Introducción
El linfoma no-Hodgkin (LNH) con localización primaria en testículos es raro; representa aproximadamente el 9% de las neoplasias testiculares y el 1-2% de todos los LNH, siendo el difuso de células B grandes (LDCBG) el histotipo más común.1
Aproximadamente 33% de los LNH se presentan en tejidos diferentes a los nódulos linfáticos; como por ejemplo en hueso, mama, bazo, sistema nervioso central (SNC) o el timo; en este caso se denomina LNH extranodal primario.1,2
El LNH primario de testículo es la neoplasia testicular más común en hombres mayores. Se considera una enfermedad altamente agresiva con un mal pronóstico general por su alto índice de recaídas a sitios extra ganglionares como SNC.2
Es hasta en 1877 cuando Malassez hace descripción por primera vez del linfoma testicular primario no Hodgkin como una entidad propia.3
El linfoma testicular primario (LTP) es una neoplasia rara con una incidencia anual de 0.26 casos por 100,000 personas-año, La edad media de presentación del LTP es de 60 años.4
Tiene una mayor incidencia en poblaciones de Asia, América del Sur, América Central entre los que se incluye México.5
La etiología de esta neoplasia maligna no está bien descrita y se han mencionado informes anecdóticos sobre asociaciones a trauma, orquitis crónica, criptorquidia y filariasis.6
El perfil de expresión génica ha establecido que más del 75% de los LNH primario testicular con fenotipo LDCBG se asemejan al subtipo de centro de células B activadas (ABC) o no germinal activado de LDBCG nodal. Al destilar el paisaje mutacional específico y los perfiles inmunofenotípicos, las características destacadas de LNH testicular primario con fenotipo LDCBG son alteraciones genómicas que surgen dentro de los componentes centrales de la presentación del antígeno (loci CIITA, B2M y HLA) y reordenamientos estructurales de los ligandos de muerte programada 1 (CD274) y 2 (PDCD1LG2).7
Caso clínico
Hombre de 88 años, sin antecedentes relevantes, acude valoración por aumento de volumen escrotal, pujo y tenesmo vesical, en la exploración física se evidencia aumento de volumen en bolsa escrotal izquierda dependiente de crecimiento testicular ipsilateral, aproximadamente 12 x 7 cm (Figura 1), transiluminación positiva, poco doloroso a la palpación; testículo derecho aparentemente normal, ingles sin linfadenopatías palpables. Marcadores tumorales: Gonadotropina coriónica humana cuantitativa, alfafetoproteína y deshidrogenasa láctica dentro de parámetros normales. Paciente presenta estudio ultrasonográfico testicular en el cual se describe testículo izquierdo con parénquima homogéneo, con bolsa quística de 10 cm (hidrocele), presencia de hipoecogenecidad en parénquima testicular mal definida.
Se realiza orquiectomía radical izquierda ante sospecha de probable tumor sólido asociado a hidrocele (Figura 2). Evolución estable, se egresa sin complicaciones. Reporte histopatológico que describe neoplasia maligna de células grandes compatible con linfoma no-Hodgkin con infiltración a la capa interna de la túnica albugínea, sin invasión vascular, sin infiltración a la rete tesis, epidídimo ni al cordón espermático, completamente resecado y asociado a hidrogene. pT de 3 cm. (Figura 3)

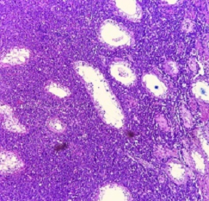
Figura 3 Proliferación difusa de células grandes (patrón no cohesivo), con núcleos vesiculosos y nucléolos prominentes. HE
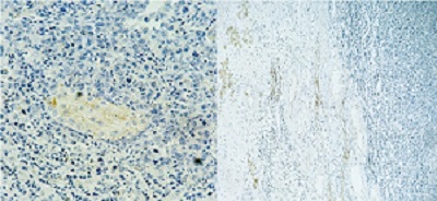
Se reporta inmunohistoquímica con CD20 positivo, CD3 negativo, CD 117 negativo. PLAP (fosfatasa alcalina placentaria) negativo, (Figuras 4 y 5). Se concluye linfoma no-Hodgkin difuso de células grandes inmunofenotipo B.

Figura 4 Estudio de inmunohistoquímica que muestra positividad citoplásmica para CD20 en un linfoma primario testicular

