Introduction
Spontaneous coronary artery dissection (SCAD) is a rare acquired vascular anomaly; LV pseudoaneurysm (LVP) is a rare but life-threatening complication resulting from the rupture of the ventricular free wall.
We present a case of a young female patient with recurrent chest pain diagnosed with a rare large LVP due to coronary spontaneous dissection.
A 30-year-old female patient, with no significant cardiovascular history, presented to the emergency department with sudden oppressive chest pain. She was initially diagnosed with costochondritis and prescribed high doses of non-steroidal anti-inflammatory drugs. Despite multiple consultations for persistent symptoms, including chest pain and exertional dyspnea, her condition did not improve.
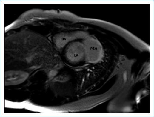
Cardiac magnetic resonance revealed a normal LV size, 35% LVEF, and a LVP of 65 × 40 mm with thrombus formation, highly suggestive of ischemic etiology (Fig. 1). The left anterolateral ventricular wall perforation was contained solely by fibrosis of the pericardium, having a high risk of rupture. Coronary angiography revealed a Type 2 dissection of the left main artery extending into the left anterior descending artery and circumflex artery, which were both occluded (Fig. 2). After the diagnosis, surgical intervention (Fig. 3) was success with pseudoaneurysm exclusion and myocardial revascularization (Fig. 4).

Figure 1 Transversal view of l LV pseudoaneurysm in cardiac magnetic resonance. RV: right ventricle; LV: left ventricle; PSA: pseudoaneurysm.

Figure 2 Coronary angiography with type 2 dissection of the left main artery (arrow) extending into the left anterior descending artery and circumflex artery.

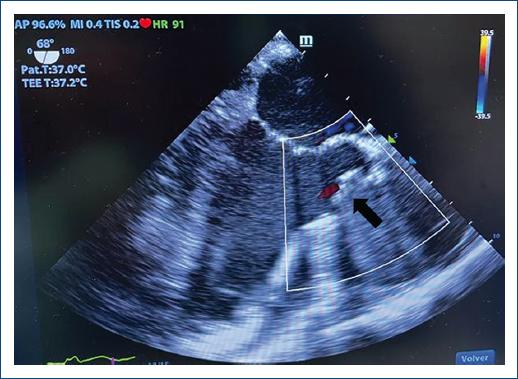
Figure 4 A control echocardiogram showed complete occlusion of the graft at the neck of the pseudoaneurysm (arrow).
The presented case highlights the importance of considering an ischemic etiology in patients with atypical symptoms and persistent cardiac complaints. Although SCAD is relatively rare (< 1% of STEMI), it is essential to recognize that in women younger than 50 years, SCAD accounts approximately 25-30% of cases presenting as ST-elevation myocardial infarction (STEMI)1,2.
A rare complication of SCAD is LVPs. While true aneurysms contain ventricular myocardial tissue, pseudoaneurysms are solely contained by pericardium or scar tissue, making them prone to rupture3.
Post-ischemic pseudoaneurysms are predominantly found in the inferior and posterolateral walls (82%), while anterolateral pseudoaneurysms are extremely rare attributed to the high incidence of hemopericardium and death associated with anterior rupture of the ventricular free wall3.
Mortality rates with medical therapy reach 50%. Interventional management options include cardiac surgery and percutaneous closure in specific cases.
The patient’s evolution was satisfactory with significant improvement in ejection fraction in the absence of cardiovascular symptoms at 6 months.










text new page (beta)



