicas destinadas a la erradicación de esta enfermedad.
Discusión
Wildbolz sugirió por primera vez el termino tuberculosis genitourinaria (GUTB) en 1937.1 Actualmente la tuberculosis genitourinaria representa la segunda y tercera causa más común de compromiso por tuberculosis extrapulmonar, responsable del 20%-40% de los casos.1-5
Su cuadro clínico es inespecífico dificultando el diagnóstico oportuno. Su presentación clínica está directamente relacionada con el órgano comprometido, por ejemplo, en la tuberculosis ureteral se desarrollan múltiples áreas de estenosis causando obstrucción, ureterohidronefrosis e insuficiencia renal.5,10 En casos de tuberculosis vesical los hallazgos clínicos y radiológicos son muy específicos: vejiga contraída (8.9% en los casos de tuberculosis urogenital) o engrosamiento difuso de la pared de la vejiga, sin trabeculación ni divertículos.5 Este último hallazgo radiológico concuerda con la paciente del caso clínico quien presentaba dilatación ureteral a nivel de la pelvis renal, del uréter derecho y engrosamiento vesical por lo cual se podría sospechar esta entidad.
El compromiso genitourinario por tuberculosis se debe sospechar en pacientes con alteraciones nutricionales, patologías crónicas, uso de inmunosupresores o deficiencia del sistema inmune. En relación a lo anterior, nuestra paciente con antecedentes urológicos, infecciones urinarias a repetición y cambios anatómicos presentaba susceptibilidad al compromiso por tuberculosis urinaria. El diagnóstico de tuberculosis genitourinaria es el aislamiento y cultivo del bacilo de Mycobacterium tuberculosis en muestras de orina. En el reporte de caso, la identificación del bacilo se realizó en la cuarta muestra de orina, recalcando que es necesario el análisis de cultivos seriados ya que muchos pacientes presentan baciluria de manera esporádica y su aislamiento requiere de varias tomas permitiendo un diagnóstico oportuno.1,5 Durante su hospitalización, la paciente presentó deterioro hemodinámico requiriendo manejo invasivo con hallazgo radiológico de laceración del polo superior del riñón derecho con hematoma en el espacio pararrenal anterior, sangrado activo y contusión hepática en el segmento VI, entendiendo que es necesario la estabilización hemodinámica, control continuo signos vitales y evaluación imagenológica en todo paciente con sospecha de trauma, deterioro del estado clínico y diagnóstico de tuberculosis genitourinaria.
La importancia del diagnóstico diferencial en esta entidad radica en la prevención de complicaciones, instauración de tratamientos oportunos, y en cuadros de mayor severidad realizar vigilancia continua, estabilización hemodinámica mediante soporte circulatorio y ventilatorio acompañado de control radiológico, evaluando la necesidad de intervención quirúrgica de forma individualizada, permitiendo mejorar los desenlaces en este tipo de pacientes.










nueva página del texto (beta)



