A middle-aged woman with no comorbidities presented to the emergency department with chest discomfort and breathlessness. Vitals showed tachycardia, hypotension, and a soft early diastolic murmur, and a chest X-ray revealed acute pulmonary edema. Twelve lead electrocardiogram (Fig. 1A) showed sinus rhythm with ST depression in 2, 3, aVF, V3-V6, ST elevation in aVR, and lead 1 suggestive of an acute coronary syndrome involving the left main coronary artery. A transthoracic echocardiogram showed severe left ventricular dysfunction, global LV hypokinesia, and a tricuspid aortic valve with an oscillating flap-like structure was observed in the ascending aorta; indicating an acute aortic dissection (Fig. 1B-F). The patient was shifted for emergency surgery after computed tomography-Aortography, which confirmed the diagnosis of De-Bakey Type I dissection with a curvilinear dissection flap extending from the ascending aorta, involving the arch of aorta up to the right common femoral artery (Fig. 2D and E). The dissection flap is seen occluding the Left main with hypoperfusion in the left anterior descending and left circumflex (Fig. 2A and B), with the right coronary artery being spared (Fig. 2C). Despite the surgery, the patient did not survive in the post-operative period.

Figure 1 A: 12 lead electrocardiogram suggestive of left main coronary artery occlusion with global ST depression and aVR ST elevation. B-D: 2D transthoracic echocardiogram images in parasternal long axis view showing curvilinear dissection flap in the ascending aorta causing severe aortic regurgitation. E and F: 2D transthoracic echocardiogram images in parasternal short axis view showing trileaflet aortic valve and aortic dissection flap impeding the mobility of aortic valve leaflets.

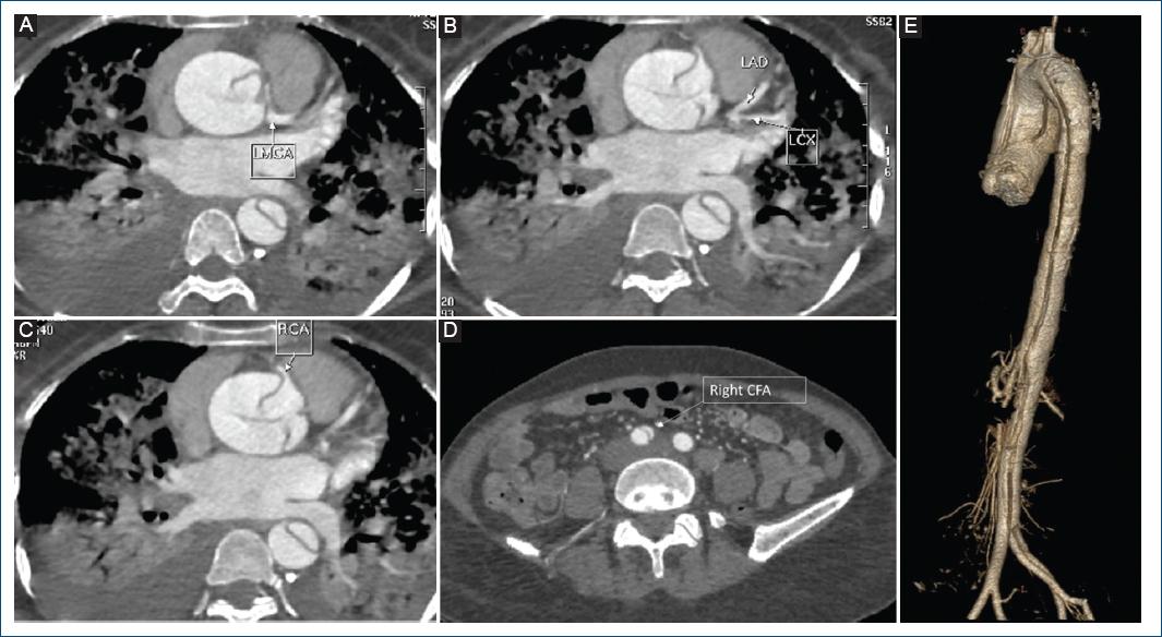
Figure 2 A-D: multidetector computed tomography (CT) aortogram demonstrating aortic dissection flap arising from ascending aorta, occluding the left main coronary artery and extending till the right common femoral artery. E: 3D reconstruction of the CT aortogram showing the dissection flap involving the whole length of the aorta and its extension into the right common femoral artery.
Acute ascending aortic dissection is a fatal condition with an immediate mortality rate as high as 1-2%/h over the first several hours1. It can cause complications like malperfusion syndrome, tamponade, or aortic insufficiency. Acute myocardial infarction (MI) due to hypoperfusion of the left main coronary artery is exceedingly rare and potentially fatal and requires very urgent surgical intervention for the patient’s survival2. According to the 2014 ESC Guidelines, emergency surgery is indicated for type A dissections to prevent rupture and death. The 2013 ACCF/AHA guidelines for STEMI also emphasize distinguishing different causes of acute coronary syndrome to avoid inappropriate treatments3,4. Our case underscores the importance of prompt echocardiography in screening for this lethal disease. Maintaining a high index of suspicion is crucial for diagnosing aortic dissection, often necessitating more than two diagnostic modalities for confirmation. Despite surgical intervention, the mortality rate for aortic dissection involving the ascending aorta causing MI remains high, highlighting the need for early diagnosis to improve patient outcomes5.










text new page (beta)