Figura 5 Estudio de inmunohistoquímica que muestra negatividad para fosfatasa alcalina placentaria y CD117 en un linfoma primario testicular
Los estudios de extensión (tomografía axial computada) no demostraron actividad tumoral regional o a distancia.
Se prescribe tratamiento médico con quimioterapia, actualmente el paciente se encuentra en vigilancia oncológica.
Discusión
Las características clínicas de LDCBG incluyen baja incidencia, alta agresividad y un enfoque terapéutico complicado, lo que puede explicar por qué actualmente no hay algún tratamiento estándar para esta patología. La presentación clínica más común es una inflamación escrotal indolora unilateral, en ocasiones se presenta con dolor escrotal agudo o hidrocele (hasta 30-40%),8,9 como se describe en el paciente del presente reporte.
La afectación del epidídimo y el cordón espermático es más común en los linfomas en comparación con los seminomas.10
En el 43% de los casos, se detecta hidrocele en el examen clínico, junto con una masa parenquimatosa unilateral que requiere la detección por ultrasonido de los testículos,10,11 característica clínica y diagnóstica que mostro el paciente en este caso.
Los síntomas sistémicos B (que incluyen fiebre, sudores nocturnos y una pérdida de peso inexplicable de más del 10% del peso corporal en 6 meses) se observan en el 25% al 41% de los pacientes con enfermedad en estadio avanzado, motivo por el cual se cree no se presentaron en nuestro paciente. Con menos frecuencia, dolor abdominal, y la ascitis se puede ver en pacientes con afectación de los ganglios linfáticos retroperitoneales.11
El ultrasonido testicular es el método de imagen más común utilizado para el abordaje diagnóstico de masas testiculares. El linfoma testicular primario se caracteriza por hipoecogenicidad focal o difusa con proliferación vascular; el linfoma generalmente infiltra el epidídimo, el cual se agranda y se vuelve hipoecoico;11 el reporte de ultrasonografía en este caso infiltración a la rete tesis, epidídimo ni al cordón espermático.
El diagnóstico diferencial incluye orquiepididimitis, sarcoide, linfoma, tuberculosis y leucemia. Los tumores de células germinales testiculares no están incluidos, ya que aparecen más lobulados con bordes bien definidos en la ecografía, y rara vez involucran tanto el testículo como el epidídimo.12
Como el caso de nuestro paciente la mayoría de los pacientes (50-60%) se presentan con enfermedad en estadio IE, lo que significa compromiso limitado a uno o ambos testículos. En el estadio IIE (aproximadamente el 20-30% de los pacientes), la afectación testicular mono o bilateral se asocia con la afectación concomitante de los ganglios linfáticos locorregionales, retroperitoneales y / o ilíacos. Los ganglios linfáticos distantes y / o los sitios extraganglionares junto con la afectación testicular mono o bilateral se clasifican como enfermedad en estadios III-IV.13
Es importante destacar que en etapas avanzadas puede diseminarse fácilmente a otros sitios extranodales, como el SNC, la pleura y los tejidos blandos, así como al testículo contralateral. La afectación testicular bilateral puede ser sincrónica en el momento del diagnóstico o, con mayor frecuencia, asincrónica durante el curso de la enfermedad; se ha detectado hasta en 35% de los pacientes.14
La presencia de síntomas B y niveles elevados de deshidrogenasa láctica se ha definido como factores pronósticos negativos,15 ambos factores negativos en este caso.
En 2003, el International Extranodal Lymphoma Study Group (IELSG) reportó que la edad avanzada, el estadio avanzado, la puntuación alta de IPI (International Prognostic Index), lactato deshidrogenasa elevada y la ausencia de cirugía o radioterapia se asociaron significativamente con un pronóstico desfavorable.15,16
En 2010, los investigadores del MD Anderson Cancer concluyeron que, de los factores mencionados anteriormente, la etapa avanzada, la elevación de la lactato deshidrogenasa y el IPI elevado eran predictores de supervivencia de la enfermedad.17
Se informa que la supervivencia general a 5 y 10 años está entre 37-68% y 30%, y el período libre de progresión de 5 años está entre 48-56% (dependiendo del tratamiento utilizado).18
La tinción inmunohistoquímica de células malignas es de suma importancia para la evaluación de la neoplasia, ya que proporciona datos sobre su origen linfomatoso. En general, la mayoría de los casos reportados son de un linaje de células B. En tales casos, los marcadores fenotípicos específicos (CD45; CD20; CD3; CD30) confirman el diagnóstico final.19
Las células tumorales testiculares también pueden expresar altos niveles de proteínas resistentes a los medicamentos, como la glicoproteína P (PGP) y la proteína resistente a los medicamentos para el cáncer de mama (BCRP), lo que resulta en resistencia a la quimioterapia.20
Además, la orquiectomía seguida de quimioterapia es tradicionalmente el tratamiento recomendado para pacientes con PTL y puede curar del 60% al 70% de los pacientes.
El uso de la terapia multimodal se asoció con un aumento en la tasa de supervivencia a 5 años del 30 al 86,6%.20,21
La terapia multimodal consta de, la orquiectomía radical (diagnóstica terapéutica) seguida de quimioterapia R-CHOP (rituximab, ciclofosfamida, doxorubicina, vincristina y prednisona), radioterapia local (profiláctico para prevenir la recaída en ganglios linfáticos regionales o en los testículos contralaterales) y profilaxis del SNC con dosis altas de metotrexato con o sin quimioterapia intratecal, son opciones ampliamente aceptadas, que son adecuadas para uso clínico individual con niveles de evidencia de tipo 3.21
El rituximab es un anticuerpo monoclonal quimérico anti-CD20 de inmunoglobulina humana G aprobado para el tratamiento del linfoma folicular recurrente.22
La mayoría de las recaídas ocurren dentro de los primeros 1-3 años de la terapia inicial, principalmente en los sitios extra-nodales. En el SNC las recaídas ocurren a pesar de la quimioterapia intratecal.23
Conclusiones
Se requiere alto índice de sospecha diagnóstica de esta patología en casos en los que pacientes mayores de 50 años de edad presenten aumento de volumen escrotal o cuadro clínico de compatible con hidrocele, o diagnóstico de orquiepididimitis que no mejoran con manejo convencional ya que los pacientes diagnosticados en etapas tempranas tienen una mejor supervivencia.










nueva página del texto (beta)





